medigraphic.com
SPANISH

Cirujano General

ISSN 2594-1518 (Electronic)
ISSN 1405-0099 (Print)
  • Contents
  • View Archive
  • Information
    • General Information        
    • Directory
  • Publish
    • Instructions for authors        
    • Send manuscript
  • medigraphic.com
    • Home
    • Journals index            
    • Register / Login
  • Mi perfil

2020, Number 3

<< Back Next >>

Cir Gen 2020; 42 (3)

Conservative management in a patient with complicated acute appendicitis

Toto-Morales, Julián Gabriel1; Ramos-Aranda, Javier1; Quijano-Orvañanos, Fernando2; Martínez-Munive, Ángel2
Full text How to cite this article 10.35366/99961

DOI

DOI: 10.35366/99961
URL: https://dx.doi.org/10.35366/99961

Language: English/Spanish [Versi?n en espa?ol]
References: 17
Page: 210-214
PDF size: 169.04 Kb.


Key words:

Appendicitis, abscess, non-operative management, operative management, percutaneous drainage, ultrasound.

ABSTRACT

The management of complicated acute appendicitis is a therapeutic challenge for all surgeons because of the increased complication rate due to tissue friability. In this article we present the case of a patient who was admitted with complicated acute appendicitis to the emergency department. With imaging studies, two intra-abdominal abscesses of 88 and 125 ml in the right iliac fossa and in the cul-de-sac, respectively, were detected. It was decided to perform conservative management with ultrasound-guided puncture and tomographic control, in addition to management with broad-spectrum antibiotics and total parenteral nutrition. The patient evolved favorably and was discharged nine days later without any complications. We also present a review of the current literature on the management of complicated acute appendicitis.



INTRODUCTION

The management of acute appendicitis continues to be a challenge for surgeons. The incidence of acute appendicitis has been estimated at 11 cases per 10,000 population per year, with a lifetime risk of developing acute appendicitis of 9%.1

The rate of perforated acute appendicitis is between 15-20% of all cases,2 an incidence that doubles in patients younger than eight years or older than 45 years.1 Cases of complicated appendicitis, that is, those associated with the presence of phlegmon or abscesses, account for 3.8% of cases and their treatment remains controversial at present. Urgent surgical management of these patients is risky due to the friability of the tissues, with a three-fold increase in morbidity and reported rates of intestinal resection in 3% of cases.3,4 Conservative management or Ochsner's method has been the gold standard in the management of these patients, which in the current setting involves the use of broad-spectrum antibiotics as well as CT- or ultrasonography-guided drainage with a reported success rate of up to 93%.3 Due to the inherent risk with this method of overlooking etiologies such as inflammatory bowel diseases or neoplasms, interval appendectomy (IA) is part of conservative medical management, although recently this practice has been questioned due to the low rate of recurrent appendicitis and low incidence of malignancy, prioritizing IA for those patients with risk factors.5



CASE PRESENTATION

A 34-year-old male attended the emergency department for abdominal pain of 15 days of evolution associated with nausea, oral intolerance, chills, and diaphoresis. In the previous days, he received antibiotic and unspecified analgesic treatment without improvement. He had no family and/or personal history of importance. His blood pressure was 110/71 mmHg, heart rate 107x', respiratory rate 16x', O2 saturation 93% and temperature 36.7 oC. On examination, the abdomen was painful in the lower quadrants, with a plastron felt in the left iliac fossa and involuntary rigidity without rebound. His admission laboratory tests showed: white blood cells of 23.9 10?3/μl, segmented neutrophils 74%, band forms 6%, hemoglobin 13.8 g/dl, platelet count 466,000/μl, serum glucose 87 mg/dl, creatinine 1.0 mg/dl, C-reactive protein 24.25 mg/dl, total bilirubin 0.4 mg/dl, and serum albumin 3.8 g/dl.

