medigraphic.com
SPANISH

Cirujano General

ISSN 2594-1518 (Electronic)
ISSN 1405-0099 (Print)
  • Contents
  • View Archive
  • Information
    • General Information        
    • Directory
  • Publish
    • Instructions for authors        
    • Send manuscript
  • medigraphic.com
    • Home
    • Journals index            
    • Register / Login
  • Mi perfil

2020, Number 1

<< Back Next >>

Cir Gen 2020; 42 (1)

Choledochal cyst

Olmos Casas, Juan1; González Zavala, Pedro Adrián2; Cruz Robles, Jeffery Anzhony3; Olmos Sosa, Juan Enrique4
Full text How to cite this article 10.35366/92710

DOI

DOI: 10.35366/92710
URL: https://dx.doi.org/10.35366/92710

Language: English/Spanish [Versi?n en espa?ol]
References: 15
Page: 38-44
PDF size: 331.24 Kb.


Key words:

Choledochal cyst, hepaticojejunostomy, bile duct, cholangiocarcinoma, endoscopic retrograde cholangiopancreatography.

ABSTRACT

Objective: To present the case of a patient with choledochal cyst and its treatment, due to its low frequency and the high risk of developing cholangiocarcinoma. Presentation: A 26-year-old female with clinical signs of abdominal pain in the right hypochondrium and epigastrium, intolerance to cholecystokinetics, conjunctival jaundice, arrived to urgency with treatment analgesics, USG reporting normal vesicle, normal liver, proximal choledocholum 7 mm, dilated distal common bile duct of 35 mm with microliths inside, are admitted to the floor requesting exams reporting CBC, BC, TP, normal TPT, normal LFT, ERCP is reported, and type I choledochal cyst is scheduled for surgical intervention With the resection of the choledochal cyst and cholecystectomy as well as Roux-en-Y hepaticojejunostomy with prolene 3-0, a 6 x 4 cm choledochal cyst is found ranging from the common hepatic to pancreas, evolving satisfactorily, tolerating the oral route on the fourth day of surgery, leaving on the 7th day, is seen in the consultation, with discomfort of the surgery; being anicteric and with well-healed surgical wound, normal control USG. Control exams with normal CBC, BC, TP, TPT and LFT. Conclusions: It is an infrequent condition. One is found in 100,000 to 150,000, predominantly in Asian countries 20 to 30% is diagnosed in adults. It has a high incidence of developing cholangiocarcinoma, hence the importance of cyst resection. Type I continues to be the most frequent, reporting in the world literature.



INTRODUCTION

The common bile duct cyst is the most frequent malformation of the bile ducts in both children and adults; since the limits between the common bile duct cyst and certain morphological anomalies of the bile duct of congenital origin are still not well defined, the term congenital dilatation of the main bile duct seems preferable to that of common bile duct cyst, which is more restrictive. It is defined as a congenital entity since it has been found in fetuses and neonates at risk of developing cholangiocarcinoma. It presents one case every 100,000 to 150,000 births, which correspond to Anglo-Saxon figures that are believed to be comparable to those of Mexico, and up to one in every 1,000 in Japan and Asian countries; 20 to 30% of the cysts are diagnosed in adulthood, and they are three to four times more frequent in women.1-3 Fernandez et al4 conducted a cross-sectional, retrospective and descriptive study in 2016, where they showed the percentage of the Mexican population that is most affected, from a total of 24 patients who were registered from 2006 to 2012. The study population was taken from the records of patients with diagnosis of choledochal cyst in the Gastroenterology and Pediatric Surgery services of the Pediatric Hospital, Centro Medico Nacional Siglo XXI.4 Of the 24 subjects with complete records, 18 were women (75%), and six men (25%), being a 3:1 ratio. The most frequent age group at the time of diagnosis of common bile duct cyst was infants, 54.2%, 20.8% in preschoolers, 12.5% in schoolchildren, 8.3% in neonates and 4.2% in adolescents. The age group of patients in which surgery was performed most frequently was infants in 15 patients, which corresponds to 62.5%, followed by five in preschool age (20.8%), and similarly in schoolchildren and adolescents, with 4.2%. If we consider the age of surgery, the presence of cholangitis events was found to be more frequent in infants (81.8%), while in both preschoolers and adolescents, cholangitis events did not occur. In Mexico City n = 10 or 41.7%, Querétaro and Chiapas n = 3 or 12.5% cysts were reported. The rest of the states Tlaxcala, Veracruz, Quintana Roo, Morelos, Guanajuato, Puebla, Guerrero, and Aguascalientes reported one case each.

