medigraphic.com
ENGLISH

Cirujano General

ISSN 2594-1518 (Digital)
ISSN 1405-0099 (Impreso)
  • Mostrar índice
  • Números disponibles
  • Información
    • Información general        
    • Directorio
  • Publicar
    • Instrucciones para autores        
    • Envío de artículos
  • medigraphic.com
    • Inicio
    • Índice de revistas            
    • Registro / Acceso
  • Mi perfil

2020, Número 3

<< Anterior Siguiente >>

Cir Gen 2020; 42 (3)


Manejo conservador en un paciente con apendicitis aguda complicada

Toto-Morales, Julián Gabriel1; Ramos-Aranda, Javier1; Quijano-Orvañanos, Fernando2; Martínez-Munive, Ángel2
Texto completo Cómo citar este artículo 10.35366/99961

DOI

DOI: 10.35366/99961
URL: https://dx.doi.org/10.35366/99961
Artículos similares

Idioma: Español/Inglés [English version]
Referencias bibliográficas: 17
Paginas: 210-214
Archivo PDF: 160.69 Kb.


PALABRAS CLAVE

Apendicitis, absceso, manejo conservador, manejo quirúrgico, punción guiada, ultrasonido.

RESUMEN

El manejo de la apendicitis aguda complicada es un reto terapéutico para todos los cirujanos por el aumento en la tasa de complicaciones debido a la friabilidad de los tejidos. En este artículo, presentamos el caso de un paciente que ingresó con apendicitis aguda complicada al servicio de urgencias. Se detectaron dos abscesos intrabdominales de 88 y 125 ml en fosa iliaca derecha y en fondo de saco, respectivamente. Se decidió realizar manejo conservador con punción guiada por ultrasonido y control tomográfico, además de manejo con antibióticos de amplio espectro y nutrición parenteral. El paciente evolucionó favorablemente y fue dado de alta nueve días después sin ninguna complicación. Presentamos, además, una revisión de la literatura actual en cuanto al manejo de apendicitis aguda complicada.



INTRODUCCIóN

El manejo de la apendicitis aguda continúa siendo un reto para los cirujanos. La incidencia de apendicitis aguda se ha calculado en 11 casos por 10,000 habitantes por año, con un riesgo de presentar apendicitis aguda a lo largo de la vida de 9%.1

La tasa de apendicitis aguda perforada ronda entre 15-20% de todos los casos,2 incidencia que se duplica en pacientes menores de ocho años o mayores de 45.1 Los casos de apendicitis complicada, es decir, los asociados a la presencia de flegmón o abscesos, representan 3.8% de los casos y su tratamiento en la actualidad continúa siendo controversial. El manejo quirúrgico urgente de estos pacientes es riesgoso por la friabilidad de los tejidos, con un aumento de tres veces en la morbilidad y tasas reportadas de resecciones intestinales en 3% de los casos.3,4 El manejo conservador o método de Ochsner ha sido el estándar de oro en el manejo de estos pacientes, que en el contexto actual implica el uso de antibióticos de amplio espectro así como el drenaje guiado por tomografía o ultrasonografía con una tasa de éxito reportada de hasta 93%.3 Debido al riesgo inherente con este método de pasar por alto etiologías como enfermedades inflamatorias intestinales o neoplasias, la apendicectomía de intervalo (AI) forma parte del manejo médico conservador, aunque recientemente se ha cuestionado esta práctica debido a la baja tasa de apendicitis recurrente y a la baja incidencia de malignidad, priorizando la AI para aquellos pacientes con factores de riesgo.5



PRESENTACIóN DEL CASO

Masculino de 34 años que acudió al servicio de urgencias por dolor abdominal de 15 días de evolución asociado con náusea, intolerancia a la vía oral, escalofríos y diaforesis; recibió tratamiento antibiótico y analgésico no especificado sin mejoría del cuadro. Sin antecedentes de importancia familiares y/o personales. Signos vitales: TA 110/71, Fc 107, Fr 16, Sat 93%, Temp. 36.7 oC. A la palpación, el abdomen se mostró doloroso en cuadrantes inferiores, con plastrón en fosa iliaca izquierda y rigidez involuntaria sin rebote. En sus laboratorios de ingreso se destacaron: leucocitos 23.9 10^3/μl, seg 74%, bandas 6%, hb 13.8 g/dl, plq 466 10^3/μl, glu 87 mg/dl, cr 1.0 mg/dl, PCR 24.25 mg/dl, bilirrubina total 0.4 mg/dl y albúmina 3.8 g/dl.

