medigraphic.com
SPANISH

Revista Odontológica Mexicana Órgano Oficial de la Facultad de Odontología UNAM

ISSN 1870-199X (Print)
Órgano oficial de la Facultad de Odontología, UNAM
  • Contents
  • View Archive
  • Information
    • General Information        
    • Directory
  • Publish
    • Instructions for authors        
  • medigraphic.com
    • Home
    • Journals index            
    • Register / Login
  • Mi perfil

2020, Number 2

<< Back

Rev Odont Mex 2020; 24 (2)

Dental management in patients with head and neck cancer undergoing surgery, radiotherapy and / or chemotherapy

Alvarado Gamboa, Esperanza1; Jiménez Castillo, René1; Ibieta Zarco, Blanca Rosa1
Full text How to cite this article

Language: English/Spanish [Versi?n en espa?ol]
References: 19
Page: 157-166
PDF size: 331.76 Kb.


Key words:

Maxillofacial prosthesis, chemotherapy, radiotherapy, head and neck cancer.

ABSTRACT

The dental management and rehabilitation of maxillofacial prosthesis that should be given to the patient with head and neck cancer undergoing cancer treatments such as surgery where large recessions of orofacial tumors are performed, and sometimes concomitantly administered radiotherapy and/or chemotherapy therapies which can cause oral side effects which must be controlled so that they do not become complications, so that good oral health is transcendental for the patients quality of life. The importance of providing adequate dental and prosthetic management begins with oral hygiene, dental and periodontal rehabilitation, as well as the maxillofacial prosthesis that covers post-surgical defects should be well adapted to support phonation, speech, chewing and swallowing, and Including the use of antiseptics and medicated toothpastes, helps keep the oral cavity in good condition and increases tolerance to cancer therapies.



INTRODUCTION

Head and neck cancer occupies the sixth place of neoplasm in the world, the histological type that occurs most frequently is squamous cell carcinoma, in 90%. Within the body this histological type occupies 6%, and 20% of the total of malignant neoplasm of the upper air digestive tract. It usually appears in 4th decade of life (Figure 1).

Risk factors related to these conditions are smoking in 40%, followed by daily alcohol intake with 30%; when both factors are combined, increase the risk by up to 90%. Another risk factor is the human papillomavirus (HPV) which is associated with malignant neoplasm in 5%.

The management of this kind of neoplasm is multidisciplinary and it depends on the location, size, type, tumor extension and stage of the disease. Surgery (Qx) is the first choice, followed by radiotherapy (RT) and/or chemotherapy (CT).

Therapies can be administered before (neoadjuvant) or after (postoperative adjuvant) surgery, or they could be combinated. Oncological surgery can leave orbit facial and/or oral defects. RT and/or CT treatments cause side effects in mouth, starting with stomatitis, followed by mucositis, xerostomia (dryness), dysgeusia, dental caries caused by chemotherapy or post radiotherapy dental caries, trismus and osteoradionecrosis; sometimes they are accompanied by paresthesia or pain, among other symptoms.

Side effects are reflected in patients as difficulty in speaking, phonation, mastication and swallowing, which is why dental management and rehabilitation on time are important to preserve affected organs functions, beneficially impacting quality life. This care should be provided before, during and after oncological treatments.1-5

Aim: to inform the general practice dental surgeon and maxillofacial prosthesis specialist about dental management and prosthetic rehabilitation in patients with head and neck cancer undergoing oncological treatment and to identify oral and facial effects produced by surgery, radiotherapy and/or chemotherapy.



ONCOLOGICAL TREATMENT EFFECTS

Chemotherapy. Mucositis is the first manifestation in the oral cavity when applying this therapy, consisting in thinning of the oral mucosa, followed by desquamation, erythema and ulceration. Mucositis encourages the entry of microorganisms that cause some systemic infections. This can be considerably reduced by carrying out a proper dental management. When only CT is applied, the oral effects appear from 40 to 70%. Applying both therapies, CT and RT, oral effects are increased by up to 90%, especially if the area to radiate covers the oral cavity.6 Some cases of oral CT effects are shown in Figure 2.

