medigraphic.com
SPANISH

Acta Médica Grupo Ángeles

Órgano Oficial del Hospital Ángeles Health System
  • Contents
  • View Archive
  • Information
    • General Information        
    • Directory
  • Publish
    • Instructions for authors        
    • Manuscript submission
    • Policies
    • Names and affiliations of the Editorial Board
  • About us
    • Data sharing policy
    • Stated aims and scope
  • medigraphic.com
    • Home
    • Journals index            
    • Register / Login
  • Mi perfil

2025, Number 4

<< Back Next >>

Acta Med 2025; 23 (4)

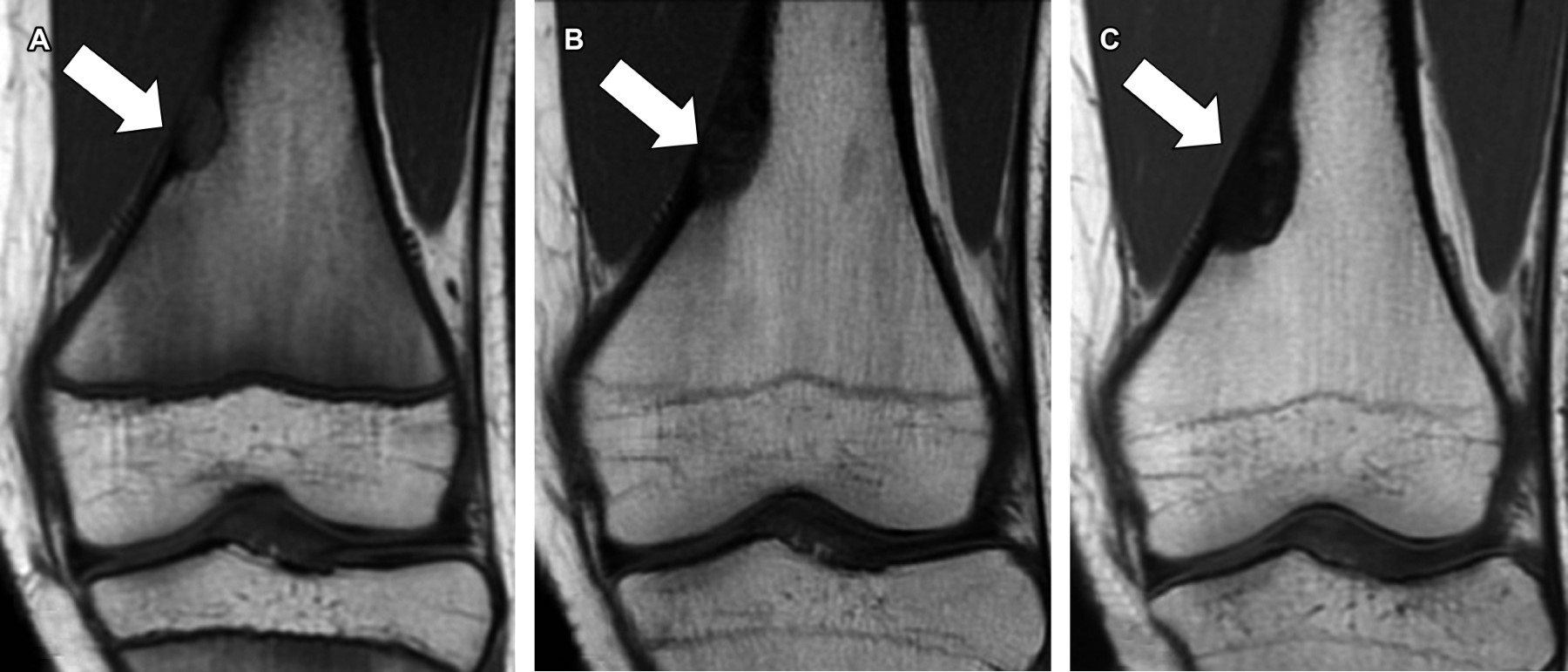
Chronological evolution of bilateral non-ossifying fibroma

Jaramillo AF, Rebolledo CJA, Enríquez MEA, Martínez OC, González RCN, Gómez PMG
Full text How to cite this article 10.35366/120532

DOI

DOI: 10.35366/120532
URL: https://dx.doi.org/10.35366/120532

Language: Spanish
References: 4
Page: 384-386
PDF size: 229.77 Kb.


Key words:

non-ossifying fibroma, bone tumor, magnetic resonance imaging.

ABSTRACT

Non-ossifying fibroma, a benign bone lesion, is a developmental defect that appears in the metaphyseal region of long bones and advances towards diaphysis secondary to bone growth. These lesions are mainly found in children and predominately in the male gender and are characterized by being asymptomatic; however, their existence predisposes them to pathological fractures. The diagnosis of non-ossifying fibromas is mainly based on their characteristics by imaging methods and is considered "leave alone" lesions due to their benign and self-limiting natural history.


REFERENCES

  1. Rammanohar J, Zhang C, Thahir A, Krkovic M. Imaging of non-ossifying fibromas: a case series. Cureus. 2021; 13 (3): e14102.

  2. Greenspan A, Remagen W. Tumores de huesos y articulaciones. México: Marbán; 2002. p. 206-212.

  3. Kato H, Kawaguchi M, Miyase R, Iwashima K, Nagano A, Matsuo M. Comparison of MRI findings among osteofibrous dysplasia, fibrous dysplasia, and nonossifying fibroma of the long bone. Indian J Radiol Imaging. 2023; 33 (2): 150-156.

  4. Iagaru A, Henderson R. PET/CT follow-up in nonossifying fibroma. AJR Am J Roentgenol. 2006; 187 (3): 830-832.




Figure 1
Figure 2

2020     |     www.medigraphic.com

Mi perfil

C?MO CITAR (Vancouver)

Acta Med. 2025;23