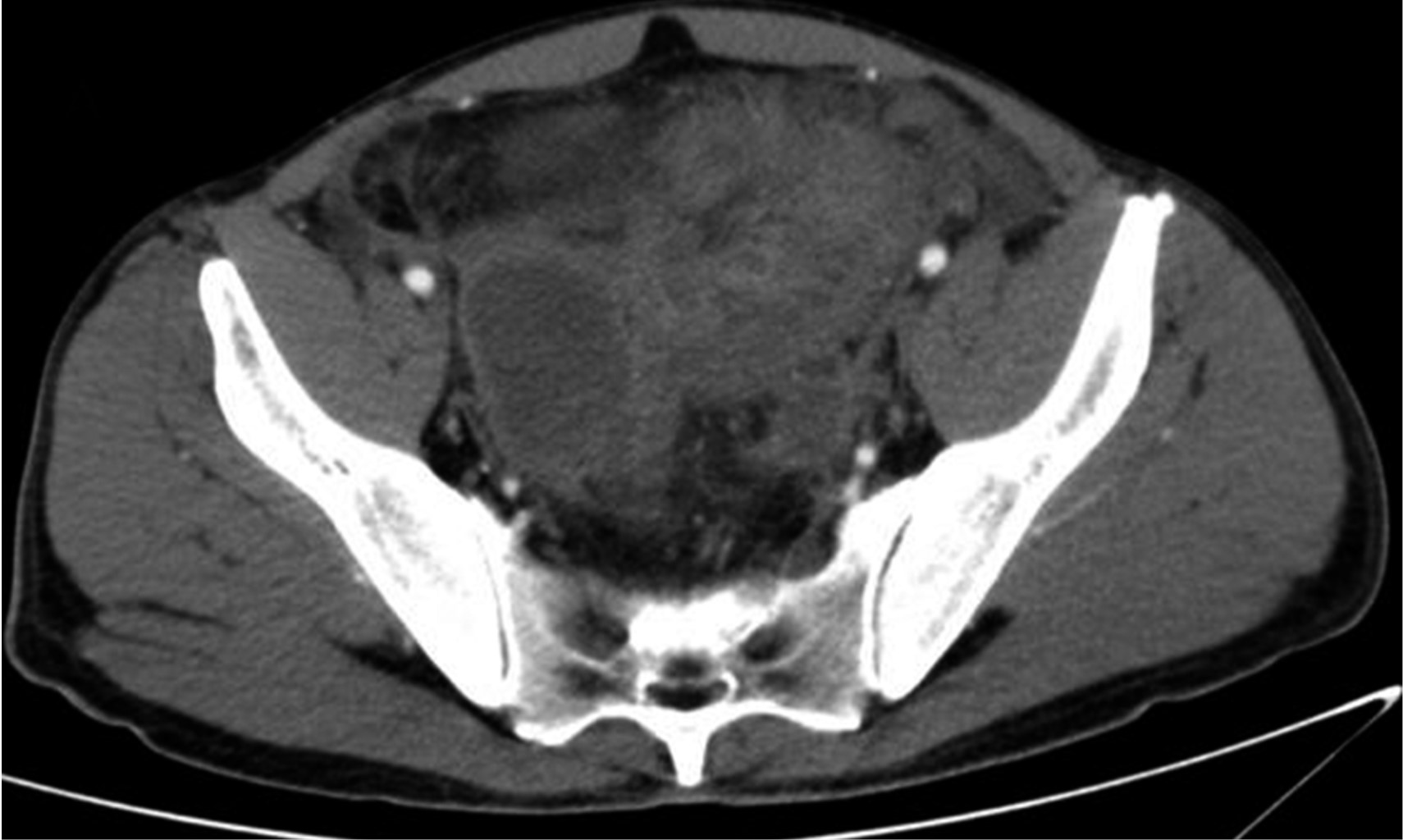
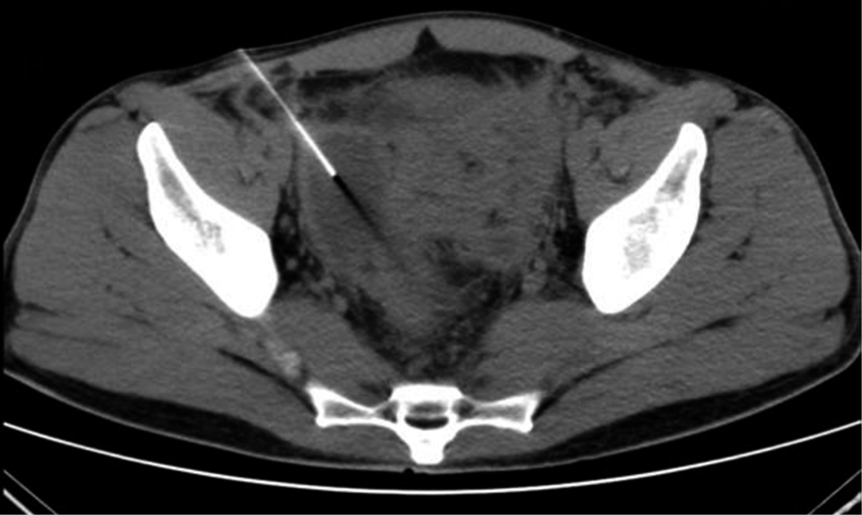
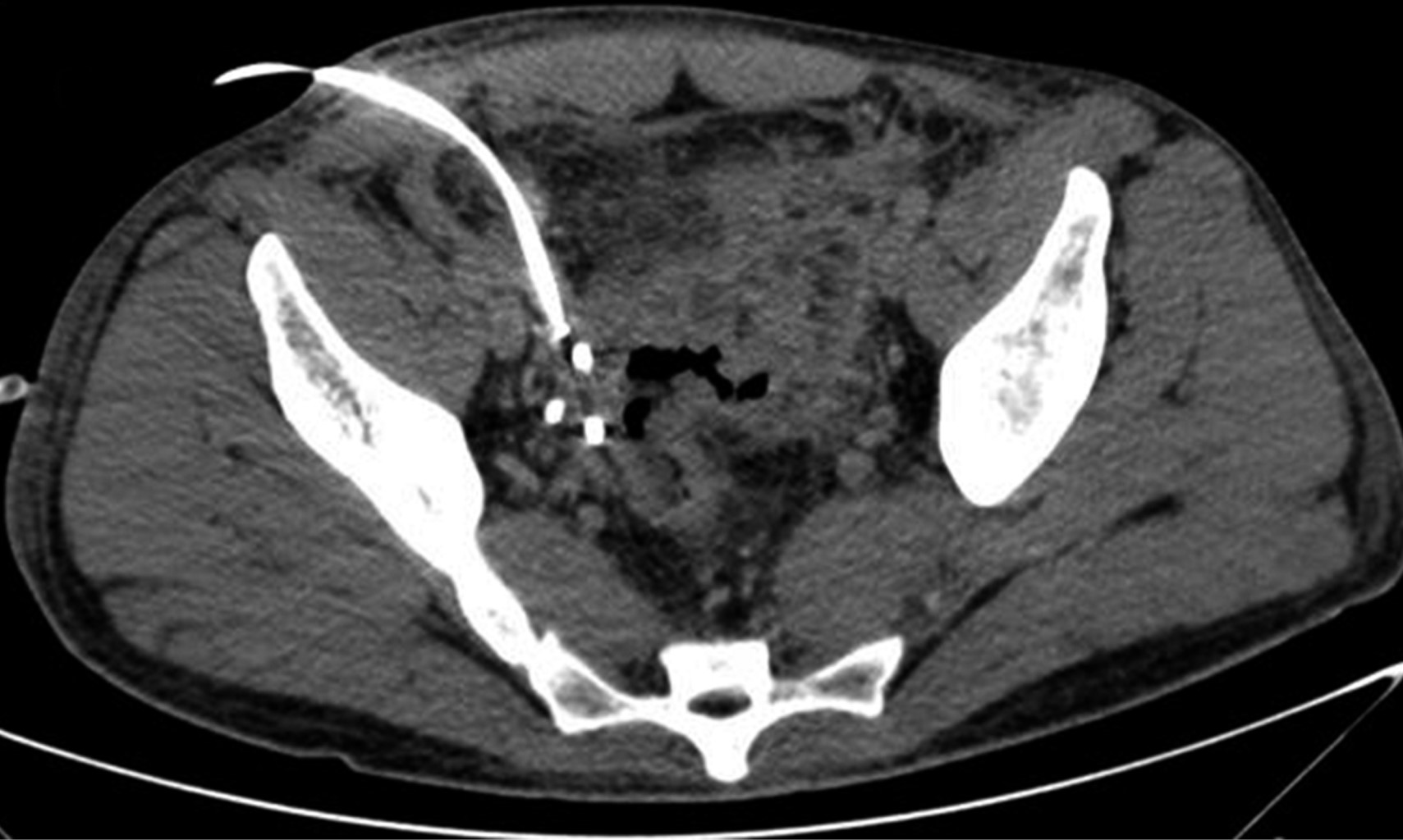
The CT scan of abdomen and pelvis with IV contrast showed free fluid in the right parieto-colic, intestinal interloop and peri-cecal slides. The cecal appendix with a diameter of 14 mm and thickening and enhancement of its wall was seen. A supra-vesical collection with extension to the right iliac fossa measuring 55 × 75 × 41 mm with a calculated volume of 88 cm3 (Figure 1) and another in the cul-de-sac with extension to the left iliac fossa measuring 60 × 57 × 70 mm with a volume of 125 cm3 were observed. Ultrasound-guided puncture with tomographic control of both collections was decided to perform (Figure 