medigraphic.com
SPANISH

Cirujano General

ISSN 2594-1518 (Electronic)
ISSN 1405-0099 (Print)
  • Contents
  • View Archive
  • Information
    • General Information        
    • Directory
  • Publish
    • Instructions for authors        
    • Send manuscript
  • medigraphic.com
    • Home
    • Journals index            
    • Register / Login
  • Mi perfil

2020, Number 3

<< Back Next >>

Cir Gen 2020; 42 (3)

Frantz-Gruber tumor, a rare solid cystic pseudopapillary cystic tumor of the pancreas

Miranda-Castillo, Frederick1; Auria-Aspiazu, Danna1; Plaza-Vélez, Jenniffer1; Villacís-Muñoz, Margarita2; Benites-Ordinola, Carlos3
Full text How to cite this article 10.35366/99964

DOI

DOI: 10.35366/99964
URL: https://dx.doi.org/10.35366/99964

Language: English/Spanish [Versi?n en espa?ol]
References: 10
Page: 223-227
PDF size: 282.46 Kb.


Key words:

Pancreatic tumor, pseudopapillary tumor, Frantz-Gruber tumor.

ABSTRACT

Introduction: Pseudopapillary solid-cystic pseudopapillary tumor or Frantz-Gruber tumor is a rare pancreatic neoplasm, more commonly seen in female sex in the first decades of life, with non-specific symptomatology and defined histopathologic features. Objective: To report a case of a pseudopapillary cystic solid tumor located in the head of the pancreas in a young female patient. Case presentation: A young female patient case with a diagnosis of Frantz-Gruber tumor in an uncommon site of the pancreas is presented, along the review of its epidemiology, clinical and histopathologic presentation, treatment and prognosis. Conclusion: It is a rare neoplasm that occurs in less than 1%, with benign behavior and with low probability of malignant transformation if its resection is complete.



INTRODUCTION

The solid, cystic pseudopapillary tumor of the pancreas is a rare entity, accounting for less than 1% of the incidence of all pancreatic neoplasms.1

This neoplasm also called Frantz-Gruber tumor was first described in 1959.2-4 Histologically it is characterized by a mixture of solid areas with pseudocysts and pseudopapillary and hemorrhagic structures, a microvascular network forming pseudo-rosettes and the presence of eosinophilic or foamy cells.5 Its incidence is higher in young women between the second and fourth decades of life.1-3

It is considered a low-grade malignancy since about 10 to 15% develop metastatic disease.1-4 Preoperatively it is not easy to distinguish it from other cystic tumors of the pancreas; in many cases it is a radiological finding and in others it can be misdiagnosed as a pancreatic pseudocyst.2



CASE PRESENTATION

A 13-year-old female girl with no significant personal or surgical history was brought to the clinic by her mother with clinical symptoms of four months of evolution characterized by postprandial fullness and a palpable mass in the epigastric region, without weight loss or fever. On physical examination the patient showed mild abdominal distension, pain on deep palpation in the epigastric region and a palpable mass of approximately 4 cm at this level, without lymphadenopathy or evidence of peritoneal irritation.

Blood tests such as complete blood cytometry, blood chemistry, including serum amylase and lipase levels, and urinalysis were within normal parameters.

