medigraphic.com
SPANISH

Cirujano General

ISSN 2594-1518 (Electronic)
ISSN 1405-0099 (Print)
  • Contents
  • View Archive
  • Information
    • General Information        
    • Directory
  • Publish
    • Instructions for authors        
    • Send manuscript
  • medigraphic.com
    • Home
    • Journals index            
    • Register / Login
  • Mi perfil

2021, Number 3

<< Back Next >>

Cir Gen 2021; 43 (3)

Surgical approach and resolution without prosthesis of desmoid fibromatosis in the shoulder girdle, report case

Venegas-Medina, Lluvia del Carmen1; Eterovic-Ruíz, Danilo2; Rodríguez-Paz, Carlos Agustín1,2; Díaz de León Medina, Ricardo3
Full text How to cite this article 10.35366/108570

DOI

DOI: 10.35366/108570
URL: https://dx.doi.org/10.35366/108570

Language: English/Spanish [Versi?n en espa?ol]
References: 12
Page: 176-180
PDF size: 346.55 Kb.


Key words:

desmoid fibromatosis, surgery, Tikhoff-Linberg.

ABSTRACT

46-year-old female patient who started with pain in the right shoulder and subsequent diagnosis of slow-growing supraclavicular tumor, with biopsy with histopathological report of intermuscular lipoma. A computerized axial tomography was performed, showing a right subscapular tumor that erodes the scapular spine and replaced the subscapularis muscle. Resection of right scapular waist type 4, Tikhoff-Linberg without use of scapula or humerus prosthesis, with histopathological report and immunohistochemical of fibromatosis. Patient currently pharmacologically controlled pain and limited movements. Desmoid fibromatosis has an incidence of two to five cases per million of habitants, surgical resection is the management of choice using the Tikhoff-Linberg technique with the use of prostheses, in this case performing a surgical variable without the use of prostheses.



INTRODUCTION

Desmoid fibromatosis, also known as a desmoid tumor or aggressive fibromatosis, is a rare condition with a frequency of two to five cases per million inhabitants per year;1-3 it is characterized by the proliferation of fibroblasts, which, despite not having histological characteristics of malignancy, are locally aggressive and with an unpredictable clinical behavior.2,3 The World Health Organization (WHO) describes it as a monoclonal proliferation of fibroblasts affecting soft tissues with infiltrative growth and a tendency to local recurrence, but without distant metastasis.4

This type of tumor occurs in patients between 20 and 70 years of age, with a peak in frequency between 30 and 40 years of age.2,4

According to their location, they are divided into the extra-abdominal, the abdominal wall, and the intra-abdominal. Of the extra-abdominal tumors, 17% are in the shoulder girdle.3 The treatment of choice is surgical resection, which is a surgical challenge due to the difficulty to distinguish the capsule from the tumor and the high risk of injury to the brachial plexus and axillary vessels.1-3 In addition, these factors may require multiple surgical procedures and cause severe aesthetic and functional morbidity, so the decision-making is complex in this type of case.5 The complexity of the surgery is related to the tumor size and location, for which a local control rate of 80% at five years is reported.4 Due to all these factors that make resection with negative margins complex, adjuvant radiotherapy is the method of choice to avoid recurrences.2 The main treatment is surgical resection, whose priority is to preserve function, but in cases where morbidity is high, observation can be considered while the patient is asymptomatic; when surveillance fails, surgery is the next option.6



CASE REPORT

This is a 46-year-old woman with a history of bilateral tubal occlusion performed 10 years earlier. She denies any familiar oncologic history. Her current condition began some seven years before with right shoulder pain, non-radiating, continuous, and moderate to severe in intensity, with no response to non-steroidal anti-inflammatory drugs, but with partial response to buprenorphine, which was discontinued due to adverse effects.

