medigraphic.com
ENGLISH

Cirujano General

ISSN 2594-1518 (Digital)
ISSN 1405-0099 (Impreso)
  • Mostrar índice
  • Números disponibles
  • Información
    • Información general        
    • Directorio
  • Publicar
    • Instrucciones para autores        
    • Envío de artículos
  • medigraphic.com
    • Inicio
    • Índice de revistas            
    • Registro / Acceso
  • Mi perfil

2021, Número 3

<< Anterior Siguiente >>

Cir Gen 2021; 43 (3)


Diarrea paradójica como presentación de invaginación de colon transverso por lipoma colónico

Ortiz-Ruvalcaba, Oscar I1,2,3; Díaz-Rosales, Juan de Dios1,2,3; Mena-Arias, Gilberto1,2; Cárdenas-James, Carlos R4; Arenas-Valles, Jorge1,5
Texto completo Cómo citar este artículo 10.35366/108571

DOI

DOI: 10.35366/108571
URL: https://dx.doi.org/10.35366/108571
Artículos similares

Idioma: Español/Inglés [English version]
Referencias bibliográficas: 15
Paginas: 181-185
Archivo PDF: 317.03 Kb.


PALABRAS CLAVE

lipoma, colon, intususcepción, diarrea, adulto.

RESUMEN

Se presenta un paciente femenino de 53 años con dolor abdominal y diarrea, ocasionada por un tumor de colon transverso. En la evaluación tomográfica y endoscópica correspondía a un tumor de bordes definidos y superficie ulcerada. La paciente desarrolló un cuadro clínico de invaginación colónica secundaria al tumor de colon y diarrea paradójica, por lo que la paciente fue sometida a resección laparoscópica del segmento afectado. El análisis histopatológico describe un lipoma submucoso. El binomio del lipoma y la invaginación colónicos es una constante clínica; sin embargo, su escasa frecuencia hace del diagnóstico una tarea difícil.



INTRODUCCIóN

El lipoma gastrointestinal es un tumor benigno, esporádico y usualmente asintomático que se puede localizar en cualquier segmento del tubo digestivo. La mayoría de las veces este tipo de tumores son detectados de manera incidental mediante una tomografía computarizada (TC) o una colonoscopia bajo cualquier otra indicación.1 Si se presentan síntomas, el dolor abdominal, hemorragia y cambios de hábitos intestinales son los más comunes.

La invaginación intestinal en adultos es una entidad rara, al contrario de lo que ocurre en niños, se relaciona con la presencia de algún tumor adyacente2-4 y es una causa poco común de obstrucción intestinal (1 a 5% de los casos).5

Tanto el lipoma colónico como la invaginación colónica son entidades que se pueden presentar en el adulto y es de importancia clínica tenerlas en mente como un binomio. En este reporte clínico se presenta el caso de una paciente con un lipoma colónico invaginado que condicionó una oclusión intestinal parcial y diarrea paradójica.



PRESENTACIóN DEL CASO CLíNICO

Femenino de 53 años, sin antecedentes de importancia, acude al Servicio de Urgencias con dolor abdominal de dos semanas de evolución; describe dolor de intensidad moderada a fuerte (5-6/10 en la escala visual del dolor [EVA]) de predominio en marco cólico, así como estreñimiento crónico (1-2 evacuaciones por semana durante el último año). A su ingreso presentó: frecuencia cardiaca de 78 por minuto, frecuencia respiratoria de 14 por minuto, tensión arterial de 150/98 mmHg, temperatura de 36.7 oC y saturó 97% sin oxígeno suplementario.

A la exploración física se encontró abdomen globoso secundario a panículo adiposo, sin plastrones abdominales, que delimita el dolor en marco cólico con predominio en epigastrio y mesogastrio, sin datos de irritación peritoneal. El tacto rectal sin alteraciones.

