medigraphic.com
SPANISH

Acta Ortopédica Mexicana

ISSN 2992-8036 (Electronic)
ISSN 2306-4102 (Print)
Órgano Oficial del Colegio Mexicano de Ortopedia y Traumatología
  • Contents
  • View Archive
  • Information
    • General Information        
    • Directory
  • Publish
    • Instructions for authors        
  • medigraphic.com
    • Home
    • Journals index            
    • Register / Login
  • Mi perfil

2025, Number 6

<< Back

Acta Ortop Mex 2025; 39 (6)

Isolated femoral avulsion fracture at the medial head of the gastrocnemius muscle in a skeletally immature gymnast

Carabajal-Mattar, M1; Azalim, B2; Masquijo, J1
Full text How to cite this article 10.35366/121821

DOI

DOI: 10.35366/121821
URL: https://dx.doi.org/10.35366/121821

Language: Portugu?s
References: 17
Page: 405-409
PDF size: 953.96 Kb.


Key words:

adolescent, gastrocnemius, avulsion fracture, gymnast.

ABSTRACT

Avulsion fractures of the medial head of the gastrocnemius muscle are extremely uncommon, with only a few cases documented in medical literature. We present a case involving a 12-year-old female gymnast who experienced acute pain in the back of her knee after a training incident. Initial radiographs did not reveal any abnormalities, prompting further imaging for accurate diagnosis. Advanced imaging identified an avulsion fracture at the posteromedial aspect of the femur, originating from the medial gastrocnemius tendon. The patient underwent conservative treatment. At the three-month follow-up, she had returned to gymnastics without any symptoms. At the two-year follow-up, she remained asymptomatic and had fully resumed her pre-injury level of athletic performance.



ABBREVIATIONS:

  • ACL = Anterior Cruciate Ligament
  • MLKI = Multiligament Knee Injury
  • PCL = Posterior Cruciate Ligament



INTRODUCTION

Participation in organized sports among children and adolescents is increasingly popular. Many children are now starting sports at younger ages and competing at higher levels. This shift has resulted in heightened expectations for young athletes, who face increased training loads, early sports specialization, and the pressure of year-round competition. As a result, there has been a notable rise in the incidence of sports-related injuries among this age group.1,2 These injuries can range from growth plate injuries, to more severe conditions such as ligament tears and avulsion fractures. Avulsion fractures in the pediatric knee are commonly seen due to the vulnerability of the growing skeleton, where tendons or ligaments pull off a fragment of bone. Among the most frequent are fractures of the tibial tuberosity, which often occur during activities that involve explosive jumping or running, and fractures of the tibial eminence, typically associated with sports-related Anterior Cruciate Ligament (ACL) injuries.3 Another example is the sleeve fracture of the patella, where a small portion of bone is avulsed along with the periosteum. Avulsion fractures of the medial head of the gastrocnemius muscle are extremely rare, with few cases reported in the literature.4,5,6,7 To the best of our knowledge, only two adolescent cases4,5 have been documented in English-language publications, highlighting the scarcity of available data on this type of injury.

We report the case of a 14-year-old gymnast who sustained an avulsion fracture of the medial head of the gastrocnemius muscle. Our article includes details on the mechanism of injury and treatment, highlighting the importance of early diagnosis and proper management.



CASE REPORT

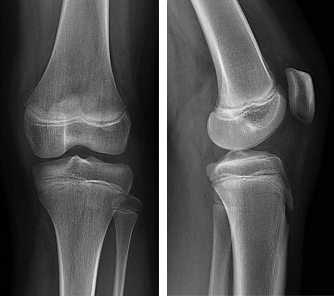
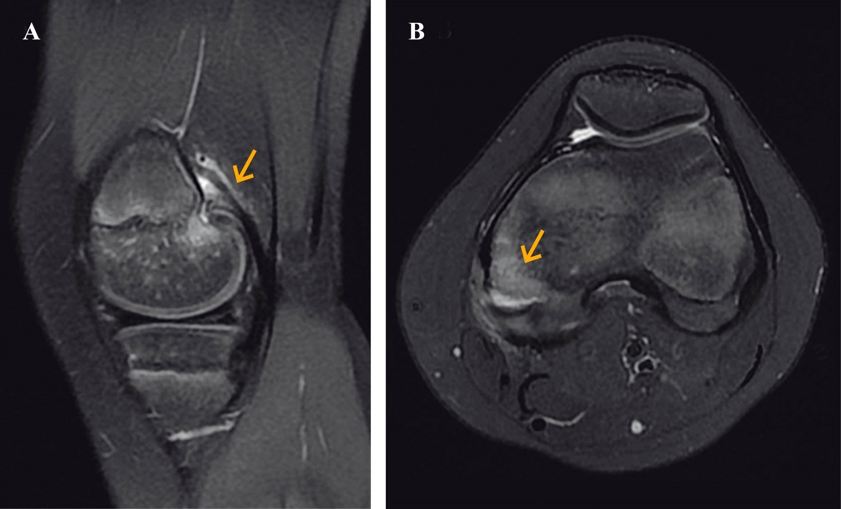
A 12-year-old female gymnast presented with acute pain on the back of her left knee sustained during training. Initial radiographs were unremarkable (Figure 1), prompting further imaging for a definitive diagnosis. A computed tomography (CT-scan) revealed the bone component of the lesion and the degree of displacement (Figure 2). Magnetic resonance imaging demonstrated an avulsion fracture at the posteromedial aspect of the femur arising from the origin of the tendon of the medial gastrocnemius muscle (Figure 3). There were no associated injuries or tears to the medial head of the gastrocnemius muscle.