Hemorrhages, xerostomia, dysgeusia, neurotoxicity are other oral effects produced by CT. Xerostomia consists of intracellular changes due to a decrease in salivary fluid and an acid salivary ph. Acid salivary pH causes demineralization of tooth enamel and favors the development of dental caries due to chemotherapy. Dysgeusia is the alteration of the taste buds and neurotoxicity occurs because CT affects the trigeminal nerve (neuropathies) reflecting discomfort in the temporomandibular joint (TMJ) limiting mouth opening. Sometimes paresthesia also occurs.7

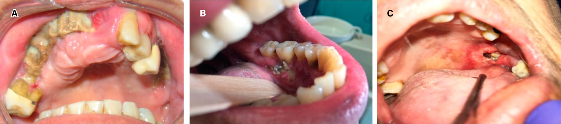
As support in the treatment of CT, bisphosphonates (BP) have recently been used because they inhibit osteoclast production and decrease bone resorption; they are used to control bone metastases and osteolysis (decalcification) in advanced cancer. There are oral and intravenous BPs (zoledronic and pamidronic acids). Intravenous BP can cause the adverse side effect, the osteonecrosis in jaw. A side risk factor in development of osteonecrosis in jaw is a bone trauma as surgical tooth extraction (the most common). Sometimes bone necrosis can occur spontaneously. Dentist in charge should be informed of the osteonecrosis associated with BP and should keep communication with the oncologist who takes care of the case.8,9 Cases of osteonecrosis due to BP are shown in Figures 3 and 4.

Radiotherapy. Produces oral secondary effects when the radiations cover the oral cavity. The following described: xerostomia, mucositis, post-radiation dental caries, dysgeusia, trismus, osteoradionecrosis. These effects are reflected by altering speech, mastication, swallowing, and phonation.10 Cases of secondary oral effects due to RT are shown in Figure 5.

Surgery. Oncological surgery is defined as the total or partial resection of head and neck malignant neoplasm by surgical interventions. Its purpose is to eliminate cancer in a curative way, preserving as far as possible the function of the affected organs, producing acceptable aesthetic results and preventing the appearance of other tumors. The elaboration of maxillofacial prostheses is essential to restore lost functions of speech, phonation, mastication and swallowing, supporting the aesthetics of the patient to achieve a better life quality. Figure 6 shows a post-operated patient. A right-sided maxillectomy was performed due to squamous cell carcinoma, which caused an intraoral defect, a permanent obturator whose function is to separate the nasal from oral cavity was placed, so patient can feed and communicate.11-13



DENTAL ONCOLOGICAL MANAGEMENT

In dental-oncological management, dentist and maxillofacial prosthesis specialist must actively participate in all phases of the treatments before submitting the patient to surgery, chemotherapy and/or radiotherapy. Bucco-dental condition should be evaluated in order to avoid or reduce as much as possible the manifestations and secondary oral effects that may occur during and after the therapies; the assessment of the maxillofacial prosthetist is important to develop the appliances as accurately and suitable as possible, giving to patients functionality and supporting them in the impact they will receive after surgical resection.

Once chemotherapy and/or radiotherapy have started, the dentist must be alert and carry out oral-dental procedures with caution and he should consult the oncologist, in order to prevent alterations due to dental management such as dental prophylaxis, periodontal curettage, endodontic treatment. If dental extractions are necessaries, these should be carried out at least 20 days before starting oncological treatments to reduce the possibility of hemorrhages, bacteremia or septicemia that could be irreversible. When performing these procedures, it is necessary to review and take care that the hematological elements are at their standard levels (hemoglobin, hematic biometry and blood chemistry, among others). If antibiotic is necessary, dentist should consult the oncologist who is treating the patient.

The laboratory studies consist of extra and intra-buccal radiographies such as orthopantomography and periapical, which help to rule out chronic infectious processes or pathological alterations.14

Oral hygiene recommendations

  • • Oral hygiene consists of dental prophylaxis and curettage of the periodontium, which is why tooth brushing is important for proper oral hygiene. In presence of mucositis, a soft bristle brush, gauze or dental finger massage is indicated. Brushing should be gentle and not deep, to avoid bleeding gums.
  • • Dental floss is recommended.
  • • To prevent injuries and systemic infections, do not use toothpicks or sharp objects that may injure the gums, nor place foreign objects in the mouth.15
  • • It is recommended to use special brushes to wash the removable, total and obturator prostheses (Figure 7).