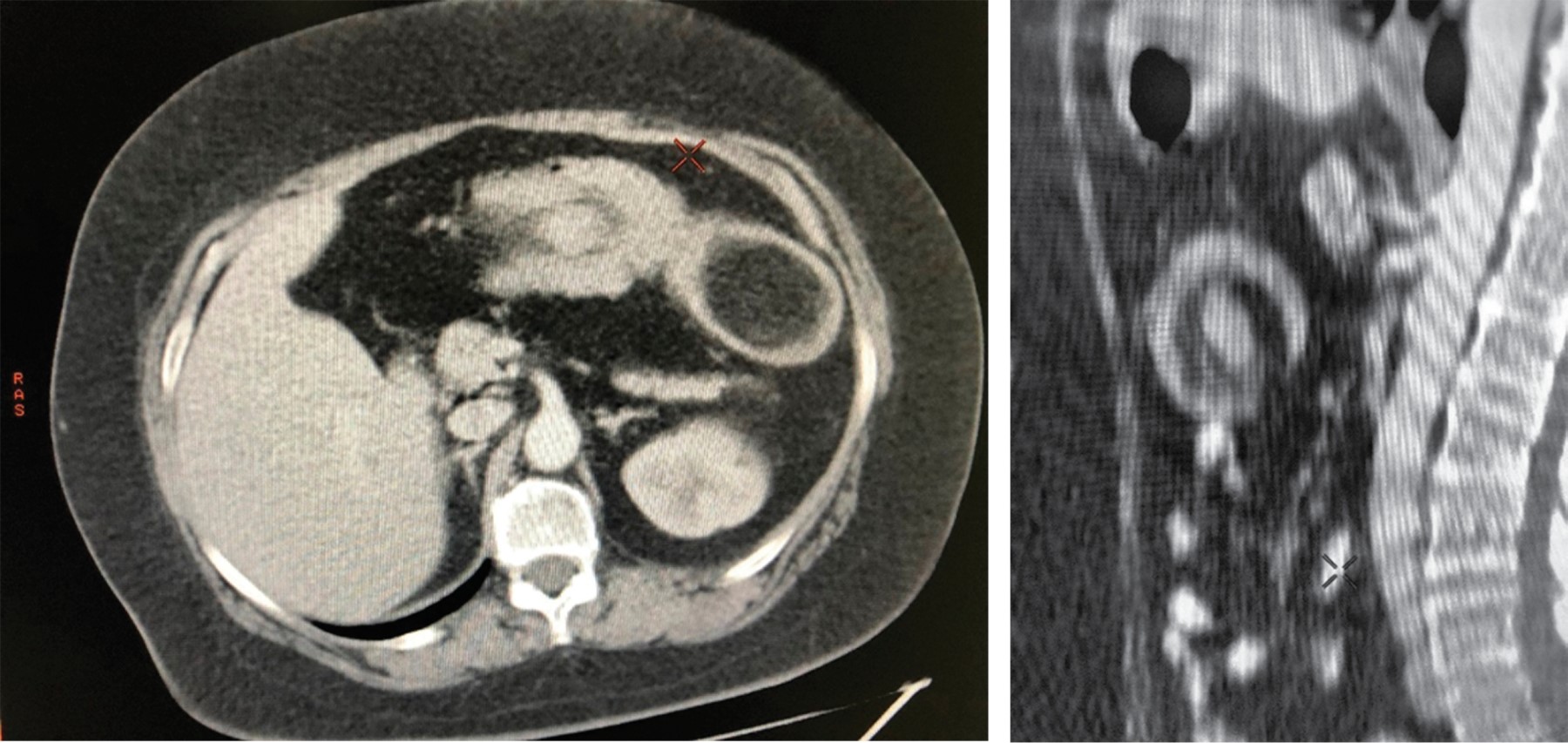
La tomografía contrastada (TC) de abdomen mostró a nivel de colon transverso una tumoración bien delimitada, de 4.6 × 7.7 × 6.5 cm, con densidad de 115 unidades Hounsfield (escala cuantitativa utilizada en los estudios de TC para describir los diferentes niveles de radiodensidad de los tejidos), que se invaginaba en el lumen del mismo colon transverso y con discreto proceso inflamatorio de la grasa perilesional (Figura 1).

Se realizó colonoscopia donde se observó un tumor polipoide, esférico y de base amplia, ulcerada en su porción visible, que ocluía 80% del lumen intestinal en el segmento de colon transverso (Figura 2), el resto del estudio sin alteraciones. Las biopsias de la lesión se reportaron como tejido inflamatorio y material mucoso.

La paciente recibió manejo con analgésicos, antiespasmódicos e inhibidores de bomba de protones durante 48 horas, se propuso resección del segmento afectado en primera hospitalización; sin embargo, la paciente no lo aceptó y fue egresada por mejoría. Dos semanas después de la primera hospitalización presenta evacuaciones líquidas de tres días de evolución y dolor abdominal tipo cólico muy intenso (7-8/10 EVA); posteriormente, se agrega hematoquecia, por lo que fue hospitalizada para reposición hidroelectrolítica y manejo quirúrgico, el cual acepta en esta ocasión.

