medigraphic.com
ENGLISH

Revista Mexicana de Cirugía Endoscópica

ISSN 1665-2576 (Impreso)
  • Mostrar índice
  • Números disponibles
  • Información
    • Información general        
    • Directorio
  • Publicar
    • Instrucciones para autores        
    • Envío de artículos
  • medigraphic.com
    • Inicio
    • Índice de revistas            
    • Registro / Acceso
  • Mi perfil

2021, Número 3-4

<< Anterior Siguiente >>

Rev Mex Cir Endoscop 2021; 22 (3-4)


Experiencia inicial del Centro Médico Naval con colangioscopía diagnóstica y litotripsia en patología de la vía biliar: serie de casos

Acuña-Macouzet, Alejandro1; Acuña-Prats, Rafael2; Larracilla-Salazar, Ivanhoe2; Hernández-Pérez, Rocío2; Vázquez-Zarate, Efraín2; Bernal-Méndez, Rafael2; Torres-Ruíz, Miriam2; Torres-Méndez, Rocío1
Texto completo Cómo citar este artículo 10.35366/106476

DOI

DOI: 10.35366/106476
URL: https://dx.doi.org/10.35366/106476
Artículos similares

Idioma: Español
Referencias bibliográficas: 20
Paginas: 128-134
Archivo PDF: 235.86 Kb.


PALABRAS CLAVE

Colangioscopía, SpyGlass DS®, litotripsia, obstrucción de la vía biliar.

RESUMEN

Introducción: La colangioscopía ha demostrado ser muy útil en el diagnóstico y tratamiento de patología biliar obstructiva como la coledocolitiasis o la estenosis biliar, sobre todo en casos de alta dificultad técnica. Objetivo: Describir la experiencia inicial del Centro Médico Naval con colangioscopía diagnóstica y litotripsia en patología biliar obstructiva utilizando el equipo SpyGlass DS® de Boston Scientific. Material y métodos: Análisis de la serie de casos de patología de la vía biliar tratados mediante colangioscopía y litotripsia, desde el 21 de octubre del 2016 al 31 de diciembre del 2019. Se registraron las características demográficas, causas de obstrucción biliar, tipo de litotripsia utilizada, tasa de resolución, número de sesiones requeridas, complicaciones y mortalidad. Resultados: Se trataron 15 pacientes de los cuales dos (13.33%) fueron masculinos y 13 (86.67%) femeninos. Se tuvo una mediana de edad de 73 años, en un rango de edades de 25 a 89 años. En 66.6% de los casos se encontró que los pacientes habían sido sometidos a CPRE previas: 33.33% sólo una, 20% con dos y 13.33% con tres. En 33.33% de los pacientes no se realizó CPRE previa. Se logró la resolución de la coledocolitiasis en 13 de 15 pacientes en la primera sesión (86.6%), se requirió de una segunda sesión en dos pacientes (13.3%) obteniendo finalmente una tasa de éxito de 100%. Como complicación dos pacientes presentaron pancreatitis aguda leve resolviéndose a las 48 h en dos casos (13.3%). La mortalidad fue de 6.6% (un caso). Conclusión: En esta experiencia inicial de nuestro hospital, la colangioscopía y litotripsia con SpyGlass DS® permitió resolver la coledocolitiasis de casos complejos en uno a dos eventos terapéuticos con alta tasa de éxito y baja morbimortalidad, siendo una opción terapéutica para la patología benigna biliar.



INTRODUCCIóN

Desde la década de 1970 se describió el uso de la visualización de las vías biliares y el conducto pancreático mediante duodenoscopías orales.1 En el estudio reportado por Nakajima y colaboradores se obtuvo una tasa de éxito de 84% con adecuada visibilidad en 70% de los casos. Desde finales de 1980, en Europa se inició el uso de litotripsia de cálculos biliares con láser pulsado en casos de litotripsias fallidas empleando colangiopancreatografía retrógrada endoscópica (CPRE). El láser es absorbido por el lito, mismo que se calienta, lo que produce estrés que deriva en daño y destrucción del lito. Esta técnica fue reportada con una tasa efectiva y segura para la coledocolitiasis, siendo efectuadas con visión directa.2 A pesar del éxito obtenido, la técnica no fue adoptada de manera global debido a limitaciones técnicas como movimiento restringido de la punta del colangioscopio, difícil visualización y la necesidad de dos endoscopistas para el procedimiento.

