medigraphic.com
SPANISH

Revista Mexicana de Ortopedia Pediátrica

ISSN 2007-087X (Print)
Órgano Oficial de la Sociedad Mexicana de Ortopedia Pediátrica
  • Contents
  • View Archive
  • Information
    • General Information        
    • Directory
  • Publish
    • Instructions for authors        
  • medigraphic.com
    • Home
    • Journals index            
    • Register / Login
  • Mi perfil

2025, Number 1-3

<< Back Next >>

Rev Mex Ortop Ped 2025; 27 (1-3)

From congenital talipes equinovarus to hallux varus: a rare complication of the extended posterior internal release technique

Rincón-Lozano JD, Bossio JE, Martínez-Pérez RO, Benito-Revollo IM, Soto A
Full text How to cite this article 10.35366/121648

DOI

DOI: 10.35366/121648
URL: https://dx.doi.org/10.35366/121648

Language: Spanish
References: 10
Page: 29-33
PDF size: 1800.64 Kb.


Key words:

congenital talipes equinovarus, hallux varus, extended posterior internal release, transfer, complication.

ABSTRACT

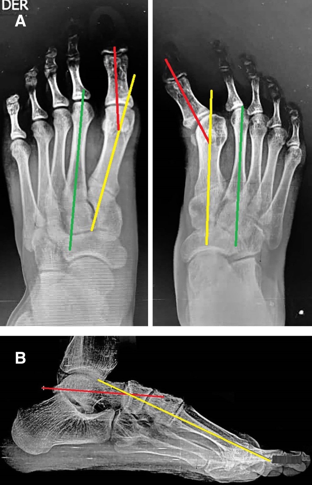
Introduction: congenital talipes equinovarus (CTEV) is a highly prevalent deformity that affects patient functionality. Even with adequate treatment, overcorrection can result in deformities such as hallux alterations. The most common deformity in this context is hallux flexus, or dorsal bunion; however, we present a case of hallux varus as a complication not previously reported in the secondary literature secondary to the management of CTEV. Case presentation: a 17-year-old patient with a history of CTEV was treated with a posterior internal release (PIR) at five years of age. He presents with left hallux varus with significant functional impairment. Soft tissue release and transfer of the abductor hallucis and extensor hallucis longus tendons are proposed. During follow-up, adequate maintenance of the deformity correction is evident with no recurrence at 18 months. Conclusion: hallux varus after PIR in CTEV is an unusual complication, whose etiology lies in persistent contracture or fibrosis of the adjacent capsuloligamentous and musculotendinous structures. Treatment should address the various dynamic and static alterations through specific soft tissue releases, tendon transfers, or arthrodesis. In patients with flexible hallux valgus, restoring muscle balance may be sufficient to correct the deformity and prevent recurrence.


REFERENCES

  1. Santa-V A, Becerra-A LC, Céspedes-P LJ, Rosselli-C P, Morcuende JA. Tratamiento del pie equino varo congénito idiopático. Revisión de conceptos actuales. Rev Colomb Ortop Traumatol. 2021; 35: 10-20. doi: 10.1016/j.rccot.2021.01.003

  2. Besse JL, Leemrijse T, Thémar-Noël C, Tourné Y; Association Francaise de Chirurgie du Pied. Le pied bot varus equin: traitement chez l'enfant et devenir a l'age adulte [Congenital club foot: treatment in childhood, outcome and problems in adulthood]. Rev Chir Orthop Reparatrice Appar Mot. 2006; 92(2): 175-192. doi: 10.1016/s0035-1040(06)75703-8.

  3. Pierz KA, Lloyd JR, Solomito MJ, Mack P, Ounpuu S. Lower extremity characteristics in recurrent clubfoot: Clinical and gait analysis findings that may influence decisions for additional surgery. Gait Posture. 2020; 75: 85-92. doi: 10.1016/j.gaitpost.2019.10.002.

  4. Dussa CU, Bohm H, Doderlein L, Forst R, Fujak A. Does an overcorrected clubfoot caused by surgery or by the Ponseti method behave differently? Gait Posture. 2020; 77: 308-314. doi: 10.1016/j.gaitpost.2020.02.012.

  5. Yong SM, Smith PA, Kuo KN. Dorsal bunion after clubfoot surgery: outcome of reverse Jones procedure. J Pediatr Orthop. 2007; 27(7): 814-820. doi: 10.1097/BPO.0b013e3181558a37.

  6. Jastifer JR, Coughlin MJ. Hallux varus: review and surgical treatment. Med Chir Pied. 2014; 30: 41-48 Available in: https://doi.org/10.1007/s10243-014-0387-6

  7. Davies MB, Blundell CM. The treatment of iatrogenic hallux varus. Foot Ankle Clin. 2014; 19(2): 275-284. doi: 10.1016/j.fcl.2014.02.010.

  8. Leemrijse T, Devos Bevernage B. Surgical treatment of iatrogenic hallux varus. Orthop Traumatol Surg Res. 2020; 106(1S): S159-S170. doi: 10.1016/j.otsr.2019.05.018.

  9. Devos Bevernage B, Leemrijse T. Hallux varus: classification and treatment. Foot Ankle Clin. 2009; 14(1): 51-65. doi: 10.1016/j.fcl.2008.11.007.

  10. Plovanich EJ, Donnenwerth MP, Abicht BP, Borkosky SL, Jacobs PM, Roukis TS. Failure after soft-tissue release with tendon transfer for flexible iatrogenic hallux varus: a systematic review. J Foot Ankle Surg. 2012; 51(2): 195-197. doi: 10.1053/j.jfas.2011.11.006.



EVIDENCE LEVEL

V




Figure 1
Figure 2
Figure 3
Figure 4
Figure 5
Figure 6
Figure 7

2020     |     www.medigraphic.com

Mi perfil

C?MO CITAR (Vancouver)

Rev Mex Ortop Ped. 2025;27