The patient received conservative treatment. She adhered to a regimen that included rest, immobilization with a locking brace in extension for three weeks, physiotherapy, and a gradual return to activity. At the three-month follow-up, the patient had returned to gymnastics and reported no symptoms. At the two-year follow-up, the patient remained asymptomatic and had fully resumed her pre-injury level of athletic performance.



DISCUSSION

Avulsion fractures of the medial head of the gastrocnemius muscle are infrequent and present unique diagnostic and treatment challenges. This rare injury can occur either in isolation or as part of a more complex Multiligament Knee Injury (MLKI). In isolated cases, the fracture typically results from a combination of eccentric contraction of the gastrocnemius during knee extension and foot plantar flexion on a forcibly externally rotated tibia.8,9 When associated with MLKI, hyperextension combined with severe valgus stress likely contributes to the injury by increasing mechanical tension on the medial head of the gastrocnemius.6,10 To the best of our knowledge, only two cases of isolated avulsion fracture involving the origin of medial head of the gastrocnemius muscle have been reported in the literature, and only two more in the context of MLKI (Table 1).

The gastrocnemius muscle, originating from the medial epicondyle and the posterior surface of the medial condyle of the femur, plays a vital role in knee function. The medial head, thicker and wider than its lateral counterpart,11 contributes to preventing forward tibial translation during dynamic activities such as running and jumping.12 While static stabilizers such as the Posterior Cruciate Ligament (PCL) and the posteromedial capsule provide essential resistance against tibial posterior subluxation at various angles of knee flexion13 the gastrocnemius muscle's role in posterior stability has been highlighted in electromyographic studies, particularly in PCL-deficient knees.14 A nonunion avulsion fracture of the medial gastrocnemius may compromise knee stability by imposing additional stress on static stabilizers, potentially leading to chronic instability or increasing the risk of ligamentous injury during physical activities.

Given the rarity of this condition, maintaining a high index of suspicion is paramount, particularly in patients presenting with pain localized to the popliteal fossa during hyperextension, difficulty with knee flexion, and minimal effusion. In high-energy trauma scenarios involving valgus and hyperextension forces, the possibility of posteromedial instability should prompt further investigation. X-rays alone may fail to detect this condition, necessitating the use of advanced imaging modalities. Magnetic resonance imaging, in particular, offers a comprehensive assessment by differentiating between potential diagnoses, identifying associated ligament or meniscal injuries, and detecting osteochondral fractures.15,16 Although CT lacks the sensitivity for soft tissue evaluation, it remains crucial for assessing the avulsion fragment's characteristics and planning surgical intervention, when necessary, especially through 3D reconstruction.17

Nondisplaced avulsion fractures can be treated conservatively with satisfactory outcomes. Patterson reported a similar case of a 14-year-old wrestler treated conservatively,4 though details of nonoperative management were not provided. Our case was treated with a knee immobilizer for three weeks, followed by physiotherapy and a gradual return to activity. Both patients returned to sports at two and three months, respectively, and remained asymptomatic. Displaced fractures or those associated with MLKI may require surgical intervention to address ligamentous injuries and perform internal fixation of the fracture.



CONCLUSION

The management of avulsion fractures of the medial head of the gastrocnemius requires careful consideration of the injury's complexity and the patient's clinical presentation. While conservative treatment can be effective for nondisplaced fractures, ensuring a successful return to activity, displaced fractures or those occurring within the context of MLKI may require surgical intervention. Early and accurate diagnosis, supported by appropriate imaging techniques, is critical in guiding treatment decisions and optimizing outcomes. Given the potential for this injury to destabilize the knee and predispose to further ligamentous damage, clinicians should remain vigilant in both acute and chronic cases, particularly in athletes or individuals exposed to high-energy trauma. Further case studies and research will be instrumental in refining our understanding and management of this rare yet significant injury.


REFERENCES

  1. Shaw L, Finch CF. Trends in pediatric and adolescent anterior cruciate ligament injuries in Victoria, Australia 2005-2015. Int J Environ Res Public Health. 2017; 14(6): 599. doi: 10.3390/ijerph14060599.

  2. Werner BC, Yang S, Looney AM, Gwathmey FW Jr. Trends in pediatric and adolescent anterior cruciate ligament injury and reconstruction. J Pediatr Orthop. 2016; 36(5): 447-52. doi: 10.1097/BPO.0000000000000482.