2), draining 70 and 120 cm3 of purulent fluid, respectively. Two Dawson Mueller® 10.2 Fr drains were left, one in the right iliac fossa and the other in the cul-de-sac zone. Broad spectrum antimicrobial management was started with meropenem 1 g iv every eight hours and vancomycin 1 g iv every 12 hours. He was left fasting for two days and parenteral nutritional support was started for three days with Oliclinomel® solution. The aerobic culture grew Streptococcus constellatus sensitive to ertapenem, so antimicrobial coverage was changed to ertapenem 1 g iv every 24 hours and vancomycin. The patient remained clinically stable, with no evidence of systemic inflammatory response and a progressive decrease in abdominal pain intensity. A control CT scan on his third hospital day (Figure 3) showed a significant decrease of fluid inside the collections. The right drain was removed on fourth day, with a total output of 10 cm3. Inflammatory markers showed a progressive decrease during his hospital stay. Final lab test results showed a white blood cell count of 9.9 10?3/μl, segmented neutrophils 67%, band forms 0% and a CRP of 4.05 mg/dl. The left drain was removed prior to hospital discharge on the ninth day of stay with a total output of 82 cm3. No interval appendectomy was performed during his follow-up because, based on age, history and imaging studies at diagnosis, the probability of neoplasia was considered low according to existing literature recommendations.



