medigraphic.com
SPANISH

Acta Médica Grupo Ángeles

Órgano Oficial del Hospital Ángeles Health System
  • Contents
  • View Archive
  • Information
    • General Information        
    • Directory
  • Publish
    • Instructions for authors        
    • Manuscript submission
    • Policies
    • Names and affiliations of the Editorial Board
  • About us
    • Data sharing policy
    • Stated aims and scope
  • medigraphic.com
    • Home
    • Journals index            
    • Register / Login
  • Mi perfil

2025, Number 5

<< Back

Acta Med 2025; 23 (5)

Lipofibroma in hand

Domínguez GLG, Arellano AJG, Domínguez CLG
Full text How to cite this article 10.35366/121195

DOI

DOI: 10.35366/121195
URL: https://dx.doi.org/10.35366/121195

Language: Spanish
References: 4
Page: 489-491
PDF size: 219.27 Kb.


Key words:

lipofibroma, primary tumor in hand, primary soft tissue tumor.

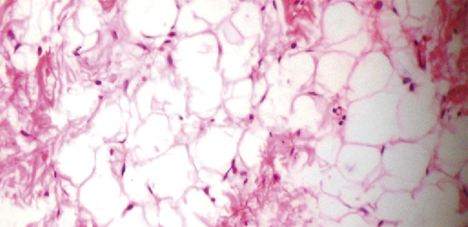
Lipofibroma of the hand is infrequent, with a mean age of presentation of 55 years. Their typical location is the thenar, hypothenar, and commissure eminences. They are usually larger than the rest of the primary soft tissue tumors when they occur in the commissure and are transferred to the dorsal compartment. They are usually not painful. The study of choice for diagnosis is magnetic resonance imaging, which shows a homogeneous image of increased intensity in T1 weighting. The types found in the hand are classic lipoma, angiolipoma, and tendon sheaths.


REFERENCES

  1. Velázquez-Rueda ML, Hernández-Méndez-Villamil E, Mendoza-Muñoz M, Rivas-Montero JA, Espinosa-Gutiérrez A. Tumores y seudotumores primarios de la mano en adultos. Análisis epidemiológico de casos, manejo y evolución. Acta Ortop Mex. 2019; 33 (2): 81-87.

  2. Del Valle EB, García Olea A, González del Pino J, Lovic A, Dudley Porras A. Tumores primarios de partes blandas de la mano. Análisis epidemiológico de 305 casos. Rev Esp Ortop Traumat. 1998; 42: 418-426.

  3. Ferrando PM, Garagnani L, Eckersley R, Weir J, Katsarma E. Lipomatous tumours of the hand and wrist A series of 25 cases and review of the literature. Ann Ital Chir. 2014; 85 (6): 587-592.

  4. Yavari M, Afshar A, Shahrokh Shahraki S, Tabrizi A, Doorandish N. Management of symptomatic lipoma of the hand: a case series and review of literature. Arch Bone Jt Surg. 2022; 10 (6): 530-535. doi: 10.22038/ABJS.2021.57846.2864.




Figure 1
Figure 2
Figure 3

2020     |     www.medigraphic.com

Mi perfil

C?MO CITAR (Vancouver)

Acta Med. 2025;23