medigraphic.com
SPANISH

Cirujano General

ISSN 2594-1518 (Electronic)
ISSN 1405-0099 (Print)
  • Contents
  • View Archive
  • Information
    • General Information        
    • Directory
  • Publish
    • Instructions for authors        
    • Send manuscript
  • medigraphic.com
    • Home
    • Journals index            
    • Register / Login
  • Mi perfil

2021, Number 3

<< Back Next >>

Cir Gen 2021; 43 (3)

Nesidioblastosis of the adult, a rare entity for the general surgeon

Myers Esmenjaud, Jorge Andrés1; Urbina de la Vega, José Felipe1; Mejía Nogales, Ramiro Esteban1; López Ortiz, Armando2; Gallegos Garza, Adriana Cecilia3; González Chavira, Javier4; Martínez de la Garma, Constanza4
Full text How to cite this article 10.35366/108573

DOI

DOI: 10.35366/108573
URL: https://dx.doi.org/10.35366/108573

Language: English/Spanish [Versi?n en espa?ol]
References: 10
Page: 193-197
PDF size: 290.66 Kb.


Key words:

Nesidioblastosis, hypoglycemia, laparoscopy, distal pancreatectomy, hyperinsulinism, insulinoma.

ABSTRACT

Nesidioblastosis is a rare pathology of the endocrine pancreas that causes hypoglycemia due to endogenous hyperinsulinism. It is a hyperplasia of the islets of Langerhans with a hypertrophy of the βeta cells. Treatment options in most cases are distal pancreatectomy. A 64-year-old male with multiple long-term hypoglycemic events. A diagnostic protocol was performed, evidencing the suggestive presence related to insulinoma. It is decided to perform distal pancreatectomy by laparoscopy. A pancreatic fragment with pancreatic islet hyperplasia and isolated endocrine cells was reported. In immunohistochemistry with positivity for synaptophysin and chromogranin confirming the diagnosis of diffuse nesidioblastosis. The patient was discharged without complications and with adequate metabolic control and without episodes of hypoglycemia. This is how nesidioblastosis represents a diagnostic challenge in the patient with hyper insulinemic hypoglycemia refractory to medical management.



INTRODUCTION

Hyperinsulinemic hypoglycemia in the adult is usually caused by an insulinoma. However, in the absence of an insulinoma, there is a rare condition that accounts for 0.5-5% of these cases and is termed nesidioblastosis or non-insulinoma pancreatic hypoglycemic syndrome.1,2

Nesidioblastosis is described as a Langerhans islet hyperplasia in children, and the adult form is characterized by diffuse hyperfunction of the pancreatic β-cells.2,3

This pathology presents with episodes of fasting hypoglycemia, tremor, dizziness, palpitations, sweating, and neurological alterations, among other symptoms. Clinical manifestation of postprandial neuroglycopenia is obtained with a fasting test that can be either positive or negative for 72 hours. However, the definitive diagnosis is histopathological using neuroendocrine markers (chromogranin, enolase, and synaptophysin).2



CASE PRESENTATION

A 64-year-old man with a history of arterial hypertension and psoriasis reported multiple events of diaphoresis, palpitations, nausea, dizziness, vomiting, and somnolence with repeated events of loss of alertness, with no predominance of time, although the symptoms occurred mainly after food intake. To avoid these events, he increased his food intake every hour, resulting in a weight gain of 7 kg.

