medigraphic.com
ENGLISH

Cirujano General

ISSN 2594-1518 (Digital)
ISSN 1405-0099 (Impreso)
  • Mostrar índice
  • Números disponibles
  • Información
    • Información general        
    • Directorio
  • Publicar
    • Instrucciones para autores        
    • Envío de artículos
  • medigraphic.com
    • Inicio
    • Índice de revistas            
    • Registro / Acceso
  • Mi perfil

2021, Número 3

<< Anterior Siguiente >>

Cir Gen 2021; 43 (3)


Abordaje quirúrgico y resolución sin prótesis de fibromatosis desmoide en cintura escapular. Reporte de un caso

Venegas-Medina, Lluvia del Carmen1; Eterovic-Ruíz, Danilo2; Rodríguez-Paz, Carlos Agustín1,2; Díaz de León Medina, Ricardo3
Texto completo Cómo citar este artículo 10.35366/108570

DOI

DOI: 10.35366/108570
URL: https://dx.doi.org/10.35366/108570
Artículos similares

Idioma: Español/Inglés [English version]
Referencias bibliográficas: 12
Paginas: 176-180
Archivo PDF: 342.41 Kb.


PALABRAS CLAVE

fibromatosis desmoide, cirugía, Tikhoff-Linberg.

RESUMEN

Mujer de 46 años que inicia padecimiento con dolor en hombro derecho, al que se agrega la presencia de tumoración de crecimiento progresivo en la región supraclavicular ipsilateral, se realizó biopsia que reporta lipoma intermuscular. Al no tener mejoría, se lleva a acabo tomografía axial computarizada donde se observa tumor subescapular derecho que erosiona espina escapular y reemplaza al músculo subescapular. Se hace resección de cintura escapular derecha tipo 4, Tikhoff-Linberg, sin uso de prótesis de escápula ni de húmero, con reporte histopatológico e inmunohistoquímico de fibromatosis. Paciente actualmente con dolor controlado farmacológicamente y con movimientos limitados. La fibromatosis desmoide tiene una incidencia de dos a cinco casos por millón de habitantes, la resección quirúrgica es el inicio del tratamiento, al emplear la técnica Tikhoff-Linberg con el uso de prótesis, en este caso se realizó una variable quirúrgica sin el uso de prótesis.



INTRODUCCIóN

La fibromatosis desmoide, también conocida como tumor desmoide o fibromatosis agresiva, es una condición rara con una frecuencia de dos a cinco casos por millón de habitantes al año;1-3 se caracteriza por la proliferación de fibroblastos, los cuales, a pesar de no tener características histológicas de malignidad, son agresivos a nivel local y con un comportamiento clínico impredecible;2,3 la Organización Mundial de la Salud (OMS) la describe como una proliferación monoclonal de fibroblastos que afecta tejidos blandos con crecimiento infiltrante y con tendencia a la recurrencia local, pero sin presentar metástasis a distancia.4

Este tipo de tumores se presenta en pacientes de entre 20 y 70 años de edad, y tiene un pico en su frecuencia entre los 30 y 40 años.2,4

Según su localización se dividen en extraabdominal, de la pared abdominal o intraabdominal; de los extraabdominales, 17% se ubican en la cintura escapular.3 El tratamiento de elección es la resección quirúrgica, que es un reto quirúrgico debido a la dificultad para distinguir la cápsula del tumor y por el alto riesgo de lesión al plexo braquial y vasos axilares,1-3 además, por dichos factores se pueden necesitar múltiples procedimientos quirúrgicos y causar severa morbilidad estética y funcional, por lo cual la toma de decisión es compleja en este tipo de casos.5 La complejidad de la cirugía está relacionada con el tamaño tumoral y la localización, por lo que se reporta una tasa de control local de 80% a los cinco años.4 Debido a los factores previamente mencionados que hacen compleja la resección con márgenes negativos, la radioterapia adyuvante es el método de elección para evitar recurrencia.2 El tratamiento principal es la resección quirúrgica, que tiene como prioridad el preservar la función, pero en casos donde la morbilidad es alta se puede considerar la observación mientras el paciente esté asintomático, cuando la vigilancia falla, la cirugía es la siguiente opción.6



REPORTE DE CASO

Mujer de 46 años con oclusión tubárica bilateral realizada 10 años antes; sin otros antecedentes de importancia; niega antecedentes heredofamiliares oncológicos; inicia padecimiento actual en septiembre de 2013 con dolor en hombro derecho, no irradiado, continuo, de intensidad moderada a intensa, sin respuesta a antiinflamatorios no esteroideos, pero responde parcialmente con buprenorfina que suspendió por efectos adversos.

