medigraphic.com
SPANISH

Cirujano General

ISSN 2594-1518 (Electronic)
ISSN 1405-0099 (Print)
  • Contents
  • View Archive
  • Information
    • General Information        
    • Directory
  • Publish
    • Instructions for authors        
    • Send manuscript
  • medigraphic.com
    • Home
    • Journals index            
    • Register / Login
  • Mi perfil

2025, Number 4

<< Back Next >>

Cir Gen 2025; 47 (4)

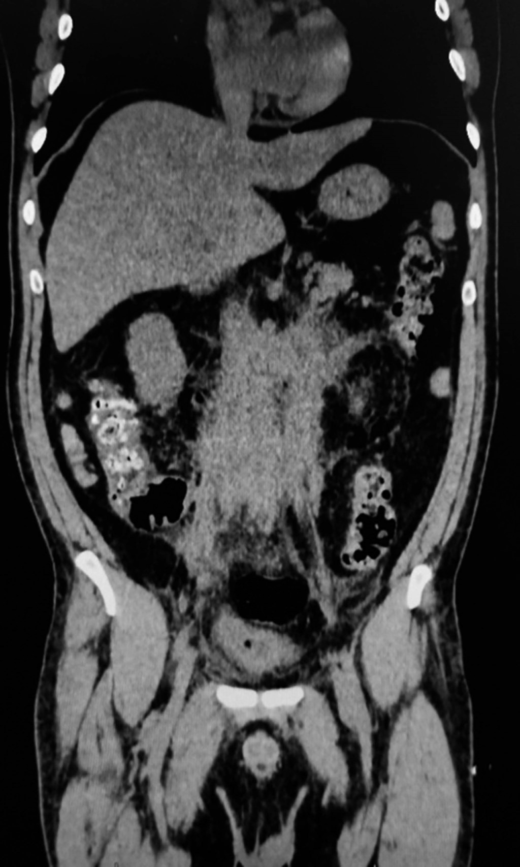
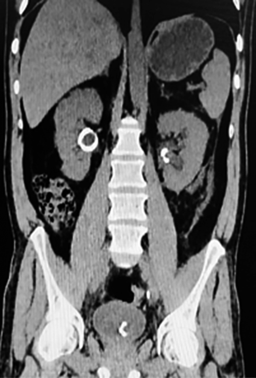
Bilateral obstructive uropathy associated with Ormond's disease

Sánchez RVW, Reyes AO, Landaverde SJP, Damacio BRE
Full text How to cite this article 10.35366/122127

DOI

DOI: 10.35366/122127
URL: https://dx.doi.org/10.35366/122127

Language: Spanish
References: 14
Page: 271-275
PDF size: 629.84 Kb.


Key words:

retroperitoneal fibrosis, immunoglobulin G4-related disease, case reports, diagnosis, therapeutics.

ABSTRACT

Retroperitoneal fibrosis is a rare disease characterized by the proliferation of inflammatory and fibrous tissue in the retroperitoneum. It is usually located around the infrarenal abdominal aorta and iliac arteries, affecting the ureters or other retroperitoneal organs. In 70% of cases, the disease is idiopathic and may be related to immunoglobulin G4. Below is the clinical case of a 48-year-old man with a history of diabetes, who began in 2021 with abdominal pain in the right upper quadrant radiating to the lumbar region, nausea and vomiting. Idiopathic retroperitoneal fibrosis was diagnosed after imaging and biopsy studies revealed interstitial fibrosis and chronic panniculitis. A right nephrostomy and placement of a left double J catheter was performed due to bilateral ureteral obstruction along with immunosuppression, presenting partial improvement. Therefore, it was decided to perform bilateral ureterolysis and peritonization. The patient progresses favorably in the postoperative period. The use of ureteral stents may be successful in relieving urinary obstruction; however, these stents are only for temporary use. For this reason, surgical ureterolysis remains the cornerstone of treatment. This case highlights the clinical interest in retroperitoneal fibrosis, often managed by surgeons, urologists, vascular surgeons, nephrologists and rheumatologists, emphasizing the importance of multidisciplinary analysis in unusual conditions.