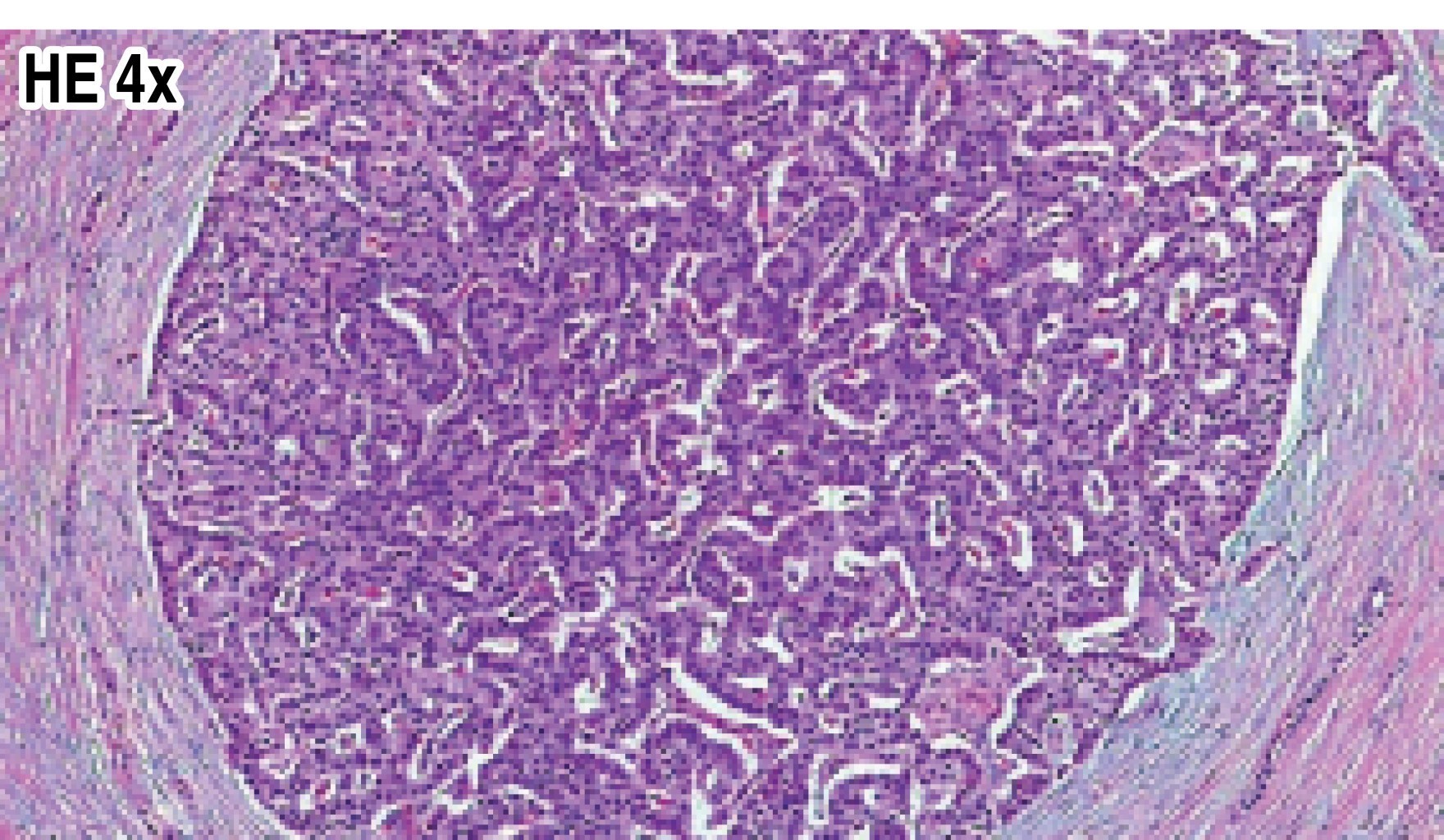
On multiple occasions, he required attention in the emergency department where the presence of hypoglycemia was evidenced and treated with a glucose solution that improved the clinical picture. In general, the physical examination was normal. His weight was 90 kg, height 170 cm, and body mass index (BMI) was 31.1. As part of the diagnostic approach, a fasting test was performed, which had to be suspended after 18 hours due to neuroglycopenic symptoms. Serum hyperinsulinism was identified with serum glucose of 56 mg/dl, serum insulin of 79 μU/ml, C-peptide of 10.2 ng/ml, and an insulin/glucose ratio of 13.1. A three-phase helical computed tomography scan was taken which showed a round nodule, with well-defined contours, solid, of superficial location in the distal portion of the tail of the pancreas measuring 12.9 mm in diameter, hypodense in the arterial phase and hyperdense in the portal phases, mainly in the venous phase. The radiological report was of suspicion for insulinoma (Figure 1). Based on the findings of the imaging studies, the patient was scheduled for a laparoscopic distal pancreatectomy, which was performed without complications. The histopathological study reported a 3.5 × 3 × 2.5 cm, pinkish-yellow, single, spherical lesion with a purplish-gray surface measuring 1.5 × 0.9 × 0.9 cm. Pancreatic islet hyperplasia and isolated endocrine cells were seen, as well as an accessory spleen in the tail of the pancreas. Immunohistochemistry revealed positivity for synaptophysin and chromogranin in the pancreatic islets of Langerhans with a ki67 proliferation index of 1%. With all these data, diffuse nesidioblastosis was diagnosed (Figures 2 and 3). The patient's follow-up has shown adequate glycemic control and remission of neuroglycopenic events until this time.