En julio de 2014, la paciente se autodetecta tumor supraclavicular derecho de lento crecimiento, con dolor leve sólo a la palpación. Se realiza resonancia magnética nuclear (RMN) que encuentra lesión infraescapular, cuatro meses después se realiza nueva RMN que muestra pérdida casi completa de la inserción del tendón subescapular compatible con desgarro. Se lleva a cabo exploración quirúrgica del manguito rotador derecho y biopsia de tumor supraclavicular ipsilateral. En febrero de 2015 se reseca tumor sobre trapecio derecho, se accedió por cicatriz previa en hombro derecho. Este primer reporte histopatológico (RHP) indicó lipoma intermuscular, sin otra alteración de los citoplasmas muscular o de tejido graso, ni cambios en los núcleos.

Por dolor postoperatorio se envió a la paciente a radioterapia, posterior a RMN, donde se encuentra lesión subescapular con extensión hacia la fosa supraclavicular, que involucra los músculos subescapulares. No se establece con certeza si es tumor graso o no, ni si tiene o no extensión intratorácica, por lo que se realiza tomografía computarizada que muestra un tumor subescapular derecho heterogéneo con tamaño de 11.6 × 11.5 × 9.4 cm, con aumento en su vascularidad, que comprime y desplaza la yugular interna, no erosiona la parrilla costal, erosiona la espina escapular, sin adenopatías, involucra el músculo subescapular y lo reemplaza en su totalidad (Figuras 1 y 2). Se observa paquete neurovascular axilar y supraclavicular respetado. Se hace biopsia percutánea en mayo de 2015 con RHP de miofibromatosis.

El 8 de julio de 2015 se lleva a cabo la cirugía de resección de cintura escapular derecha tipo 4, Tikhoff-Linberg sin uso de prótesis de escápula ni de húmero. Se administró cefalotina como antibiótico preoperatorio sin otro fármaco adicional, en el abordaje se realizó la incisión levantando un colgajo de piel supraclavicular, con disección de los músculos deltoides y supraescapulares; ya expuesta la zona (Figura 3) se realiza la disección de la masa con resección de la clavícula en sus dos tercios distales, así como eliminación del húmero proximal hasta su cuello quirúrgico. Se hizo anclaje del húmero a la clavícula con sutura de poliéster del número 3, se cerraron por planos las fascias aponeuróticas con vicryl del 2-0 con surgete anclado. No se presentó ni dehiscencia, ni seroma o hematomas en el postoperatorio, así como tampoco infección.

