medigraphic.com
SPANISH

Revista del Centro Dermatológico Pascua

ISSN 1405-1710 (Print)
  • Contents
  • View Archive
  • Information
    • General Information        
    • Directory
  • Publish
    • Instructions for authors        
  • medigraphic.com
    • Home
    • Journals index            
    • Register / Login
  • Mi perfil

2024, Number 2

Next >>

Rev Cent Dermatol Pascua 2024; 33 (2)

Spiradenoma in the left upper eyelid: an unusual topography

González-González M, Trejo-Acuña JR, Vega-de PM
Full text How to cite this article 10.35366/120581

DOI

DOI: 10.35366/120581
URL: https://dx.doi.org/10.35366/120581

Language: Spanish
References: 9
Page: 43-46
PDF size: 278.92 Kb.


Key words:

spiradenoma, benign tumor, adnexal tumor.

ABSTRACT

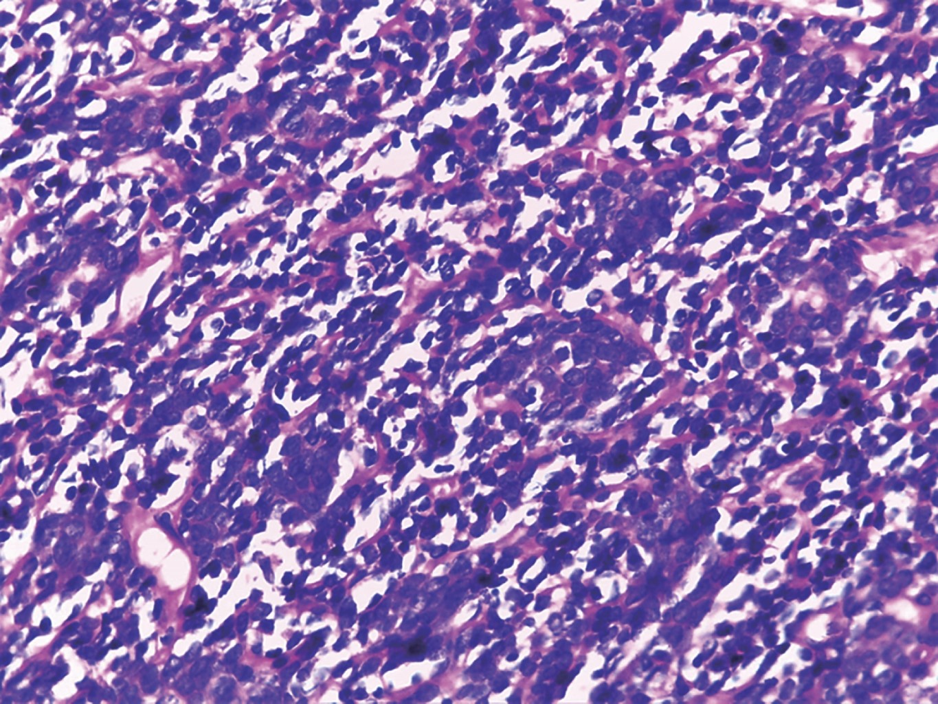
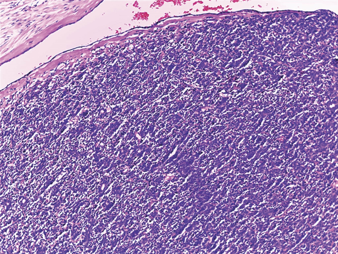
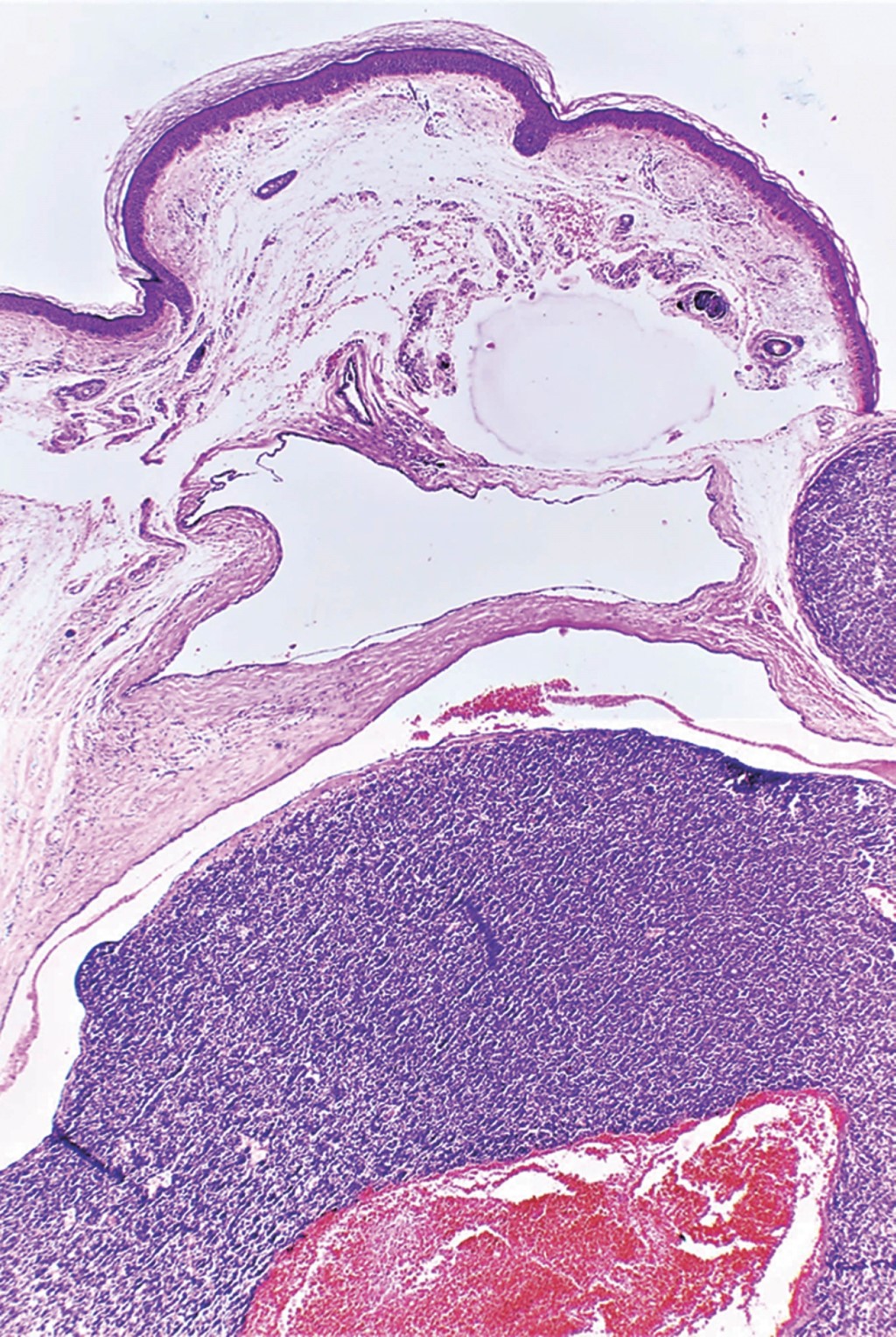
Spiradenoma is a benign, yet rare, tumor arising from eccrine sweat glands, which mainly affects people between the second and fourth decades of life and represents a clinical and pathological diagnostic challenge. It commonly presents as a nodular, blueish-pink to gray tumor, usually in the upper half of the body. Since no standardized guidelines exist for the management and follow-up of spiradenoma, surgical excision is recommended in the context of non-specific long-standing lesions, particularly in patients older than 50 years. In this article we report the case of a 79 years-old female patient with a spiradenoma in the left upper eyelid, which is an unusual location.