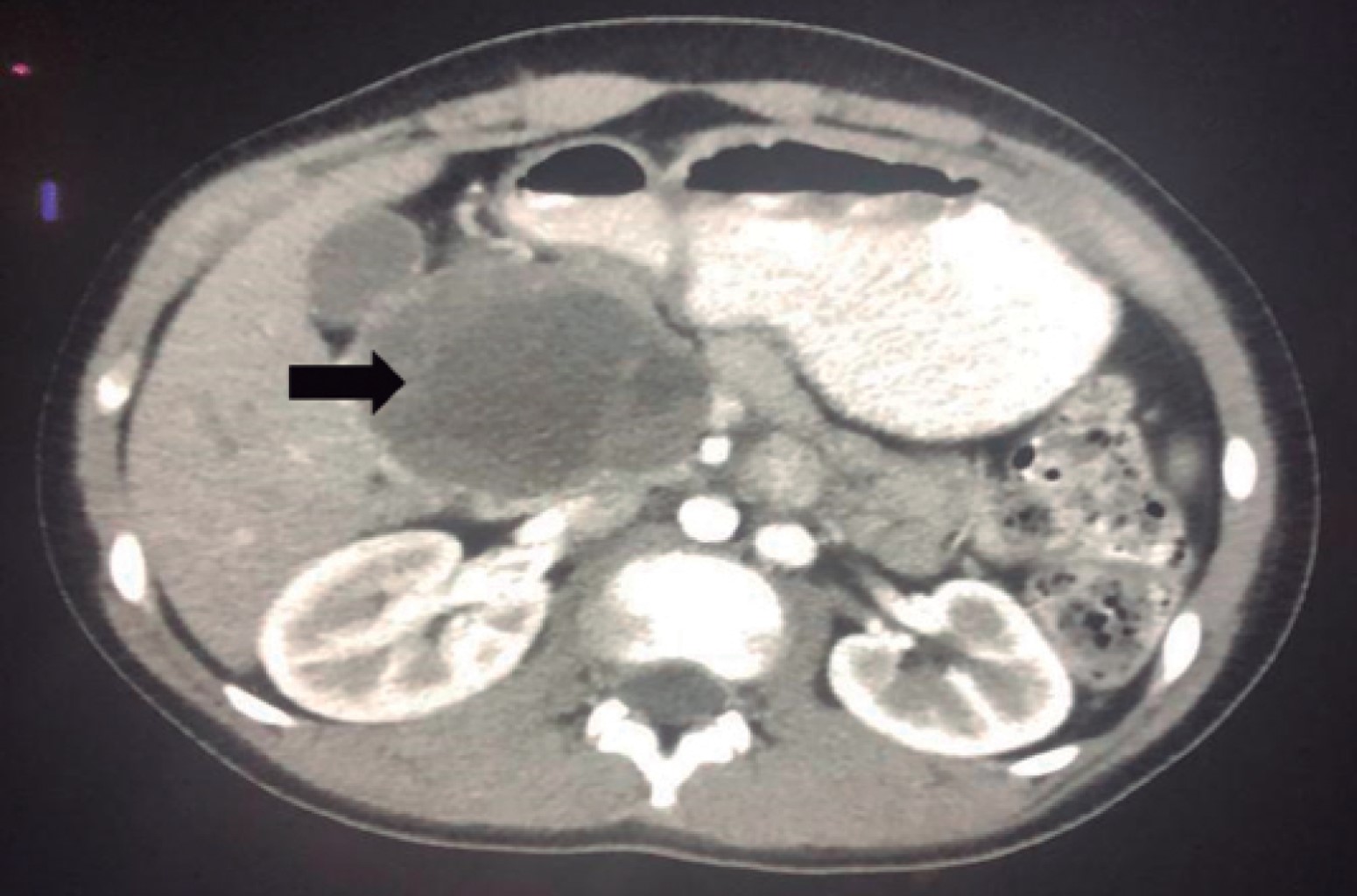
Imaging studies were performed including an abdominopelvic ultrasound study that showed a retroperitoneal heterogeneous tumor lesion with cystic areas in the vicinity of the head of the pancreas measuring 6 × 10.1 cm above the adrenal area. A computerized tomography (CT) scan of abdomen and pelvis simple and with intravenous contrast was performed showing evidence of a septate heterogeneous tumor lesion with contrast uptake in the periphery and septa, and presence of cystic areas of lower density located in the head of the pancreas of well-defined contours measuring 5. 9 × 6.7 × 7 cm. The pancreas body and tail were without alterations, and no dilatation of the duct of Wirsung, without presence of obliteration of the perivascular fat in the superior mesenteric artery or the spleno-portal axis, nor evidence of retroperitoneal adenomegaly were seen (Figure 1).

The patient underwent exploratory laparotomy where a tumor mass of approximately 6 × 8 cm was identified at the level of the head of the pancreas attached to the second portion of the duodenum, so we proceeded to perform enucleation by dissection of the second portion of the duodenum and the trans-pancreatic portion involving the main pancreatic duct, The duodenum was then splinted with a No. 12 Nelaton, which was exteriorized through the second portion of the duodenum towards the abdominal wall at the height of the right flank, and fixed with a PDX 3 (polydioxanone) suture (Figures 2, 3 and 4).

The patient had a favorable postoperative period of 33 days. Additional to general measures, broad-spectrum antibiotic therapy was administered corresponding to amikacin 680 mg intravenous every day for 10 days accompanied by imipenem 500 mg every six hours intravenous for 15 days, and then cefalexin 500 mg orally every eight hours for seven days. After discharge, cefuroxime 500 mg orally every 12 hours for five days were given. Total parenteral nutrition was started on the third postoperative day and maintained for 10 days. On the seventh postoperative day, a strict liquid diet was started which was then progressed to a soft diet that was well tolerated. A somatostatin analogue from the beginning of the postoperative period at a rate of 4 µg intravenous every eight hours until discharge was used. A rigorous control of the drain was established, performing daily clamping of the drain for 24 hours and then continuing with control of the fistula to see if there was any fluid arrest or leakage Finally, it was decided to remove the drain (Figure 5).