El colangioscopio SpyGlass DS® de Boston Scientific Corp. fue diseñado con dos canales de irrigación, una punta que se puede doblar dando mayor maniobrabilidad y puede ser usado por un solo endoscopista.3,4 La eficacia de este colangioscopio ha sido probada en diferentes estudios y se ha comercializado por más de una década.5

A pesar de contar en la literatura con diferentes estudios que describen la colangioscopía y litotripsia con SpyGlass DS®,2-5 el objetivo de este estudio es confirmar la eficacia y seguridad de este dispositivo reportando la experiencia inicial del Centro Médico Naval con colangioscopía diagnóstica y litotripsia en patología biliar obstructiva.



MATERIAL Y MéTODOS

Se revisó la serie de casos de patología de la vía biliar tratados mediante colangioscopía con SpyGlass DS® (Boston Scientific) en el Centro Médico Naval de la Ciudad de México, desde el 21 de octubre del 2016 al 31 de diciembre del 2019. Se registraron las características demográficas de los pacientes, las causas de obstrucción biliar, el tipo de litotripsia utilizada, la tasa de resolución de la obstrucción biliar, el número de sesiones requeridas, las complicaciones y la mortalidad.

Este estudio observacional fue diseñado para documentar la eficacia y seguridad del SpyGlass DS®. Los procedimientos fueron hechos por distintos operadores, con profilaxis antibiótica y medidas preventivas de inflamación de páncreas. Los pacientes fueron evaluados durante su estancia hospitalaria, comparando el estado clínico pre- y posprocedimiento hasta el momento de su alta, así como los hallazgos de la intervención. Dentro de los parámetros a evaluar, el principal fue el éxito del procedimiento, tomando en cuenta como éxito canular la vía biliar y realizar litotripsia de los litos hasta obtener una imagen sin defectos de llenado de las vías biliares. Como parámetro secundario se observó la seguridad del procedimiento reportando cualquier complicación durante el tiempo de hospitalización de los pacientes.

