medigraphic.com
SPANISH

Revista Mexicana de Cirugía Bucal y Maxilofacial

ISSN 2007-3178 (Print)
Asociación Mexicana de Cirugía Bucal y Maxilofacial, Colegio Mexicano de Cirugía Bucal y Maxilofacial, A.C.
  • Contents
  • View Archive
  • Information
    • General Information        
    • Directory
  • Publish
    • Instructions for authors        
    • Send manuscript
  • medigraphic.com
    • Home
    • Journals index            
    • Register / Login
  • Mi perfil

2025, Number 2

<< Back

Rev Mex Cir Bucal Maxilofac 2025; 21 (2)

Chronic fibrovascular proliferation on the hard palate of a patient with Angelman syndrome: what is the cause? Case video report

Altamiranda Avendaño, Rolando José1; Meza-García, Gerardo2
Full text How to cite this article 10.35366/121763

DOI

DOI: 10.35366/121763
URL: https://dx.doi.org/10.35366/121763

Language: English
References: 18
Page: 98-102
PDF size: 1432.89 Kb.


Key words:

Angelman syndrome, fibrous tissue, hard palate, oral habit.

ABSTRACT

The oral mucosa is persistently subjected to external and internal stimuli that can lead to the development of a wide range of lesions due to chronic, low-grade irritation. Angelman Syndrome (AS) has its own distinct oral and facial features. This video case report presents a 30-year-old male patient with AS and a particular parafunctional oral habit, which caused a chronic erythematous lesion that was discovered during a routine oral cleaning, leading to a consultation with a specialist. This lesion is not a clinical feature of Angelman syndrome itself, but rather a finding related to this specific patient. We believe that periodically and thoroughly evaluating the oral health of neurological patients with parafunctional habits is crucial for detecting pathological changes in the oral cavity.



INTRODUCTION

The oral mucosa is often exposed to external and internal stimuli that can lead to the formation of various lesions caused by low-grade chronic irritation.1 Erythematous lesions can arise from various tissue alterations, such as inflammation, erythrocyte extravasation, atrophy, and reduced keratinization of the surface epithelium. Reactive processes include pyogenic granuloma, peripheral giant cell granuloma, localized spongiotic gingival hyperplasia, denture stomatitis, erythematous candidiasis, and inflammatory papillary hyperplasia.2

In 1965, English physician Harry Angelman described a rare condition affecting three children who exhibited seven characteristics: a depression in the occipital region of the skull, primary optic atrophy with incomplete choroid development, abnormal air encephalograms indicative of cerebral atrophy, mental retardation, paroxysmal laughter, ataxia, and the ability to protrude the tongue.3,4 Originally, the children were called "puppet children", a term that was later changed to Angelman Syndrome (AS).4

This severe neurodevelopmental disorder has a genetic cause, the loss of expression of the ubiquitin protein ligase E6-AP in the brain, which is typically due to a deletion of the maternal 15q11-q13 region.5,6 Traits include blue eyes, fair/blond hair, microcephaly, an elongated face, maxillary hypoplasia, prognathism, a large mouth, protruding tongue, deep-set eyes, and strabismus. However, signs vary greatly among cases.6

This case video report discusses the possible cause of chronic fibrovascular proliferation in the hard palate of an AS patient with a special parafuntional oral habit. Fibrovascular lesions are not among the characteristics of AS and are unusual among these patients.



CASE REPORT

A 30-year-old man with AS presented for consultation at an oral and maxillofacial surgery clinic for a violaceus spot on his hard palate that was discovered during a routine dental cleaning (Figure 1). Written consent was obtained from his family members for the use of pictures, videos, and all media that could be used to describe the case.

All patient data were obtained through interrogation of family members. His maternal medical history was irrelevant. The patient is the youngest of three siblings. His birth weight was 2.800 kg (6.1 pounds) and his APGAR score was unknown.

The mother recounted that something was not right after the baby was born. The patient experienced delayed neurological and motor development. By the time he was 6 months old, he could not sit up by himself. His pediatrician recommended physical therapy. A prolonged crying episode led to a neurological consultation, during which cranial magnetic resonance imaging revealed hydrocephalus. At one year and six-months-old, he underwent surgery to create a ventriculoperitoneal shunt valve. Physical and neurological development did not show significant improvement even after rigorous physical therapy. He began crawling at two-years-old and walking at three-years-old. Around that time, he started fluttering both hands. He exhibited aggressive behavior and physical hyperactivity daily.