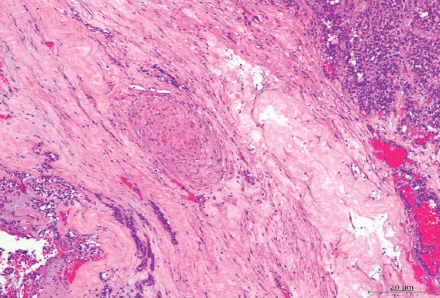
The histopathological study revealed findings of a pancreatic solid papillary carcinoma with absence of malignancy in surrounding tissues such as greater omentum and pancreatic lymph node (Figure 6).



DISCUSSION

Solid pseudopapillary cystic tumor of the pancreas is a rare neoplasm. In our institute it represents less than 1% of the total number of pancreatic neoplasms, a percentage slightly lower than that reported in the world literature.1,3 In 95% of cases it usually appears in young women with a mean age of 20 years; however, in our case it presented at a very young age.6 The tumors can be found at any level in the pancreatic gland, although they appear more frequently in the body and tail of the pancreas, unlike the presentation of our case, which was in the head of the pancreas. Although most of these tumors have a benign behavior with a long survival rate, they can generate metastasis in up to 15% approximately. The histopathological report that refers to the presence of perineural invasion makes us think of a possible malignant transformation of the lesion, which makes the follow-up of this patient essential.1,2,6,7

Clinically the patients present with abdominal pain, a palpable mass, and dyspepsia, like the clinical picture seen in our case, even though the literature refers to incidental diagnosis as the main form of presentation.1,3-7

Macroscopically the tumors are spheroidal or elliptical in appearance, well circumscribed, composed of a capsule with hemorrhagic and necrotic areas inside in 50% of the cases. The presence of calcifications and very friable septa is observed less frequently.4,5,7 The macroscopic form of our case was cystic, measuring 8 × 4.5 × 3 cm with a smooth pink-reddish surface due to bloody material and degenerative tissue.

Microscopically there are uniform cells of epithelioid appearance, rounded or oval, with central nucleus and fine chromatin without mitotic activity. The stroma is finely vascularized and cholesterol crystals, histiocytes and calcifications are usually seen.4,5,7 The report of the microscopic study supported the diagnosis of a papillary solid carcinoma with presence of vascular embolisms, perineural involvement, presence of scattered calcifications and degenerative cystic changes that also required immunohistochemical technique to corroborate the diagnosis.

The treatment of choice is surgical resection. Depending on the location, pancreatoduodenectomy should be performed if the lesion is at the level of the head and neck with duodenal involvement. Enucleation if there is trans-pancreatic involvement and central location, or distal pancreatectomy with splenectomy if the tumor is in the tail should be done. Surgical treatment presents low mortality and low recurrence rates.1,2,6 In our case, enucleation of the tumor mass with splinting of the duct of Wirsung was decided to perform to ensure the functionality after surgery.

It has been stated that these tumors are radiosensitive and sometimes they have been treated by chemoembolization, but the role of radiotherapy and chemotherapy in their treatment is not clear.3,6

To differentiate them, immunohistochemical methods can be of great help. Following methods were negative in neoplastic cells: pan-cytokeratin, chromogranin and HMB45; enolase was weak positive and K167 with a cell proliferation index less than 15% was found. These tumors are also negative to endocrine markers and neoplastic markers such as CEA and CA 19-9.7-9 Our patient did not show any evidence of these markers.

In general, patients have a good prognosis and survival is reported to exceed 90% at five years with surgical treatment alone.3,7,8,10 Our patient should be followed up and monitored with lab tests.



CONCLUSSION

Frantz-Gruber tumor is rare and commonly diagnosed as a radiological finding. It has definite histopathological features, a benign behavior and low malignancy rates; however, its treatment should be surgical resection to obtain an excellent prognosis.


