medigraphic.com
SPANISH

Cardiovascular and Metabolic Science

ISSN 2954-3835 (Electronic)
ISSN 2683-2828 (Print)
Antes Revista Mexicana de Cardiología

Ver Revista Mexicana de Cardiología


  • Contents
  • View Archive
  • Information
    • General Information        
    • Directory
  • Publish
    • Instructions for authors        
    • Send manuscript
  • medigraphic.com
    • Home
    • Journals index            
    • Register / Login
  • Mi perfil

2021, Number 2

<< Back Next >>

Cardiovasc Metab Sci 2021; 32 (2)

Transthyretin cardiac amyloidosis with an unusual clinical presentation: dilated cardiomyopathy

García-Olea, Alain1; Rekondo, Javier Gregorio1; Maeztu, Mikel1; Fernández, Iria1
Full text How to cite this article 10.35366/99747

DOI

DOI: 10.35366/99747
URL: https://dx.doi.org/10.35366/99747

Language: English
References: 6
Page: 101-104
PDF size: 465.93 Kb.


Key words:

Cardiomyopathy, dilated, amyloidosis, transthyretin, case report, heart failure.

ABSTRACT

Transthyretin amyloid (ATTR) cardiomyopathy is an underdiagnosed clinical entity. The low awareness of the disease prevalence, the variability of its clinical presentation and the tissue biopsy histopathological-based diagnosis are the main reasons for its underdiagnosis. The recent development of specific therapies makes the celerity in the diagnosis and its characterization especially important in order to initiate an early treatment in selected variants. In most cases, its clinical manifestation is as congestive heart failure (HF), and echocardiographic studies show a hypertrophic, restrictive, non-compliant, non-dilated left ventricle. In this clinical case, we report an 85-year-old patient who had a first HF episode and whose echocardiogram revealed a dilated cardiomyopathy (DCM). After the study with MRI, bone scintigraphy and catheterization, the diagnosis of ATTR amyloidosis was achieved. ATTR should be included in the differential diagnosis of idiopathic DCM, especially in the elderly.



INTRODUCTION

Dilated cardiomyopathy (DCM) etiological diagnosis is usually characterized as ischaemic and non-ischaemic. The non-ischaemic group requires a wide differential diagnosis based on echocardiography, gadolinium enhanced CMR, nuclear medicine techniques and even histological analysis to accomplish a definitive aetiologic diagnosis. Non-ischaemic DCM can be caused by genetic mutations, myocarditis/other systemic infections, hormonal or electrolyte disturbances and syndromic, neuromuscular or auto-inmune diseases.1 Infiltrative diseases are not a common cause of DCM, although some end-stage disorders can manifest as this phenotype. Cardiac amyloidosis is probably one of the most common causes of infiltrative heart disease. Necropsy studies show myocardium amyloid deposits in 25% of octogenarians. In fact, ATTR is the main amyloid found in cardiac senile amyloidosis. Classically, cardiac amyloid disease clinical expression is a congestive heart failure with preserved ejection fraction with imaging studies disclosing a non-dilated, hypertrophic, restrictive, non-compliant left ventricle.2 However, several publications refer to different, less common morphological patterns that this disease may show.3 In this case report, we describe DCM as an initial presentation of cardiac senile amyloidosis.



CASE PRESENTATION

We report the case of an 85-year-old man who attended the emergency department due to dyspnea. His personal history included systemic hypertension treated with enalapril, a non-producing adrenal angiomyolipoma and a very active lifestyle.

The patient reported eight days of progressive dyspnea and the appearance of lower extremities edema. He denied chest pain, syncope or palpitations.

Upon arrival, his blood pressure was 106/62 mmHg, pulse rate 110 bpm and SaO2 96%. No neck vein distension was observed, on physical examination, the precordial area with a rhythmic heartbeat at 110 bpm, no murmurs, clicks or gallop sounds. He had crackled in both lung bases. Abdomen without ascites or congestive hepatomegaly, he had bilateral perimaleolar edema. An electrocardiogram showed an atrial flutter with 2:1 AV conduction and the ventricular rate at 110 bpm without QRS-ST-T wave abnormalities. The blood analysis showed a NT-proBNP at 2,513 pg/mL, the remaining routine blood chemistry, serum electrolytes, and blood cell count were in the normal range. Chest X-ray disclosed cardiomegaly, increased vascular markings related to blood flow redistribution and pleural fluid related blunting of the costophrenic angles.

