medigraphic.com
ENGLISH

Revista Odontológica Mexicana Órgano Oficial de la Facultad de Odontología UNAM

ISSN 1870-199X (Impreso)
Órgano oficial de la Facultad de Odontología, UNAM
  • Mostrar índice
  • Números disponibles
  • Información
    • Información general        
    • Directorio
  • Publicar
    • Instrucciones para autores        
  • medigraphic.com
    • Inicio
    • Índice de revistas            
    • Registro / Acceso
  • Mi perfil

2021, Número 3

<< Anterior Siguiente >>

Rev Odont Mex 2021; 25 (3)


Vasculitis leucocitoclástica originada por reactivación de virus varicela zóster. Reporte de caso

Rodríguez G, Laya C, Acosta CMG, Acosta TMI
Texto completo Cómo citar este artículo Artículos similares

Idioma: Ingles.
Referencias bibliográficas: 23
Paginas: 233-238
Archivo PDF: 229.11 Kb.


PALABRAS CLAVE

Vasculitis leucocitoclástica, vasculitis cutánea, virus varicela zóster.

RESUMEN

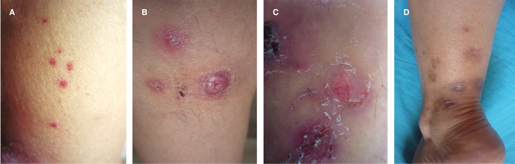
La vasculitis es un proceso inflamatorio de vasos sanguíneos que puede afectar vasos de diferentes calibres, produciendo necrosis de tejidos y órganos; el tipo de vasculitis con mayor incidencia es la cutánea denominada vasculitis leucocitoclástica (LCV) mediada principalmente por un proceso de hipersensibilidad o formación de inmunocomplejos a diferentes factores conocidos y desconocidos. El diagnóstico de LCV incluye gran cantidad de parámetros de laboratorio e imagenológicos para descartar enfermedad sistémica, lo que ocasiona retardo en la instauración del tratamiento, prolongando la isquemia y aumentando el daño tisular. El aporte fundamental del presente reporte de caso es evidenciar la importancia del diagnóstico oportuno de LCV de pequeños vasos limitada a piel con la finalidad de aplicar un esquema terapéutico precoz que produzca el menor daño posible del tejido afectado. Se presenta el caso de paciente femenino de 54 años de edad con manifestación mucosa y cutánea de reactivación del virus varicela zóster como factor desencadenante de LCV, proponiendo un adecuado protocolo para diagnóstico, mediante una anamnesis y exploración física exhaustiva que permitió la orientación de la evaluación paraclínica guiada al descarte de enfermedad sistémica, obteniendo un abordaje terapéutico integral y oportuno con resolución de la patología a corto plazo.


REFERENCIAS (EN ESTE ARTÍCULO)

  1. Arévalo Suarez MC, Ruíz Rojas LA, Peña Subiabre C. Vasculitis clasificación y diagnóstico. Dermatol Venez. 2014; 52 (2): 7-13.

  2. Gutiérrez MI, Grana D, Dufrechou C. Vasculitis paraneoplásica. Presentación de 2 casos clínicos. Arch. Med Int. 2014; 36 (1): 29-32.

  3. Ramirez GA, Weyand C, Vaglio A, Manfredi AA. Editorial: vascular inflammation in systemic autoimmunity. Front Immunol. 2016; 7: 471.

  4. Sunderkotter CH, Zelger B, Chen KR, Requena L, Piette W, Carlson JA et al. Nomenclature of cutaneous vasculitis: dermatologic addendum to the 2012 revised International Chapel Hill Consensus Conference Nomenclature of Vasculitides. Arthritis Rheumatol. 2018; 70 (2): 171-184.

  5. Hernández-López A, Panigua-Tapia M, Cortés-Rojo C, Rodríguez-Orozco AR. Vasculitis leucocitoclástica (vasculitis por hipersensibilidad). Med Int Mex. 2019; 35 (2): 251-267.

  6. Camacho Lovillo MS, Lirola Cruz MJ. Púrpura de Shönlein-Henoch, enfermedad de Kawasaki y otras vasculitis. Pediatr Integral. 2017; 21 (3): 183-195.