He sustained a right femoral fracture at the age of 21 after jumping on a bed. The treatment involved the placement of an intramedullary nail, which was performed without complications. In April 2017, he underwent surgery on his nasal turbinates and septum to address persistent nasal obstructions. In 2019, he was diagnosed with AS by a geneticist.

Since his diagnosis, he was followed a sugar-free and fluoride-free diet, and his behavior has improved. His mother and other family members ensure that he has daily baths and oral care at least twice daily. He receives dental care at a clinic every six months, with mobility restrictions managed by the oral hygienist and family members. Currently, he primarily receives medical care from an endocrinologist and a neurologist. He takes 15 mg of mirtazapine daily, 300 mg of carbamazepine in the morning, and 400 mg at bedtime, and he receives a monthly intramuscular injection of 125 mg of testosterone enanthate to address his low testosterone levels.

A physical examination revealed a marked inability to maintain attention, frequent laughter, an affectionate demeanor toward family members, uncoordinated movements, drooling a lack of speech, and tongue-trusting behavior, which his family members refers to as a "chirping habit". This parafunctional oral habit is chronic; the patient thrusts his tongue against the upper front teeth and anterior hard palate, while sucking his hard palate, which produces a sound similar to "cricket's chirping" ( Video 1).

An intraoral examination revealed wide dental arches, a class 3 malocclusion, and generally good oral hygiene. A violaceous spot, measuring approximately 12 × 12 mm, was noted on the anterior part of the hard palate; it was slightly elevated, nonulcerated, and had undefined borders (Figure 2). This spot was first observed during a routine dental hygiene appointment and has remained unchanged over time. No other similar spots or pathological alterations of the oral mucosa were found. The remainder of the physical evaluation was unremarkable. Several inflammatory conditions and neoplasms were considered as potential causes of the violaceous spot.

A computed tomography did not show bone erosion, palatal bone pathology, or any other pathologies in the surrounding areas that might explain the origin of the palatal lesion (Figure 3).