Congestive HF was diagnosed, and he began with intravenous loop diuretics, heart rate control with beta blocker, and anticoagulation with apixaban.

During his hospitalization congestive signs decreased, atrial flutter persisted with a well-controlled heart rate with low doses of bisoprolol and a mean ventricular rate around 60-75 bpm.

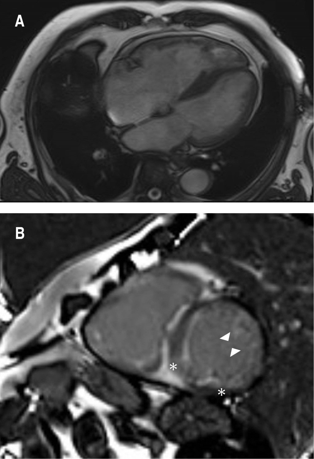
A transthoracic echocardiogram revealed a dilated left ventricle with end-diastolic diameter 60 mm, mild to moderate septal hypertrophy and severely depressed systolic function (20% LVEF by Simpson) due to global hypokinesia. He also had biatrial dilatation, a severely dilated right ventricle with depressed systolic function, mild regurgitation of the four heart valves, mild pulmonary hypertension and dilated inferior cava vein. A cardiovascular magnetic resonance (CMR) showed biventricular dilatation and systolic dysfunction (Figure 1A). High native T1 values (1304 milliseconds) and an increase in extracellular volume (40 with a 43.2% hematocryte) were reported and T1 PSIR sequences disclosed epicardic mid inferolateral, inferoseptal, subendocardial anterior and anterolateral late gadolinium enhancement (Figure 1B). These findings were compatible with infiltrative cardiomyopathy and suggestive of cardiac amyloidosis. At this point, a 99mTc-DPD bone scintigraphy, a blood and urine analysis to evaluate a possible monoclonal component -according to the latest recommendations on the diagnosis of cardiac amyloidosis4 and cardiac catheterization were requested. ATTR cardiomyopathy compatible images were reported in the scintigraphy with a significant Perugini grade 3 heart uptake of the radiotracer (Figure 2). The coronary angiography showed only mild irregularities in the left anterior descending and circumflex coronary arteries without significant obstructive lesions. The search for light chain immunoglobulin monoclonal gammopathy was negative, AL amyloid heart disease was ruled out, so ATTR cardiomyopathy was diagnosed.

A genetic study for ATTR gene variant mutation was negative, so he was diagnosed as wild type ATTR amyloid heart disease. The heart failure unit evaluated him for education on nutritional measures. After introducing low beta-blocker doses, he maintained good blood pressure control. ACEI was discontinued, and he was discharged without congestive signs, with appropriate heart rate control, diuretics and anticoagulant treatment.



DISCUSSION

Complementary tests are essential in the characterization of a congestive heart failure episode. Echocardiography is the most available tool, and it usually guides the diagnosis. In this particular case, echocardiographic images led to a DCM working diagnosis. In patients with a new onset of heart failure and DCM European guidelines suggest CMR with late gadolinium enhancement is a valuable test.5 It can provide information about potential ischaemic or non-ischaemic etiology and guide the differential diagnosis of non-ischaemic causes. In this case report, the CMR gave important clues toward the correct diagnosis of infiltrative amyloid cardiac disease (hypertrophy, compatible enhancement, high extracellular volume and native T1 values). Besides, the absence of monoclonal light chain immunoglobulin and the evident Perugini grade 3 radiotracer uptake in the scintigraphy provided the ATTR cardiomyopathy definitive diagnosis without endomyocardial biopsy.4

Classical ATTR cardiomyopathy usually has clinical manifestations hypotension with systemic venous hypertension, low voltage QRS and pseudoinfarction pattern on the electrocardiogram, and discordance between low ECG QRS/severe left ventricle hypertrophy in echocardiogram, with a normal or small restrictive LV with preserved ejection fraction.

