medigraphic.com
ENGLISH

Cirujano General

ISSN 2594-1518 (Digital)
ISSN 1405-0099 (Impreso)
  • Mostrar índice
  • Números disponibles
  • Información
    • Información general        
    • Directorio
  • Publicar
    • Instrucciones para autores        
    • Envío de artículos
  • medigraphic.com
    • Inicio
    • Índice de revistas            
    • Registro / Acceso
  • Mi perfil

2021, Número 3

<< Anterior Siguiente >>

Cir Gen 2021; 43 (3)


Fístula colecistocutánea espontánea o empiema necessitatis, presentación inusual de la colecistitis

Perfecto-Valero, Arkaitz1,2; Serrano-Hermosilla, Clara1; Aranda-Escaño, Elena1; Tellaeche-de la Iglesia, Miriam1; Prieto-Calvo, Mikel1,2; Sarriugarte-Lasarte, Aingeru1,3; Mifsut-Porcel, Patricia1,3; Valdivieso-López, Andrés1,2; Gastaca-Mateo, Mikel1,2
Texto completo Cómo citar este artículo 10.35366/108572

DOI

DOI: 10.35366/108572
URL: https://dx.doi.org/10.35366/108572
Artículos similares

Idioma: Español/Inglés [English version]
Referencias bibliográficas: 15
Paginas: 186-192
Archivo PDF: 320.68 Kb.


PALABRAS CLAVE

fístula colecistocutánea, fístula colecistocutánea espontánea, absceso abdominal, colecistitis perforada, empiema necessitatis.

RESUMEN

Introducción: la fístula colecistocutánea constituye una forma de presentación excepcional de la colecistitis. Afecta principalmente a pacientes ancianos e institucionalizados, y ocasiona una elevada morbimortalidad. Suele manifestarse con un absceso en el hipocondrio derecho que debe ser correctamente tratado mediante antibioterapia y drenaje percutáneo. Objetivo: el propósito de este estudio monográfico es exponer las generalidades de esta infrecuente entidad. Casos clínicos: presentamos una serie de cinco casos de fístula colecistocutánea espontánea. Resultados: cuatro de ellos presentaron buena evolución clínica inmediata. Conclusiones: el tratamiento definitivo depende de la evolución y las características del paciente, y puede variar desde el mantenimiento permanente del drenaje hasta una intervención diferida para practicar la colecistectomía con extirpación de los trayectos fistulosos y reparación de la pared abdominal.



INTRODUCCIóN

La fístula colecistocutánea (FCC) espontánea se define como una comunicación entre la vesícula biliar y la piel, no precedida de cirugía ni traumatismo.1 Suele presentarse con un absceso en el hipocondrio derecho (HCD), que puede ser indoloro o asociarse a los síntomas típicos del cólico biliar.2 Clásicamente era más frecuente en mujeres a partir de la quinta década, pero en la actualidad afecta mayoritariamente a pacientes ancianos, neuropsiquiátricos, pluripatológicos o institucionalizados.

La sospecha diagnóstica debe confirmarse mediante pruebas de imagen, idealmente tomografía computarizada (TC) o ecografía. El tratamiento inicial incluye resucitación hidroelectrolítica, antibioterapia (AB), analgesia y drenaje percutáneo (DP).3 Tras la resolución del episodio agudo puede indicarse una intervención diferida para practicar la colecistectomía con extirpación de los trayectos fistulosos y reparación de los defectos de la pared abdominal si los hubiera. Debe ir precedida del estudio exhaustivo de la vesícula, la vía biliar y estructuras adyacentes, así como la propia anatomía de la fístula. En pacientes de alto riesgo quirúrgico y/o anestésico, el mantenimiento de los drenajes puede ser una actitud prudente y aceptable, ya que el tratamiento conservador se estima efectivo en la resolución gradual de la fístula hasta en 20% de los casos.4

Cabe destacar la elevada morbimortalidad que la FCC presenta tanto en su fase aguda como crónica.

A continuación presentamos un estudio descriptivo y retrospectivo de cinco casos de FCC tratados entre los años 2016 y 2019. Se obtuvo el consentimiento informado de los pacientes para el uso de los datos derivados de su asistencia, con fines investigativos. La estadística básica se realizó con el programa R (versión 4.0.1).