Currently, the concern is due to the possibility that it may evolve into a cholangiocarcinoma since its prevalence increases up to 20 times in relation to the population without this pathology. For type I cyst, its relation to malignancy ranges from 2.5 to 26%, and compared with types II, III and IV its percentage in relation to malignancy transformation ranges from 10-15%, with a risk of post-surgical malignancy of 0.7%,5,6 as well as of cholangitis and pancreatitis due to reflux of infected bile or bacteriobilia. Malignant transformation is the most serious complication, with a poor prognosis for survival with extremely unfavorable outcomes, with a reported median survival of six to 21 months.6

Its etiology is still a subject of discussion. In 2015, Hong-Tian Xia and his group7 demonstrated that there may be embryological and other acquired factors, and that among the congenital ones the most accepted is the abnormality in the pancreaticobiliary junction ranging from 50 to 80%, although not all causes are due to an anatomical abnormality. Based on their study with 27 patients, it was revealed that 21 presented pancreaticobiliary reflux, and of these 21, four presented an abnormal anatomical pancreaticobiliary junction, which has shown that not only the anatomical abnormality of the biliopancreatic junction as the cause of common bile duct cysts, but also the presence of pancreaticobiliary reflux, that amylase levels may or may not be elevated and that the cause of pancreaticobiliary reflux is not completely explained, and that the only thing that explains the presence of pancreaticobiliary reflux (80% of anatomically normal patients) is the dysfunction of the sphincter of Oddi as the primary cause of choledochal cysts.

Pathophysiology of the common duct and biliopancreatic malunion. The anomaly of the pancreaticobiliary junction and pancreaticobiliary reflux have become more important in recent years, with the advance in the understanding of the pathophysiology and the contribution to bile duct cancer and pancreatitis development. The alteration of the pancreaticobiliary junction is defined as a congenital anomaly that consists of the union of the pancreatic duct and biliary tract outside the duodenal wall, forming a common and long duct (> 15 mm). In this way, the sphincter of Oddi does not fulfill its function and as there is a greater hydrostatic pressure in the pancreatic duct, it allows the reflux of pancreatic juice and bile into the biliary tract. This produces endothelial damage and epithelial hyperplasia and metaplasia, which in turn promotes the progression to carcinoma.8



TODANI'S CLASSIFICATION

Type I: cystic dilatation of the common bile duct, almost globally, including the cystic duct; there are three subtypes according to the fusiform or saccular shape, and the involvement at the site of convergence.

  • I A: cystic dilatation.
  • I B: focal dilatation.
  • I C: fusiform dilatation of the common bile duct.

Type II: choledochal diverticulum corresponding to saccular and lateral dilatations, with short and narrow neck; it is found in 2-10% of patients.

Type III: corresponds to choledochocele with dilatation of the terminal portion protruding into the duodenal lumen and is found in 1.4-5% of patients.

Type IV: a cystic dilatation that can be associated in up to 20% of patients with a cystic duct dilatation.

It has been subdivided into type IVA when there are multiple intrahepatic and extrahepatic cysts, and IVB when they are only extrahepatic.

Type V: cystic dilatations of exclusive localization in the intrahepatic biliary tract, also called Caroli's disease. When it is associated with periportal fibrosis it is known as Caroli's syndrome (Figure 1).9



COMPLICATIONS

Postoperative morbidity and mortality are typically extremely low in children, while postoperative complications are more commonly seen in adult patients. Late complications (over 30 days postoperatively) occur in up to 40% of adult patients and include anastomotic stenosis, cancer, cholangitis, and cirrhosis. As part of the medium-term cares, close and consecutive monitoring of patients is recommended for timely interventions, if necessary.10,11



CASE PRESENTATION

A 26-year-old woman who began her illness in June 2002 with abdominal pain in the epigastrium and right hypochondrium after ingestion of cholecystokinetic foods, was treated then with paracetamol 500 mg orally every eight hours and butylhioscine 10 mg orally every eight hours in case of pain for a month, with temporary remission of the condition and exacerbations during her stay in the emergency room in the first hours.

