medigraphic.com
SPANISH

Revista ADM Órgano Oficial de la Asociación Dental Mexicana

ISSN 0001-0944 (Print)
Órgano Oficial de la Asociación Dental Mexicana
  • Contents
  • View Archive
  • Information
    • General Information        
    • Directory
  • Publish
    • Instructions for authors        
    • Send manuscript
  • medigraphic.com
    • Home
    • Journals index            
    • Register / Login
  • Mi perfil

2021, Number 2

<< Back Next >>

Rev ADM 2021; 78 (2)

Management and dental integration of the pediatric patient with Asperger disorder.

Oliva-Olvera KI, Badillo-Barba M, Díaz-Romero R, Ensaldo-Carrasco E
Full text How to cite this article 10.35366/99286

DOI

DOI: 10.35366/99286
URL: https://dx.doi.org/10.35366/99286

Language: Spanish
References: 9
Page: 100-105
PDF size: 254.58 Kb.


Key words:

Asperger disorder, autism, Rett, behavioral management, dental management.

ABSTRACT

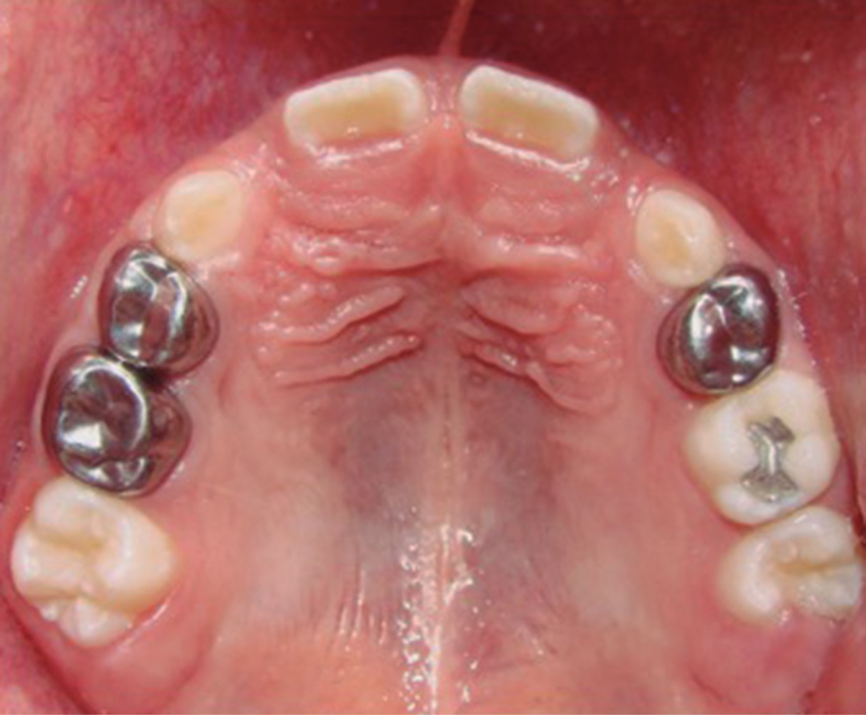
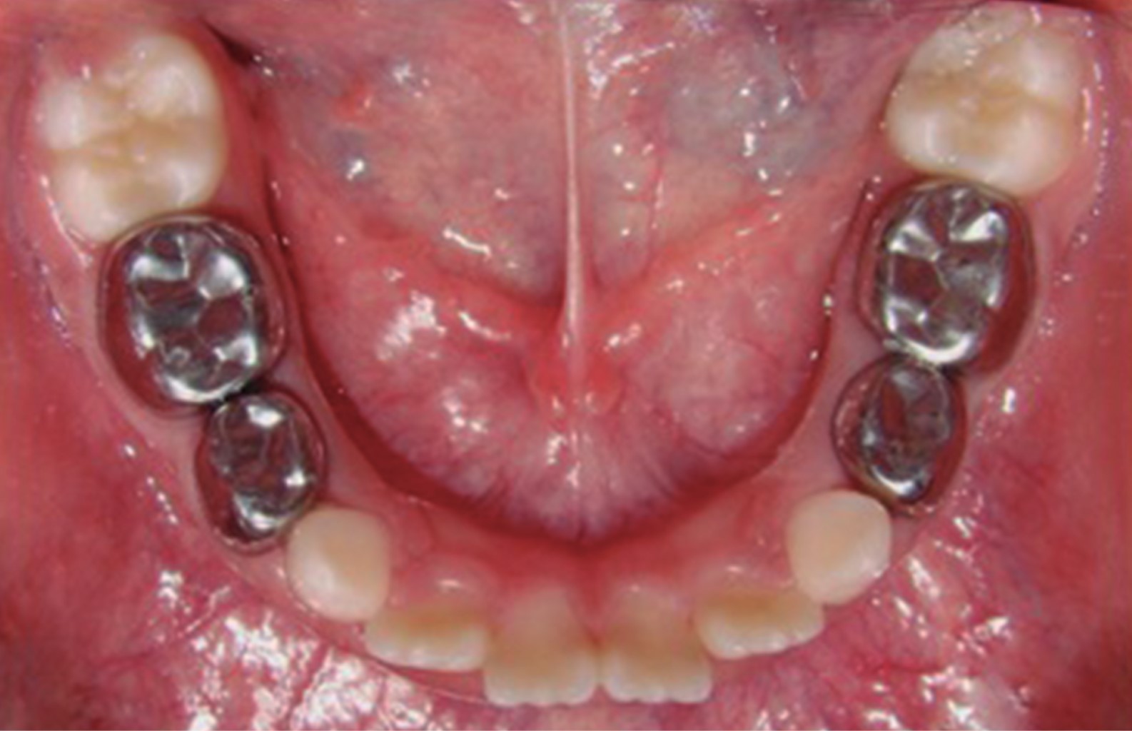
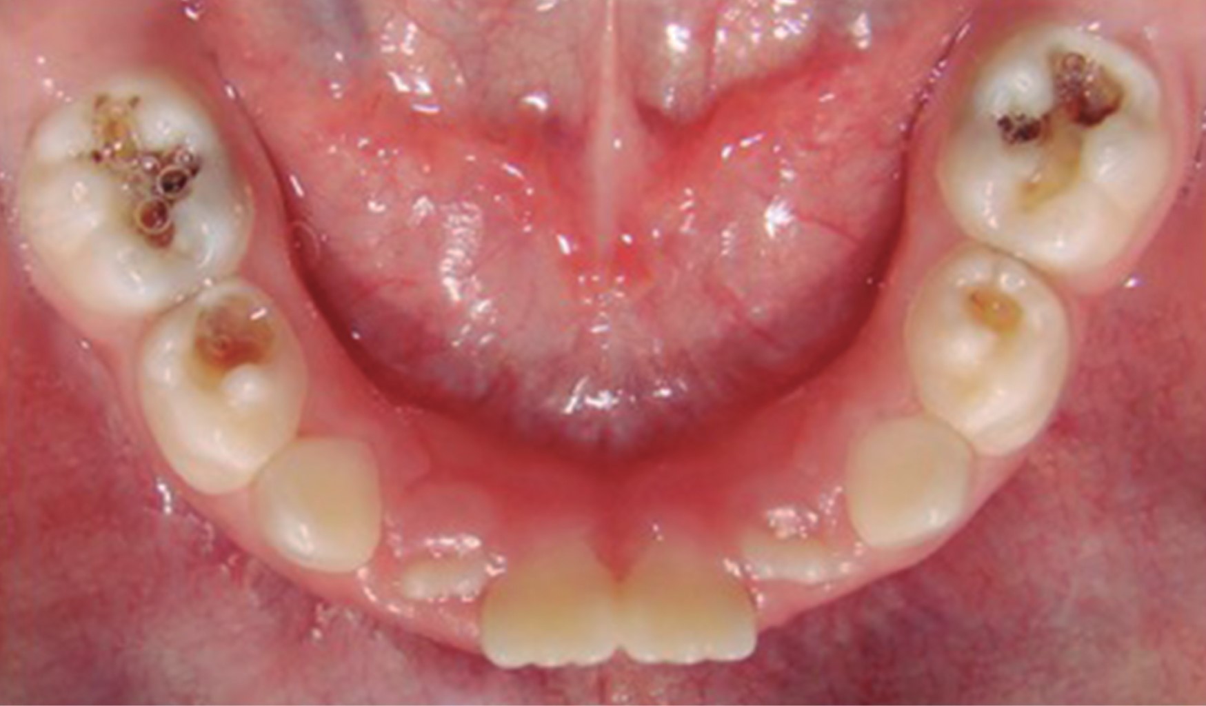
Neurological disorder known as autism spectrum disorders (ASD) whose main manifestations are reflected in the areas of communication, interaction and social imagination. It was first classified in the Diagnostic and Statistical Manual of Mental Disorders (DSM lV), characterized by a greater or lesser degree of deterioration in language and communication skills, as well as repetitive patterns or restrictive of thought and behavior. The most distinctive symptom is obsessive interest in a single object or topic and the exclusion of any other, but always retaining language skills. The prognosis is good in most of the cases, due to the cognitive compensation, the repetitive and restrictive approach to productive or deferential human activities, although there is no specific treatment, but rather interdisciplinary and individualized, this consists of managing behavioral symptoms and comorbidity independently either pharmacologically or interventionally. Male patient with five years old and weight of 26 kg, complete immunization chart, previously diagnosed with Asperger's disorder (2015); with dental caries of various degrees implementing dental management. The objective of this report is to make aware of the care and behavior management for dental treatment in patients with this Disorder.


