medigraphic.com
SPANISH

Revista Mexicana de Cirugía Endoscópica

ISSN 1665-2576 (Print)
  • Contents
  • View Archive
  • Information
    • General Information        
    • Directory
  • Publish
    • Instructions for authors        
    • Send manuscript
  • medigraphic.com
    • Home
    • Journals index            
    • Register / Login
  • Mi perfil

2025, Number 1-4

<< Back Next >>

Rev Mex Cir Endoscop 2025; 26 (1-4)

BAGUA bypass anastomosis leak treated with Roux-en-Y conversion

Guzmán-Esquivel H, Arenas-Padilla JA, Pérez-León NF
Full text How to cite this article 10.35366/122146

DOI

DOI: 10.35366/122146
URL: https://dx.doi.org/10.35366/122146

Language: Spanish
References: 12
Page: 39-43
PDF size: 688.20 Kb.


Key words:

anastomotic leak, BAGUA bypass, Roux-en-Y conversion.

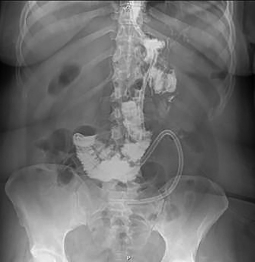
ABSTRACT

Introduction: anastomotic leak is a serious complication in bariatric surgery, and in BAGUA bypass it could be underreported, due to its low incidence, which highlights the importance of documenting the case. Clinical case: 38-year-old woman with a history of hypothyroidism, previous cesarean section and cholecystectomy surgeries, diagnosed with grade III obesity (BMI 41.9), underwent gastric bypass of an anastomosis (BAGUA) in a private setting. Thirteen days later she presented abdominal pain, fever and tachycardia; a CT scan revealed an 8 × 8 × 8 cm hematoma. The following day, she underwent laparoscopy which showed partial dehiscence of the gastrojejunoanastomosis, which was treated with evacuation of the hematoma and primary closure. Seven days later, she came to our unit due to persistence of abdominal symptoms, which led to a new laparoscopy with the presence of anastomosis leakage, evacuation of the hematoma and conversion to Roux-en-Y, placement of nasojejunal tube, leaving the hospital seventeen days later. Conclusion: the initial repair was not successful, but conversion to Roux-en-Y bypass and nasojejunal tube feeding proved to be safe and definitive solutions. It is crucial to develop surgical revision protocols for these complex cases.


REFERENCES

  1. Liagre A, Queralto M, Juglard G, Anduze Y, Iannelli A, Martini F. Multidisciplinary management of leaks after one-anastomosis gastric bypass in a single-center series of 2,780 consecutive patients. Obes Surg. 2019; 29: 1452-1461.

  2. Angrisani L, Santonicola A, Iovino P, Ramos A, Shikora S, Kow L. Bariatric Surgery Survey 2018: similarities and disparities among the 5 IFSO chapters. Obes Surg. 2021; 31: 1937-1948.

  3. Deitel M, Rutledge R. Mini-gastric bypass: prevention and management of complications in performance and follow–up. Int J Surg. 2019; 71: 119-123.

  4. Kermansaravi M, Mahawar K, Davarpanah-Jazi A, Eghbali F, Kabir A, Pazouki A. Revisional surgery after one anastomosis/mini gastric bypass: a narrative review. J Res Med Sci. 2020; 25: 62.

  5. Mahawar KK, Kumar P, Carr WRJ, Jennings N, Schroeder N, Balupuri S et al. Current status of mini-gastric bypass. J Minim Access Surg. 2016; 12: 305-310.

  6. Carbajo MA, Luque-de-León E, Jiménez JM, Ortiz-de-Solórzano J, Pérez-Miranda M, Castro-Alija MJ. Laparoscopic one-anastomosis gastric bypass: technique, results, and long-term follow-up in 1,200 patients. Obes Surg. 2017; 27: 1153-1167.

  7. Genser L, Carandina S, Tabbara M, Torcivia A, Soprani A, Siksik JM et al. Presentation and surgical management of leaks after mini-gastric bypass for morbid obesity. Surg Obes Relat Dis. 2016; 12: 305-312.

  8. Rutledge R. The mini-gastric bypass: experience with the first 1,274 cases. Obes Surg. 2001; 11: 276-280.

  9. Musella M, Susa A, Manno E, De Luca M, Greco F, Raffaelli M et al. Complications following the Mini/One Anastomosis Gastric Bypass (MGB/OAGB): a multi-institutional survey on 2,678 patients with a mid-term (5 years) follow-up. Obes Surg. 2017; 27: 2956-2967.

  10. Haddad A, Bashir A, Fobi M, Higa K, Herrera MF, Torres AJ et al. The IFSO Worldwide One Anastomosis Gastric Bypass survey: techniques and outcomes? Obes Surg. 2021; 31: 1411-1421.

  11. Younis F, Shnell M, Gluck N, Abu-Abeid S, Eldar S, Fishman S. Endoscopic treatment of early leaks and strictures after laparoscopic one anastomosis gastric bypass. BMC Surg. 2020; 20: 33.

  12. Beaupel N, Bruzzi M, Voron T, Nasser HA, Douard R, Chevallier JM. Management of acute intra-abdominal sepsis caused by leakage after one anastomosis gastric bypass. Surg Obes Relat Dis. 2017; 13: 1297-1305.




Figure 1
Figure 2
Figure 3
Figure 4

2020     |     www.medigraphic.com

Mi perfil

C?MO CITAR (Vancouver)

Rev Mex Cir Endoscop. 2025;26