medigraphic.com
SPANISH

Revista ADM Órgano Oficial de la Asociación Dental Mexicana

ISSN 0001-0944 (Print)
Órgano Oficial de la Asociación Dental Mexicana
  • Contents
  • View Archive
  • Information
    • General Information        
    • Directory
  • Publish
    • Instructions for authors        
    • Send manuscript
  • medigraphic.com
    • Home
    • Journals index            
    • Register / Login
  • Mi perfil

2025, Number 4

<< Back

Rev ADM 2025; 82 (4)

Prosthetic rehabilitation of patient with bisphosphonate uptake.

Galaviz LLR, Rangel YEJ, Juárez VBE, Sánchez AE
Full text How to cite this article 10.35366/121018

DOI

DOI: 10.35366/121018
URL: https://dx.doi.org/10.35366/121018

Language: Spanish
References: 10
Page: 244-250
PDF size: 690.16 Kb.


Key words:

bisphosphonates, osteoporosis, osteonecrosis, removable partial denture, prosthetic treatment.

ABSTRACT

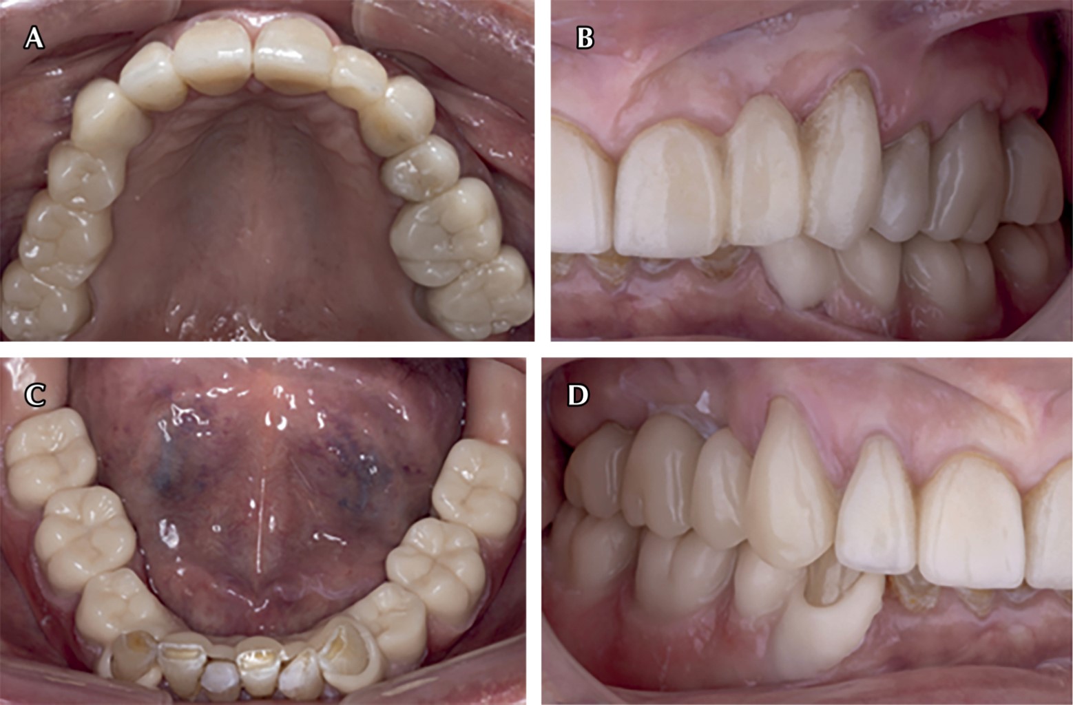
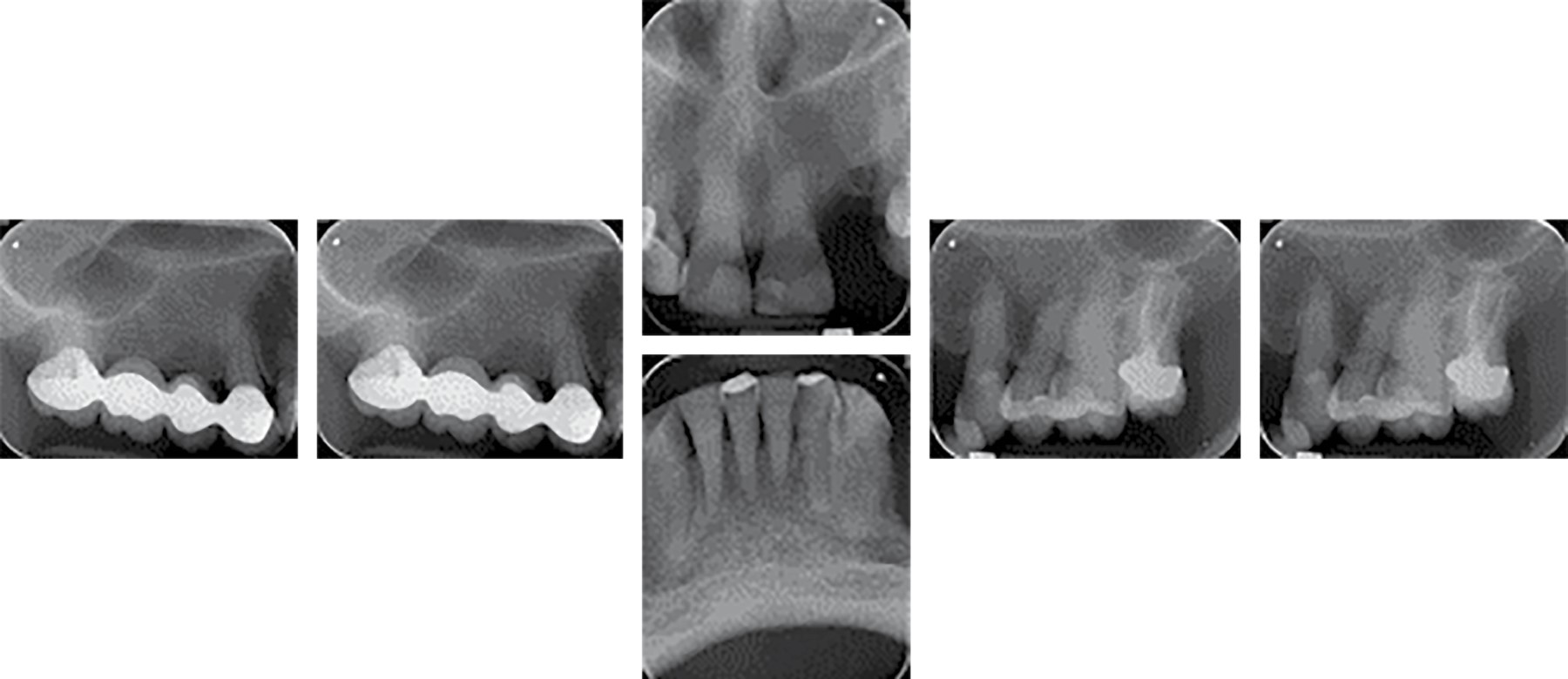
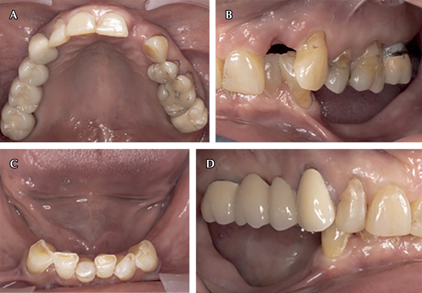
Bisphosphonates are synthetic analogue drugs of pyrophosphates that have a high antiresorptive potency in the bone remodeling cycle. They have in their chemical structure a carbon atom which remains linked to two phosphate groups (P-C-P), their negative charge explains the affinity they have for bone tissue. This clinical report presents the treatment of a patient with a history of osteoporosis, who, due to the use of removable partial dentures in poor condition, caused severe atrophy of the alveolar ridge. Currently, he is prescribed zoledronic acid (bisphosphonates). The placement of dental implants and extractions is contraindicated in patients on bisphosphonate treatment, so an alternative treatment is chosen that consists of a removable polyoxymethylene partial prosthesis and a four-unit bridge with an endocrown-type posterior abutment design. After one year, with 11 months of use of the new fixed prosthesis, the patient did not present dislodgement of the bridge, no occlusal problem was observed, with no absence of increase in the resorption of the edentulous alveolar ridge in the maxilla and mandible, the treatment gave great results both for the general health of the patient and to meet her expectations.