Recommendations and indications (toothpaste, antiseptic solutions and gels) for oral side effects caused by CT* and/or RT‡:

  • *‡ Use of toothpaste containing benzydamine, the first selective non-steroidal anti-inflammatory against primary inflammation, or toothpaste containing fluoride or antiseptic which prevents irritation in oral mucosa.
  • *‡ Perform oral rinses using alkaline solutions such as sodium bicarbonate or salt (place a few pinches of salt or bicarbonate) dissolved in half a glass of water; rinses are indicated four times a day, to maintain an alkaline environment and relieve pain. Another alkaline option is the electrolyzed superoxidation solution; in gel presentation its application is topical on the gum and a solution it is possible to make oral rinses.
  • *‡ To treat oral mucositis with or without ulcerations, to combine kaolin (suspension), diphenhydramine hydrochloride (syrup) and nystatin (suspension) is recommended; it helps to reduce discomfort from oral mucositis and candidiasis. Sometimes 2% xylocaine anesthetic is added to this mixture. In case of burning it must be removed from the mixture.
  • *‡ Chlorhexidine gluconate (antibacterial) 0.12% gel, is applied topically on the gums or in solutions performing oral rinses.
  • *‡ Avoid solutions containing alcohol, as they irritate oral tissues and aggravate mucositis.
  • *‡ Pain produced by mucositis in mouth can cause limitations in diet so hot, acidic, sweet, spicy foods, coarse textured foods, species should be avoided, as they irritate the oral tissues.
  • *‡ Drink more fluids, moisten dry food before eating, to help swallow, and chew sugar-free gum to stimulate salivary flow, in case of oral xerostomia.
  • *‡ Using of oily solutions mixed with warm water is recommended in case of xerostomia such as: glycerin, sweet almond oils, among others; these oral rinses keep a lubricated oral mucosa.
  • *‡ Artificial saliva is recommended for oral dryness (xerostomia).
  • ‡ If irradiation covers the mouth area using solutions during treatment is recommended; gels should not be indicated as they would expose the oral mucosa to be burned or lacerated by irradiation. After therapy, gel antiseptic may be indicated.
  • ‡ Applying 0.8% sodium fluoride to prevent post-radiation dental caries (it is a late effect that occurs after RT is finished, produced by radiation that covers the mouth). It is indicated to be applied half an hour before the therapy to protect the enamel so that it does not suffer demineralization and helps in tooth sensitivity. Once applied, no liquid or food should be ingested. Use it during the whole treatment.
  • * For dental caries by CT, use the application of sodium fluoride 0.8% during all therapy is recommended, until the salivary flow returns to values close to standards.
  • *‡ To reduce dental hypersensitivity, using of special medicated toothpaste for sensitive teeth, topical applications of 8% sodium fluoride, or 0.12% chlorhexidrine gluconate gel.
  • ‡ When radiations cover the oral cavity, metal fillings of the teeth (amalgams and inlays) must be removed in order to prevent radiation rays from being emitted or reflected, affecting healthy adjacent tissues. Amalgams must be changed or removed for temporary cures; if there is a fixed prosthesis that contains metal, it is necessary to place a homogeneizer on them, which consists in a guard made of lead with wax.
  • * For TMJ pain and limitation of oral opening, caused by CT neurotoxicity, it is recommended to prescribe muscle relaxants and thermotherapy to help reduce pain and trismus.
  • ‡ It is recommended the use of tongue depressors or acrylic screws for oral opening in case the radiation in the TMJ cause trismus and to prescribe muscle relaxants and thermotherapy to help the TMJ. Occlusal guards are also recommended in case of bruxism.
  • *‡ Removable or total dental prosthesis must be washed daily with a brush and disinfectant solutions and must be removed during CT and/or RT treatments, in order to avoid the formation of harbors of microorganisms that cause infections.
  • *‡ Tobacco and alcohol consumption must be stopped.16-18

Recommendations for patients undergoing bisphosphonate treatment:

  • • There must be a preventive program of dental prophylaxis procedures, eliminating dental or periodontal infectious processes.
  • • Dental extractions should be carried out, when necessary, one month before applying the drug and the patient's healing process has ended.
  • • The dentist must keep communication with the oncologist and wait for the right moment to perform a dental surgical procedure to avoid necrosis and bone exposure of the maxilla or jaw.19



CONCLUSION

Patients with head and neck cancer undergoing oncological treatments such as surgery, radiotherapy and/or chemotherapy should be integrated into a program of oral-dental education and rigorous oral hygiene measures, instructing them through dental guidelines to reduce and to control oral manifestations and secondary therapy effects, in order to prevent they become into irreversible oral complications.

Maintaining good health improves patients life quality, reflecting on speech, mastication, phonation, swallowing and facilitates nutritional support. Timely dental management and rehabilitation of maxillofacial prostheses increase tolerance to oncological therapies.


REFERENCES

  1. Montero PH, Patel SG. Cancer of the oral cavity. Surg Oncol Clin N Am. 2015; 24: 491-508.

  2. Chinn SB, Myers JN. Oral cavity carcinoma: current management, con- troversies and future directions. J Clin Oncol. 2015; 33: 3269-3276.