However, the heterogeneity in the presentation of this heart disease is widely described in the literature. In 2017, the European Society of Cardiology published a document that was focused on this clinical morphological and phenotypic presentation variability of cardiac amyloid disease.3 In its supplementary data, values such as left ventricle end-diastolic diameters showed statistically significant differences between subgroups of the different countries involved in the study. We should recognize that non-dilatation is not such an indispensable morphological feature of this not so infrequent infiltrative heart disease with the data mentioned above.



CONCLUSIONS

In this clinical case a diagnosis of cardiac ATTR amyloidosis is established in a patient who is affected by a DCM. It is not the only case in the literature,6 but because of its atypical presentation, its recognition is infrequent. We consider this case report is important for several reasons. (a) Because it underlines that the proactive search of the non-ischaemic DCM aetiology with late gadolinium enhancement CMR, nuclear medicine techniques and special blood test to rule out systemic diseases are essential and entail prognostic and therapeutic value. (b) Because it shows the heterogeneity of cardiac amyloidosis morphologic expression. It can appear even with left ventricular dilatation and contractile dysfunction, which is very different and quite the opposite of the typical-classical echocardiographic presentation. Although some infiltrative diseases such as hemochromatosis might show ventricle dilatation in end-stages in the elderly, it is particularly uncommon to find this phenotype of DCM as the first manifestation in amyloid cardiomyopathy. (c) Cardiac ATTR amyloidosis is not included in the differential diagnosis of idiopathic DCM in the latest consensus documents.1 Perhaps, in view of the recently new disease-modifying therapies for ATTR amyloidosis in early-stage disease, and the relatively common finding of cardiac amyloid in necropsy studies in octogenarians, the propagation of cases with this atypical clinical phenotype supports it should be included in subsequent reviews or consensus documents.


REFERENCES

  1. Pinto YM, Elliott PM, Arbustini E, Adler Y, Anastasakis A, Bohm M et al. Proposal for a revised definition of dilated cardiomyopathy, hypokinetic non-dilated cardiomyopathy, and its implications for clinical practice: a position statement of the ESC working group on myocardial and pericardial diseases. Eur Heart J. 2016; 37 (23): 1850-1858.

  2. Maurer MS, Bokhari S, Damy T, Dorbala S, Drachman BM, Fontana M et al. Expert consensus recommendations for the suspicion and diagnosis of cardiac ATTR amyloidosis. Circ Heart Fail. 2019; 12 (9): e006075.

  3. Yamamoto H, Yokochi T. Transthyretin cardiac amyloidosis: an update on diagnosis and treatment. ESC Heart Fail. 2019; 6 (6): 1130.

  4. González-López E, Gagliardi C, Dominguez F, Quarta CC, de Haro-del Moral FJ, Milandri A et al. Clinical characteristics of wild-type transthyretin cardiac amyloidosis: disproving myths. Eur Heart J. 2017; 38 (24): 1895-1904.

  5. Ponikowski P, Voors AA, Anker SD, Bueno H, Cleland JGF, Coats AJS et al. 2016 ESC Guidelines for the diagnosis and treatment of acute and chronic heart failure. Eur Heart J. 2016; 37 (27): 2143-2145.

  6. Ishida M, Yamada Y, Mizutani T, Hara A, Sekijima Y, Ako J et al. Cardiac amyloidosis mimicking dilated cardiomyopathy but showing relative apical sparing of longitudinal strain. Circ J. 2018; 82 (12): 3102-3103.



AFFILIATIONS

1 Physicians of the Cardiology Service, Basurto University Hospital. Spain.



Funding/support: The authors received no financial support for the research, authorship or publication of this article.

Conflict of interests: The authors certify that they have no affiliations with or involvement in any organization or entity with any financial interest or non-financial interest in the subject matter or materials discussed in this manuscript.



CORRESPONDENCE

Alain García-Olea. E-mail: alain.garciaolea@osakidetza.eus




Received: 30/10/2020. Accepted: 18/02/2021

Figure 1
Figure 2

2020     |     www.medigraphic.com

Mi perfil

C?MO CITAR (Vancouver)

Cardiovasc Metab Sci . 2021;32