PRESENTACIóN DE LOS CASOS CLíNICOS

Caso 1. Mujer de 92 años. Diabética e institucionalizada por demencia. Consultó por una tumoración indolora en el HCD de crecimiento progresivo durante las últimas semanas. A la exploración presentaba un diámetro de 10 cm, con fluctuación y exudado purulento a través de una pequeña solución de continuidad (Figura 1). Ante la sospecha de una FCC subyacente se practicó una TC con hallazgos de coledocolitiasis múltiples y colecistitis perforada hacia la musculatura de la pared abdominal, con colección en el tejido subcutáneo de 10 × 10 × 6 cm.

Se realizó DP del absceso y tratamiento AB, que desestimó otros gestos quirúrgicos o endoscópicos por su edad avanzada y sus comorbilidades. Presentó evolución desfavorable, con fracaso multiorgánico secundario al choque séptico, y falleció al sexto día.

Caso 2. Hombre de 87 años dependiente para las actividades básicas de la vida diaria (ABVD). Antecedentes de miastenia gravis, hipotiroidismo, vasculopatía con isquemia crónica de extremidades inferiores y un infarto de miocardio, así como un episodio de colecistitis aguda tratado de forma conservadora cinco años antes. Consultó por una tumoración indolora en el HCD de año y medio de evolución, con supuración espontánea durante la última semana. A la exploración presentaba un diámetro de 20 cm y una pequeña solución de continuidad. La TC informó de colecistitis crónica litiásica complicada en continuación con un absceso en la pared abdominal y fistulización a la superficie cutánea (Figura 2).

Se optó por DP del absceso y tratamiento AB. La colangiorresonancia magnética (col-RM) posterior informó de una pequeña colección líquida de 4 × 1 cm en la pared abdominal anterosuperior derecha con pequeños cálculos biliares en su interior, vesícula biliar colapsada con colelitiasis y sin clara evidencia de fístulas, además de ausencia de alteraciones en la vía biliar intra y extrahepática. El débito escaso, pero mantenido a través del drenaje, motivó el mantenimiento de éste, hasta que a las cuatro semanas presentó salida accidental, por lo que se decidió no recolocarlo. La evolución posterior fue favorable. Se desestimó el tratamiento definitivo por su elevado riesgo anestésico.

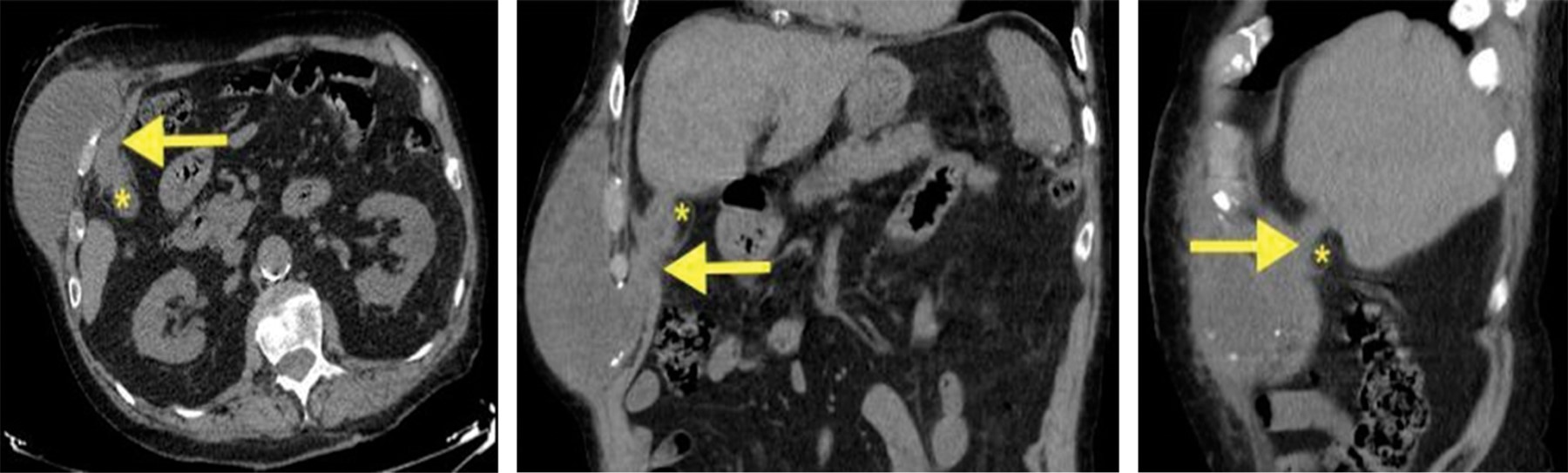
Caso 3. Hombre de 83 años independiente para las ABVD, hipertenso, dislipémico y con enfermedad pulmonar obstructiva crónica. Consultó por tumoración dolorosa en el HCD de cuatro días de evolución. Presentaba un tamaño de 15 × 20 cm y fluctuación. La TC mostró una colección subcutánea de 10 × 6 × 9 cm sobre un trayecto fistuloso que incluía la musculatura de la pared abdominal, el ángulo hepático del colon en continuación por el espacio subhepático hasta la vesícula biliar, la cual presentaba engrosamiento parietal crónico, litiasis y aerobilia.