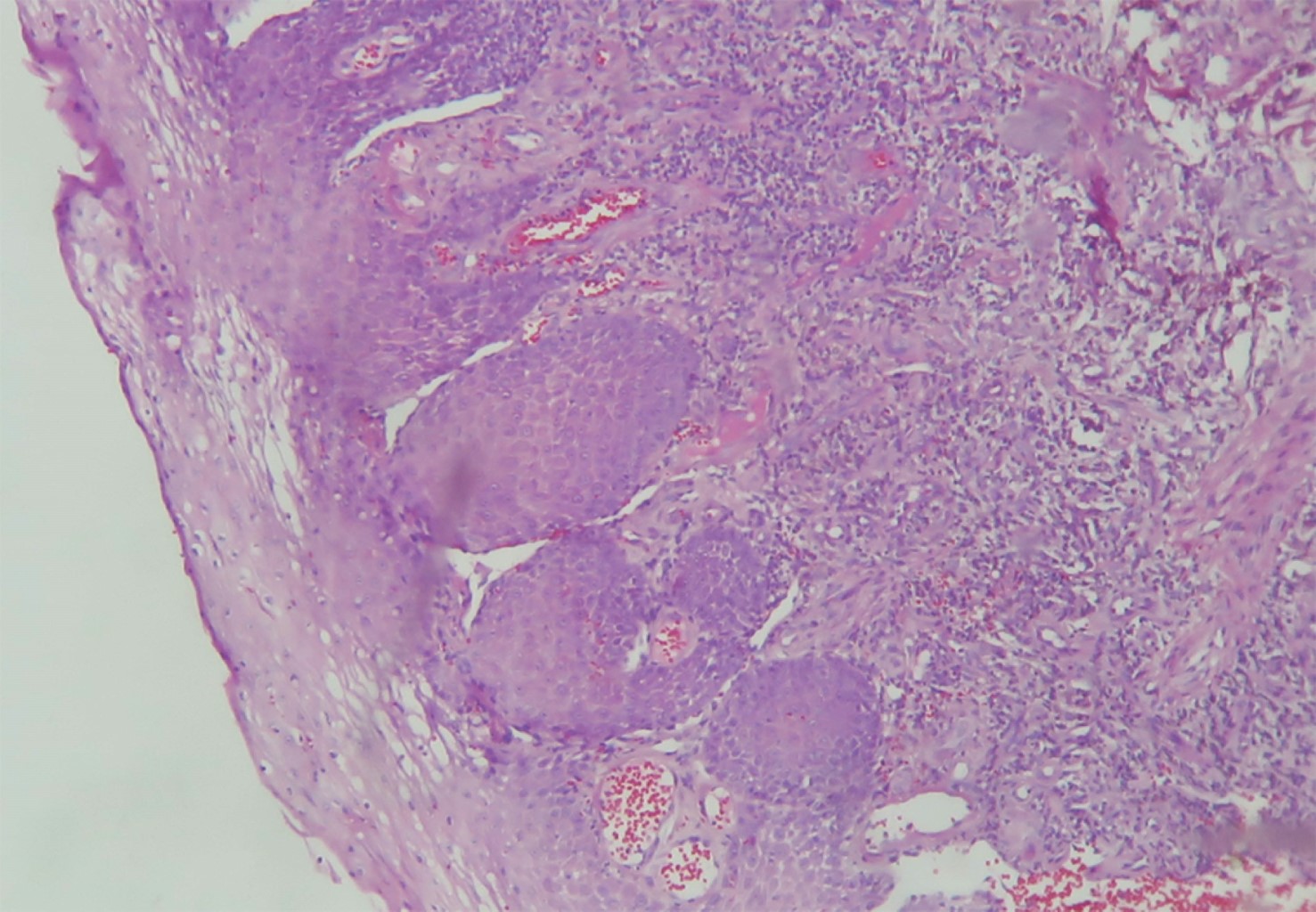
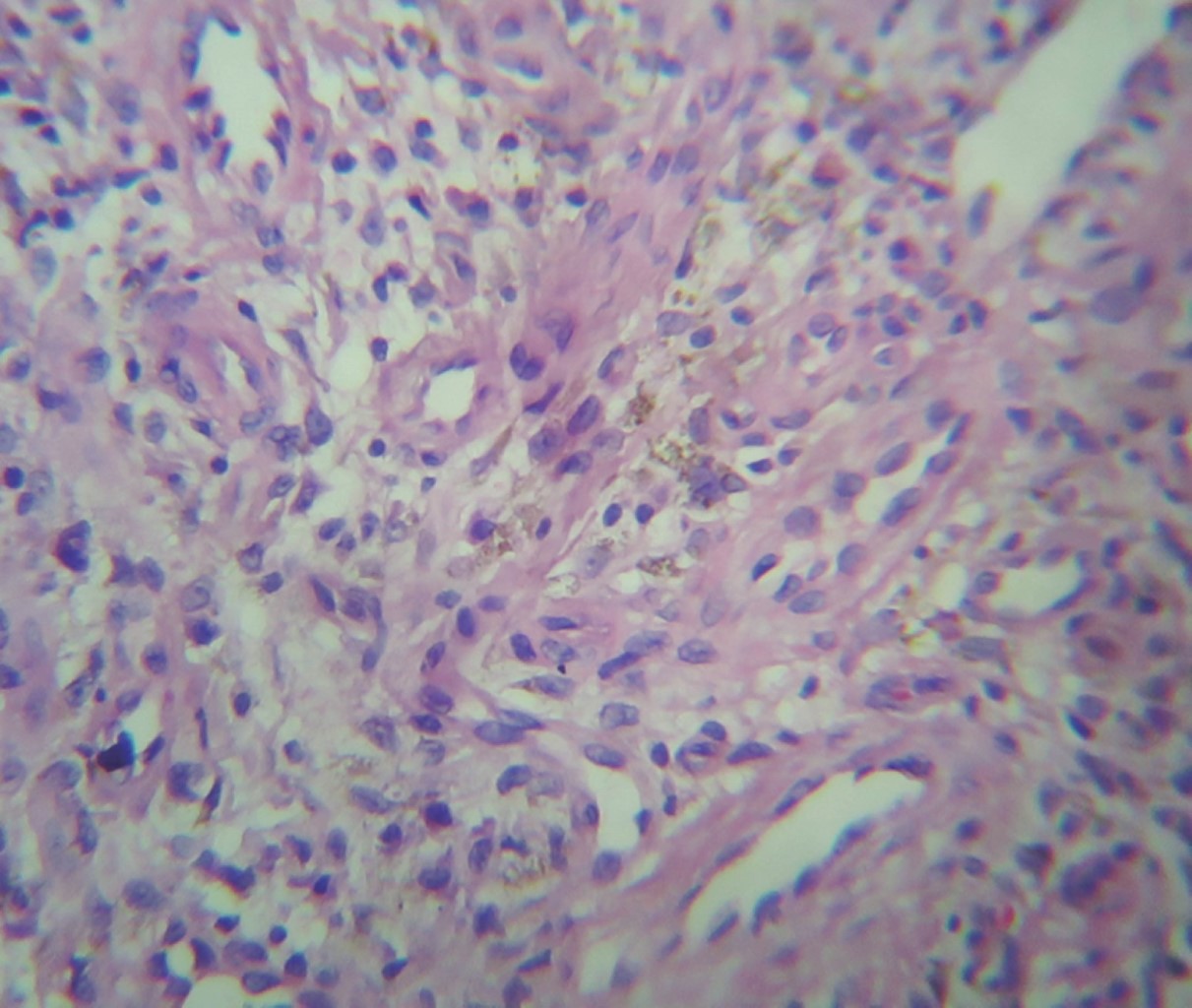
An incisional biopsy was then performed under local anesthesia, with the patient's movements restricted by nurses and family members. A biopsy specimen was examined microscopically, which revealed well-vascularized connective fibrous tissue with chronic inflammatory infiltrate consisting of macrophages, histiocytes, plasma cells, and lymphocytes, thick collagen fibers arranged irregularly, and evidence of recent and old hemorrhage, which was partially covered by parakeratinized stratified squamous epithelium with spongiosis. These findings indicated a chronic inflammatory process involving old hemorrhage and fibrosis (Figures 4 and 5).