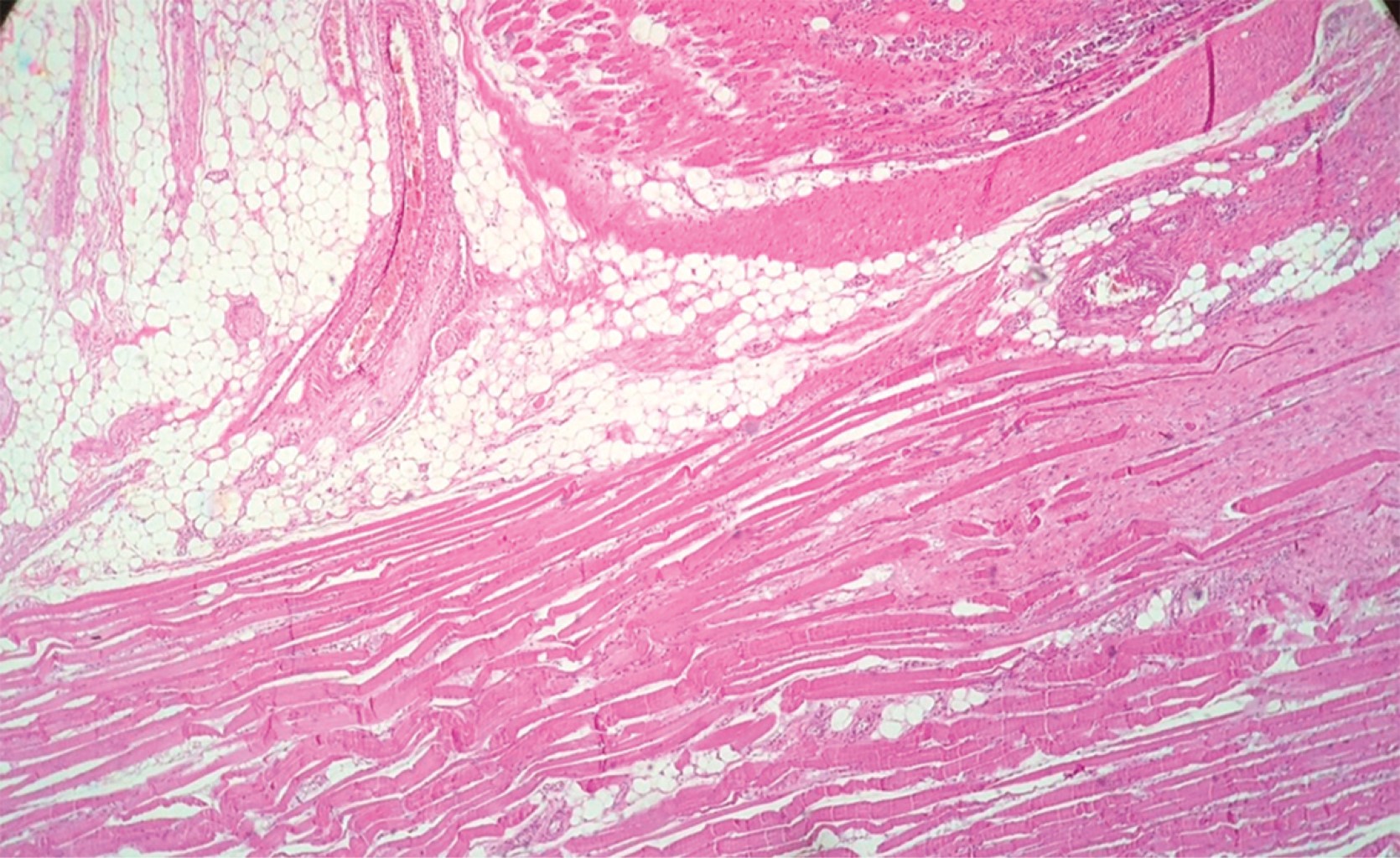
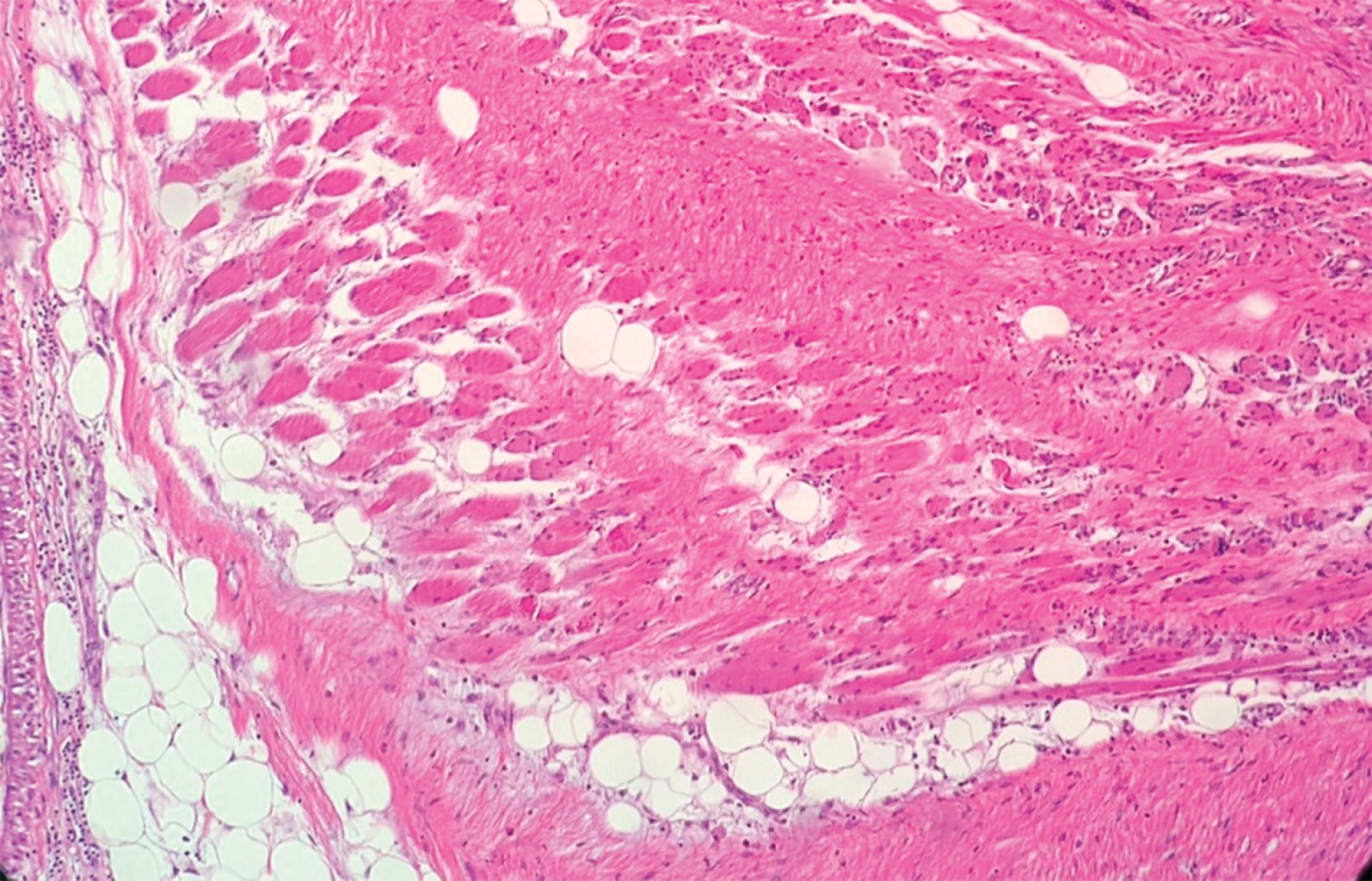
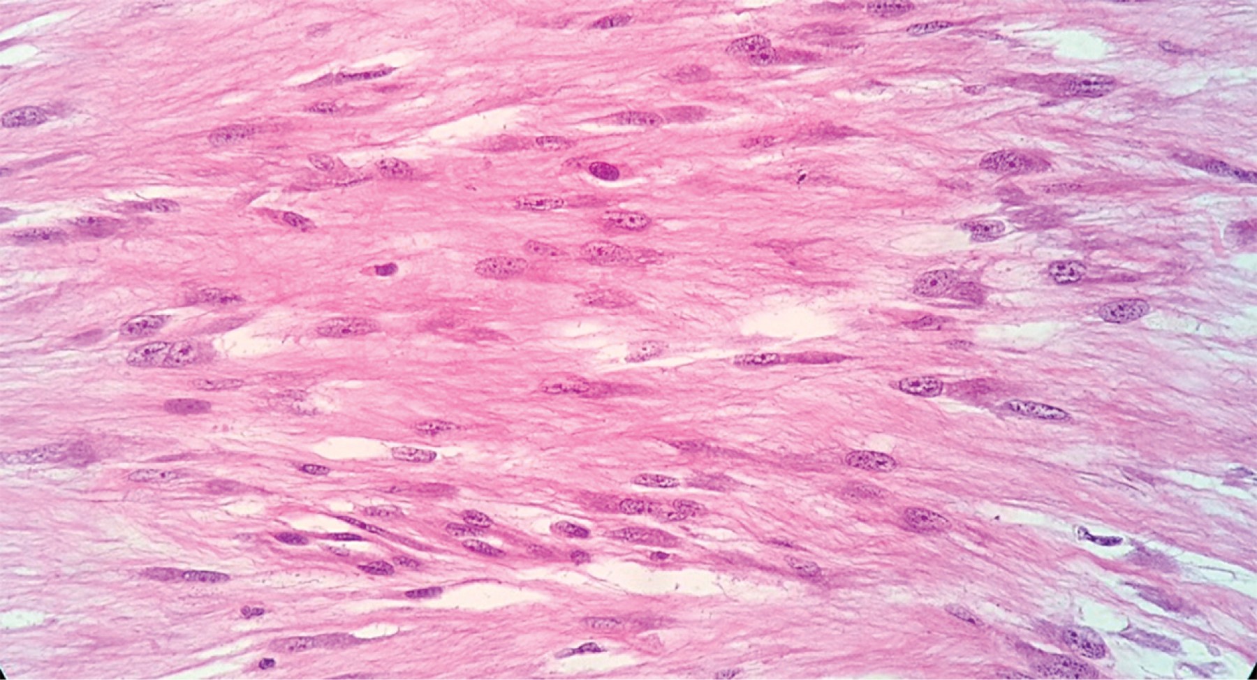
El reporte histopatológico (RHP) indica neoplasia con borde quirúrgico anterior en contacto con la neoplasia y los demás márgenes libres que respeta la vena y arteria subclavias; el reporte definitivo describe histológicamente una proliferación celular no atípica, sin evidencia de mitosis, con elementos proliferantes de tipo fusiforme con colagenización intercelular y que infiltran el tejido adiposo y muscular en la periferia (Figuras 4, 5 y 6).