DISCUSSION

Insulin is a hormone synthesized by the β-cells of the pancreas that is responsible for the regulation of blood glucose. If there are irregularities in these compensatory mechanisms, conditions such as hyper- or hypoglycemia can occur; the latter in non-diabetic patients is an infrequent condition that requires a thorough study to have an adequate diagnosis and treatment.2 Whipple's triad (low blood glucose concentration, clinical signs, or symptoms compatible with hypoglycemia, and resolution of these with increasing plasma glucose concentration) should be documented before starting the evaluation. In general, in these cases, the approach should begin with blood glucose, serum insulin levels, and C-peptide measurements at the time of the presumed hypoglycemic crisis to be able to orient about the probable etiology.4

In the case of this patient, with the clinical characteristics mentioned, several suggestive pathologies could cause clinical manifestations of hyperinsulinemic hypoglycemia. A strict analysis was initiated, with laboratory and imaging studies, to rule out the main differential diagnoses: insulinoma, drug-induced hypoglycemia (such as sulfonylureas and exogenous insulin), or hypoglycemia mediated by anti-insulin antibodies (AIA). Drug-induced hypoglycemia was ruled out by interrogation since the patient had no history of drug intake. Therefore, the first cause to rule out was insulinoma. Therefore, imaging studies were requested that showed the previously described lesion; however, once the final histopathological report was obtained, nesidioblastosis was concluded.

Nesidioblastosis is a term used to refer to abnormal hyperplasia of the islets of Langerhans and excessive function of the pancreatic beta cells causing persistent hyperinsulinemic hypoglycemia, which can be acquired or congenital. Two types of nesidioblastosis have been described: focal nesidioblastosis in which the islets form nodules and diffuse nesidioblastosis which is formed throughout the whole pancreas.4 Epidemiological statistics are scarce since the incidence of congenital nesidioblastosis is reported worldwide in one in 50,000 live births and adulthood it represents 0.5-5% of cases of hyperinsulinemic hypoglycemia.5

Several molecular alterations have been identified in congenital nesidioblastosis associated with mutations in the genes ABCC8, KCNJ11, HNF4A, HNF1A, GLUD1, GCK, HADH1, UCP2, MCT1, HK1, and PGM1, as well as in different congenital syndromes; however, they may not be associated with adult nesidioblastosis. A high expression of hypoglycemic peptides such as insulin-like growth factor type 2 (IGF2), insulin-like growth factor type 1 (IGF1), and transforming growth factor beta-3 has been found in adults with nesidioblastosis, which give us an idea of the pathophysiological mechanism that is not well defined so far.6 A particular case is that of postoperative Roux-en-Y gastric bypass patients with whom cases of nesidioblastosis have been described due to an increase in glucagon-like peptide type 1 (GLP-1) that contributes to pancreatic β-cell hypertrophy causing hyperfunction of these cells, which consequently induce hypoglycemia.7 Clinically this entity presents with symptoms and signs typical of hypoglycemia such as tremors, dizziness, palpitations, sweating, and neurological alterations that improve with food intake, and it is also characterized because these episodes occur postprandially.

To make the diagnosis, an adequate clinical history should be taken first, inquiring about comorbidities, alcohol intake, and intake of hypoglycemic drugs. Once an adequate interrogation has been performed, the suspicion of probable pathologies begins, guided by the clinical and natural history of the disease. In the case of a patient with postprandial hypoglycemia, the presence of endogenous hyperinsulinism should be ruled out by performing a 72-hour fasting test, which is considered positive when after that time the blood glucose levels are < 45 mg/dl and insulin levels rise > 6 m U/l and C-peptide > 0.6 ng/ml.8 Imaging studies that can be used to complement the diagnosis are transabdominal ultrasound, computed tomography (CT) scan, endoscopy, selective catheterization with intra-arterial calcium injection, or even a positron emission tomography (PET) scan, where it has been observed that in patients with nesidioblastosis, there is a mild to moderate increase of 68GA-NOTA-Exedin-4 uptake in certain segments of the pancreas when performing the PET imaging study. In congenital cases of hyperinsulinism of infancy, 18F-fluoro-L-dihydroxyphenylalanine (18F-DOPA) PET has been described as an accurate technique to distinguish between focal and diffuse types of nesidioblastosis and thus guiding surgical resection.8