About 10 months later the patient self-detected a slow-growing right supraclavicular mass, with mild pain elicited only on palpation. Magnetic resonance imaging (MRI) was performed that showed an infrascapular lesion. Four months later a new MRI was performed showing almost complete loss of the subscapularis tendon insertion compatible with a tear. Surgical exploration of the right rotator cuff with a biopsy of the ipsilateral supraclavicular tumor was performed. In February 2015 the tumor was resected through the right trapezius muscle, which was approached through a previous scar on the right shoulder. This first histopathological report (HPR) indicated an intermuscular lipoma, with no other alteration of the muscle or fatty tissue cytoplasm, nor changes in the nuclei.

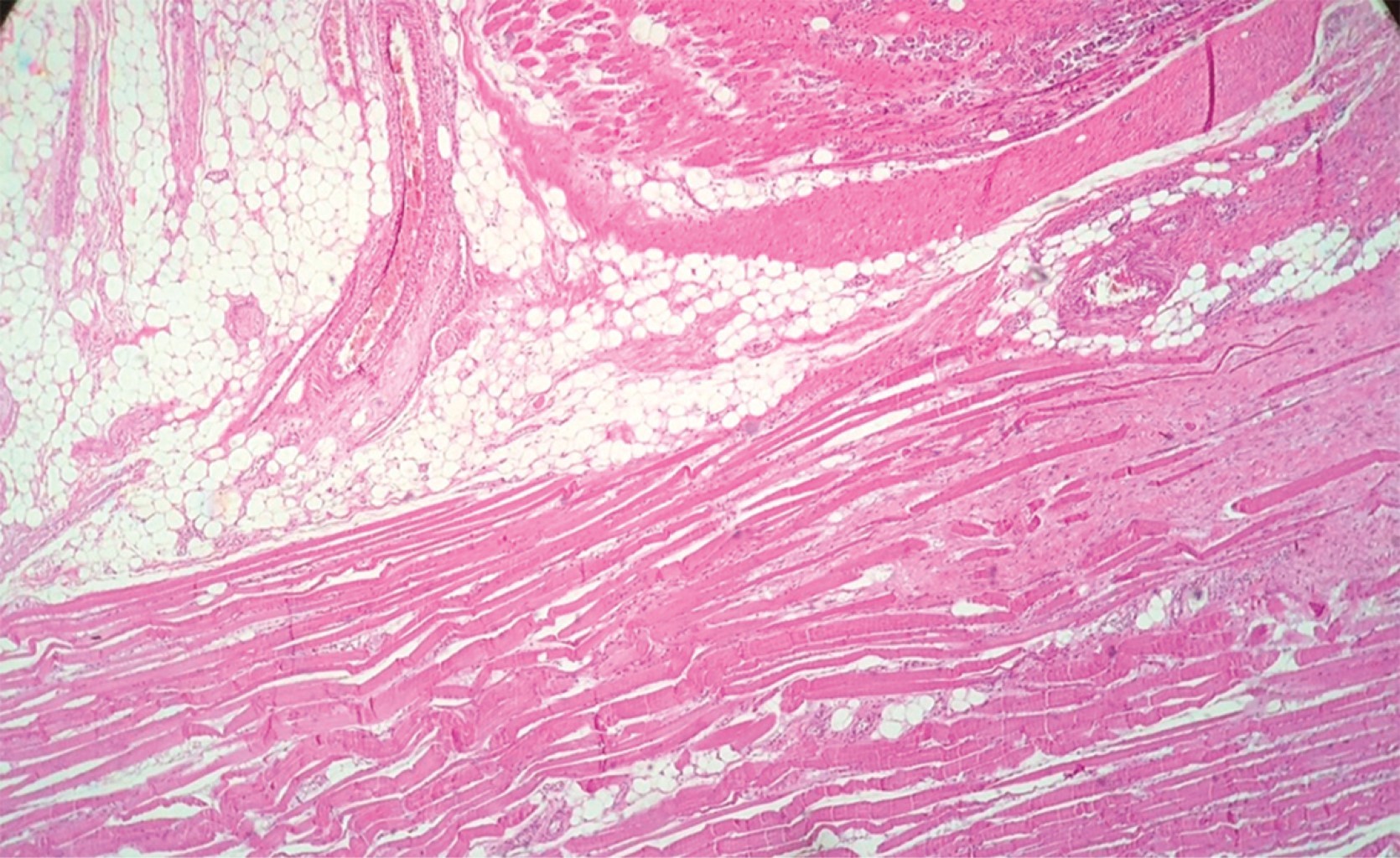
Due to postoperative pain, the patient was sent to radiotherapy, after an MRI that showed a subscapular lesion with extension towards the supraclavicular fossa, involving the subscapularis muscles. It could not be established with certainty if it was a fatty tumor, nor if it had an intrathoracic extension; therefore, a CT scan was performed showing a heterogeneous right subscapular tumor measuring 11.6 × 11.5 × 9.4 cm, with increased vascularity, that was compressing and displacing the internal jugular vein. It was not eroding the ribs, but it was eroding the scapular spine. No adenopathy was seen. The tumor was shown to involve the subscapularis muscle and replacing it in its entirety (Figures 1 and 2). The axillary and supraclavicular neurovascular bundles were identified. In May 2055 a percutaneous biopsy was performed with a histology report of myofibromatosis.