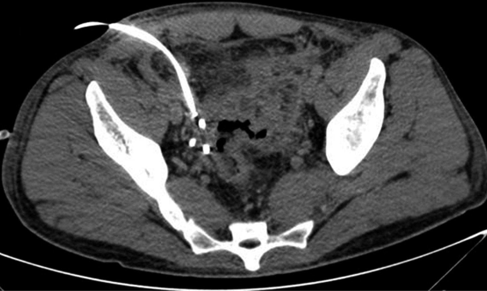
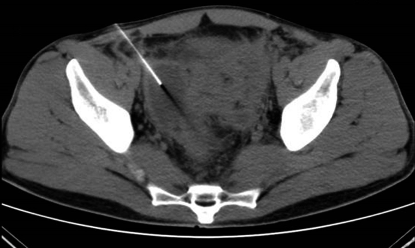
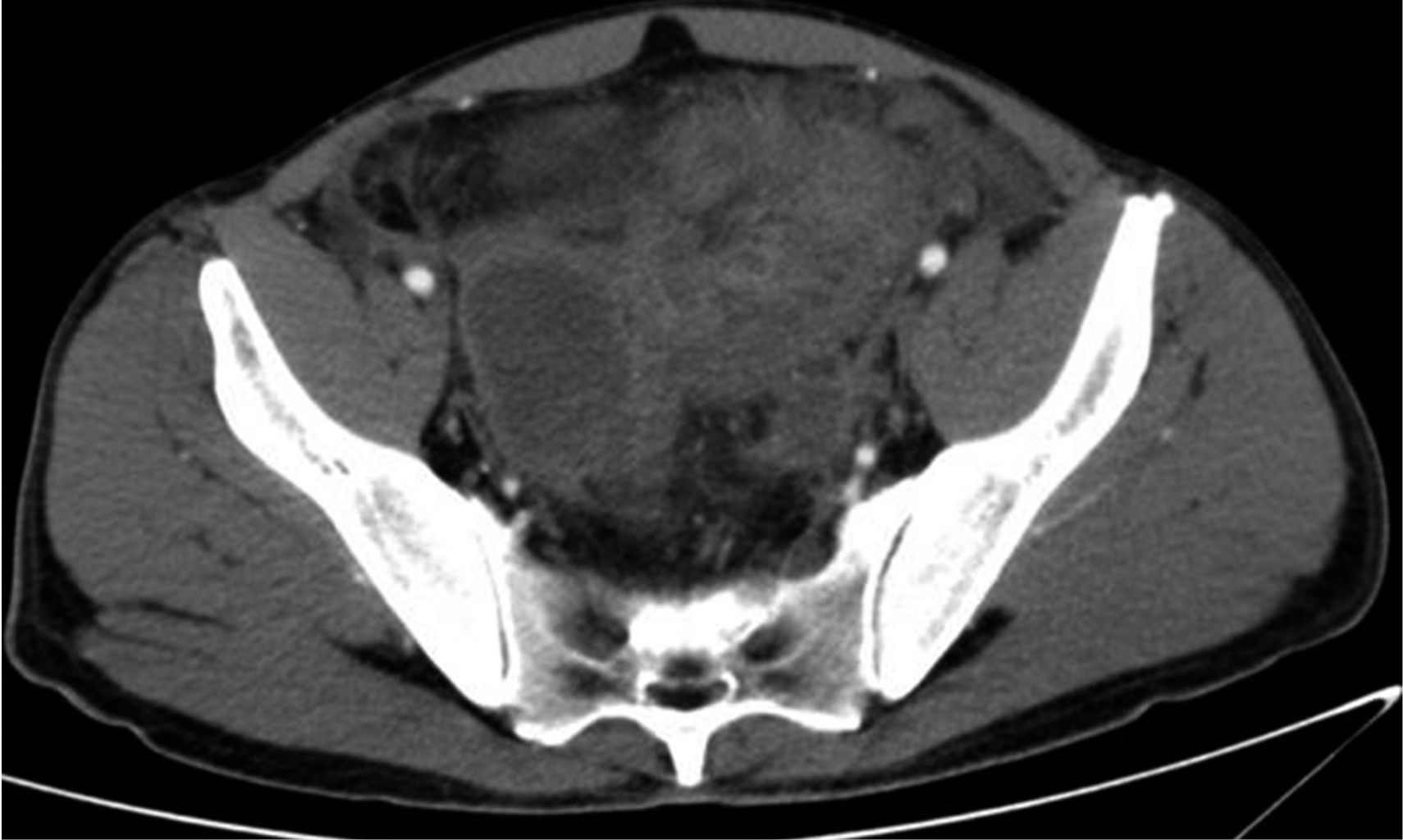
La tomografía de abdomen y pelvis con contraste iv demostró líquido libre en corredera parietocólica derecha, interasa y pericecal. Apéndice cecal con diámetro de 14 mm además de engrosamiento y realce de su pared. Colección supravesical con extensión a fosa iliaca derecha que mide 55 × 75 × 41 mm con un volumen calculado de 88 cm3 (Figura 1) y otra en fondo de saco con extensión a fosa iliaca izquierda que mide 60 × 57 × 70 mm con volumen de 125 cm3. Se decidió punción guiada por ultrasonido con control tomográfico de ambas colecciones (Figura 2), drenando 70 y 120 cm3 purulentos respectivamente. Se dejaron dos drenajes tipo Dawson Mueller® 10.2 fr, uno en fosa iliaca derecha y otro en fondo de saco. Se inició manejo antimicrobiano de amplio espectro con meropenem 1 g iv cada ocho horas y vancomicina 1 g iv cada 12 horas, se dejó en ayuno dos días y se inició apoyo nutricional parenteral durante tres días con oliclinomel®. El cultivo aeróbico desarrolló Streptococcus constellatus sensible a ertapenem, por lo que se cambió cobertura antimicrobiana a base de ertapenem 1 g iv cada 24 horas y vancomicina. El paciente se mantuvo clínicamente estable, sin datos de respuesta inflamatoria sistémica y disminución progresiva del dolor abdominal. Una TAC de control en su tercer día (Figura 3) demostró una disminución importante del líquido en el interior de las colecciones. Se retiró el drenaje derecho en su cuarto día, con un gasto total de 10 cm3; los marcadores inflamatorios presentaron una disminución progresiva durante su estancia, egresándose con 9.9 10^3/μl leucocitos, seg 67%, bandas 0 % y PCR 4.05 mg/dl. Se retiró el drenaje izquierdo previo a su egreso en el noveno día de estancia con un gasto total de 82 cm3. No se realizó apendicectomía de intervalo en el seguimiento debido a que, basado en la edad, los antecedentes y los estudios de imagen al diagnóstico, la probabilidad de neoplasia se consideró baja de acuerdo a las recomendaciones existentes en la literatura.