DISCUSSION

The management of uncomplicated acute appendicitis is early appendectomy; however, the management of abscess-associated cases is controversial due to the debate in the literature between urgent surgical management and/or conservative expectant management with or without image-guided drainage.

There is no doubt that perforation is a sine qua non condition for the formation of an appendiceal abscess, and although it appears to be a time-dependent process, perforation may be influenced by factors other than time in a small proportion of patients.6 As suggested by our patient's clinical history, delay in diagnosis, in hospital admission and analgesic consumption appear to be contributing factors in cases of complicated acute appendicitis.7 Recently it has been pointed out that cases of complicated appendicitis would correspond to a different inflammatory process, where the isolation of Fusobacterium spp. would seem to increase the risk of perforation,8 a fact that we were unable to corroborate by isolating a different species in the sample sent for culture.

Although in theory early appendectomy in cases of appendiceal abscesses allows completing the treatment in a single stage, this treatment modality is associated with greater postoperative complications, mainly surgical site infections and inadvertent intestinal lesions due to the difficulty of dissection, edema and friability of the tissues, leading to unplanned intestinal resections.2-5,9,10 The reported success rate of conservative management is 93%, accompanied by a low number of cases with residual intra-abdominal abscesses, wound infections and reoperations in patients submitted to this treatment modality, as shown by the satisfactory evolution of our patient. This has been described in two systematic reviews and meta-analyses on the subject.3,11 However, it is also possible to find authors who support urgent surgical management because it is associated with shorter hospital stay, and fewer recurrences and reoperations.12 However, the total number of days of hospital stay of our patient was similar to the average days of the surgical group in the aforementioned study, without forgetting that in this series 30% of the patients undergoing surgical treatment underwent right hemicolectomy, a risk that we avoided with conservative management.

Zerem et al13 reported good results with percutaneous drainage in abscesses > 3 cm in diameter due to a lower recurrence rate and need for appendectomy in drained patients compared to those who only received parenteral antibiotics. Due to the size of the abscesses in our case, we never considered antibiotics as the only treatment modality. Horn and his team14 reported risk factors associated with percutaneous drainage failure in appendicitis with abscesses: female gender, comorbidities, Hispanic race, and drainage placement early in hospitalization. Although it seems to us a possible selection bias, our case deals with a patient of Hispanic origin who in theory had the percutaneous drain placed early if we consider the date of hospital admission. We do not know if this risk factor is modified by taking the onset of symptoms as a reference, since our patient had a long evolving period.

When comparing conservative management (drainage in abscesses > 3 cm) vs. laparoscopic management Mentula et al15 showed that both managements did not differ in the total days of hospital stay, but conservative management was accompanied by more additional interventions. On the other hand, 10% of the patients in the surgical group ended up with an unplanned intestinal resection, while the reoperations due to failure of conservative management were not accompanied by intestinal resections. Taking the results of this study case with caution we may suggest that most of the reoperations occurred in cases that could not be drained due to technical issues related to puncture difficulties. The access route used in our case was left to the discretion of the interventional radiologist.

Finally, we have mentioned the role of interval appendectomy in the conservative management of complicated acute appendicitis: on the one hand, to rule out the presence of malignancy as reported by Furman and his team16 in 29% compared to 2.5% in uncomplicated appendicitis; and on the other hand, since only 16% of patients present obliteration of the appendiceal lumen after acute appendicitis,17 the next purpose is to prevent a new episode of acute appendicitis. However, due to recent data where the incidence of neoplasms in this context barely reaches 2% with a recurrence rate of 12%, it has been recommended that all patients should initially be managed conservatively, especially those over 40 years of age. Also, they should have a close follow-up (colonoscopy, tomography) and undergo interval appendectomy only if there is suspicious of an etiology other than appendiceal inflammation.4 For this reason and following these recommendations, the patient did not undergo interval appendectomy.



CONCLUSIONS

Some recent studies reflect a superiority of immediate surgical management at the expense of difficulties in percutaneous drainage as part of conservative management. We suggest that the conservative approach is an effective alternative in the management of patients with acute appendicitis complicated with abscess, avoiding exposing the patient to the risk of an unplanned bowel resection. We agree that interval appendectomy is not for all patients, but for those older than 40 years and with risk factors for colon cancer, relying on the use of colonoscopy or tomography as an aid in the detection of neoplasms during the follow-up of these patients. Thus, we present the successful conservative management of an acute appendicitis case complicated with abscess according to the existing recommendations in the literature.


REFERENCES

  1. Teixeira PGR, Demetriades D. Appendicitis. Changing perspectives. Adv Surg. 2013; 47: 119-140.

  2. Tingstedt B, Bexe-Lindskog E, Ekelund M, Anderson R. Management of appendiceal masses. Eur J Surg. 2002; 168: 579-582.

  3. Anderson, R. Petzold M. Nonsurgical treatment of appendiceal abscess or phlegmon. Ann Surg. 2007; 246: 741-748.

  4. Darwazeh G, Cunningham SC, Kowdley GC. A systematic review of perforated appendicitis and phlegmon: interval appendectomy or wait-and-see? Am Surg. 2016; 82: 11-15.