On July 2015, a Tikhoff-Linberg type 4 right shoulder girdle resection surgery was performed without the use of a scapula or humerus prosthesis. Cephalothin was administered as a preoperative antibiotic without any additional drug. The surgical approach was through an incision and lifting of a supraclavicular skin flap, with dissection of the deltoid and suprascapular muscles. Once the area was exposed (Figure 3) the dissection of the mass was performed with resection of the clavicle two distal thirds, as well as the elimination of the proximal humerus up to its surgical neck. The humerus was anchored to the clavicle with a polyester suture #3. The aponeurotic fasciae were closed in planes with a 2-0 vicryl anchored continuous suture. In the postoperative period, there was no dehiscence, seroma, or hematoma formation, nor infection.

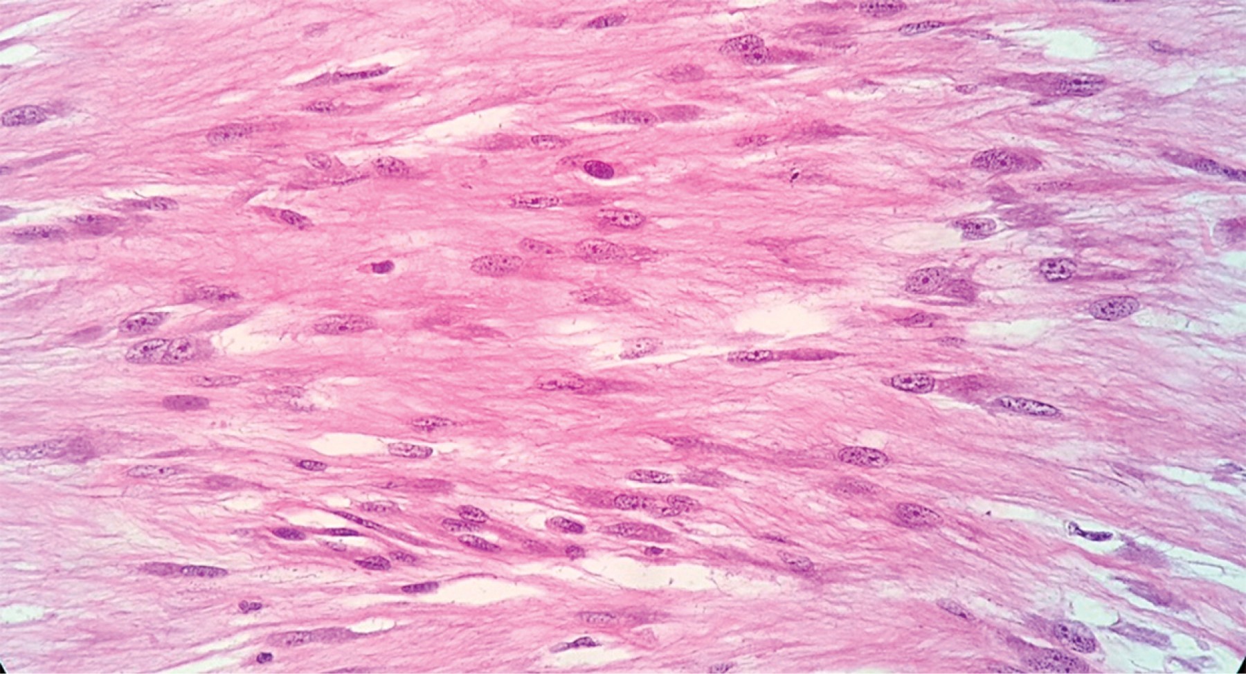
The histology report described a neoplasia with the anterior surgical edge in contact with the tumor. The rest of the margins were tumor-free and respected the subclavian vein and artery. The definitive histology report histologically described a non-atypical cellular proliferation, without evidence of mitosis, with spindle-shaped proliferating elements with intercellular collagenization and infiltrating adipose and muscular tissue in the periphery (Figures 4, 5 and 6).