Physical examination showed painful facies, conjunctival jaundice, normal lung fields, and a soft tender abdomen on palpation of the epigastrium and right hypochondrium, positive Murphy's sign, no palpable masses, no visceromegaly, and no signs of peritoneal irritation. The rest of the physical exam was normal.

Lab tests were performed with the following findings: hemoglobin 13.4 mg/dl, hematocrit 40.1%, leukocytes 8.9 × 103/l, platelets 234 × 109/l, glucose 76 mg/dl, creatinine 0.8 mg/dl, BUN 10 mg/dl, total bilirubin 4.1 mg/dl, direct bilirubin 3.6 mg/dl, indirect bilirubin 0.5 mg/dl, amylase 75 U/L, lipase 95 UI/L, AST 23 UI/L, ALT 30 UI/L, alkaline phosphatase 100 U/L, GGT 40 UI/L, and normal urinalysis.

Un ultrasonographic study of liver and biliary tract showed normal liver, proximal common bile duct of 7 mm, dilated distal common bile duct of 27 mm with microliths inside, with an appearance suggesting a common bile duct cyst, gallbladder measuring 82 × 37 mm with a wall thickness of 2 mm without stones in its interior, and pancreas, kidneys, and spleen normal. The ultrasound diagnostic impression was that a common bile duct cyst with microliths inside (Figure 2).

Given the patient's indecision to accept further studies and surgical management, she was discharged after four days of hospital stay and care as outpatient. An endoscopic retrograde cholangiopancreatography (ERCP) and a new ultrasound of the liver and biliary tract were requested, as well as laboratory tests, liver function tests (LFTs), blood cell count, blood chemistry, and coagulation studies that revealed an increase of total bilirubin in 4. 0 mg/dl at the expense of direct bilirubin with 3.6 mg/dl. The rest of the lab results were normal. Conservative management was offered to the patient, and since there was no surgical emergency, a protocol for surgical treatment of the common bile duct cyst was initiated at the outpatient clinic.

Another ultrasonographic study was performed as an outpatient that showed a normal liver, an anechoic gallbladder measuring approximately 6.3 × 3.1 cm with a thickness wall of 4 mm, and the presence of a common bile duct cyst in the distal region measuring 1.35 × 2.4 × 0.72 cm (Figure 3). The common bile duct was of normal caliber in its proximal segment with well-delimited edges without significant compression of neighboring organs.

After her informed consent was obtained and preoperative surgical protocol was completed, an endoscopic retrograde cholangiopancreatography was programmed, as it is the resource available in our institution, with the following report.

Endoscopic retrograde cholangiopancreatography: a fusiform cystic dilatation of the distal common bile duct of 2.8 cm in its widest portion that begins 1.6 cm below the confluence of the hepatic ducts at the level of the cystic junction was seen, extending for 4.8 cm, and ending in a segment of a narrow common bile duct that is insufficient to empty the cyst. The gallbladder was partially opacified, and the common hepatic duct, the carina, and both right and left hepatic ducts had normal diameter and configuration; the intrahepatic biliary tract was normal (Figure 4).

Diagnostic impression: the preoperative diagnosis was that of a fusiform solitary common bile duct cyst type I (Todani's classification). Once the preoperative protocol was completed and the anatomy of the cyst was defined, as well as its classification and relationship with adjacent structures, elective surgery was performed.

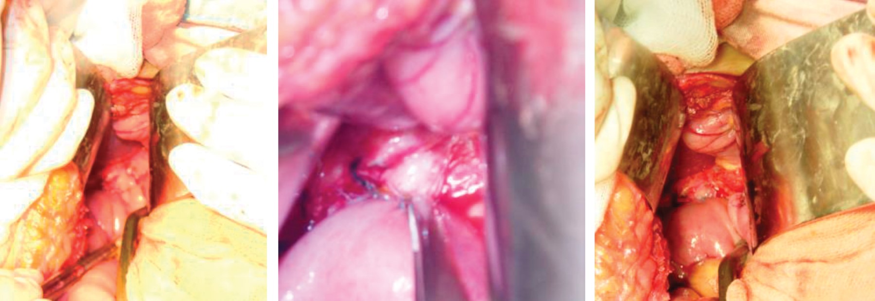
Under mixed anesthetic block, after asepsis and antisepsis of the region, sterile fields were placed and a right subcostal incision was made. The dissection was performed by planes until reaching the abdominal cavity. The gallbladder was identified, and dissection of the cystic and its artery was started. Then the gallbladder was dissected in an anterograde way until reaching its union with the common bile duct; the common bile duct was dissected along the cyst. The bleeding vessels were clamped, cut and ligated with 2-0 silk suture, then the proximal portion of the common bile duct was sectioned and dissected until reaching its distal portion, which was clamped, cut and ligated. Then the jejunum was sectioned approximately 40 cm from the Treitz ligament, and an end-to-side anastomosis was performed in two planes with a 3-0 Vicryl and a 2-0 silk sutures at 70 cm from the loop that goes towards the common hepatic duct. Then, a hepato-jejunal anastomosis was performed with 3-0 prolene sutures in one plane (Figure 5).