Biopsy results were discussed with the family members, and several appointments confirmed that the lesion persisted without any remarkable change. Therefore, in the absence of evidence regarding its origin, the chronic parafunctional oral habit was believed as the likely cause of the lesion.



DISCUSSION

The hard palate can be affected by various conditions. Due to the inherent circumstances of the patient with AS, information about the origin of his palatal lesion was limited to questioning his family members. Consequently, a process of elimination was necessary to consider all potential causes of the lesion.

In this case, several inflammatory conditions that may arise in the hard palate were considered, including erythema multiforme, polyarteritis nodosa, and Wegener's disease.7-9 Several tumors were also considered as potential causes of the palatal lesion, such as extranodal lymphoma,10 intraoral minor salivary gland tumor,11 and Kaposi's sarcoma.12

The hard palate can be also the site of masses related to locoregional infections with a dental or periodontal origin.13 Additionally, metastasis from different distal tumors, such as gastrointestinal stromal tumors,14 renal cell carcinoma,15 and hepatic carcinoma,16 can occur in the maxillofacial region. However, none of the aforementioned conditions appear to be related to the present case.

Subsequently, a response to local trauma or local irritation was thought to be the cause of the lesion. No dental prostheses or intraoral devices were found during the physical examination, nor were they mentioned by family members. The family was aware of the chronic parafunctional oral habit, which was observed during the physical examination. He developed the habit at 12-13 years old and engages in it daily for several minutes, followed by brief interruptions before resuming while awake. This chronic lesion is proposed to be due to the incomplete healing of a self-inflicted lesion caused by a persistent habit, specifically a chronic irritation fibroma. Irritation fibromas are not neoplasms but rather localized hyperplasias of fibrous tissue caused by chronic irritation.17,18



CONCLUSION

Although this case does not present any new features of AS or a new oral condition, it is a peculiar case in that a chronic involuntary movement arising from a well-known syndrome leads to a self-inflicted palatal injury that persists as long as the patient continues the habit. Due to the potential for further changes in the epithelium of the hard palate, periodic evaluations are essential. Comprehensive oral care for neurological patients must include identifying parafunctional oral habits and the possible development of oral pathologies.


REFERENCES

  1. Lakkam BD, Astekar M, Alam S, Sapra G, Agarwal A, Agarwal AM. Relative frequency of oral focal reactive overgrowths: an institutional retrospective study. J Oral Maxillofac Pathol. 2020; 24 (1): 76-80.

  2. McNamara KK, Kalmar JR. Erythematous and vascular oral mucosal lesions: a clinicopathologic review of red entities. Head Neck Pathol. 2019; 13 (1): 4-15.

