medigraphic.com
SPANISH

Cirujano General

ISSN 2594-1518 (Electronic)
ISSN 1405-0099 (Print)
  • Contents
  • View Archive
  • Information
    • General Information        
    • Directory
  • Publish
    • Instructions for authors        
    • Send manuscript
  • medigraphic.com
    • Home
    • Journals index            
    • Register / Login
  • Mi perfil

2022, Number 2

<< Back Next >>

Cir Gen 2022; 44 (2)

Amoebic liver abscess of rare location

Alvarado Hernández, Roberto Antonio1; Mayorga Lira, Gerardo de Jesús2
Full text How to cite this article 10.35366/109716

DOI

DOI: 10.35366/109716
URL: https://dx.doi.org/10.35366/109716

Language: English/Spanish [Versi?n en espa?ol]
References: 10
Page: 77-82
PDF size: 270.95 Kb.


Key words:

liver abscess, drainage, laparotomy.

ABSTRACT

38-year-old male patient who is evaluated in the emergency department for abdominal pain, without relevant medical history, beginning his issue with pain in the epigastrium, radiating to the right flank, aggravated by food intake, a computed tomography scan is performed showed a significant amount of fluid in the left pleural space that conditioned passive atelectasis, also finding in the liver a lesion with heterogeneous density in addition to an increase in the left liver lobe, the lesion is drained, finding a ruptured liver abscess to the peritoneal cavity, obtaining about 3 liters of purulent fluid with the appearance of "anchovy paste", a cytological and cytochemical study of the drained fluid is carried out, isolating Entamoeba histolytica.



INTRODUCTION

The infection by E. histolytica is highly endemic and very common in our environment;1-3 it is usually associated with poor sanitary conditions, and a large percentage of infected people are carriers,4,5 so it should be suspected in patients who present pain in the right upper quadrant of the abdomen, fever, hepatomegaly, and liver abscess.1,6,7

E. histolytica is named for its lytic effect on the surrounding cells.2,8 Under scanning electron microscopy, it has been demonstrated that the main organelles involved in the pathological response are the lysis of nuclei and cytoplasm.6 The amoeba binds to host cells through galactose lectin bonds, and in the initial stages, tissue invasion is caused by the action of proteases from the trophozoites, which degrade fibronectin and laminin, components of the extracellular matrix triggering an innate immune response. The lysis of the cell is caused by the formation of amoeba-pores created by the action of phospholipases; this cycle is the one that will end in the formation of an abscess.2,8,9

It is common in all age groups, and slightly more frequent in men aged 20-40 years, predominantly in countries with tropical climates.1,4,5 Gender predominance is thought to be associated with alcohol consumption, as alcohol triggers Kupffer cell dysfunction and inappropriate cellular and humoral responses.10

The clinical manifestations usually appear four months after exposure to an endemic area,4,5 and vary with the symptoms' severity and the abscess's location. In right lobe abscesses it is common to present with sudden onset of fever, accompanied by chills, predominantly night sweats, as well as constant and intense pain in the right hypochondrium radiating to the right scapular and deltoid region,7 which is aggravated by coughing, while in left lobe abscesses patients frequently report epigastralgia radiating to the left deltoid region.10 Approximately 30% of patients develop a non-productive cough, anorexia, nausea, vomiting, diarrhea, and weight loss.1 In both cases, hepatomegaly and pain on palpation of the hypochondrium are very common, whereas jaundice is seen in less than 10%. Left lobe lesions represent only 35%, have a worse prognosis,1,7,10 and a vast rate of complications due to their extrahepatic extension. The most affected are the peritoneum, great vessels, pericardium, pleura, bronchial tree, and lungs.10

Almost all patients present leukocytosis, and it is estimated that approximately 5% of cases developed leukemoid reactions;1 alkaline phosphatase is elevated in more than 50% of patients and is considered one of the most reliable markers of liver abscess.9 Mild anemia is present in one in four patients,6 and hyperbilirubinemia is found in about one-third, with elevation of aminotransferases and hypoalbuminemia being uncommon.1,6 Anti-ameba antibodies are usually present in 90% of patients, reaching their peak in the third month, and are detectable nine months after abscess resolution.4 Indirect hemagglutination tests are considered to be the most sensitive and specific, with a cutoff considered to be 1:512, while in non-endemic areas, it is 1:256.8 The imaging method of choice is ultrasonography, which shows single, space-occupying lesions with well-defined margins, well-delimited hypointense lesions on CT scan, elevation of the right hemidiaphragm, presence of ileus, and an anomalous distribution of gas on chest X-ray.1,4,5,10



PRESENTATION OF THE CASE

A 38-year-old male patient was admitted to the emergency department with a diagnosis of abdominal pain under study to rule out intestinal obstruction versus pancreatitis.