Durante la cirugía se encontró tumoración en colon transverso con invaginación colo-colónica, que fue resecada en su totalidad. Se realizó anastomosis laterolateral del colon transverso remanente con sutura mecánica lineal 2.5 × 45 mm y se cerró el defecto intestinal con polipropileno 3-0 de forma continua.

En el estudio histopatológico macroscópicamente se observa tumor de aspecto ulcerado, con base amplia y bien delimitado de 8.2 × 7.3 × 5.2 cm (Figura 3); microscópicamente se identifica tumoración conformada por adipocitos maduros de disposición submucosa sin atipias (Figura 4).

En el postoperatorio la paciente se encuentra con adecuada evolución, fue egresada por mejoría en el quinto día postquirúrgico con dieta blanda y drenaje cerrado, el cual se retiró en consulta externa el día siete. Seguimiento a 12 meses sin complicaciones.



DISCUSIóN

Aunque la mayoría de los lipomas colónicos son asintomáticos, cuando el tamaño es mayor a 2 cm pueden presentar síntomas o complicaciones, como la invaginación colónica y obstrucción intestinal.6 Debido a que la invaginación colónica causa síntomas inespecíficos, hacer el diagnóstico sin estudios de imagen o endoscopia es muy complicado. La triada clásica de dolor abdominal tipo cólico, heces en jalea de grosella y tumoración palpable en el abdomen, sólo se presenta en 10% de los pacientes adultos con lipoma colónico.7 En esta paciente se presentó el dolor abdominal y la hematoquecia, mientras que la tumoración palpable no fue evidente, probablemente, debido al abundante panículo adiposo en la paciente.

La invaginación colónica sucede cuando el lipoma actúa como un estimulante de la peristalsis colónica, por lo que el movimiento constante invagina el colon del segmento afectado.8 Como en el presente caso, dicha invaginación puede ocasionar una oclusión parcial y producir diarrea paradójica para vencer el obstáculo y evacuar el material fecal. Este fenómeno se presenta de manera más común en los pacientes ancianos con estreñimiento, impactación fecal y cáncer de colon (adenocarcinoma o linfoma).9

La tomografía de abdomen (con contraste oral e intravenoso [IV]) es el método más sensible (71 al 87%) y específico (cerca del 100%), porque se observa la masa con densidad de grasa (80-120 unidades Hounsfield) y el signo clásico de tiro al blanco o masa en forma de salchicha.10,11 El ultrasonido también nos puede ofrecer datos que orienten el diagnóstico, sin embargo, al ser operador dependiente su sensibilidad y especificidad varía.12

La colonoscopia puede ser tanto diagnóstica como terapéutica, ya que indica el sitio de la lesión y en casos específicos podrá realizarse una resección con asa (fría o caliente, según las preferencias del cirujano) en lesiones menores a 2 cm o pediculadas.13 En el caso presentado la resección no fue posible debido al tamaño del lipoma y a la base amplia, condiciones que aumentan el riesgo de perforación. Aunque la biopsia endoscópica puede no tener gran utilidad debido a la poca información que nos ofrece, la formación de ulceraciones siempre debe hacernos sospechar de patología maligna,14,15 por lo que la pieza endoscópica o quirúrgica siempre será enviada a patología para descartar este último diagnóstico.

La resección quirúrgica en bloque es el tratamiento de elección cuando son pólipos mayores a 2 cm, de base amplia y/o complicados (sangrado, oclusión y/o invaginación).14,15 En este caso, la resección quirúrgica fue rechazada inicialmente por la paciente, lo que la llevó a la evolución de su cuadro clínico a complicaciones con mayor dolor, diarrea y sangrado.

La invaginación intestinal es rara en el paciente adulto, siempre se deberá descartar un tumor como causa de esta patología. Los tumores de colon siempre serán una preocupación para el cirujano, ya que deberá descartar neoplasia maligna en todos los casos, sobre todo en las lesiones ulceradas. Aunque la diarrea es un dato clínico incierto, debemos tener en cuenta que puede ser resultado de una paradoja por una oclusión incompleta del lumen colónico.


REFERENCIAS (EN ESTE ARTÍCULO)

  1. Barron SL, Gonzalez RS. Clinicopathologic analysis and subclassification of benign lipomatous lesions of the colon. Virchows Arch. 2019; 474: 309-313.