REFERENCES

  1. Zumarán-Cuéllar O, Romero-Hernández T, Blanco-Benavides R, Ramírez-Aceves R. Tumor de Frantz-Gruber: reporte de un caso. Revista Gastroenterología de México. 2004; 69: 236-239. Disponible en: http://www.imbiomed.com/1/1/articulos.php?method=showDetail&id_articulo=29453&id_seccion=51&id_ejemplar=3020&id_revista=10

  2. Vital-García H, González-Acosta M, Parra-Torres C. Tumor papilar sólido quístico de páncreas o tumor de Frantz-Gruber. Reporte de caso. Revista de Especialidades Médico-Quirúrgicas. 2015; 20: 100-104. Disponible en: http://www.redalyc.org/articulo.oa?id=47345916017

  3. Álvarez-Pertuz H, Poblete-Otero F, Arana-Sáenz A, Hernández-Ramírez K, Villegas-Bermúdez D. Tumor de Frantz-Gruber, un tumor sólido pseudopapilar del páncreas poco frecuente. Acta Médica Costarricence. 2011; 53: 151-153. Disponible en: http://actamedica.medicos.cr/index.php/Acta_Medica/article/view/759.

  4. Sharma HP. Pseudopapillary tumor of pancreas. JK Science. 2011; 14: 199-201. Available in: http://www.jkscience.org/archive/volume134/Pseudopapillary%20Tumor%20of%20Pancreas.pdf.

  5. Fernández JA. Tumores quísticos del páncreas: revisión de la literatura. Revista de Cirugía Española. 2003; 73: 297-308. Disponible en: http://www.elsevier.es/es-revista-cirugia-espanola-36-pdf-S0009739X03721460

  6. Bacelar-Júnior E, Pereira GM, Torres O, Santos L, Bezerra K, Rodrigues SA. Frantz's tumor of the pancreas. ABCD Arq Bras Cir Dig. 2010; 23: 212-213. Available in: http://www.scielo.br/pdf/abcd/v23n3/v23n3a17.pdf

  7. Abad-Licham M, Sanchez-Lihon J, Celis-Zapata J. Tumor sólido pseudopapilar de páncreas en el Instituto Nacional de Enfermedades Neoplásicas. Rev Gastroenterol Perú. 2008; 28: 356-361. Disponible en: http://www.scielo.org.pe/scielo.php?script=sci_arttext&pid=S1022-51292008000400004

  8. Venturelli MF, Carrasco LC, Del Pozo LM, Cárcamo IC, Cárcamo IM, Venturelli LA. Tumor sólido-pseudopapilar del páncreas. Presentación de 3 casos clínicos. Cuad Cir. 2010; 24: 11-16. Disponible en: http://revistas.uach.cl/pdf/cuadcir/v24n1/art02.pdf

  9. García HA, Monteferrario A, Pierini AL, Pierini L, Gatti D, Wenger M. Neoplasia sólida pseudopapilar del páncreas. Rev Argent Cirug. 2018; 110: 37-42. Disponible en: http://dx.doi.org/10.25132/raac.v110.n1.1319.es

  10. Mura R, Montiel A, Parquet G, Frachi R, Acosta L. Tumor sólido pseudopapilar del páncreas. Reporte de caso. Cir Parag. 2013; 37: 33-34. Disponible en: http://scielo.iics.una.py/pdf/sopaci/v37n2/v37n2a09.pdf



AFFILIATIONS

1 Postgraduate Medical Doctor. General Surgery Service of the National Oncologic Institute "Dr. Juan Tanca Marengo"- ION SOLCA. Guayaquil, Ecuador.

2 Medical Oncologist Surgeon. General Surgery Service of the National Oncologic Institute "Dr. Juan Tanca Marengo"- ION SOLCA. Guayaquil, Ecuador.

3 General Surgeon. General Surgery Service of the National Oncologic Institute "Dr. Juan Tanca Marengo"- ION SOLCA. Guayaquil, Ecuador.



Ethical considerations and responsibility

Protection of humans and animals: The authors declare that no experiments on humans or animals have been performed for this research.

Confidentiality of data: The authors declare that they have followed their center\'s protocols on the publication of patient data.

Right to privacy and informed consent: The authors have obtained the informed consent of the patients and/or subjects referred to in the article. This document is in the possession of the corresponding author.

Funding: The authors declare that no funding was obtained from any organization or institution for this article.

Disclosure: The authors declare that there is no conflict of interest.



CORRESPONDENCE

Danna Auria Aspiazu, MD. E-mail: daria_221@hotmail.com




Received: 11/13/2018. Accepted: 05/14/2019

Figure 1
Figure 2
Figure 3
Figure 4
Figure 5
Figure 6

2020     |     www.medigraphic.com

Mi perfil

C?MO CITAR (Vancouver)

Cir Gen. 2020;42