  3. Angelman H. "Puppet" children: a report on three cases (1965). Dev Med Child Neurol. 2008; 50 (8): 564.

  4. Maranga C, Fernandes TG, Bekman E, da Rocha ST. Angelman syndrome: a journey through the brain. FEBS J. 2020; 287 (11): 2154-2175.

  5. Berg EL, Pride MC, Lee RD, Copping NA, Shen Y, Adhikari A et al. Translational outcomes in a full gene deletion of ubiquitin protein ligase E3A rat model of Angelman syndrome. Transl Psychiatry. 2020; 10 (1): 39.

  6. Fujimoto M, Nakamura Y, Hosoki K, Iwaki T, Sato E, Ieda D et al. Genotype-phenotype correlation over time in Angelman syndrome: researching 134 patients. Hum Genet Genom Adv. 2024; 5 (4): 100342.

  7. Zilberman I, Zilberman U. The effect of Angelman syndrome on enamel and dentin mineralization. Spec Care Dentist. 2020; 40 (6): 574-579.

  8. Aswath N, Rakshana R. Drug induced erythema multiforme of the oral cavity. Arch Clin Cases. 2022; 9 (4): 157-160.

  9. Ortu E, Pietropaoli D, Baldi M, Marzo G, Giannoni M, Monaco A. Polyarteritis nodosa involving the hard palate: a case report. J Med Case Rep. 2013; 7: 79.

  10. Allen CM, Camisa C, Salewski C, Weiland JE. Wegener's granulomatosis: report of three cases with oral lesions. J Oral Maxillofac Surg. 1991; 49 (3): 294-298.

  11. Andreou A, Thermos G, Sklavounou-Andrikopoulou A. Extranodal NK/T cell lymphoma, nasal type with palatal involvement: a rare case report and literature review. Head Neck Pathol. 2021; 15 (2): 621-627.

  12. Steuer CE, Hanna GJ, Viswanathan K, Bates JE, Kaka AS, Schmitt NC et al. The evolving landscape of salivary gland tumors. CA Cancer J Clin. 2023; 73 (6): 597-619.

  13. Sakina G, Liew YT. Kaposi's sarcoma of the palate. QJM. 2022; 114 (12): 896-897.

  14. Sumer AP, Celenk P. Palatal abscess in a pediatric patient: report of a case. Eur J Dent. 2008; 2 (4): 291-293.

  15. Maria OM, Alghamdi O, Baabdullah R, El-Hakim M, Al-Halabi H, Makhoul NM. Gastrointestinal stromal tumor with maxillary metastasis: a case report and literature review. Rev Oral Surg Oral Med Oral Pathol Oral Radiol. 2022; 133 (1): e1-e5.

  16. Nakako Y, Fujimoto T, Wada H, Yoshihama N, Kami Y, Fujii S et al. Oral metastatic tumor (renal cell carcinoma) in maxillary gingiva: a case report and systematic review. J Oral Maxillofac Surg Med Pathol. 2025; 37 (4): 839-848.

  17. Ngokwe ZB, Bienvenue NN, Catherine EE, Stephane NK, Valérie MC, Claude MA. Oral metastasis of a human chorionic gonadotrophin secreting primary hepatic carcinoma. Oral Maxillofac Surg Cases. 2023; 9 (3): 100321.

  18. Amano R, Saruta J, Sakaguchi W, Kubota N, Fuchida S, Tsukinoki K. Histopathological analysis of the association between mucosal epithelial changes and the lamina propria vascular network in irritation fibroma. J Oral Biosci. 2021; 63 (3): 278-283.



AFFILIATIONS

1 Oral and Maxillofacial Surgeon. Private practice.

2 Specialist in Oral Pathology. Universidad Regional del Sureste. Oaxaca, Mexico.



Conflict of interests: the authors declare that they have no conflict of interest.



CORRESPONDENCE

Rolando José Altamiranda Avendaño. E-mail: Rolandoaltamiranda@gmail.com;
rolandoaltamiranda@hotmail.com




Received: July 2025. Accepted: October 2025.

Figure 1
Figure 2
Figure 3
Figure 4
Figure 5
Figure 6

2020     |     www.medigraphic.com

Mi perfil

C?MO CITAR (Vancouver)

Rev Mex Cir Bucal Maxilofac. 2025;21