Operative findings: a common bile duct cyst of approximately 6 × 4 cm, gallbladder without stones was found, and the liver was of normal appearance (Figures 6 and 7).

Postoperative evolution was satisfactory, starting oral administration on the fourth day and the patient was discharged on the seventh day after surgery.

At present, her excellent evolution and her general good condition is corroborated, as well as her reintegration to her work and social roles through outpatient control with USG and laboratory tests.



DISCUSSION

Choledochal cysts are mostly diagnosed in childhood or adolescence, and only 20-30% occur in adults. It is an exceedingly rare pathology in our setting, the most frequent symptoms being abdominal pain in the right hypochondrium and jaundice. Adults usually present a less florid clinical picture, which leads to a late diagnosis. The therapeutic approach to biliary cysts depends on the type of cyst.

Within the protocol for the management of common bile duct cyst, it must be classified by means of imaging studies, of which magnetic resonance (MR)-cholangiography is the one of choice. Since MR-cholangiography was not available at our institution, ERCP was used in this case, which allows identification of the cyst anatomy and planning of surgical management,12 consisting of complete resection of the cyst plus Roux-en-Y hepato-entero-anastomosis, which can currently be performed laparoscopically.13-15

In our case, an open cholecystectomy and Roux-en-Y hepato-entero-anastomosis were performed satisfactorily. These procedures were done due to the lack of equipment and thanks to the experience in biliodigestive derivations in our unit, obtaining favorable results with the patient. The patient was seen one month, six months and one year later, with lab control including liver function tests. All the results were within normal parameters. The patient continues to carry out his daily activities.

The prognosis for patients with cholangiocarcinoma originating from a common bile duct cyst is grim, with a reported median survival of six to 21 months. The poor prognosis of patients with cholangiocarcinoma is mainly because the tumor is diagnosed in late stages; in the studies carried out by Xiao-dong et al,7 patients with cholangiocarcinoma were detected in early stages, and they had a better prognosis in patients with stages Ia, Ib, and IIa of cholangiocarcinoma diagnosis, having achieved 90.4, 40.0 and 25.15% five-year survival, respectively.



CONCLUSION

Overall, choledochal cyst resection has an excellent prognosis, with 89% event-free and a total of five-year survival. The prognosis for the patient with cholangiocarcinoma arising from a common bile duct cyst is dismal, with a reported median survival of six to 21 months. The poor prognosis of patients with cholangiocarcinoma was mainly attributed to the late stage of the tumors at diagnosis. Malignancy was rarely observed in patients with cysts removed in childhood, but the risk of malignant transformation increases with age. This risk is less than 1% if the choledochal cyst appears before the age of 10 years but increases to 14% after 20 years of age.


REFERENCES

  1. Alvarado-García R, Reza-Villa A, Uribe-Ramos D, Gallego-Grijalva JE. Quiste gigante de colédoco. Informe de un caso pediátrico. Cir Ciruj. 2002; 70: 40-43.

  2. Acevedo-Polakovich D, Rivas-Rivera IA, Rodríguez-López A. Quiste de colédoco: cuadro clínico, diagnóstico y tratamiento. Acta Med. 2015; 13: 171-176.

  3. Xia HT, Wang J, Yang T, Liang B, Zeng JP, Dong JH. Sphincter of Oddi dysfunction and the formation of adult choledochal cyst following cholecystectomy: a retrospective cohort study. Medicine (Baltimore). 2015; 94: e2088. doi: 10.1097/MD.0000000000002088.

