medigraphic.com
ENGLISH

Acta Médica Grupo Ángeles

Órgano Oficial del Hospital Ángeles Health System
  • Mostrar índice
  • Números disponibles
  • Información
    • Información general        
    • Directorio
  • Publicar
    • Instrucciones para autores        
    • Envío de artículos
    • Políticas
    • Nombre y afiliación del Comité Editorial
  • Nosotros
    • Plan de gestión e intercambio de datos
    • Objetivos declarados y alcance
  • medigraphic.com
    • Inicio
    • Índice de revistas            
    • Registro / Acceso
  • Mi perfil

2022, Número 4

<< Anterior Siguiente >>

Acta Med 2022; 20 (4)


Fiebre Q como parte del abordaje de fiebre de origen desconocido

Salvador Ibarra, Ibzan Jahzeel1; Pizaña Dávila, Alejandro1; Alva Arroyo, Nancy Verónica1; Huerta Escobar, María Guadalupe2
Texto completo Cómo citar este artículo 10.35366/107121

DOI

DOI: 10.35366/107121
URL: https://dx.doi.org/10.35366/107121
Artículos similares

Idioma: Español
Referencias bibliográficas: 7
Paginas: 350-352
Archivo PDF: 190.80 Kb.


PALABRAS CLAVE

Fiebre Q, Coxiella burnetii, aerosoles, inmunoflourescia indirecta, doxiciclina.

RESUMEN

La fiebre Q es una enfermedad infecciosa, fue descrita por primera vez por Derrick. En 1999 la fiebre Q se convirtió en una enfermedad de notificación obligatoria en Estados Unidos (EUA), debido a su potencial como agente de bioterrorismo. Se cree que la incidencia es más alta; sin embargo, no hay datos específicos que lo concluyan, designándose como una patología subdignósticada. La presentación clínica más común va desde un cuadro asintomático, fiebre persistente, astenia, adinamia hasta una neumonía grave y hepatitis. El mejor método diagnóstico más disponible es la inmunofluorescencia indirecta (IFI) para la detección de títulos de anticuerpos. El tratamiento específico es un antibiótico del grupo de las tetraciclinas; la doxiciclina es la preferida, y ésta se debe comenzar de manera oportuna y adecuada ante la sospecha.



INTRODUCCIóN

Fue descubierta en 1937 en Queensland, Australia por Derrick, quién describió una enfermedad febril a la que llamó "fiebre de los mataderos" en 20 de 800 trabajadores de una fábrica de carne en Brisbane.1 Posteriormente, el patógeno fue aislado de la sangre y orina de los pacientes en Australia por Burnet y Freeman y fue llamado rickettsia (R. Burnetii).2 Al mismo tiempo, Davis y Cox aislaron el patógeno de garrapatas en Montana, EUA, y lo denominaron R. diaporica, más tarde lo rebautizaron como Coxiella burnetii.3



