medigraphic.com
SPANISH

Acta Médica Grupo Ángeles

Órgano Oficial del Hospital Ángeles Health System
  • Contents
  • View Archive
  • Information
    • General Information        
    • Directory
  • Publish
    • Instructions for authors        
    • Manuscript submission
    • Policies
    • Names and affiliations of the Editorial Board
  • About us
    • Data sharing policy
    • Stated aims and scope
  • medigraphic.com
    • Home
    • Journals index            
    • Register / Login
  • Mi perfil

2025, Number 5

<< Back Next >>

Acta Med 2025; 23 (5)

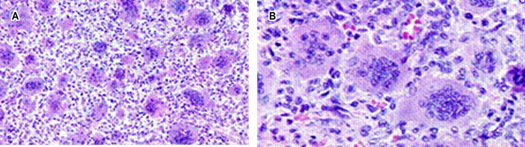
Giant cell tumor of the extensor tendon sheath of the third finger

Domínguez GLG, Arellano AJG, Domínguez CLG
Full text How to cite this article 10.35366/121193

DOI

DOI: 10.35366/121193
URL: https://dx.doi.org/10.35366/121193

Language: Spanish
References: 0
Page: 484-485
PDF size: 257.93 Kb.


Key words:

tumor en mano, células gigantes, quiste sinovial, vaina sinovial.

Giant cell tumors of the tendon sheath, corresponding to 50% of hand tumors, are nodular lesions between 30-50 years of age, predominating in females, usually on the volar or lateral surface of the fingers, close to the DIP joint. Suspicion diagnosis is clinically supported by ultrasound, which identifies a solid lesion, homogeneous, hyper, or hypoechoic, occasionally heterogeneous, about the tendon sheath. With vascularization on Doppler, it can be confused with synovial cysts; MRI is the choice for diagnosis. Treatment is the complete removal of the lesion. Radiotherapy, although controversial, could be indicated in cases with recurrence risk.





Figure 1
Figure 2
Figure 3

2020     |     www.medigraphic.com

Mi perfil

C?MO CITAR (Vancouver)

Acta Med. 2025;23