REFERENCES

  1. Zúñiga MM. El síndrome de Asperger y su clasificación. Educación. 2009; 33 (1): 183-186.

  2. Santiso DV. Abordaje integral del síndrome de Asperger. Una perspectiva actual. FMC. 2015; 22 (4): 182-187.

  3. Smith O, Jones SC. 'Coming Out' with Autism: Identity in People with an Asperger's Diagnosis After DSM-5. J Autism Dev Disord. 2020; 50 (2): 592-602.

  4. O'Connor E. The use of 'Circle of Friends' strategy to improve social interactions and social acceptance: a case study of a child with Asperger's syndrome and other associated needs. NASEN. 2016; 31: 138-147.

  5. White S, Keoning K, Schaill L. Social skills development in children with autism spectrum disorders: a review of the intervention research. J Autism Dev Disord. 2006; 37 (10): 1858-1868.

  6. Waldman HB, Perlman SP. Dental assistants and the care of individuals with disabilities: part I. Dent Assist. 2013; 82 (1): 34-35.

  7. American Psychiatric Association. Diagnostic and statistical manual of mental disorders, 4th ed., Washington, DC: American Psychiatric Association. 2000.

  8. Reichow B, Puskar A, Lutz T, Smith I, Volkmar F. Brief report: systematic review of Rett syndrome in males. J Autism Dev Disord. 2015; 45 (10): 3377-3383.

  9. Silvestre DFJ, Plaza CA. Odontología en pacientes especiales. Valencia: Publicaciones de la Universidad de Valencia, España, 2007.




Figure 1
Figure 2
Figure 3
Figure 4
Table 1

2020     |     www.medigraphic.com

Mi perfil

C?MO CITAR (Vancouver)

Rev ADM. 2021;78