He is a merchant selling fruits and vegetables, originally from the city of Lerdo, Durango, Mexico. He had a history of smoking that suspended three months ago at a rate of three cigarettes a day. He denied any chronic degenerative diseases and surgical procedures, hypoxia, and weight loss of two months of evolution, and had no history of dysentery.

The patient began 15 days before admission with burning colicky abdominal pain of 7/10 intensity located in the epigastrium, radiating to the right flank and mesogastrium, exacerbated by food intake, managed with paracetamol and omeprazole with mild attenuation of pain. It was associated with asthenia, abdominal distension, oral intolerance, constipation, and hypoxia three days before admission, without fever.

Physical examination on admission found him conscious, with a Glasgow score of 15 points, oriented, with an antalgic gait on admission, diaphoretic with pallor of skin and integuments. He had an increased respiratory rate and decreased O2 saturation to 90% on room air requiring supplemental oxygen support. His left hemithorax was hypo ventilated at its base with decreased vocal vibrations and dullness to percussion. Cardiac examination showed a rhythmic heart with increased frequency. His abdomen distended, painful to superficial and deep palpation in a generalized way, with muscular resistance and positive rebound, absent peristalsis, and dullness to percussion. His genitalia showed the presence of a Foley catheter, discharging a concentrated urine. The rectal examination showed an empty rectal ampoule. On admission to the hospital, the patient presented laboratory results taken at another facility that showed leukocytosis of 21,000/mm3, thrombocytosis of 825,000 mm3, and glucose of 230 mg/dl. On admission to the emergency department new lab tests were taken that reported hemoglobin (Hb) 11.7 g/dl, hematocrit of 37.6%, white blood cells of 15,900/mm3, neutrophil count of 79%, bands 2%, platelets of 858,000/mm3, glucose of 270 g/dl, creatinine of 0.4 mg/dl. His serum electrolytes were Na 130 mEq/l, Ca 7.8 mg/dL, P 4.6 mg/dl, Cl 89 mEq/l, K 4.9 mEq/l. To rule out pancreatitis the pancreatic enzymes were measured and reported amylase 33 and lipase 36. Liver function tests showed a TB 7.3 mg/dl, IB 5.5 mg/dl, DB 1.8 mg/dl, albumin 2.7 g/dl, TGO 43 U/l, TGP 28 U/l, GGT 225 U/l, AP 203 U/l, LDH 288 U/l. His arterial blood gases showed a pH of 7.52, pCO2 of 41, pO2 of 72, of HCO3 27.2 mmol/l, BE +3, O2 Sat 96%, and lactate of 1.59.

A cytochemical study of pleural fluid showed a hematic color, cloudy appearance, pH 6.9, glucose 95, protein 3.2, albumin 1.7, LDH 2,098; the sediment had countless erythrocytes, moderate epithelial cells, abundant bacteria, white blood cells 87.3, polymorphonuclear cells 36, mononuclear cells 64, and abundant bacteria.