Se realizó DP del absceso (Figura 3) y tratamiento AB. Se completó el estudio mediante col-RM a las ocho semanas, que objetivó disminución de los cambios inflamatorios y una posible fístula colecistoduodenal. Se practicaron gastroduodenoscopia y colonoscopia, sin encontrarse fístula colecistoduodenal ni colecistocolónica.

Se indicó colecistectomía diferida a los seis meses, mediante laparotomía, con hallazgos de una vesícula escleroatrófica y un plastrón inflamatorio que interesaba al hilio hepático, colon transverso y duodeno, sin evidenciarse FCC ni fístulas colecistoentéricas. El postoperatorio inmediato transcurrió con una fístula biliar de bajo débito que se resolvió en los siguientes días sin necesidad de terapéuticas adicionales, evolucionó satisfactoriamente y se encuentra asintomático transcurridos dos años desde la intervención.

Caso 4. Mujer de 89 años independiente para las ABVD, sin antecedentes médico-quirúrgicos. Consultó por epigastralgia de dos meses asociada a vómitos postprandiales. A la exploración presentaba una tumoración dolorosa y fluctuante en el HCD de 10 cm de diámetro. La TC mostró datos de colecistitis crónica litiásica evolucionada, con fistulización a la pared abdominal e intento de drenaje espontáneo a la piel.

Se practicó tratamiento AB y DP de la colección, con colocación además de un catéter de colecistostomía percutánea (CP) ecoguiado. Transcurridas cuatro semanas se realizó colangiografía transcatéter sin hallazgos de fístula ni obstrucción al paso del contraste hacia el duodeno y se procedió al cierre de la CP. Los días siguientes presentó filtrado biliar alrededor del drenaje que obligó a su reapertura. El débito biliar se mantuvo escaso y la paciente se adaptó a los cuidados de la CP, con lo que se decidió su mantenimiento temporal hasta la intervención definitiva. Se indicó laparoscopia exploratoria ocho semanas después, con hallazgo de una vesícula íntimamente adherida al peritoneo parietal anterior y al duodeno. Tras la disección no se evidenciaron datos de fistulización y la colecistectomía pudo practicarse por vía laparoscópica, por lo que fue dada de alta a las 24 horas del procedimiento. La evolución posterior fue satisfactoria.

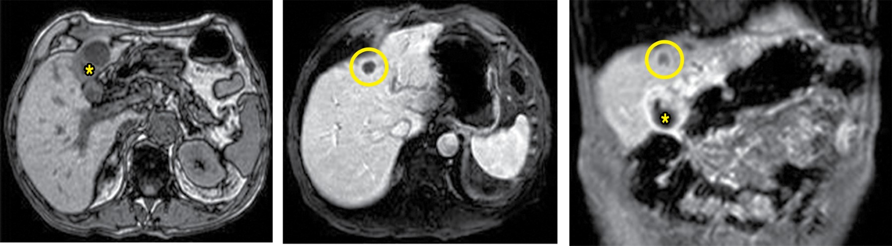
Caso 5. Hombre de 75 años, intervenido 30 años antes por úlcera gástrica. Consultó por pérdida ponderal y tumoración sobre el extremo craneal de la laparotomía media, dolorosa y no reductible a la exploración. La TC objetivó una colección subcutánea de 10 × 6 cm en continuación transparietal con una vesícula biliar de contornos irregulares y paredes engrosadas que sugería colecistitis evolucionada. Además, informó de una lesión focal de 9 mm en el segmento IVb compatible en el contexto clínico con un absceso hepático.