  3. Merrow AC, Reiter MP, Zbojniewicz AM, Laor T. Avulsion fractures of the pediatric knee. Pediatr Radiol. 2014; 44(11): 1436-45. doi: 10.1007/s00247-014-3126-6.

  4. Patterson JT, Jokl P, Katz LD, Lawrence DA, Smitaman E. Isolated avulsion fracture at the medial head of the gastrocnemius muscle. Skeletal Radiol. 2014; 43(10): 1491-4. doi: 10.1007/s00256-014-1915-5.

  5. Hirotsu M, Kakoi H, Taniguchi N. Avulsion fracture of the medial head of the gastrocnemius muscle associated with multiple ligament injuries before closure of the growth plate: a case report. J Med Case Rep. 2019; 13(1): 382. doi: 10.1186/s13256-019-2325-z.

  6. Mio K, Matsuzaki K, Rikitake H, Nakaya T, Nemoto K, Chiba K. Avulsion fracture of the medial head of the gastrocnemius muscle associated with posterior dislocation of the knee: a case report. JBJS Case Connect. 2016; 6(2): e24. doi: 10.2106/JBJS.CC.O.00123.

  7. Maehara H, Sakaguchi Y. Avulsion fracture of the medial head of the gastrocnemius muscle: a case report. J Bone Joint Surg Case Connect. 2004; 86(2): 373-5.

  8. Delgado GJ, Chung CB, Lektrakul N, Azocar P, Botte MJ, Coria D, et al. Tennis leg: clinical US study of 141 patients and anatomic investigation of four cadavers with MR imaging and US. Radiology. 2002; 224(1): 112-9. doi: 10.1148/radiol.2241011067.

  9. Yu J, Garrett Jr WE. Ruptures of the medial gastrocnemius muscle ("tennis leg"). The Achilles Tendon: Springer; 2009. p. 35-40.

  10. Dean RS, DePhillipo NN, Kahat DH, Graden NR, Larson CM, LaPrade RF. Low-energy multiligament knee injuries are associated with higher postoperative activity scores compared with high-energy multiligament knee injuries: a systematic review and meta-analysis of the literature. Am J Sports Med. 2021; 49(8): 2248-54. doi: 10.1177/0363546520962088.

  11. Dalmau-Pastor M, Fargues-Polo B Jr, Casanova-Martínez D Jr, Vega J, Golanó P. Anatomy of the triceps surae: a pictorial essay. Foot Ankle Clin. 2014; 19(4): 603-35. doi: 10.1016/j.fcl.2014.08.002.

  12. Mengarelli A, Gentili A, Strazza A, Burattini L, Fioretti S, Di Nardo F. Co-activation patterns of gastrocnemius and quadriceps femoris in controlling the knee joint during walking. J Electromyogr Kinesiol. 2018; 42: 117-22. doi: 10.1016/j.jelekin.2018.07.003.

  13. Amis AA, Bull AM, Gupte CM, Hijazi I, Race A, Robinson JR. Biomechanics of the PCL and related structures: posterolateral, posteromedial and meniscofemoral ligaments. Knee Surg Sports Traumatol Arthrosc. 2003; 11(5): 271-81. doi: 10.1007/s00167-003-0410-7.

  14. Inoue M, Yasuda K, Yamanaka M, Wada T, Kaneda K. Compensatory muscle activity in the posterior cruciate ligament-deficient knee during isokinetic knee motion. Am J Sports Med. 1998; 26(5): 710-4. doi: 10.1177/03635465980260051801.

  15. Dupuis CS, Westra SJ, Makris J, Wallace EC. Injuries and conditions of the extensor mechanism of the pediatric knee. Radiographics. 2009; 29(3): 877-86. doi: 10.1148/rg.293085163.

  16. Luhmann SJ, Schootman M, Gordon JE, Wright RW. Magnetic resonance imaging of the knee in children and adolescents. Its role in clinical decision-making. J Bone Joint Surg Am. 2005; 87(3): 497-502. doi: 10.2106/JBJS.C.01630.

  17. Zionts LE. Fractures around the knee in children. J Am Acad Orthop Surg. 2002; 10(5): 345-55. doi: 10.5435/00124635-200209000-00006.



AFFILIATIONS

1 Department of Pediatric Orthopaedics. Sanatorio Allende. Cordoba, Argentina.

2 Hospital Universitario Ciencias Médicas. Minas Gerais, Brazil.



Conflict of interests: the authors declare that they have no conflict of interests.

Financial support: the present survey has not received any specific funding from public, commercial, or not-for-profit funding agencies.



CORRESPONDENCE

Dr. Javier Masquijo. E-mail: jmasquijo@gmail.com




Received: 08-27-2024. Accepted: 09-17-2024.

Figure 1
Figure 2
Figure 3
Table 1

2020     |     www.medigraphic.com

Mi perfil

C?MO CITAR (Vancouver)

Acta Ortop Mex. 2025 Nov-Dic;39