En la evaluación luego de la tercera semana, posterior a la cirugía, la paciente se encuentra con dolor leve al movimiento pasivo del hombro, con fuerza adecuada en el músculo deltoides, pero sin abducción, flexión ni extensión del hombro por falta de sitios de apoyo en la articulación; se inicia rehabilitación; se envió a radioterapia adyuvante pero no la consideraron candidata, por lo que se le indicó talidomida,6 tratamiento con el que continúa hasta la actualidad.

Una tomografía axial computarizada (TAC), comparativa del 2017, muestra lesión heterogénea en sitio donde estaba la cabeza humeral, con calcificaciones en su interior, que se extiende de forma intramedular y que disminuyó de 3.5 a 2.7 cm. La TAC de septiembre de 2018 no muestra lesión. En el 2019, la paciente refirió dolor estable y bien controlado con paracetamol y gabapentina, tratamiento basado en las actuales guías de la National Comprehensive Cancer Network (NCCN),6 mantiene funciones completas de mano y codo, sin función del hombro, posterior a esto, tras la pandemia se perdió el caso.



DISCUSIóN

En la actualidad 95% de los pacientes con sarcomas de la cintura escapular son tratados con cirugía, lo que preserva la extremidad y la función del codo, la muñeca y la mano.7 La cirugía de Tikhoff-Linberg fue descrita por primera vez en 1928,8 pero sufrió posteriores modificaciones, entre ellas la clasificación de Malawer que se utiliza al día de hoy.9

Dependiendo del paciente, la sintomatología y la morbilidad esperada por la resección, se puede valorar cirugía versus observación. La elección de la cirugía depende del tamaño del tumor, la velocidad de crecimiento y la sintomatología que ocasiona,4 como en el caso presentado, donde el crecimiento evolucionó durante dos años y el dolor fue el síntoma principal, lo que coincide con la literatura.10 La tasa de control local con cirugía va de 68 a 75%, sin incrementar con radioterapia adyuvante e incluso al aumentar las recurrencias con dicho tratamiento.5,10

La incidencia del caso es 2-5:1'000,000, por lo que representa una rareza diagnóstica. En estudios donde se reporta el uso de la técnica de Tikhoff-Linberg tipo 410,11 se utilizan prótesis de escápula y/o húmero (Figura 7), en este caso se realizó una variable quirúrgica sin el uso de prótesis, por lo que se procedió a "anclar" el húmero de la clavícula residual por medio de sutura de poliéster (Figura 3), técnica de la que, a pesar de ser descrita por Linberg,8,11 no existen casos publicados sobre su uso. Se presenta radiografía posterior al procedimiento (Figura 8).

Se tiene como resultado a mediano plazo una mejoría sintomática. Respecto de la estirpe, la variable es aún más rara, su pronóstico a cinco años es de 80% de control local posterior a cirugía con márgenes negativos.4,12 Actualmente la paciente se encuentra estable, y controla el dolor con fármacos.


REFERENCIAS (EN ESTE ARTÍCULO)

  1. van Broekhoven DL, Verhoef C, Elias SG, Witkamp AJ, van Gorp JM, van Geel BA, et al. Local recurrence after surgery for primary extra-abdominal desmoid-type fibromatosis. Br J Surg. 2013; 100: 1214-1219.