  5. Demetrashvili Z, Kenchadze G, Pipia I, Ekaladze E, Kamkamidze G. Management of appendiceal mass and abscess. An 11-year experience. Int Surg. 2015; 100: 1021-1025.

  6. Temple CL, Huchcroft SA, Temple WJ. The natural history of appendicitis in adults a prospective study. Ann Surg. 1995; 221: 278-281

  7. Ozturk A, Korkmaz M, Atalay T, Karakose Y, Akinci OF, Bozer M. The role of doctors and patients in appendicitis perforation. Am Surg. 2017; 83: 390-393.

  8. Bhangu A, Soreide K, Di Saverio S, Assarsson JH, Drake FT. Acute appendicitis: Modern understanding of pathogenesis, diagnosis, and management. Lancet. 2015; 386: 1278-1287.

  9. Aranda-Narváez JM, González-Sánchez AJ, Marín-Camero N, Montiel-Casado C, López-Ruiz P, Sánchez-Pérez B, et al. Conservative approach versus urgent appendectomy in surgical management of acute appendicitis with abscess or phlegmon. Rev Esp Enf Dig. 2010; 102: 648-652.

  10. Bahram MA. Evaluation of early surgical management of complicated appendicitis by appendicular mass. Int J Surg. 2011; 9: 101-103.

  11. Simillis C, Symeonides P, Shorthouse AJ, Tekkis PP. A meta-analysis comparing conservative treatment versus acute appendectomy for complicated appendicitis (abscess or phlegmon). Surgery. 2010; 147: 818-829.

  12. Deelder JD, Richir MC, Schoorl T, Schreurs WH. How to treat an appendiceal inflammatory mass: operatively or nonoperatively? J Gastrointest Surg. 2014; 18: 641-645.

  13. Zerem E, Salkic N, Imamovic G, Terzic I. Comparison of therapeutic effectiveness of percutaneous drainage with antibiotics versus antibiotics alone in the treatment of periappendiceal abscess: is appendectomy always necessary after perforation of appendix? Surg Endosc. 2007; 21: 461-466.

  14. Horn CB, Coleoglou CA, Guerra JJ, Mazuski JE, Bochicchio G V, Turnbull IR. Drain failure in intra-abdominal abscesses associated with appendicitis. Surg Infect (Larchmt). 2018; 19: 321-325.

  15. Mentula P, Sammalkorpi H, Leppaniemi A. Laparoscopic surgery or conservative treatment for appendiceal abscess in adults? Ann Surg. 2015; 262: 237-242.

  16. Furman MJ, Cahan M, Cohen P, Lambert LA. Increased risk of mucinous neoplasm of the appendix in adults undergoing interval appendectomy. JAMA Surg. 2013; 148: 703-706.

  17. Iqbal CW, Knott EM, Mortellaro VE, Fitzgerald KM, Sharp SW, Peter SDS. Association for academic surgery interval appendectomy after perforated appendicitis: what are the operative risks and luminal patency rates? J Surg Res. 2012; 177: 127-130.



AFFILIATIONS

1 Resident, General Surgery. Centro Médico ABC, Mexico City, Mexico.

2 Attending physician, General Surgery. Centro Médico ABC, Mexico City, Mexico.



Ethical considerations and responsibility: Data privacy. In accordance with the protocols established at the authors\' work center, the authors declare that they have followed the protocols on patient data privacy while preserving their anonymity.

Funding: No financial support was received for this study.

Disclosure: The authors declare that there is no conflict of interest in this study.



CORRESPONDENCE

Julián Gabriel Toto-Morales. E-mail: drjuliantoto@gmail.com




Received: 09/07/2018. Accepted: 04/09/2019

Figure 1
Figure 2
Figure 3

2020     |     www.medigraphic.com

Mi perfil

C?MO CITAR (Vancouver)

Cir Gen. 2020;42