medigraphic.com
SPANISH

Acta Ortopédica Mexicana

ISSN 2992-8036 (Electronic)
ISSN 2306-4102 (Print)
Órgano Oficial del Colegio Mexicano de Ortopedia y Traumatología
  • Contents
  • View Archive
  • Information
    • General Information        
    • Directory
  • Publish
    • Instructions for authors        
  • medigraphic.com
    • Home
    • Journals index            
    • Register / Login
  • Mi perfil

2020, Number 4

<< Back

Acta Ortop Mex 2020; 34 (4)

Bilateral mirror hand: 2-year follow-up and literature review

González-Pola, R1; Hernández-Álvarez, MA2; Domínguez-Castro, CR1; Fuentes-Ortiz, ME3; Gil-Orbezo, F1,4; Trueba-Davalillo, CA1,5
Full text How to cite this article 10.35366/97562

DOI

DOI: 10.35366/97562
URL: https://dx.doi.org/10.35366/97562

Language: English/Spanish [Versi?n en espa?ol]
References: 13
Page: 261-266
PDF size: 1699.35 Kb.


Key words:

Hand mirror, dimelia cubital, pollicization of the thumb.

ABSTRACT

Introduction: Mirror hand syndrome is a very rare congenital deformity, also called cubital dimelia, characterized by the absence of the thumb, as well as the duplication of the fingers in a symmetrical image and, in some cases, with a duplication of the bones of the forearm. Methods: The current treatment consists of a thumb reconstruction through thumb pollicization, although there are alternatives such as rotating osteotomy, syndactylization or conservative treatment. In this article we present the case of a girl with a non-classic bilateral mirror hand, the clinical and radiological findings, the bilateral surgical technique in two surgical times with six months of difference and two years follow-up. Results: Complete mobility arches, as well as a good hand holding function were achieved with metacarpophalangeal thumb flexion 0-40o, interphalangeal 5-45o and abduction-adduction 0-50o. We achieved a complete opposition of the new thumb with respect to the other fingers. The strength of the clamp between the fingers was 75.2% of the normal force for her given age, while the strength of the lateral clamp of 66.3% and that of the grip of the fist was 69.1%. Conclusion: The surgical technique in the present case (pollicization of the thumb) is an excellent option, achieving objectives of fine and gross motor skills, and good cosmetic results.



INTRODUCTION

Mirror hand syndrome, it is a very rare dysontogenic deformity of the upper extremity, a spectrum of cubital dimelia, characterized mainly by the symmetrical duplication of the image of the fingers, the ulna, ulnar carpal bones, absence of thumb and, in occasions, of the radius; with symmetric polydactyly from the midline, with an absent thenar region and with trifalangic fingers in semiflexion (due to the weakness of extensor muscles of the forearm), also described as ulnar deviation with an active and passive limitation for palmar extension.1 There are usually alterations of the bones and muscles of the forearm, which are more evident in the spectrum of classic ulnar dimelia, affecting both the proximal and distal joints.2 Also, it is often accompanied by an alteration of the lower extremities or some other congenital malformation.3 An attempt has been made to explain the genetic alteration of the malformation, finding specific genes with variable expression and multilocus.4 There are approximately 60 cases described in the literature since its first description in 1587.5,6

Al-Qattan et al.1 classified this deformity as a spectrum (Table 1), based on it, this patient presents an intermediate mirror type 3A (in the so-called "classical" form of the spectrum of mirror hand, the forearm contains 2 ulnae, one hypoplastic in most patients).

Also, we can classify it according to the classification proposed by Swanson7 and adopted by the American Society for Hand Surgery (ASSH) and the International Federation of Societies for Hand Surgery (IFSSH), having a defect by duplication type III (Table 2).

One of the main objectives of the surgical correction of the mirror hand deformity is the reconstruction of the thumb, which is done by the pollicization of one of the radial fingers. In this article, we present a bilateral mirror hand syndrome, treated with bilateral Buck-Gramcko type pollicization in 2 surgical times 6 months apart, as well as functional evaluation with particular attention to the thumbs.