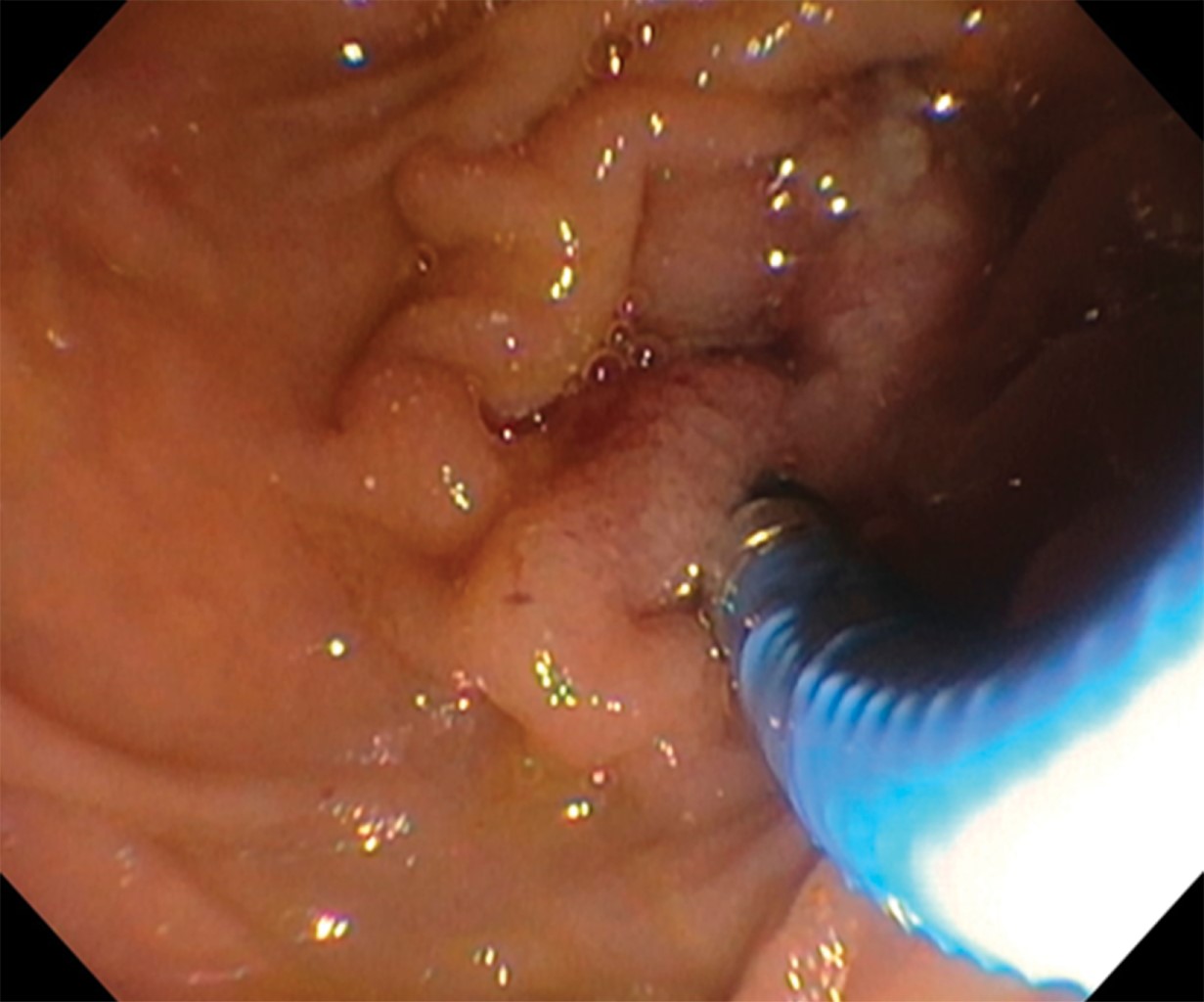
De forma programada y bajo anestesia general, previa intubación orotraqueal y monitorización por el servicio de anestesiología, se administró profilaxis antibiótica e indometacina 100 mg vía rectal. Con el paciente en decúbito lateral izquierdo se introdujo el duodenoscopio marca Olympus modelo TJF-Q 180 hasta la segunda porción del duodeno. Se retiró la prótesis plástica tipo Amsterdam utilizando un asa de polipectomía y se canuló de manera profunda la vía biliar con guía Jagwire de 0.025 mm para montar el colangioscopio SpyGlass® sobre la misma, se utilizó el canal de trabajo del colangioscopio para facilitar el acceso a la vía biliar.

Se introdujo el endoscopio de manera proximal en la vía biliar, se aspiró la bilis y se irrigó retirando el endoscopio de manera progresiva para canular ámpula de Vater e introducir colangioscopio y observar la vía biliar en sus diferentes segmentos (Figura 1): vía biliar intrahepática, carina, hepático común, remanente del cístico y colédoco en sus tres segmentos. El procedimiento se llevó a cabo con apoyo de fluoroscopía para guiar el adecuado paso del colangioscopio hacia el conducto colédoco y conductos hepáticos (Figura 2). Los litos fueron dividiéndose secuencialmente mediante la aplicación de láser Holmio a 1.8 Joules y 10 Hertz de frecuencia en promedio hasta fragmentarlos en su totalidad o litotripsia electrohidráulica según los programas preestablecidos. Al final de la litotripsia se retiró el colangioscopio para pasar un catéter extractor de balón y hacer limpieza de los residuos de la fragmentación, dejando la vía biliar permeable y sin litos. Todos los pacientes se quedaron hospitalizados durante 24 horas para observación, registro de sus signos vitales, vigilancia de dolor, biometría hemática, amilasa y lipasa sérica de control.