  3. Scully C. Oral squamous cell carcinoma; from a hypothesis about a virus, to concern about possible sexual transmission. Oral Oncol. 2002; 38: 227-234.

  4. Ibieta-Zarco B, Carrillo-Garcia A, Ponce-De-Leon -Rosales S et al. Frecuency and genotype distribution of multiple human papillomavirus infections in cancer of the head and neck in a Mexican population. Oral Surg Oral Med oral Oral Pathol Oral Radiol. 2012; 114 (3): 350-357.

  5. Sroussi HY, Epstein JB, Bensadoun RJ, Saunders DP, Lalla RV, Migliorati CA et al. Common oral complications of head and neck cancer radiation therapy: mucositis, infections, saliva change, fibrosis, sensory dysfunctions, dental caries, periodontal disease, and osteoradionecrosis. Cancer Med. 2017; 6 (12): 2918-2931.

  6. Rewadkar MS, Mahobia VK. Impact of induction chemotherapy to concurrent chemoirradiation over radiotherapy alone in advanced oral cavity. Indian J Cancer. 2017; 54 (1): 16-19.

  7. Wong HM. Oral complications and management strategies for patients undergoing cancer therapy. The Scien World J. 2014; 58: 1-14.

  8. Ibieta-Zarco BR, Mohar-Betancourt A, Lara-Medina F, Rueda-Alanis AC, Reynoso-Noveron N. Los bisfosfonatos a través de la historia. J Cancerol. 2018; 5: 49-57.

  9. Max RE. Pamidronate (Aredia) and Zoledronate (Zometa) induced avascular necrosis of the jaws: a growing epidermic. J Oral Maxillofac Surg. 2003; 61 (9): 1115-1118.

  10. Lalla RV, Treister N, Sollecito T, Schmidt B, Patton LL, Mohammadi K, Hodges JS, Brennan MT. Oral complications at 6 months after radiation therapy for head and neck cancer. Oral Dis. 2017; 23 (8): 1134-1143.

  11. Beumer J III, Marunick MT, Esposito SJ. Maxillofacial rehabilitation: prosthodontic and surgical management of cancer-related, adquired and congenital defects of head and neck. 3rd ed. St. Louis. Quintessence books. 2011.

  12. Keith FT. Techniques and material guide for successful facial and somatoprosthethic rehabilitation. Published 2006 by S. Thomas. Printed in Great Britain by 4 Edge Ltd.

  13. Loredana M, Tomas-Dasu I, Dasu A. Radiotherapy and clinical radiobiology of head and neck cancer. Series in medical physics and biomedical enginering. Boca Raton. Edit. Taylor and Franacias Group. 2018.

  14. Carneiro-Neto JN, de-Menezes JD, Moura LB, Massucato EM, de-Andrade CR. Protocols for management of oral complications of chemotherapy and/or radiotherapy for oral cancer: Systematic review and meta-analysis current. Med Oral Patol Oral Cir Bucal. 2017; 22 (1): 15-23.

  15. Sohn HO, Park EY, Jung YS, Lee EK, Kim EK. Indian. Effects of professional oral hygiene care in patients with head-and-neck cancer during radiotherapy: a randomized clinical trial. J Dent Res. 2018; 29 (6): 700-704.

  16. Levi LE, Lalla RV. Dental treatment planning for the patient with oral cancer. Dent Clin North Am. 2018; 62 (1): 121-130.

  17. Villa A, Akintoye SO. Dental management of patients who have undergone oral cancer therapy. Dent Clin North Am. 2018; 62 (1): 131-142.

  18. Beech N, Robinson S, Porceddu S, Batstone M. Dental management of patients irradiated for head and neck cancer. Aust Dent J. 2014; 59 (1): 20-28.

  19. Ibieta ZB, Mervitch SN, Flores MM, Mohar BA. Nueva opción analgésica en el tratamiento de: osteonecrosis mandibular secundaria al uso de bisfosfonato. Cancerologia. 2008; 3: 89-94.



AFFILIATIONS

1 Especialidad de Prótesis Maxilofacial de Postgrado de la Facultad de Odontología, UNAM.



CORRESPONDENCE

Esperanza Alvarado Gamboa. E-mail: esperanza.alvarado@gmail.com




Received: October 2018. Accepted: February 2019.

Figure 1
Figure 2
Figure 3
Figure 4
Figure 5
Figure 6
Figure 7

2020     |     www.medigraphic.com

Mi perfil

C?MO CITAR (Vancouver)

Rev Odont Mex. 2020;24