REFERENCES

  1. Kanterewicz Binstock E. Bifosfonatos. Rev Esp Reumatol. 2004; 31 (1): 9-12.

  2. Cardemil C, Thomsen P, Larsson C. Jaw bone samples from bisphosphonate-treated patients: a pilot cohort study. Clin Implant Dent Relat Res. 2015; 15 (2): 679-691.

  3. Marx RE. Pamidronate (Aredia) and zoledronate (Zometa) induced avascular necrosis of the jaws: a growing epidemic. J Oral Maxillofac Surg. 2003; 61 (9): 1115-1117.

  4. Yoon M, Ramirez R, Yun J, Wiedmer C, Brandwein-Weber M, Khorsandi AS et al. Concurrent oral squamous cell carcinoma and bisphosphonate-related osteonecrosis of the maxilla: a case report and literature review. Head Neck. 2025; 47 (1): E1-E10.

  5. Li YY, Gao LJ, Zhang YX, Liu SJ, Cheng S, Liu YP et al. Bisphosphonates and risk of cancers: a systematic review and meta-analysis. Br J Cancer. 2020; 123 (10): 1570-1581.

  6. Pielkenrood BJ, Visser TF, van Tol FR, Foppen W, Eppinga WSC, Verhoeff JJC et al. Remineralization of lytic spinal metastases after radiotherapy. Spine J. 2023; 23 (4): 571-578.

  7. Bernstein ZS, Kim EB, Raje N. Bone disease in multiple myeloma: biologic and clinical implications. Cells. 2022; 11 (15): 2308.

  8. Takagi Y, Sumi Y, Harada A. Osteonecrosis associated with short-term oral administration of bisphosphonate. J Prosthet Dent. 2009; 101 (5): 289-292.

  9. Stewart DL. Prosthodontic treatment of a patient taking nitrogen-containing bisphosphonates to preserve the integrity of the epithelial attachment: a clinical report. J Prosthet Dent. 2011; 106 (6): 350-354.

  10. Treviño RA, Rodríguez del Bosque A. Colocación de implantes en paciente con antecedentes de toma de bifosfonatos. Rev ADM. 2023; 80 (1): 52-56.




Figure 1
Figure 2
Figure 3
Figure 4
Figure 5
Figure 6
Figure 7

2020     |     www.medigraphic.com

Mi perfil

C?MO CITAR (Vancouver)

Rev ADM. 2025;82