RESULTADOS

Durante el periodo de estudio se realizaron en nuestro hospital un total de 360 procedimientos de colangiografías, distribuidas en los cuatro años analizados desde la adopción de la tecnología del SpyGlass DS®, de los cuales, sólo 5.28% corresponden a las colangioscopías con SpyGlass DS®.

Se encontró que se realizaron colangioscopías con el sistema SpyGlass DS® a 19 pacientes en este periodo de tiempo. De ellos, se excluyeron cuatro casos debido a que no cumplieron con los criterios de inclusión. En la Tabla 1 se enlistan todas las características de los 15 casos encontrados para colangioscopías con SpyGlass DS® en el Centro Médico Naval en los cuatro años desde su adopción.

Dentro de las características demográficas de los pacientes sometidos a colangioscopía con SpyGlass DS®, se encontró que de los 15 casos considerados para este estudio, dos (13.33%) fueron pacientes masculinos y 13 (86.67%) femeninos. Se tuvo una mediana de edad de 73 años, en un rango de edades de 25 a 89 años.

En 66.6% de los casos, se encontró que los pacientes habían sido sometidos a CPRE previas: 33.33% sólo una, 20% con dos y 13.33% con tres. En 33.33% de los pacientes no se realizó CPRE previa (Tabla 1).

Durante la realización de los procedimientos de colangioscopía con SpyGlass DS®, entre los casos estudiados, se encontró que casi la mitad de los pacientes tenían 1-5 cálculos de 2 cm de diámetro (46.67%), mientras que el resto de los pacientes tenían de cinco a 10 cálculos de 2 cm de diámetro (20%), o más de 10 cálculos de 2 cm de diámetro (26.67%) y que 6.66% de los pacientes presentó estenosis de la vía biliar.

En los casos considerados para este estudio, las aplicaciones terapéuticas realizadas durante la colangioscopía con SpyGlass DS® fueron litotripsia en 66.67% de los casos, litotripsia con esfinterotomía en 13.33% de los casos y litotripsia, precorte y esfinterotomía en 13.33%, mientras que en 6.66% de los casos no fue necesario realizar ninguno de estos procedimientos durante la intervención.

Se logró la resolución de la coledocolitiasis en 13 de 15 pacientes en la primera sesión (86.6 %), se requirió de una segunda sesión en dos pacientes (13.3%). En estos dos casos de fracaso uno fue debido a que se rompió la fibra óptica del láser y en otro por coledocolitiasis múltiple y no poder pasar por el canal de trabajo.

En dos casos (13.3%) se manifestó pancreatitis aguda con dolor epigástrico leve (escala numérica del dolor de 1-4) y elevación de la amilasa y lipasa a más de tres veces su valor normal; los niveles séricos se normalizaron en 48 horas. En ninguno de los casos se registró sangrado, colangitis o perforación duodenal.

Una paciente (6.6%) que tenía el diagnóstico de probable colangiocarcinoma falleció 24 horas después del procedimiento debido a colangitis y choque séptico.



DISCUSIóN

La visión endoscópica de la vía biliar se realiza desde hace más de dos décadas a nivel mundial; sin embargo, los endoscopios utilizados para este fin solían ser frágiles, poco funcionales y muy caros, además de requerir del trabajo coordinado de dos endoscopistas. Los primeros colangioscopios contaban con un único control en la unidad de mando, que sólo permitía flexionar la punta de éste, la visión era limitada y oscura, ya que eran de fibra óptica.1-3 En febrero del 2015 fue introducido en la práctica clínica el SpyGlass DS® de Boston Scientific, un colangioscopio mejorado que resolvió muchos de los problemas ópticos y de funcionalidad, permitiendo el tratamiento exitoso de los cálculos de difícil manejo, definidos como aquellos de más de 2 cm de diámetro o de forma triangular o cilíndrica que dificultan su extracción aun con esfinterotomía previa y dilatación del conducto biliar con catéter endoscópico de balón, al fragmentarlos con láser o litotripsia electrohidráulica.4