The definitive diagnosis is made by histopathology means, using neuroendocrine markers, and observing whether the histologic criteria (major and minor) for the diagnosis of nesidioblastosis are met.9 Treatment with drugs such as glucocorticoids, somatostatin analogs or diazoxide can be initiated to control insulin secretion; however, if there is a persistence of symptoms, the treatment of choice is surgical resection. In most cases distal pancreatectomy is performed; if the symptoms do not remit after the intervention, the previously mentioned drugs can be used as a complementary treatment.10



CONCLUSIONS

Nesidioblastosis represents a rare pathology that should be considered when other more frequent causes of endogenous hyperinsulinism have been ruled out. It should be studied by a multidisciplinary team to identify and propose the most appropriate treatment to have an acceptable prognosis in terms of quality of life.


REFERENCES

  1. Ramírez-González LR, Sotelo-Álvarez JA, Rojas-Rubio P, Macías-Amezcua MD, Orozco-Rubio R, et al. Nesidioblastosis en el adulto: reporte de un caso. Cirugía y Cirujanos. 2015; 83: 324-328.

  2. De Santibañes M, Cristiano A, Mazza O, Grossenbacher L, de Santibañes E, Sánchez-Clariá R, et al. Síndrome de hipoglucemia por hiperinsulinismo endógeno: tratamiento quirúrgico. Cir Esp. 2014; 92: 547-552.

  3. Mengual-Ballester M, Flores-Pastor B, Pascual H, Tudela-Pallares J, Aguayo-Albasini JL. Nesidioblastosis como causa de hiperinsulinismo en el adulto. Cir Esp. 2010; 88: 423-425.

  4. Orujov M, Lai KK, Forse CL. Concurrent adult-onset diffuse β-cell nesidioblastosis and pancreatic neuroendocrine tumor: a case report and review of the literature. Int J Surg Pathol. 2019; 27: 912-918.

  5. Kowalewski AM, Szylberg ?, Kasperska A, Marsza?ek A. The diagnosis and management of congenital and adult-onset hyperinsulinism (nesidioblastosis) - literature review. Pol J Pathol. 2017; 2: 97-101.

  6. Lopes AA, Miranda AC, Maior MS, de Mello RV, Bandeira FA. Nesidioblastosis associated with pancreatic heterotopia as a differential diagnosis of hypoglycemia: a literature review and case report. Am J Case Rep. 2020; 21: e922778.

  7. Anlauf M, Wieben D, Perren A, Sipos B, Komminoth P, Raffel A, et al. Persistent hyperinsulinemic hypoglycemia in 15 adults with diffuse nesidioblastosis. Am J Surg Pathol. 2005; 29: 524-533.

  8. Foster-Schubert KE. Hypoglycemia complicating bariatric surgery: incidence and mechanisms. Curr Opin Endocrinol Diabetes Obes. 2011; 18: 129-133.

  9. Revheim MER, Alavi A. Pet-based novel imaging techniques with recently introduced radiotracers, an issue of pet clinics. Elsevier; 2021.

  10. Van Meijeren J, Timmer I, Brandts H, Janssen I, Boer H de. Evaluation of carbohydrate restriction as primary treatment for post-gastric bypass hypoglycemia. Surg Obes Relat Dis. 2017; 13: 404-410.



AFFILIATIONS

1 General Surgery Service. Hospital Ángeles Pedregal, Mexico City.

2 Radiology and Imaging Service. Hospital Ángeles Pedregal, Mexico City.

3 Anatomic Pathology Service. Hospital Ángeles Pedregal, Mexico City.

4 Undergraduate Medical Intern. Hospital Ángeles Pedregal, Mexico City.



Ethical considerations and responsibility: the authors declare that the procedures followed were by ethical standards. No patient data appear in this article.

Financing: the authors declare that there is no financing.

Disclosure: the authors declare that there is no conflict of interest in carrying out the work.



CORRESPONDENCE

Jorge Andrés Myers-Esmenjaud. E-mail: amyers_med@hotmail.com




Received: 02/14/2022. Accepted: 10/12/2022.

Figure 1
Figure 2
Figure 3

2020     |     www.medigraphic.com

Mi perfil

C?MO CITAR (Vancouver)

Cir Gen. 2021;43