  7. Diplomatico M, Gicchino MF, Ametrano O, Marzuillo P, Olivieri AN. A case of urticarial vasculitis in a female patient with lupus: Mycoplasma pneumoniae infection or lupus reactivation? Rheumatol Int. 2017; 37 (5): 837-840.

  8. Meza-Ayala CM, Dehesa-López E, Ruelas-Perea AG et al. Vasculitis leucocitoclástica: un reto diagnóstico para el médico internista. Med Int Mex. 2015; 31 (1): 113-118.

  9. Carlson JA, Bernard NG, Chen KR. Cutaneous vasculitis update: diagnostic criteria, classification, epidemiology, etiology, pathogenesis, evaluation and prognosis. Am J Dermatopathol. 2005; 27 (6): 524-528.

  10. Moreno Martínez MJ, Palma Sánchez D, Peñas Martínez E, Haro Martínez A, Mayor González M. Vasculitis leucocitoclástica e infección. A propósito de un caso. Reumatol Clin. 2017; 13 (5): 297-298.

  11. Liste Rodríguez S, Chamizo Cabrera MG, Paz Enrique LE, Hernández Alfonso EA. Vasculitis leucocitoclástica. Rev Cubana Med Gen Integr. 2013; 30 (4): 415-420.

  12. Arora A, Wetter DA, González-Santiago TM, Davis MDP, Lohse CM. Incidence of leukocytoclastic vasculitis, 1996 to 2010: a population-based study in Olmsted County, Minnesota. Mayo Clin Proc. 2014; 89 (11): 1515-1524.

  13. Te CC, Le V, Allee M. Famciclovir-induced leukocytoclastic vasculitis. Ann Pharmacother. 2008; 42 (9): 1323-1326.

  14. Ting TV. Diagnosis and management of cutaneous vasculitis in children. Pediatr Clin North Am. 2014; 61 (2): 321-346.

  15. Einhorm J, Levis JT. Dermatologic diagnosis: leukocitoclastic vasculitis. Perm J. 2015; 19 (3): 77-78.

  16. Loricela J, Calvo-Río V, Ortiz-Sanjuán F, González-López MA, Fernández-Llaca H, Rueda-Gotor J et al. The spectrum of paraneoplastic cutaneous vasculitis in a defined population: incidence and clinical features. Medicina (Baltimore). 2013; 92 (6): 331-343.

  17. Okazaki T, Shinagawa S, Mikage H. Vasculitis syndrome-diagnosis and therapy. J Gen Fam Med. 2017; 18 (2): 72-78.

  18. Suárez Santisteban MA, García-Bernalt Funes MV, Mora Mora M, Novillo Santano RA, Rangel Hidalgo G, Cebrián C. Varicela herpes zóster: complicación en una vasculitis ANCA positiva. Nefrología. 2011; 31 (5): 616-618.

  19. Salamano R, Lewin S. Las encefalitis herpéticas. Encefalitis producida por la familia herpes. Arch Med Interna. 2011; 33 (3): 49-58.

  20. Chanussot-Deprez C, Vega-Memije ME, Flores-Suárez L et al. Etiología de las vasculitis cutáneas: utilidad de una aproximación sistémica. Gac Med Mex. 2018; 154 (1): 62-67.

  21. Aria AB, Chen L, Glass WF, Lahoti A, Chon SY. Leukocytoclastic vasculitis with late-onset Henoch-Schönlein purpura after trifluridine/tipiracil treatment. Dermatol Online J. 2018; 24 (10): 13030/qt75g3b1kv.

  22. Espígol-Frigolé G, Prieto-González S, Hernández-Rodríguez J, Cid Xutglá MC. Protocolo diagnóstico de las vasculitis sistémicas. Medicine. 2017; 12 (29): 1739-1743.

  23. Pires M, Sousa M, Montez A, Juliao I. Vasculite leucocitoclástica e infeccao crónica por hepatite B. Galicia Clin. 2014; 75 (1): 25-27.




Figura 1
Figura 2
Tabla 1
Tabla 2

2020     |     www.medigraphic.com

Mi perfil

C?MO CITAR (Vancouver)

Rev Odont Mex. 2021;25

ARTíCULOS SIMILARES

CARGANDO ...