El nuevo endoscopio está diseñado para ser usado por un solo endoscopista, acoplado a la unidad de mando del duodenoscopio (Figura 3), con mejor iluminación, resolución y ángulo de visibilidad, lo que se traduce en mejor visión. Además, cuenta con dos controles para mover la punta en las cuatro direcciones habituales de un endoscopio y un canal de trabajo de 1.2 mm que permite el paso de una pinza endoscópica para tomar biopsias bajo visión directa o de la fibra óptica para el láser con la que se lleva a cabo la litotripsia, así como dos canales de agua y doble fibra óptica para la iluminación. El nuevo sistema se conecta a una sola unidad de vi deo procesador y la imagen puede ser vista en el mismo monitor del duodenoscopio o por separado en otro monitor5,6 (Figura 4).

Las dos aplicaciones principales de la colangioscopía son el diagnóstico diferencial de la estenosis indeterminada de la vía biliar o del conducto pancreático principal y el tratamiento endoscópico de la litiasis de difícil manejo de la vía biliar y con menor frecuencia también del páncreas. La colangioscopía utilizando el nuevo SpyGlass DS® ha demostrado en estudios previos tener alta sensibilidad y especificidad en el diagnóstico de la estenosis indeterminada de la vía biliar. Sólo por imagen endoscópica, la sensibilidad fue de 90% y la especificidad de 95.8%, con valor predictivo positivo de 94.7% y valor predictivo negativo de 92%. Al agregarse la biopsia tomada bajo visión directa, la sensibilidad fue de 85% con especificidad de 100%, valor predictivo positivo de 100% y negativo de 88.9%.7-9

En nuestra serie de pacientes con coledocolitiasis tratados por colangioscopía se incluyó una paciente (6.6%) de 26 semanas de embarazo con tres internamientos por dolor para no someterla a radiación. La colangioscopia fue solamente diagnóstica en un paciente (6.6%), por estenosis indeterminada de la vía biliar y sospecha de colangiocarcinoma. Este caso se presentó clínicamente con colangitis, choque séptico y síndrome de Raynaud. A pesar de un riesgo alto (ASA 4), se sometió a tratamiento endoscópico para intentar resolver la colangitis previo consentimiento informado.

En este caso por probable colangiocarcinoma se observó estenosis de aproximadamente 90% de la luz del hepático común por debajo de la confluencia de los hepáticos, y se logró avanzar una guía de 0.25 bajo visión directa para paliar la estenosis, pero durante las maniobras para colocar la endoprótesis la guía se salió y no fue factible volver a pasar la estenosis, no pudiendo paliarla endoscópicamente. El aspecto endoscópico de esa paciente fue de una estenosis asimétrica irregular de cerca de 90% de la luz, con mucosa nodular, proyecciones digitiformes y aumento de la red vascular con vasos dilatados y tortuosos por neovascularización. Se observó salida de material purulento que provenía de la parte proximal de la vía biliar. El diagnóstico histopatológico no pudo ser confirmado debido a las dificultades técnicas para el procesamiento de la biopsia por el tamaño de la muestra.

En cuanto a la parte terapéutica, la litotripsia por fragmentación con láser en estudios previos de 31 pacientes fue exitosa en 100% de los casos, los cuales habían tenido por lo menos una colangiografía fallida en 74.2% utilizando canastilla o balón. La resolución de la coledocolitiasis en una sola sesión se alcanzó en 87.1% de los pacientes.10-14

En nuestro hospital, la experiencia inicial de la aplicación de esta nueva tecnología fue de gran utilidad, ya que nos permitió resolver la coledocolitiasis en el primer intento en 86.6% de los casos de difícil manejo (definida como los litos de 2 o más cm, múltiples o cuya forma no permitió la extracción previa de los litos), habitualmente con un rango de entre una a tres colangiografías endoscópicas fallidas (66.66%).