Se realizó tratamiento AB y DP. La col-RM posterior objetivó un engrosamiento heterogéneo de la pared vesicular, adenopatías en el hilio hepático y la lesión focal en el segmento hepático IVb previamente descrita (Figura 4). Se realizó biopsia de la lesión hepática, con resultado inmunohistoquímico de adenocarcinoma metastásico de origen biliopancreático. El estudio de extensión mediante PET-TAC mostró captación patológica en la vesícula, el hilio hepático, la lesión del segmento IVb y un nódulo en el pulmón derecho. Se indicó quimioterapia paliativa y colocación de una endoprótesis biliar, con buena evolución inmediata al respecto de la resolución del cuadro séptico y la FCC. Falleció transcurridos 14 meses desde el diagnóstico de la neoplasia de vesícula.

La Tabla 1 resume las características generales de cada caso.



DISCUSIóN

Las descripciones más antiguas de la FCC datan de 1670 y se le atribuyen a Thilesus,5 aunque en 1667 Stalpert ya advertía, tras el drenaje de un absceso en el epigastrio derecho, de la presencia de concreciones pétreas en el contenido de éste, que probablemente corresponderían a cálculos biliares. Los primeros tratamientos propuestos corresponden a Petit, en 1673, con la recomendación de realizar una incisión y extraer los cálculos de la vesícula mediante unas pinzas, a propósito de crear una fístula hacia el exterior. En 1798, Richter propuso la punción de la vesícula mediante una cánula de forma similar a las colecistostomías actuales. Finalmente, en 1859, Thudichum y Carré comenzaron a realizar la técnica de apertura de la vesícula y fijación de ésta mediante sutura a la pared abdominal. Esta intervención de colecistostomía quirúrgica es la que se popularizaría en las décadas posteriores. A finales del siglo XIX, Courvoisier documentó 499 casos de perforación de la vesícula, 169 de ellos con formación de FCC.5 En 1934 Niemer propuso la clasificación de las perforaciones de la vesícula biliar en agudas, subagudas y crónicas. La perforación aguda representa la ruptura a cavidad libre, con la consecuente peritonitis biliar; la perforación subaguda resulta en la formación de un absceso perivesicular; y la perforación crónica es el resultado de la fistulización de dicho absceso. El estado precedente a la fistulización del absceso a la piel fue definido en 1963 por Nayman como empyema necessitatis.6

La clasificación topográfica de las fístulas biliares se establece en internas y externas. Las primeras incluyen la comunicación con el duodeno (75%), colon (15%), yeyuno (10%) y, excepcionalmente, otros órganos como el estómago o los bronquios; y las segundas incorporan la comunicación con la piel. El origen de la FCC suele acontecer en el fundus de la vesícula,7 y su proximidad con el peritoneo parietal anterior explica que el orificio fistuloso externo se encuentre en la mayoría de los casos en el HCD. No obstante, se han descrito otras localizaciones de drenaje como el epigastrio, la fosa iliaca y la región inguinal derecha, el ombligo, cicatrices de drenajes o laparotomías previas, e incluso la región glútea.7-9 Su etiopatogenia consiste en la obstrucción al drenaje biliar principalmente por litiasis o neoplasias, como sucede en nuestra casuística, con la consecuente estasis de bilis, sobreinfección bacteriana, aumento de la presión intraluminal, necrosis mural, formación del absceso transparietal y finalmente fistulización a la piel. Entre los factores predisponentes se encuentran la diabetes, el tratamiento con corticoides, la poliarteritis nodosa y la fiebre tifoidea.

El diagnóstico y tratamiento inicial debe incluir pruebas de imagen, AB y DP del absceso, con lo que puede valorarse la colocación de una CP para favorecer el control del foco infeccioso en casos de colecistitis aguda grado III con repercusión orgánica o en pacientes de muy alto riesgo quirúrgico. Otros estudios más exhaustivos como la col-RM o la fistulografía pueden caracterizar la anatomía de la propia fístula y objetivar la presencia concomitante de coledocolitiasis, neoplasias de la encrucijada biliopancreática o fístulas colecistoentéricas. El papel de los procedimientos endoscópicos puede ser terapéutico además de diagnóstico. En concreto, la colangiopancreatografía retrógrada, con o sin papilotomía, aporta grandes beneficios como la extracción de las coledocolitiasis, la disminución del débito fistuloso al reducir la presión de la vesícula y la vía biliar, o la colocación de prótesis endoluminales a modo de drenaje biliar interno en los casos paliativos.