CASE PRESENTATION

We present the case of a patient admitted to our hospital, presenting bilateral polydactyly. The patient had no family history of congenital malformations, and as a past medical illness, she was diagnosed with Hirschsprung’s disease at birth, requiring surgical treatment at one month of age, with resection and derivation of the aganglionic segment, without complications.

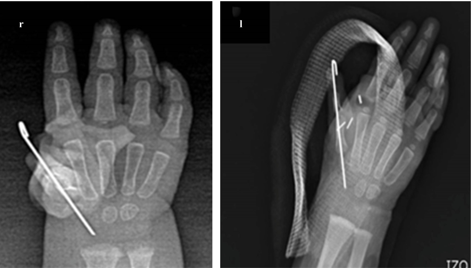
Physical examination presented (Figure 1) both symmetrical thoracic extremities, without shortening nor scapular waist or joint elbows deformities, with posterior hypoplastic forearm musculature, without limitation for prone-supination, both wrists in flexion pose at 40o, limited to 20° extension. The hands with the presence of 6 fingers in both hands in an attitude of flexion, presenting three post-axial triphalangeal fingers and three preaxial, morphologically normal. The examination shows complete mobility arches in shoulders and elbows, without joint instability, with limitation in both wrists (palmar flexion of 75°, dorsal extension 20°, abduction and adduction 5°), the arcs of mobility of the postaxial fingers was normal, and the preaxial fingers showed complete mobility arcs but decreased strength 4/5 on the Daniel’s scale, without pain. Simple X-rays of both hands were requested (Figure 2), finally integrating the diagnosis of bilateral mirror hand syndrome.

After an informed consent by the parents of the patient, surgical treatment was decided on, in 2 surgical times 6 months apart, which consisted of bilateral pollicization using the principles described by Buck-Gramcko8 for the reconstruction of the thumb keeping the more functional accessory radial finger and a transfer of the intrinsic muscles. The surgical technique is described below, which was the same in both surgical times.

Starting with the incision, although there are many described for pollicization of the thumb in mirror hand syndrome,9,10,11 none is based on the principle described by Buck-Gramcko in the functional and cosmetic requirements, so the characteristics of our approach were:

    • Wide approach for the dissection of the anatomical elements, which achieves a limited scar. • A cutaneous flap to allow full abduction and opposition of the thumb. • A scar that is not around the base of the "new" thumb, to avoid retraction and trophic changes. • Form a "fold" from the base of the middle finger to the base of the thumb, in a precise position, reducing risk of retraction.

After the incision on the palmar and dorsal side in the hypothenar region corresponding to the 1st and 2nd radial finger, dissecting to the tendinous plane, we released the interosseous muscles of the first radial finger, identifying and releasing the neurovascular bundles, and the extensor and flexor tendons. A carpometacarpal arthrotomy and ablation of the skeleton of the second radial finger was performed.

Scheker-type incision is made in the second radial finger, neurovascular bundles are identified and released from flexor II to flexor IV and pulleys A1 and A2, performing microdissection of the common digital nerve to zone IV, ligating the radial digital artery of the third radial finger. We continue with the identification and release of interosseous muscles, lumbricals muscles, intermetacarpal ligament and extrinsic extensor tendons as well as the dorsal venous system.

Subsequently, a section was made through the distal physis of the 1st radial metacarpal to perform a carpometacarpal arthrotomy and ablation of the first metacarpal and the second radial finger, maintaining the reduction in hyperextension of the metacarpal head and fixation with 0.35 K-wire, making the fixation of metacarpal to the distal carpus with 4-0 nylon suture.

The first radial ray was rotated longitudinally by 30°, palmar abducted by 40°, to avoid a hyperextension deformity and fixed with absorbable sutures and in position with a 0.35 K-wire. Based on previously described techniques (Pintilie et al10) tendon transfer was made from the common extensor of the fingers to the lumbrical with a interosseous tenodermodesis to the radial aspect of the finger, the interosseous fixation to remnants of pulleys with plication of the extensor apparatus extrinsic towards the thumb, so that the radial intrinsic muscles function as abductors, and the ulnar muscles as their synergists (Figure 3).