After the third week following surgery, the patient was found to have mild pain on passive movement of the shoulder, with adequate strength in the deltoid muscle, but without abduction, flexion, or extension of the shoulder due to lack of support sites in the joint. A rehabilitation program was started. She was sent for adjuvant radiotherapy but was not considered a candidate. Instead, she was prescribed thalidomide which she had continued until her last evaluation.6

A comparative computed tomography (CT) scan taken in 2017 showed a heterogeneous lesion at the site where the humeral head was, with calcifications inside, extending intramedullary, which had decreased in size from 3.5 to 2.7 cm. Another CT scan taken in September 2018 showed no lesion. In 2019, the patient mentioned she was stable, and her pain was well controlled with paracetamol and gabapentin, which is the treatment suggested in the current National Comprehensive Cancer Network (NCCN) guidelines.6 She kept full hand and elbow functions, and no shoulder functions. Due to the COVID-19 pandemic, the patient was lost to follow-up.



DISCUSSION

Currently, 95% of patients with sarcomas of the shoulder girdle are treated with surgery, which preserves the limb and function of the elbow, wrist, and hand.7 The Tikhoff-Linberg surgery was first described in 19288 but underwent subsequent modifications, including the Malawer classification that is used today.9

Depending on the patient, and the symptomatology and morbidity expected from resection, the surgical approach versus observation may be considered. The choice of surgery depends on the size of the tumor, the speed of growth, and the symptomatology it causes.4 As it was shown in the case presented, the growth evolved for two years and the pain was the main symptom, which coincides with the reported literature.10 The local control rate with surgery ranges from 68 to 75%. These rates do not improve with adjuvant radiotherapy and even recurrences increase with this type of treatment.5,10

The approximate incidence of this case is 2-5:1'000,000, so it is a very rare entity. In studies where the use of the Tikhoff-Linberg type 4 technique is reported,10,11 scapula and/or humerus prosthesis are used (Figure 7). In this case, an alternative surgical procedure was performed without the use of a prosthesis. This way, the humerus of the residual clavicle was "anchored" using polyester suture (Figure 3), a technique which, despite being described by Linberg,8,11 has not been used in any of the published cases of its use. We show the image of post-procedure radiography (Figure 8).

An expected medium-term outcome is a symptomatic improvement. Regarding the lineage, the variable found in this case is even rarer. At five years it has a prognosis of 80% of local control after surgery if the surgical margins are negative margins.4,12 CAs far as we know, the patient is stable, and pain is controlled with drugs.


REFERENCES

  1. van Broekhoven DL, Verhoef C, Elias SG, Witkamp AJ, van Gorp JM, van Geel BA, et al. Local recurrence after surgery for primary extra-abdominal desmoid-type fibromatosis. Br J Surg. 2013; 100: 1214-1219.