Tras la resolución del episodio agudo, y si el paciente es candidato a una cirugía, estaría indicada la intervención definitiva transcurridas al menos entre cuatro a ocho semanas desde la presentación. En ausencia de un plastrón inflamatorio que impida la correcta identificación del hilio vesicular se practicaría la colecistectomía, con la extirpación de los trayectos fistulosos y la reparación de los defectos de la pared abdominal en caso de que los hubiera.5 La extirpación de los trayectos fistulosos disminuye el riesgo de degeneración maligna, de hecho, se han descrito casos de adenocarcinoma con origen sobre la FCC.10 Normalmente las potenciales dificultades técnicas de un campo operatorio inflamado obligan a que la operación se practique mediante laparotomía, si bien el desarrollo de la laparoscopia ha permitido el tratamiento gradual mediante este abordaje durante las últimas décadas.11,12 En contrapartida, ante pacientes de alto riesgo quirúrgico y/o anestésico el tratamiento conservador con mantenimiento de los drenajes se estima efectivo en la resolución definitiva de la fístula hasta en 20% de los casos.4 Para el cáncer de vesícula avanzando el tratamiento es generalmente paliativo.

Los cinco pacientes de nuestra serie fueron correctamente estudiados mediante TC previo al drenaje urgente del absceso, con hallazgo en todos ellos de colecistitis y FCC o fístula colecistoparietal. En cuatro se objetivó la presencia de colelitiasis, uno de los cuales además presentaba coledocolitiasis concomitantes. El paciente con hallazgo de colecistitis alitiásica resultó diagnosticado a posteriori de adenocarcinoma de vesícula. La edad media de presentación fue de 85.2 ± 6.6 años, y la incidencia por sexos fue similar. Algunos antecedentes como la demencia, la dependencia para las ABVD, la edad avanzada y la diabetes podrían justificar el enmascaramiento del dolor en la presentación del absceso en el HCD. En el caso con diagnóstico posterior de neoplasia de vesícula la presentación también fue característicamente oligosintomática.

Dos pacientes fueron candidatos a cirugía diferida, por lo que se pudo practicar la colecistectomía en ambos: uno mediante laparotomía y en otro por vía laparoscópica. En otro caso se optó por mantenimiento temporal del DP y en el paciente con neoplasia de vesícula avanzada se indicó la colocación de una endoprótesis biliar. La evolución fue satisfactoria en todos ellos. El único exitus atribuible al contexto de la FCC correspondió a la mujer más anciana y probablemente con las menores reservas fisiológicas de la serie.

En nuestro conocimiento, la última serie clínica fue comunicada por Henry y Orr en 1949, con 36 casos de FCC recopilados desde 1890.5 En el año 2011 el número total de casos publicados a lo largo de la historia se estimaba en 226.13 A pesar de lo insólito de esta patología recientemente se han comunicado varios casos aislados.14,15 Esta relativa escasez de publicaciones y la incidencia prácticamente anecdótica de la FCC en la actualidad son las principales limitaciones al estudio de esta patología, cuyo tratamiento quirúrgico inicial no difiere demasiado al que se practicó durante los pasados cuatro siglos.

La fístula colecistocutánea constituye una inusual forma de presentación de las colecistopatías hoy día en nuestro medio, debido al diagnóstico precoz, al acceso universal a los antibióticos y a la generalización del tratamiento laparoscópico de la colelitiasis sintomática. La sospecha diagnóstica ante una tumoración o una celulitis en el hipocondrio derecho, un correcto estudio inicial mediante tomografía computarizada o ecografía y el tratamiento anticipado con antibióticos y drenaje del absceso son fundamentales por las altas tasas de morbimortalidad que, esta infrecuente entidad, comporta al afectar en su mayoría a pacientes frágiles.


REFERENCIAS (EN ESTE ARTÍCULO)

  1. Avital S, Greenberg R, Goldwirth M, Werbin N, Skornik Y. A spontaneous discharging wound on the abdominal wall. Postgrad Med J. 1988; 74: 505-506.