The closure of flaps was performed with 5-0 Nylon and, at the end of surgery, the thumb had a satisfactory aesthetic appearance, the attitude of the wrist in discrete flexion was still present, so we left a splint with a Spica, the only technical difference between surgeries was that a Hemoclip (vascular ligation) was used in the left hand (Figure 4). With ischemia on average of 97 min (99 min and 96 min respectively) and a total average surgical procedure duration of 193 min (197 min and 190 min respectively). We had no neurovascular complications.

The cast and K-wire were removed four weeks after surgery and a short arm thumb Spica splint was fabricated. She received postoperative physical therapy and occupational therapy, based on physical agents (paraffin) to facilitate healing, pain control and tissue regeneration, laser and therapeutic ultrasound and electro-stimulation to thenar region (reactivation and recruitment of motor muscle fibers) were also applied.

Occupational therapy facilitated recruitment of muscle fibers for fine and thick grasps and scopes. Activities for encouraging grasp pattern include tearing up paper, picking up pencils, opening containers, playing with small objects (cars, coins and blocks), coloring/scribbling and pulling apart sticker, obtaining excellent response for the flexor pollicis longus. We continued with a splint to improve the position of the thumb in the carpometacarpal joint, and with occupational therapy, favoring a thick and fine grasp for 1 year (Figure 5).



RESULTS

There are a variety of factors that affect outcome,12 including status of fingers, age of surgery, technical factors (incision, technique, dressings, etc.), the surgeon and rehabilitation. The main factor is the preoperative status of the index finger and the presence or absence of adequate muscles/tendon units. At the two-year follow-up, the patient presented the following:

The active ranges of mobility of the interphalangeal and metacarpophalangeal joints of the thumb have remained stable in both hands. She presents a wide range of movement in the ulnar joint (flexion-extension 120-10°, pronation-supination 0-30°) and in the wrist joint (palmar flexion 80°, dorsal flexion 45°, adduction 5° and abduction 20°) as well as a good hold function of the hand were achieved with thumb flexion MCP 0-40, PIP 5-45° and abduction-adduction 0-50°. We achieved a complete opposition of the new thumb with respect to the other fingers.

The strength of the clamp between fingers was for 75.2% of the force normal for age, while the force of the lateral clamp was for 66.3% and that of the fist was for 69.1%.

The result of the subjective assessment was that the parents considered the function of the hand and right thumb as Good, and of the left hand as Excellent; the appearance of both hands as Good, based on the quick-DASH and PRWE questionnaire (Patient Rated Wrist and Hand Evaluation).18 The satisfaction of the surgeon with the function and appearance of both surgeries, was 85% and 90% respectively.



DISCUSSION

There are few descriptions of the mirror hand syndrome in the literature. There may be a complete duplication of the hand, including the thumb with a normal radius and the ulna.3 King and Hoyes6 described a case with eight digits in the hand and a forearm with an ulna and a distinguishable radius. Yang et al7 reported a case with multiple fingers but with a different radius and ulna. Barton et al2 described a variant with multiple fingers, two ulnae (one vestigial) and one radius. These variants are probably intermediate between the classic ulnar dimelia and multiple hand deformities, since the duplication of the hand is incomplete.

This rare malformation of both hands presented great surgical challenges. Primary reconstruction, particularly pollicization, must be done as soon as possible.3 And hope that it is not necessary to make additional corrections, referring to the function of the elbow and wrist, which in this case had no congenital malformation. Temporary immobilization by a Kirschner wire in the metacarpophalangeal joint is a valuable way to achieve a correct position of pollicization.

The comparison of the results of this study with previous studies is difficult because most of them have provided a minimum objective description of the physical characteristics and a limited subjective evaluation of the aesthetic result without long-term postoperative follow-up.