  4. Fernández-Bobadilla N, Flores-Calderón J, Bernabé-García M, Lagarda-Cuevas J. Caracterización clínica de niños con quiste de colédoco. An Med (Mex). 2016; 61: 11-19.

  5. Fernández de Córdova L, Valverde-Guerrero G, Narváez-Ludeña GG, Orellana-Cobos DF, Vélez AP. Quiste de colédoco, reporte de caso en el Hospital "Vicente Corral Moscoso". Rev Méd Hosp José Carrasco Arteaga. 2014; 6: 180-183.

  6. Jiménez-Ballester MA, Soria-Aledo V, Martín-Lorenzo JG, Olalla-Muñoz JR, Giménez-Bascuñana A, Alcaraz-Mateos E, et al. Quiste de colédoco tipo II intrapancreático del adulto malignizado: duodenopancreatectomía. Rev Esp Enferm Dig. 2014; 106: 223-226.

  7. Xiao-dong H, Wang L, Liu W, Liu Q, Qu Q, Bing-lu L, et al. The risk of carcinogenesis in congenital choledochal cyst patients: an analysis of 214 cases. Ann Hepatol. 2014; 13: 819-826.

  8. Baca PE, Peralta A, Argüello BJ, Castañeda OAB, Hernández AM, Ochoa GP. Tratamiento laparoscópico del quiste de colédoco en niños. Acta Med. 2015; 13: 38-41.

  9. de Vries JS, de Vries S, Aronson DC, Bosman DK, Rauws EA, Bosma A, et al. Choledochal cysts: age of presentation, symptoms, and late complications related to Todani's classification. J Pediatr Surg. 2002; 37: 1568-1573.

  10. Chaurand-Lara M, Canto-Cervera A. Quistes de colédoco. Evid Med Invest Salud. 2015; 8: 37-40.

  11. Soares KC, Arnaoutakis DJ, Kamel I, Rastegar N, Anders R, Maithel S, et al. Choledochal cysts: presentation, clinical differentiation, and management. J Am Coll Surg. 2014; 219: 1167-1180.

  12. Vivas-Colmenares GV, Millán-López A, De Agustín AJC. Optimización en la estrategia diagnóstica y terapéutica en el quiste de colédoco. Rev Chil Cir. 2015; 67: 278-284.

  13. Giha S, Redondo Y, Quintero G. Quiste de colédoco: diagnóstico y manejo intraoperatorio. Pediatr. 2016; 49: 64-67.

  14. Gadelhak N, Shehta A, Hamed H. Diagnosis and management of choledochal cyst: 20 years of single center experience. World J Gastroenterol. 2014; 20: 7061-7066.

  15. Crisanto-Campos BA, Torres-Ruíz MF, Vázquez-Bailón IJ, Dávila-Zenteno MR, Arce-Liévano E, Cárdenas-Lailson LE, et al. Quiste de colédoco en adultos: resección totalmente laparoscópica. Reporte de caso. Rev Mex Cir Endoscop. 2013; 14: 38-42.



AFFILIATIONS

1 General Surgeon, Physician ascribed to the Department of General Surgery, Hospital General de Zona (HGZ) No. 36, IMSS. Coatzacoalcos, Veracruz.

2 Undergraduate Medical Intern ascribed to the HGZ No. 36, IMSS. Coatzacoalcos, Veracruz.

3 Undergraduate Medical Intern ascribed to the Regional General Hospital No. 36, IMSS. Puebla, Puebla.

4 First year medical student. Popular Autonomous University of the State of Puebla (UPAEP). Puebla, Puebla.



Ethical considerations and responsibility: Data privacy. In accordance with the protocols established at the authors\' work site, the authors declare that they have followed the protocols on patient data privacy and preserved their anonymity. The informed consent of the patient referred to in the article is in the possession of the author.

Funding: No financial support was received for this study.

Disclosure: The authors declare that there is no conflict of interest in this study.



CORRESPONDENCE

Dr. Juan Olmos-Casas. E-mail: dr.olmoscasas@hotmail.com




Received: 03/05/2018. Accepted: 03/06/2019

Figure 1
Figure 2
Figure 3
Figure 4
Figure 5
Figure 6
Figure 7

2020     |     www.medigraphic.com

Mi perfil

C?MO CITAR (Vancouver)

Cir Gen. 2020;42