Las principales complicaciones potenciales de este procedimiento son: pancreatitis aguda, sangrado, colangitis y perforación de la vía biliar. La incidencia en la literatura de estas complicaciones es menor a 3% y están relacionadas en su mayoría con la esfinterotomía previa de la papila que se necesita hacer para el acceso del SpyGlass DS® y no con el equipo.15-18 Es muy poco frecuente, pero también se han descrito casos aislados de perforación de la vía biliar y de la vesícula por la irrigación que se utiliza para distender los conductos cuando existe estenosis de la vía biliar, lo que aumenta la presión hidrostática al no poder salir la solución por la papila.19,20 En nuestra serie se manifestaron complicaciones como pancreatitis aguda en dos casos (13.3%), y en ninguno hubo sangrado, colangitis o perforación duodenal.

La colangioscopía es una nueva herramienta terapéutica en la práctica diaria en los hospitales de tercer nivel que complementa a la colangiografía endoscópica, tanto en el diagnóstico de la estenosis indeterminada como en el tratamiento de la litiasis de difícil manejo de la vía biliar. Las mejoras en el diseño del nuevo SpyGlass DS® de Boston Scientific le confieren mayor visión y funcionalidad. Esto permite evitar a los pacientes con patología biliar obstructiva, una cirugía laparoscópica o abierta, bajo anestesia general, con estancia hospitalaria mayor y la probabilidad de tener que portar una sonda en T durante aproximadamente cuatro semanas, con las comorbilidades que conlleva.

Existen varias limitaciones en este trabajo, como la cantidad reducida de pacientes, necesitando mayor número para poder confirmar las estadísticas mostradas. Los pacientes fueron en su mayoría femeninos y no se puede descartar un sesgo en la selección de pacientes. Tampoco se tuvo seguimiento de los pacientes los siguientes meses, por lo que no es posible establecer un porcentaje de reincidencias o complicaciones a largo plazo. El procedimiento fue realizado por un endoscopista con práctica constante en CPRE con acceso al sistema SpyGlass DS®, dificultando su reproducibilidad en otros centros donde no se cuente con el mismo personal capacitado o equipo hospitalario.



CONCLUSIONES

La revisión de esta serie de casos nos permite concluir que, en la experiencia inicial del Centro Médico Naval, la colangioscopía permitió resolver la coledocolitiasis de casos complejos en uno a dos eventos terapéuticos con alta tasa de éxito y baja morbimortalidad, siendo una opción terapéutica para la patología obstructiva biliar.



AGRADECIMIENTOS

Agradecemos de manera muy especial a todo el equipo de Boston Scientific, a la Lic. Teresa Heredia López y al Ing. Israel Salgado Sánchez por su asesoría y apoyo técnico.


REFERENCIAS (EN ESTE ARTÍCULO)

  1. Nakajima M, Akasaka Y, Yamaguchi K et al. Direct endoscopic visualization of the bile and pancreatic duct systems by peroral cholangiopancreatoscopy (PCPS). Gastrointest Endosc. 1978; 24: 141-145.

  2. Ponchon T, Gagnon P, Valette PJ et al. Pulsed dye laser lithotripsy of the bile duct stones. Gastroenterology. 1991; 100: 1730-1736.

  3. Chen YK, Parsi MA, Binmoeller KF et al. Single- operator cholangioscopy in patients requiring evaluation of the bile duct disease or therapy of biliary stones (with videos). Gastrointest Endosc. 2011; 74: 805-814.

  4. Chen YK, Pleskow DK. SpyGlass single operator cholangiopancreatoscopy system for the diagnosis and therapy of bile-duct disorders: a clinical feasibility study (with video). Gastrointest Endosc. 2007; 65: 832-841.

  5. Shah RJ, Neuhaus H, Parsi M et al. A randomized assessment of a semidisposable, digital single operator cholangioscope in a biliary tract bench model. Endosc Int Open. 2018; 6: E851-E856.

  6. Parsi MA, Jang S, Sanaka M et al. Diagnostic and therapeutic cholangiopancreatoscopy: performance of a new digital cholangioscope. Gastrointest Endosc. 2014; 79: 936-942.