REFERENCES

  1. Salim A, Tariq MU, Zeeshan S. Eccrine spiradenoma: a rare adnexal tumour with atypical presentation: a case report. J Pak Med Assoc. 2021; 71: 553-555.

  2. Sellheyer K. Spiradenoma and cylindroma originate from the hair follicle bulge and not from the eccrine sweat gland: an immunohistochemical study with CD200 and other stem cell markers. J Cutan Pathol. 2015; 42: 90-101.

  3. Portincasa A, Cecchino L, Trecca EMC, Lembo F, Annacontini L, Ciancio F et al. A rare case of Brooke-Spiegler syndrome: integrated surgical treatment of multiple giant eccrine spiradenomas of the head and neck in a young girl. Int J Surg Case Rep. 2018; 51: 277-281.

  4. Li Z, Li G, Jiang X, Fu X. Giant vascular eccrine spiradenoma: the first case in the scrotum and review of the literature author. Diagn Pathol. 2021; 16: 37.

  5. Calonje E, Brenn T, Lazar A, Mckee PH. McKee's pathology of the skin. Tumores de las glándulas sudoríparas. Filadelfia, PA: Elsevier; 2012; p. 1554.

  6. Ren F, Hu Z, Kong Q, Sang H. Multiple segmental eccrine spiradenoma with a zosteriform pattern: a case report and literature review. Ann Dermatol. 2015; 27: 435-438.

  7. Gordon S, Styron BT, Haggstrom A. Pediatric segmental eccrine spiradenomas: a case report and review of the literature. Pediatr Dermatol. 2013; 30: e285-e286.

  8. Andreoli MT, Itani KM. Malignant eccrine spiradenoma: a meta-analysis of reported cases. Am J Surg. 2011; 201: 695-699.

  9. Tay JS, Tapen EM, Solari PG. Malignant eccrine spiradenoma. Case report and review of the literature. Am J Clin Oncol. 1997; 20: 552-557.




Figure 1
Figure 2
Figure 3
Figure 4
Figure 5

2020     |     www.medigraphic.com

Mi perfil

C?MO CITAR (Vancouver)

Rev Cent Dermatol Pascua. 2024;33