DISCUSIóN

El manejo de la apendicitis aguda no complicada es la apendicectomía temprana; sin embargo, el manejo de los casos asociados a abscesos resulta controversial debido al debate en la literatura entre el manejo quirúrgico urgente y/o el manejo conservador expectante con o sin drenaje guiado por imagen.

No existe duda de que la perforación es una condición sine qua non para la formación de un absceso apendicular, y aunque parece ser un proceso tiempo-dependiente, la perforación podría estar influenciada por factores distintos al tiempo en una pequeña proporción de pacientes.6 Tal como lo sugiere la historia clínica de nuestro paciente, el retraso en el diagnóstico, hospitalización y el consumo de analgésicos parecen ser factores contribuyentes en casos de apendicitis aguda complicada.7 Recientemente se ha señalado que los casos de apendicitis complicada se corresponderían con un proceso inflamatorio distinto, donde el aislamiento de Fusobacterium spp. parecería aumentar el riesgo de perforación,8 hecho que no pudimos corroborar al aislar una especie distinta en la muestra enviada a cultivo.

Aunque en teoría la apendicectomía temprana en casos de abscesos apendiculares permite completar el tratamiento en una sola etapa, esta modalidad de tratamiento está asociada a mayores complicaciones postoperatorias (principalmente infecciones de sitio quirúrgico) y lesiones intestinales inadvertidas por la dificultad de la disección, edema y friabilidad de los tejidos, condicionando resecciones intestinales no planeadas.2-5,9,10 La tasa de éxito reportada del manejo conservador es de 93%, acompañada de un menor número de casos con abscesos residuales intraabdominales, infecciones de herida y reoperaciones en pacientes sometidos a esta modalidad de tratamiento, tal como lo mostró la evolución satisfactoria de nuestro paciente; lo anterior fue descrito en dos revisiones sistemáticas y metaanálisis del tema.3,11 Sin embargo, también es posible encontrar autores que apoyan el manejo quirúrgico urgente por estar asociado al tiempo de estancia intrahospitalaria más corto, menos recurrencias y reintervenciones.12 No obstante, el total de días de estancia de nuestro paciente fue similar a los días promedio del grupo quirúrgico en el estudio antes referido, sin olvidar que en esta serie a 30% de los pacientes sometidos a tratamiento quirúrgico se les realizó hemicolectomía derecha, riesgo que eludimos con el manejo conservador.