CASO CLíNICO

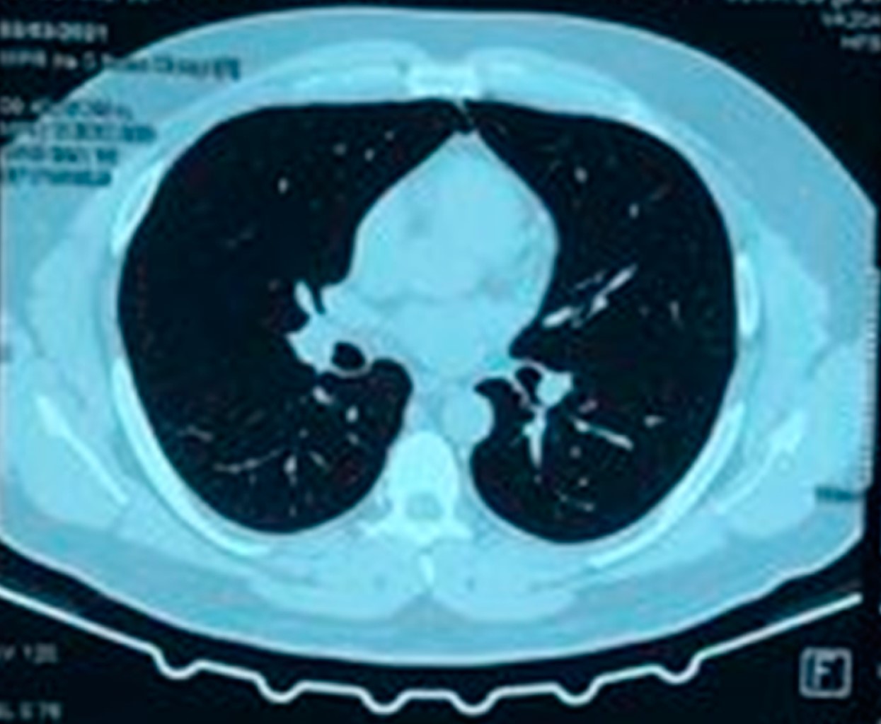
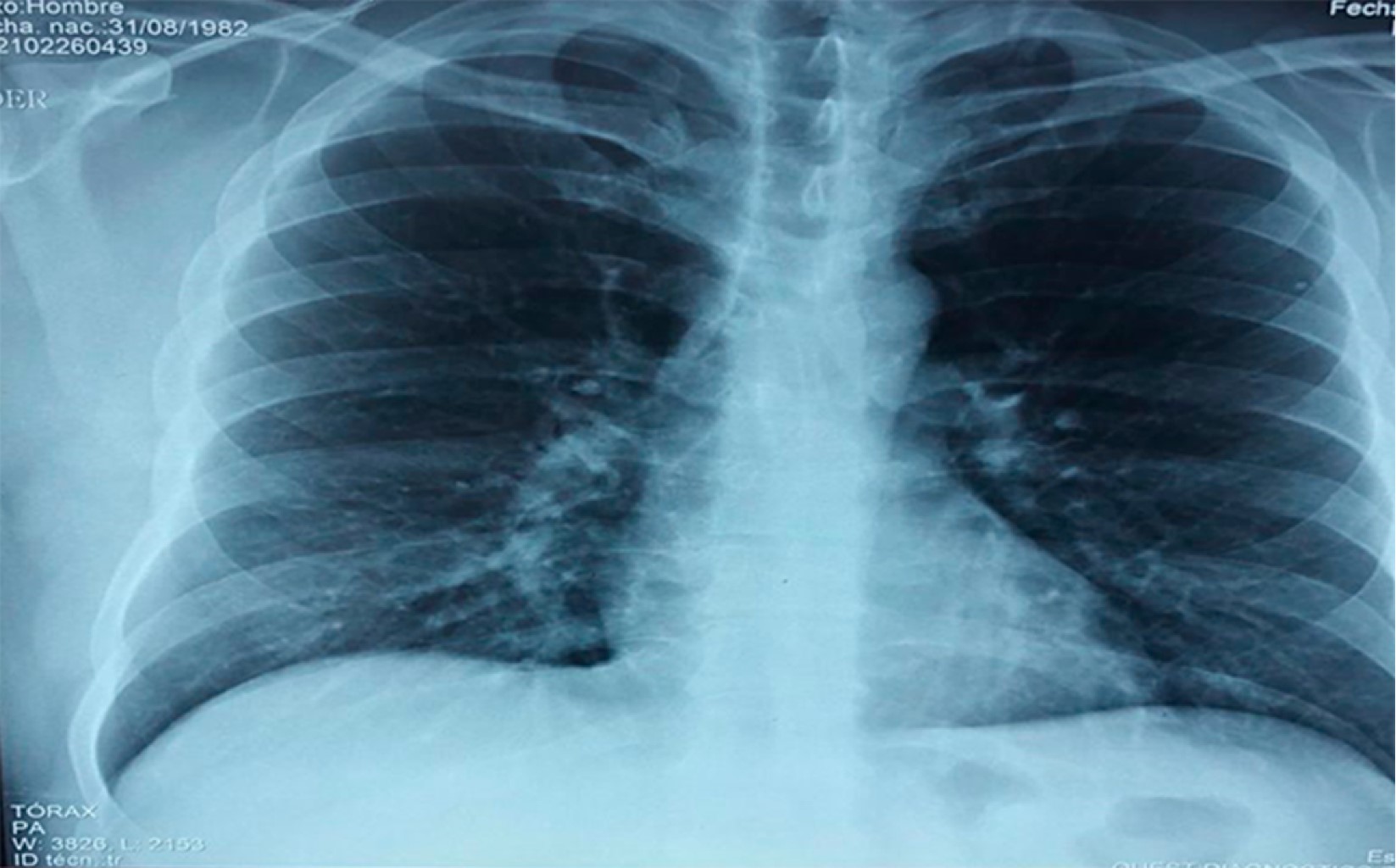
Masculino de 38 años de edad destaca dedicación a la ganadería caprina, sin uso adecuado de equipo de protección personal. Acudió al servicio de urgencias por cuadro clínico de un mes de evolución con presencia de fiebre de predominio nocturno de 39 oC, duración de tres horas, astenia, adinamia, con signos vitales tensión arterial:130/80 mmHg, frecuencia cardiaca:100 lpm, frecuencia respiratoria: 20 rpm, temperatura: 37 oC. A la exploración física sin existencia de adenopatías palpables, sin alteraciones pulmonares ni cardiacas, abdomen sin alteraciones. En la analítica hemoglobina: 17 g/dL, plaquetas: 362 × 109/L, leucocitos: 14.8 × 109/L, neutrófilos: 10.3 × 109/L, PCR SARS-CoV-2 negativa, examen general de orina y urocultivo negativos, IgG Coxiella fase I negativo, IgG Coxiella fase II positivo, IgM fase I Coxiella positivo 1,256 U/mL, IgM fase II Coxiella positivo 116,384 U/ml, radiografía simple de tórax (Figura 1), tomografía simple de tórax (Figura 2). Ecocardiograma transtorácico (Figura 3). Se inició tratamiento con paracetamol 1 gramo intravenoso cada ocho horas y doxiciclina 100 mg vía oral cada 12 horas durante dos semanas (14 días) con mejoría.