The patient in our case report had a radius and an ulna clearly discernible and, therefore, cannot be classified as ulnar dimelia, otherwise "non-classical mirror hand", presenting a normal skeletal pattern of the forearm, as well as normal function of the elbow and forearm joint. The lack of extension of the wrist is common in the true ulnar dimelia, since the lack of a radius is usually accompanied by a lack of extensors of the wrist, it is not clear why there was weakness of the extensor mechanism of the wrist in this case, we try to explain it by means of a dichotomy between bone development and muscular development. Nowadays, our patient is able to perform her daily activities with both hands, particularly after the improvement of the mobility and strength arcs obtained due to a specialized physical therapy.

Due to the dynamic nature of the deformities of the mirror hand, the associated functional and structural alterations can develop even after the initial successful reconstruction,13 so we recommend a long-term follow-up, since the secondary surgical corrections will be efficient at any age, stating that primary surgery has to be done as early as possible taking advantage of the patient’s cerebral plasticity in terms of use and function of the limb. The ideal age to perform surgery is debatable. Even though earlier surgery takes advantage of brain plasticity and ease of incorporation into activities, we must deal with the relatively small anatomical size of the neurovascular and musculocutaneous structures. We recommend pollicization at about one year of age to allow for some hand growth, while optimizing the positive aspects of youth.


REFERENCES

  1. Al-Qattan MM, Al-Thunayan A, De Cordier M, Nandagopal N, Pitkanen J. Classification of the mirror hand-multiple hand spectrum. J Hand Surg Br. 1998; 23(4): 534-6.

  2. Barton NJ, Buck-Gramcko D, Evans DM, Kleinert H, Semple C, Ulson H. Mirror hand treated by true pollicization. J Hand Surg Br. 1986; 11(3): 320-36.

  3. Buck-Gramcko D. Pollicization of the index finger. J Bone Joint Surg. 1971; 53A: 1605-17.

  4. Matsumoto N, Ohashi H, Kato R, Fujimoto M, Tsujita T, Sasaki T, et al. Molecular mapping of a translocation breakpoint at 14q13 in a patient with mirror-image polydactyly of hands and feet. Hum Genet. 1997; 99(4): 450-3.

  5. Irani Y, Salazard B, Jouve JL. Ulnar dimelia: Management of a rare malformation. Chir Main. 2007; 26(6): 303-5.

  6. King RJ, Hoyes AD. The mirror hand abnormality. Hand. 1982; 14(2): 188-93.

  7. Yang SS, Jackson L, Green DW, Weiland AJ. A rare variant of mirror hand: a case report. J Hand Surg. 1996; 21A: 1048-51.

  8. Harpf C, Hussl H. A case of mirror hand deformity with a 17-year postoperative follow up. Case report. Scand J Plast Reconstr Surg Hand Surg. 1999; 33(3): 329-33.

  9. Manske PR, Rotman MB, Dailey LA. Long-term functional results after pollicization for the congenitally deficient thumb. J Hand Surg Am. 1992; 17(6): 1064-72.

  10. Pintilie D, Hatmanu D, Olaru I, Panoza G. Double ulna with symmetrical polydactyly. Case report. J Bone Joint Surg Br. 1964; 46: 89-93.

  11. Tomaszewski R, Bulandra A. Ulnar dimelia-diagnosis and management of a rare congenital anomaly of the upper limb. J Orthop. 2015; 12(Suppl 1): S121-4.

  12. Schmit P, Guéro S, Brunelle F. Ulnar dimelia: imaging modalities and surgical implications. J Radiol. 2000; 81(3): 219-22.

  13. Kozin SH. Pollicization: the concept, technical details, and outcome. Clin Orthop Surg. 2012; 4(1): 18-35.



AFFILIATIONS

1 Ortopedia y Traumatología.

2 Cirugía de Mano y Microcirugía, Servicio de Ortopedia.

3 Fisioterapeuta y Terapeuta Ocupacional.

4 Jefe de Servicio.

5 Jefe de Curso.




Figure 1
Figure 2
Figure 3
Figure 4
Figure 5
Table 1
Table 2

2020     |     www.medigraphic.com

Mi perfil

C?MO CITAR (Vancouver)

Acta Ortop Mex. 2020 Jul-Ago;34