Zerem y colaboradores13 reportaron buenos resultados con el drenaje percutáneo en abscesos > 3 cm de diámetro debido a menor tasa de recurrencia y necesidad de apendicectomía en pacientes drenados en comparación con quienes sólo recibieron antibióticos parenterales; debido al tamaño que presentaban los abscesos en nuestro caso, nunca consideramos los antibióticos como única modalidad de tratamiento. Horn y su equipo14 reportaron factores de riesgo asociados a falla del drenaje percutáneo en apendicitis con abscesos: género femenino, comorbilidades, raza hispánica y colocación del drenaje tempranamente en la hospitalización. Aunque nos parece un posible sesgo de selección, nuestro caso aborda a un paciente de origen hispánico a quién en teoría se le colocó tempranamente el drenaje percutáneo si tomamos en cuenta la fecha de ingreso hospitalario; desconocemos si este factor de riesgo se modifica tomando como referencia el inicio de la sintomatología, ya que nuestro paciente no se encontraba tempranamente en su evolución.

Mentula y colaboradores15 al comparar el manejo conservador (drenaje en abscesos > 3 cm) vs. laparoscópico demuestran que ambos manejos no difieren en el total de días de estancia, pero el manejo conservador se acompañó de mayores intervenciones adicionales; por otro lado, 10% de los pacientes en el grupo quirúrgico terminaron con una resección intestinal no planeada, mientras que las reoperaciones por falla al manejo conservador no se acompañaron de resecciones intestinales. Sugerimos tomar con precaución los resultados de este estudio, ya que la mayoría de la reintervenciones se dieron en casos que no pudieron ser drenados por cuestiones técnicas relacionadas a dificultades en la punción. La ruta de acceso utilizada en nuestro caso se dejó a criterio del radiólogo intervencionista.

Por último, hemos mencionado el papel de la apendicectomía de intervalo en el manejo conservador de una apendicitis aguda complicada: por un lado, descartar la presencia de malignidad señalada por Furman y su equipo16 en 29% comparada con 2.5% en apendicitis no complicadas; y por otro lado, debido a que sólo 16% de los pacientes presentan obliteración de la luz apendicular posterior al cuadro de apendicitis aguda,17 la siguiente finalidad es prevenir un nuevo cuadro de apendicitis aguda. Sin embargo, debido a datos recientes donde la incidencia de neoplasias en este contexto apenas alcanza 2% sumado a una tasa de recurrencia de 12%, se ha recomendado que todos los pacientes manejados inicialmente de forma conservadora, en especial los mayores de 40 años, deben tener un seguimiento estrecho (colonoscopia, tomografía) y ser sometidos a AI sólo si sospechamos alguna otra etiología distinta a la inflamación apendicular.4 Por tal razón y siguiendo dichas recomendaciones, el paciente no fue sometido a apendicectomía de intervalo.



CONCLUSIONES

Algunos estudios recientes reflejan una superioridad del manejo quirúrgico inmediato a expensas de dificultades en el drenaje percutáneo como parte del manejo conservador. Nosotros sugerimos que el método conservador es una alternativa eficaz en el manejo de pacientes con apendicitis aguda complicada con absceso, evitando exponer al paciente al riesgo de resecciones intestinales no planeadas. Coincidimos en que la apendicectomía de intervalo no es para todos los pacientes, sino para los mayores de 40 años y con factores de riesgo de cáncer de colon, apoyándose en el uso de la colonoscopia o tomografía como auxiliares en la detección de neoplasias durante el seguimiento de estos pacientes. Presentamos así el manejo conservador exitoso de la apendicitis aguda complicada con absceso apegado a las recomendaciones existentes en la literatura.


REFERENCIAS (EN ESTE ARTÍCULO)

  1. Teixeira PGR, Demetriades D. Appendicitis. Changing perspectives. Adv Surg. 2013; 47: 119-140.

  2. Tingstedt B, Bexe-Lindskog E, Ekelund M, Anderson R. Management of appendiceal masses. Eur J Surg. 2002; 168: 579-582.