  7. Cotton PB, Elsen GM, Aabakken L et al. A lexicon for endoscopic adverse events: report of an ASGE workshop. Gastrointest Endosc. 2010; 71: 446-454.

  8. Navaneethan U, Hasan MK, Lourdusamy V et al. Single operator cholangioscopy and targeted biopsies in the diagnosis of indeterminate biliary strictures: a systematic review. Gastrointest Endosc. 2015; 82: 608-614.

  9. Itoi T, Sofuni A, Itokawa F et al. Peroral cholangioscopy diagnosis of biliary-tract diseases by using narrow band imaging (with video). Gastrointest Endosc. 2007; 66: 730-736.

  10. Parsi MA, Stevens T, Collins J et al. Utility of a prototype peroral video cholangioscopy system with narrow-band imaging for evaluation of biliary disorders (with videos). Gastrointest Endosc. 2011; 74: 1148-1151.

  11. Kim HJ, Kim MH, Lee SK et al. Tumor vessels: a valuable cholangioscopic clue of malignant biliary stricture. Gastrointest Endosc. 2000; 52: 635-638.

  12. Seeholf A, Shumacher B, Neuhaus H. Prospective study of SpyGlass guided laser lithotripsy of bile duct stones after failure of conventional endoscopic techniques (abstract). Gastrointest Endosc. 2009; 69: AB261.

  13. Attwell AR, Patel S, Kahaleh M et al. ERCP with per-oral pancreatoscopy-guided laser lithotripsy for calcific chronic pncreatritis: a multicenter US experience. Gastrointest Endosc. 2015; 82: 311-318.

  14. Shah RJ, Raijman I, Brauer BC et al. A US multicenter first human use experience using the fully disposable, digital single operator cholangioscope (DSOCP) (abstract). Gastrointest Endosc. 2016; 83: AB 141.

  15. Manta R, Frazzoni M, Conigliaro R et al. SpyGlass single-operator peroral cholangioscopy in the evaluation of indeterminate biliary lesions: a single center, prospective cohort study. Surg Endosc. 2013; 27: 1569-1572.

  16. Ishida V, Itol T, Okabe Y. Can image-enhanced cholangioscopy distinguish benign from malignant lesions in the biliary duct? Best Pract Res Clin Gastroenterol. 2015; 29: 611-625.

  17. Tringall A, Lemmers A, Meves V et al. Intraductal biliopancreatic imaging: European Society of Gastrointest Endoscopy (ESGE) technology review. Endoscopy. 2015; 47: 739-753.

  18. Sha RJ. Innovations in intraductal endoscopy cholangioscopy and pancreatoscopy. Gastrointest Endosc Clin N Am. 2015; 25: 779-792.

  19. Wright ER, Bakis G, Srinnivasan R et al. Intraprocedural tissue diagnosis during ERCP employing a new cytology preparation of forceps biopsy (Smash protocol). Am J Gastroenterol. 2011; 106: 294-299.

  20. Seithi A, Doukides T, Seipal DV et al. Interobserver agreement for single operator choledocoscopy imaging; can we do better? Diagn Ther Endosc. 2014; 14: 730-731.



AFILIACIONES

1 Hospital Ángeles Lomas.

2 Centro Médico Naval.



Conflicto de intereses: Todos los autores declaran no tener conflicto de intereses.

Financiamiento: El financiamiento para los procedimientos fue aportado por el propio hospital. Se decidió usar el equipo SpyGlass DS® por ser con el que contaba nuestra institución.



CORRESPONDENCIA

Rafael Acuña-Prats. E-mail: acunaprats@gmail.com




Recibido: 24/03/2022. Aceptado: 16/05/2022.

Figura 1
Figura 2
Figura 3
Figura 4
Tabla 1

2020     |     www.medigraphic.com

Mi perfil

C?MO CITAR (Vancouver)

Rev Mex Cir Endoscop. 2021;22

ARTíCULOS SIMILARES

CARGANDO ...