  2. Tsai KJ, Tai YS, Hung CM, Su YC. Cecal lipoma with subclinical appendicitis: A case report. World J Clin Cases. 2019; 7: 209-214.

  3. Díaz-Rosales JD, Enríquez-Domínguez L, Castillo-Moreno JR, Gutiérrez-Ramírez PG. Adult intussusception by tumor in ileum: a diagnostic dilemma. Int J Students Res. 2012; 2: 18-20.

  4. Franco-Herrera R, Burneo-Esteves M, Martín-Gil J, Fabregues-Olea A, Pérez-Díaz D, Turégano-Fuentes F. Invaginación intestinal en el adulto. Una causa infrecuente de obstrucción mecánica. Rev Gastroenterol Mex. 2012; 77: 153-156.

  5. Ozen O, Guler Y, Yuksel Y. Giant colonic lipoma causing intussusception: CT scan and clinical findings. Pan Afr Med J. 2019; 32: 27.

  6. Cordeiro J, Cordeiro L, Possa P, Candido P, Oliveira A. Intestinal intussusception related to colonic pedunculated lipoma: A case report and review of the literature. Int J Surg Case Rep. 2019; 55: 206-209.

  7. Low HM, Chinchure D. Clinics in diagnostic imaging (172). Colocolic intussusception with a lipoma as the lead point. Singapore Med J. 2016; 57: 664-668.

  8. Siu S, Oliphant R, Benstock S, Keshava A, Rickard MJFX. Colonic lipoma causing intussusception: a case for colonoscopic surveillance? ANZ J Surg. 2017; 89: 428-430.

  9. M'rabet S, Jarrar MS, Akkari I, Abdelkader AB, Sriha B, Hamila F, et al. Colonic intussusception caused by a sigmoidal lipoma: A case report. Int J Surg Case Rep. 2018; 50: 1-4.

  10. Shiordia Puente FJ, Pradel Mora JJ. Lipoma colónico e intususcepción intestinal: Reporte de un caso y revisión de la literatura. Cir Gen. 2014; 36: 107-111.

  11. Thompson WM. Imaging and findings of lipomas of the gastrointestinal tract. Am J Roentgenol. 2005; 184: 1163-1171.

  12. Karaosmanoglu D, Temizoz O, Karcaaltincaba M, Akata D. Sonographic findings of colonic lipoma causing intussusception. J Ultrasound Med. 2007; 26: 1621-1623.

  13. Gravito-Soares E, Gravito-Soares M, Fraga J, Figueiredo P. Large pedunculated lipoma of the colon: endoscopic resection using "Loop-and-Let-Go" technique. GE Port J Gastroenterol. 2018; 25: 268-270.

  14. Dassanayake SUB, Dinamithra NP, Nawarathne NMM. Submucosal lipoma of the sigmoid colon as a rare cause of mucoid diarrhea: a case report. J Med Case Rep. 2016; 10: 17.

  15. Avilés-Salas A, Cuéllar-Mendoza ME. Submucosal lipoma of the colon with intussusception. Acta Gastroenterol Latinoam. 2012; 42: 216-219.



AFILIACIONES

1 Hospital General de Zona No. 35, Instituto Mexicano del Seguro Social. México.

2 Unidad de Endoscopia Gastrointestinal.

3 Servicio de Cirugía General y Digestiva.

4 Servicio de Imagenología, Hospital General de Zona No. 6, Instituto Mexicano del Seguro Social. México.

5 Servicio de Patología.



Consideraciones y responsabilidad ética: los autores declaran que siguieron los protocolos de su centro de trabajo sobre la publicación de datos de pacientes, resguardando su derecho a la privacidad mediante la confidencialidad de sus datos.

Financiamiento: no se recibió apoyo financiero para la realización de este trabajo.

Conflicto de intereses: los autores declaran no tener conflicto de intereses.



CORRESPONDENCIA

Oscar I Ortiz-Ruvalcaba. E-mail: droscarortiz@gmail.com




Recibido: 28/05/2020. Aceptado: 13/09/2021

Figura 1
Figura 2
Figura 3
Figura 4

2020     |     www.medigraphic.com

Mi perfil

C?MO CITAR (Vancouver)

Cir Gen. 2021;43

ARTíCULOS SIMILARES

CARGANDO ...