  3. Anderson, R. Petzold M. Nonsurgical treatment of appendiceal abscess or phlegmon. Ann Surg. 2007; 246: 741-748.

  4. Darwazeh G, Cunningham SC, Kowdley GC. A systematic review of perforated appendicitis and phlegmon: interval appendectomy or wait-and-see? Am Surg. 2016; 82: 11-15.

  5. Demetrashvili Z, Kenchadze G, Pipia I, Ekaladze E, Kamkamidze G. Management of appendiceal mass and abscess. An 11-year experience. Int Surg. 2015; 100: 1021-1025.

  6. Temple CL, Huchcroft SA, Temple WJ. The natural history of appendicitis in adults a prospective study. Ann Surg. 1995; 221: 278-281

  7. Ozturk A, Korkmaz M, Atalay T, Karakose Y, Akinci OF, Bozer M. The role of doctors and patients in appendicitis perforation. Am Surg. 2017; 83: 390-393.

  8. Bhangu A, Soreide K, Di Saverio S, Assarsson JH, Drake FT. Acute appendicitis: Modern understanding of pathogenesis, diagnosis, and management. Lancet. 2015; 386: 1278-1287.

  9. Aranda-Narváez JM, González-Sánchez AJ, Marín-Camero N, Montiel-Casado C, López-Ruiz P, Sánchez-Pérez B, et al. Conservative approach versus urgent appendectomy in surgical management of acute appendicitis with abscess or phlegmon. Rev Esp Enf Dig. 2010; 102: 648-652.

  10. Bahram MA. Evaluation of early surgical management of complicated appendicitis by appendicular mass. Int J Surg. 2011; 9: 101-103.

  11. Simillis C, Symeonides P, Shorthouse AJ, Tekkis PP. A meta-analysis comparing conservative treatment versus acute appendectomy for complicated appendicitis (abscess or phlegmon). Surgery. 2010; 147: 818-829.

  12. Deelder JD, Richir MC, Schoorl T, Schreurs WH. How to treat an appendiceal inflammatory mass: operatively or nonoperatively? J Gastrointest Surg. 2014; 18: 641-645.

  13. Zerem E, Salkic N, Imamovic G, Terzic I. Comparison of therapeutic effectiveness of percutaneous drainage with antibiotics versus antibiotics alone in the treatment of periappendiceal abscess: is appendectomy always necessary after perforation of appendix? Surg Endosc. 2007; 21: 461-466.

  14. Horn CB, Coleoglou CA, Guerra JJ, Mazuski JE, Bochicchio G V, Turnbull IR. Drain failure in intra-abdominal abscesses associated with appendicitis. Surg Infect (Larchmt). 2018; 19: 321-325.

  15. Mentula P, Sammalkorpi H, Leppaniemi A. Laparoscopic surgery or conservative treatment for appendiceal abscess in adults? Ann Surg. 2015; 262: 237-242.

  16. Furman MJ, Cahan M, Cohen P, Lambert LA. Increased risk of mucinous neoplasm of the appendix in adults undergoing interval appendectomy. JAMA Surg. 2013; 148: 703-706.

  17. Iqbal CW, Knott EM, Mortellaro VE, Fitzgerald KM, Sharp SW, Peter SDS. Association for academic surgery interval appendectomy after perforated appendicitis: what are the operative risks and luminal patency rates? J Surg Res. 2012; 177: 127-130.



AFILIACIONES

1 Residente Cirugía General. Centro Médico ABC, Ciudad de México.

2 Médico adscrito Cirugía General. Centro Médico ABC, Ciudad de México.



Consideraciones y responsabilidad ética: Privacidad de los datos. De acuerdo a los protocolos establecidos en el centro de trabajo de los autores, éstos declaran que han seguido los protocolos sobre la privacidad de datos de pacientes preservando su anonimato. El consentimiento informado del paciente referido en el artículo se encuentra en poder del autor.
Financiamiento: No se recibió apoyo financiero para la realización de este trabajo.
Conflicto de intereses: Los autores declaran que no existe ningún conflicto de intereses en la realización del trabajo.

CORRESPONDENCIA

Julián Gabriel Toto Morales. E-mail: drjuliantoto@gmail.com




Recibido: 07/09/2018. Aceptado: 09/04/2019

Figura 1
Figura 2
Figura 3

2020     |     www.medigraphic.com

Mi perfil

C?MO CITAR (Vancouver)

Cir Gen. 2020;42

ARTíCULOS SIMILARES

CARGANDO ...