  2. Zumárraga J, Monteiro B, Goncalves F, Baptista A, Tomio M, Pires O. Extra-abdominal demoid tumor: Analysis of 23 consecutive cases in a single institution. Acta Ortop Bras. 2018; 26: 244-247.

  3. Tang F, Min L, Yin R, Zhang W, Zhou Y, Luo Y, et al. Large desmoid-type fibromatosis of the shoulder girdle: operative approach selection and clinic outcome. Int Orthop. 2015; 39: 363-369.

  4. Kasper B, Baumgarten C, Garcia J, Bonvalot S, Haas R, Haller F, et al. An update on the management of sporadic desmoid-type fibromatosis: a European Consensus Initiative between Sarcoma PAtients EuroNet (SPAEN) and European Organization for Research and Treatment of Cancer (EORTC)/Soft Tissue and Bone Sarcoma Group (STBSG). Ann Oncol. 2017; 28: 2399-2408.

  5. Seinen JM, Niebling MG, Bastiaannet E, Pras B, Hoekstra HJ. Four different treatment strategies in aggressive fibromatosis: A systematic review. Clin Transl Radiat Oncol [Internet]. 2018; 12: 1-7. Available in: https://doi.org/10.1016/j.ctro.2018.03.001

  6. von Mehren M, Randall RL, Benjamin RS, Boles S, Bui MM, Ganjoo KN, et al. Soft tissue sarcoma, version 2.2018, NCCN Clinical Practice Guidelines in Oncology. J Natl Compr Canc Netw. 2018; 16 (5): 536-563.

  7. Joshi GR, Agarwal DC, Gupta S, Naveen BM. Total shoulder girdle reconstruction after resection of malignant tumor of scapula. Med J Armed Forces India. 2015; 71: S469-S471.

  8. Linberg B. Interscapulo-thoracic resection for malignant tumors of the shoulder joint region. J Bone Jt Surg. 1928; 10: 344-349.

  9. Malawer MM. Tumors of the shoulder girdle: technique of resection and description of a surgical classification. Ortop Clin N Am. 1991; 22:7-35

  10. Hattoma N, Largab A, Kafih M, Rafai M, Maher N, Trafeh M. Desmoid tumors of the shoulder-girdle (report of three cases). Chir Main. 2004; 23: 184-189.

  11. Xie L, Tang XD, Yang RL, Guo W. Interscapulothoracic resection of tumours of shoulder with a note on reconstruction. Bone Joint J. 2014; 96: 684-690.

  12. Vaderrama-Landaeta JL, Padilla-Rosciano A, Cuellar M, Alfeizan-Ruiz A. Cirugía preservadora en tumores escapulares. Estado actual de las escapulectomías. Revista Médica de la Extensión Portuguesa. 2007; 1: 126-132.



AFFILIATIONS

1 Department of Surgery, School of Medicine, Universidad Cuauhtémoc campus San Luis Potosí. Mexico.

2 Coordination of Surgery, Hospital General de Zona No. 50, Instituto Mexicano del Seguro Social. San Luis Potosí, Mexico.

3 Pathologist, Hospital General de Zona No. 50, Instituto Mexicano del Seguro Social. San Luis Potosí, Mexico.



Ethical considerations and responsibility: the authors declare that they followed their center\'s protocols on the publication of patient data and safeguarded their right to privacy by keeping their data confidential.

Funding: no financial support was received for this work.

Disclosure: the authors declare that there is no conflict of interest in carrying out this work.



CORRESPONDENCE

Lluvia del Carmen Venegas-Medina. E-mail: lluvia.venegas.m@gmail.com




Received: 05/09/2020. Accepted: 09/14/2021

Figure 1
Figure 2
Figure 3
Figure 4
Figure 5
Figure 6
Figure 7
Figure 8

2020     |     www.medigraphic.com

Mi perfil

C?MO CITAR (Vancouver)

Cir Gen. 2021;43