  2. Cruz RJ Jr, Nahas J, de Figueiredo LF. Spontaneous cholecystocutaneous fistula: a rare complication of gallbladder disease. Sao Paulo Med J. 2006; 124: 234-236.

  3. Tallon L, Porras M, Molina G, Bustos M, Tamayo MJ. Cholecystocutaneous fistula: a rare complication of gallstones. Gastroenterol Hepatol. 2010; 33: 479-480.

  4. Davies MG, Tadros E, Gaine S, McEntee GP, Gorey TF, Hennessy TP. Combined internal and external biliary fistulae treated by percutaneous cholecystlithotomy. Br J Surg. 1989; 76: 1258.

  5. Henry CL, Orr TG Jr. Spontaneous external biliary fistulas. Surgery. 1949; 26: 641-646.

  6. Nayman J. Empyema necessitatis of the gallbladder. Med J Aust. 1963; 1: 429-430.

  7. Abril A, Ulfohn A. Spontaneous cholecystocutaneous fistula. South Med J. 1984; 77: 1192-1193.

  8. Nicholson T, Born MW, Garber E. Spontaneous cholecystocutaneous fistula presenting in the gluteal region. J Clin Gastroenterol. 1999; 28: 276-277.

  9. Kaminski DL. Clinical syndromes involving the gallbladder. In: Braasch JW, Tompkins RK (eds). Surgical disease of the biliary tract and pancreas. Philadelphia: Mosby; 1994. pp. 115-128.

  10. Gifford J, Saltzstein SL, Bavoone RM. Adenocarcinoma occurring in association with a chronic sinus tract and biliary fistula. Cancer. 1981; 47: 2093-2097.

  11. Mathonnet M, Maisonnette F, Gainant A, Cubertafond P. Spontaneous cholecystocutaneous fistula: natural history of biliary cholecystitis. Ann Chir. 2002; 127: 378-380.

  12. Malik AH, Nadeem M, Ockrim J. Complete laparoscopic management of cholecystocutaneous fistula. Ulster Med J. 2007; 76: 166-167.

  13. Ugalde Serrano P, Solar García L, Miyar de León A, González Pinto I, González González J. Fístula colecistocutánea como forma de presentación del adenocarcinoma de vesícula biliar. Cir Esp. 2013; 91: 396-397.

  14. Maynard W, McGlone ER, Deguara J. Unusual aetiology of abdominal wall abscess: cholecystocutaneous fistula presenting 20 years after open subtotal cholecystectomy. BMJ Case Rep. 2016; 2016: bcr2015213326.

  15. Pripotnev S, Petrakos A. Cholecystocutaneous fistula after percutaneous gallbladder drainage. Case Rep Gastroenterol. 2014; 8: 119-122.



AFILIACIONES

1 Servicio de Cirugía General y del Aparato Digestivo. Instituto de Investigación Sanitaria BioCruces, Bizkaia. Hospital Universitario Cruces, Barakaldo, Bizkaia, España.

2 Unidad de Cirugía Hepatobiliar, del Retroperitoneo y Trasplante Hepático. Hospital Universitario Cruces, Barakaldo, Bizkaia, España.

3 Unidad de Cirugía Esofagogástrica, Bariátrica y de la Pared Abdominal Compleja. Hospital Universitario Cruces, Barakaldo, Bizkaia, España.



Consideraciones y responsabilidad ética: los autores declaran que siguieron los protocolos de su centro de trabajo sobre la publicación de datos de pacientes, resguardando su derecho a la privacidad mediante la confidencialidad de sus datos.

Financiamiento: no se recibió apoyo financiero para la realización de este trabajo.

Conflicto de intereses: los autores declaran que no existe ningún conflicto de intereses en la realización del trabajo.



CORRESPONDENCIA

Arkaitz Perfecto-Valero. E-mail: arkaitz.perfectovalero@osakidetza.eus




Recibido: 16/09/2021. Aceptado: 03/02/2022

Figura 1
Figura 2
Figura 3
Figura 4
Tabla 1
Tabla 1

2020     |     www.medigraphic.com

Mi perfil

C?MO CITAR (Vancouver)

Cir Gen. 2021;43

ARTíCULOS SIMILARES

CARGANDO ...