REFERENCES

  1. Ormond JK. Bilateral ureteral obstruction due to envelopment and compression by an inflammatory retroperitoneal process. J Urol. 1948; 59: 1072-1079. doi: 10.1016/s0022-5347(17)69482-5.

  2. van Bommel EF, Jansen I, Hendriksz TR, Aarnoudse AL. Idiopathic retroperitoneal fibrosis: prospective evaluation of incidence and clinicoradiologic presentation. Medicine (Baltimore). 2009; 88: 193-201. doi: 10.1097/MD.0b013e3181afc420.

  3. Nakada SY, Best SL. Management of upper urinary tract obstruction. In: Wein AJ, Kavoussi LR, Partin AW, Peters CA, editors. Campbell-Walsh-Wein Urology. 12th ed. Philadelphia: Elsevier; 2020. p. 1977-1981.

  4. Prucha M, Kolombo I, Stadler P. Ormond's Disease--IgG4-related Disease. Prague Med Rep. 2015; 116: 181-192. doi: 10.14712/23362936.2015.57

  5. Liu L, Yan H, Wang Y, Xie Y, Jiang L, Zhao J, et al. Decreased absolute number of peripheral regulatory T cells in patients with idiopathic retroperitoneal fibrosis. Front Immunol. 2022; 13: 1012513. doi: 10.3389/fimmu.2022.1012513.

  6. Gilkeson GS, Allen NB. Retroperitoneal fibrosis. A true connective tissue disease. Rheum Dis Clin North Am. 1996; 22: 23-38. doi: 10.1016/s0889-857x(05)70260-x.

  7. Engelsgjerd JS, LaGrange CA. Retroperitoneal fibrosis. In: StatPearls. Treasure Island (FL): StatPearls Publishing; 2024. Disponible en: https://www.ncbi.nlm.nih.gov/books/NBK482409/

  8. Peisen F, Thaiss WM, Ekert K, Horger M, Amend B, Bedke J, et al. Retroperitoneal fibrosis and its differential diagnoses: the role of radiological imaging. Rofo. 2020; 192: 929-936. doi: 10.1055/a-1181-9205.

  9. Mirault T, Lambert M, Puech P, Argatu D, Renaud A, Duhamel A, et al. Malignant retroperitoneal fibrosis: MRI characteristics in 50 patients. Medicine (Baltimore). 2012; 91: 242-250. doi: 10.1097/MD.0b013e31826b1c1d.

  10. Fry AC, Singh S, Gunda SS, Boustead GB, Hanbury DC, McNicholas TA, et al. Successful use of steroids and ureteric stents in 24 patients with idiopathic retroperitoneal fibrosis: a retrospective study. Nephron Clin Pract. 2008; 108: c213-c220. doi: 10.1159/000119715.

  11. van Bommel EF, Siemes C, Hak LE, van der Veer SJ, Hendriksz TR. Long-term renal and patient outcome in idiopathic retroperitoneal fibrosis treated with prednisone. Am J Kidney Dis. 2007; 49: 615-625. doi: 10.1053/j.ajkd.2007.02.268.

  12. Gao H, Liu S, Mai Y, Wang Y, Zhang X, Zheng S, et al. Combined therapy of prednisone and mTOR inhibitor sirolimus for treating retroperitoneal fibrosis. Ann Rheum Dis. 2023; 82: 688-697. doi: 10.1136/ard-2022-223736.

  13. Cristian S, Cristian M, Cristian P, Constantin G, Savu C, Huri E, et al. Management of idiopathic retroperitoneal fibrosis from the urologist's perspective. Ther Adv Urol. 2015; 7: 85-99. doi: 10.1177/1756287214565637.

  14. Elashry OM, Nakada SY, Wolf JS Jr, Figenshau RS, McDougall EM, Clayman RV. Ureterolysis for extrinsic ureteral obstruction: a comparison of laparoscopic and open surgical techniques. J Urol. 1996; 156: 1403-1410. doi: 10.1016/s0022-5347(01)65601-5.




Figure 1
Figure 2
Figure 3

2020     |     www.medigraphic.com

Mi perfil

C?MO CITAR (Vancouver)

Cir Gen. 2025;47