DISCUSIóN

La epidemiología de la fiebre Q en México no es del todo clara. Sin embargo, hay estudios que confirman presencia endémica de Coxiella burnetii (C. burnetii), principalmente en regiones dedicadas a la cría de ganado ovino.4 En áreas de endemicidad, la fiebre Q se presenta como casos esporádicos, generalmente después de actividades de riesgo identificables.5 Un aumento de cuatro veces en el título de anticuerpos IgG de fase II por inmunofluorescencia indirecta (IFI) de muestras pareadas agudas y convalecientes es el estándar de oro para confirmar el diagnóstico de fiebre Q aguda; sin embargo, este requisito proporciona principalmente un diagnóstico retrospectivo.6 Generalmente, los títulos de IgG de fase II de ≥ 200 y/o IgM de ≥ 50 se consideran significativos para el diagnóstico de infección primaria por fiebre Q y los títulos de IgG de fase II tienden a ser más altos que los títulos de IgG de fase I durante la infección primaria.5 La definición de caso de fiebre Q aguda incluye fiebre aguda y uno o más de los siguientes: escalofríos, dolor de cabeza retrobulbar severo, hepatitis aguda, neumonía o niveles elevados de enzimas hepáticas y la evidencia por laboratorio requiere un título de IgG de fase II de IFA de al menos 1:128 o un ensayo inmunoabsorbente ligado a enzimas (ELISA), dot-ELISA o aglutinación de látex positivo.7 A pesar de esto, el diagnóstico inicial de fiebre Q aguda no se puede basar en la clínica, pero puede sospecharse, y no se debe retrasar el tratamiento a la espera de los resultados diagnósticos.6 En el caso presentado, ante la positividad de IgG y elevación de IgM de fase II sumadas a la clínica y factor de riesgo exponencial, se decidió iniciar tratamiento antibiótico mostrando resolución de la sintomatología.



CONCLUSIóN

La prevalencia de fiebre Q es muy variable de un país a otro, muchas veces es subdiagnosticada y poco notificada en México, con un curso asintomático la mayoría de veces; sin embargo, con riesgo de complicaciones graves. Por lo que ante la fuerte sospecha de infección aguda se debe otorgar tratamiento específico.


REFERENCIAS (EN ESTE ARTÍCULO)

  1. Derrick EH. "Q" fever, a new fever entity: clinical features, diagnosis and laboratory investigation. Med J Aust. 1937; 2: 281-299.

  2. Burnet FM, Freeman M. Experimental studies on the virus of "Q" fever. Med J Aust. 1937; 2: 299-305.

  3. Davis G, Cox HR. A filterpassing infectious agent isolated from ticks: isolation from Dermatocentor andersoni, reaction in animals, and filtration experiments. Public Health Rep. 1938; 53 (52): 2259-2267.

  4. Araujo J, Sifuentes J, Bobadilla JM et al. ¿Qué sabemos acerca de la fiebre Q en México? Rev Invest Clin. 2012; 64 (6): 541-545.

  5. Eldin C, Mélenotte C, Mediannikov O et al. From Q Fever to Coxiella burnetii infection: a paradigm change. Clin Microbiol Rev. 2017; 30 (1): 115-190.

  6. Anderson A, Bijlmer H, Fournier PE et al. Diagnosis and management of Q fever-United States, 2013:recommendations from CDC and the Q fever working group. MMWR Recomm Rep. 2013; 62 (RR-03): 1-30.

  7. Dahlgren FS, McQuiston JH, Massung RF, Anderson AD. Q fever in the United States: summary of case reports from two national surveillance systems, 2000-2012. Am J Trop Med Hyg. 2015; 92 (2): 247-255.



AFILIACIONES

1 Unidad de Terapia Intensiva, Hospital Angeles Mocel. Ciudad de México, México.

2 Universidad Nacional Autónoma de México. Ciudad de México, México.



CORRESPONDENCIA

Ibzan Jahzeel Salvador Ibarra. Correo electrónico: ibzjah@gmail.com




Aceptado: 04-03-2022.

Figura 1
Figura 2
Figura 3

2020     |     www.medigraphic.com

Mi perfil

C?MO CITAR (Vancouver)

Acta Med. 2022;20

ARTíCULOS SIMILARES

CARGANDO ...