  2. Zumárraga J, Monteiro B, Goncalves F, Baptista A, Tomio M, Pires O. Extra-abdominal demoid tumor: Analysis of 23 consecutive cases in a single institution. Acta Ortop Bras. 2018; 26: 244-247.

  3. Tang F, Min L, Yin R, Zhang W, Zhou Y, Luo Y, et al. Large desmoid-type fibromatosis of the shoulder girdle: operative approach selection and clinic outcome. Int Orthop. 2015; 39: 363-369.

  4. Kasper B, Baumgarten C, Garcia J, Bonvalot S, Haas R, Haller F, et al. An update on the management of sporadic desmoid-type fibromatosis: a European Consensus Initiative between Sarcoma PAtients EuroNet (SPAEN) and European Organization for Research and Treatment of Cancer (EORTC)/Soft Tissue and Bone Sarcoma Group (STBSG). Ann Oncol. 2017; 28: 2399-2408.

  5. Seinen JM, Niebling MG, Bastiaannet E, Pras B, Hoekstra HJ. Four different treatment strategies in aggressive fibromatosis: A systematic review. Clin Transl Radiat Oncol [Internet]. 2018; 12: 1-7. Available in: https://doi.org/10.1016/j.ctro.2018.03.001

  6. von Mehren M, Randall RL, Benjamin RS, Boles S, Bui MM, Ganjoo KN, et al. Soft tissue sarcoma, version 2.2018, NCCN Clinical Practice Guidelines in Oncology. J Natl Compr Canc Netw. 2018; 16 (5): 536-563.

  7. Joshi GR, Agarwal DC, Gupta S, Naveen BM. Total shoulder girdle reconstruction after resection of malignant tumor of scapula. Med J Armed Forces India. 2015; 71: S469-S471.

  8. Linberg B. Interscapulo-thoracic resection for malignant tumors of the shoulder joint region. J Bone Jt Surg. 1928; 10: 344-349.

  9. Malawer MM. Tumors of the shoulder girdle: technique of resection and description of a surgical classification. Ortop Clin N Am. 1991; 22:7-35

  10. Hattoma N, Largab A, Kafih M, Rafai M, Maher N, Trafeh M. Desmoid tumors of the shoulder-girdle (report of three cases). Chir Main. 2004; 23: 184-189.

  11. Xie L, Tang XD, Yang RL, Guo W. Interscapulothoracic resection of tumours of shoulder with a note on reconstruction. Bone Joint J. 2014; 96: 684-690.

  12. Vaderrama-Landaeta JL, Padilla-Rosciano A, Cuellar M, Alfeizan-Ruiz A. Cirugía preservadora en tumores escapulares. Estado actual de las escapulectomías. Revista Médica de la Extensión Portuguesa. 2007; 1: 126-132.



AFILIACIONES

1 Departamento de Cirugía, Escuela de Medicina, Universidad Cuauhtémoc plantel San Luis Potosí. México.

2 Coordinación de Cirugía, Hospital General de Zona No. 50, Instituto Mexicano del Seguro Social. San Luis Potosí, México.

3 Patólogo del Hospital General de Zona No. 50, Instituto Mexicano del Seguro Social. San Luis Potosí, México.



Consideraciones y responsabilidad ética: Los autores declaran que siguieron los protocolos de su centro de trabajo sobre la publicación de datos de pacientes, y resguardaron su derecho a la privacidad mediante la confidencialidad de sus datos.

Financiamiento: No se recibió apoyo financiero para la realización de este trabajo.

Conflicto de intereses: Los autores declaran que no existe ningún conflicto de intereses en la realización del trabajo.



CORRESPONDENCIA

Lluvia del Carmen Venegas-Medina. E-mail: lluvia.venegas.m@gmail.com




Recibido: 09/05/2020. Aceptado: 14/09/2021

Figura 1
Figura 2
Figura 3
Figura 4
Figura 5
Figura 6
Figura 7
Figura 8

2020     |     www.medigraphic.com

Mi perfil

C?MO CITAR (Vancouver)

Cir Gen. 2021;43

ARTíCULOS SIMILARES

CARGANDO ...