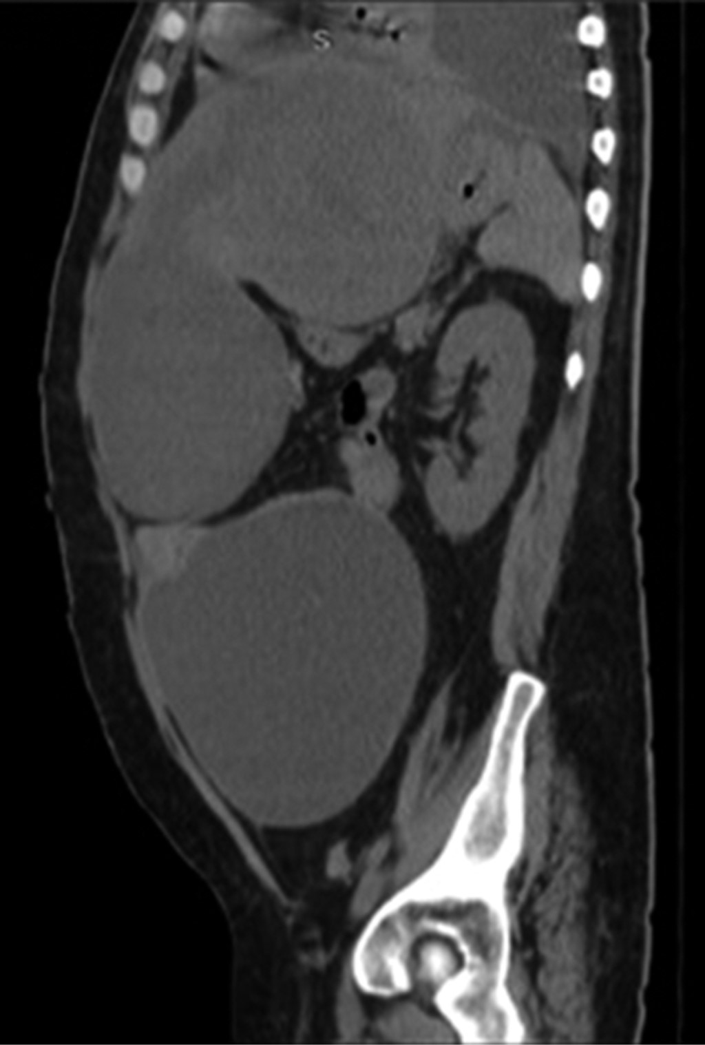
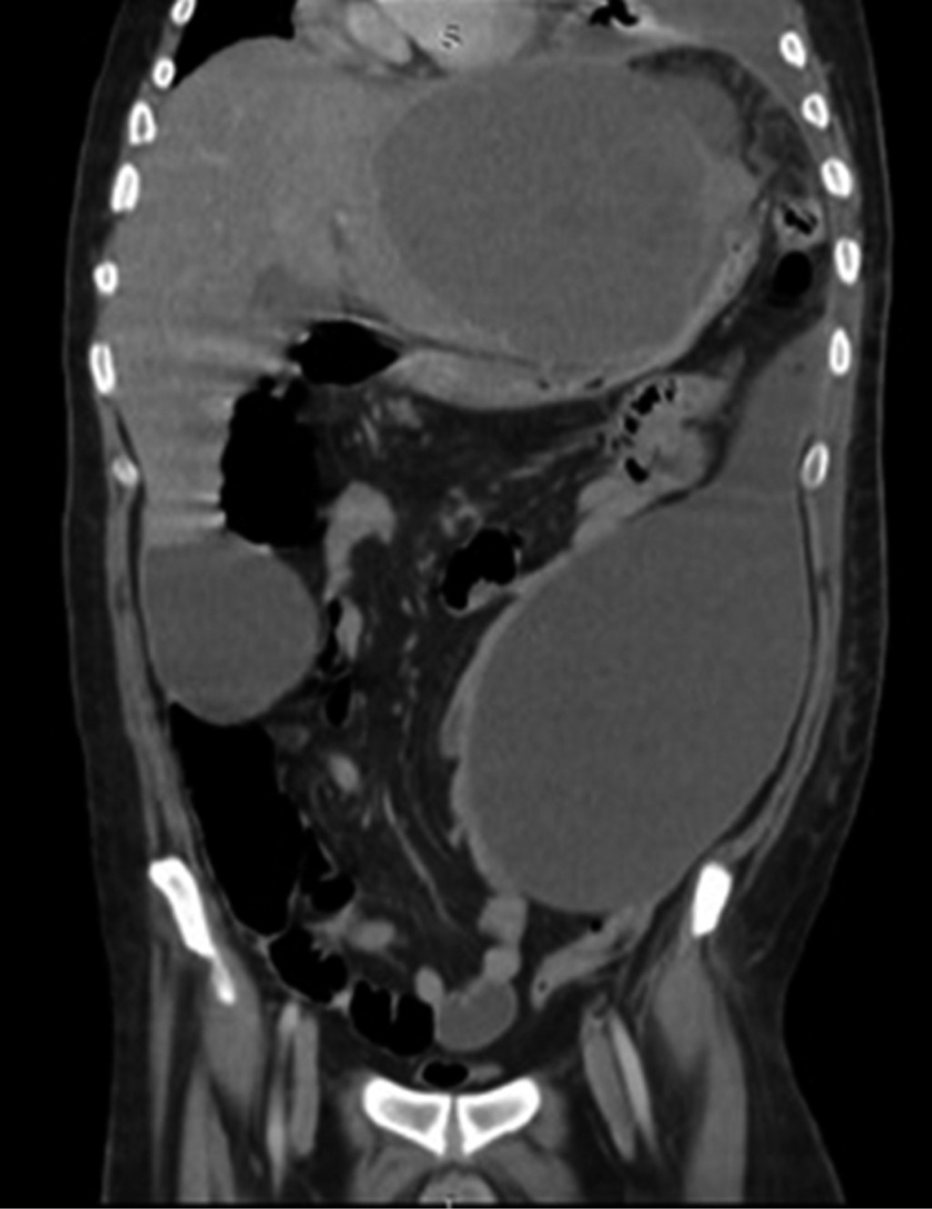
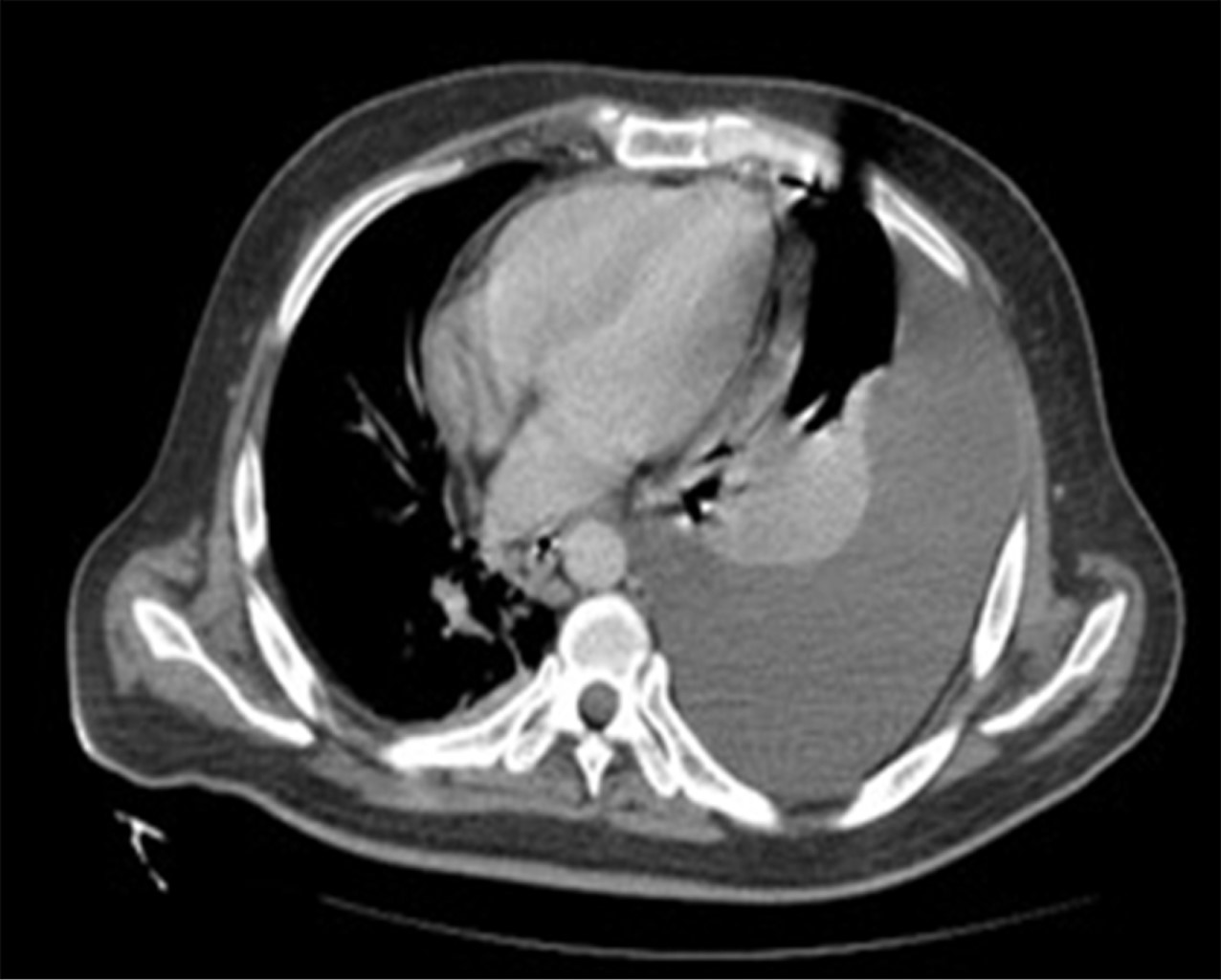
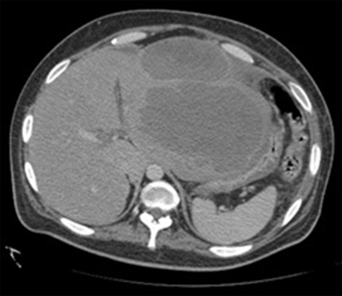
An anteroposterior (AP) chest X-ray was performed, in which a left pleural effusion covering more than 50% was visualized. A computed tomography scan showed a significant amount of fluid in the left pleural space that conditioned a passive atelectasis of the lower lobe (Figure 1); the liver was found with heterogeneous density with an increase of the left hepatic lobe secondary to the presence of a heterogeneous hypodense lesion with lobulated borders, showing peripheral reinforcement and some internal septa covering segments II, III, IVa, and IVb measuring approximately 20 × 14.5 × 12.5 cm (Figure 2), conditioning posterior displacement and compression of the stomach and pancreas and caudal displacement of the intestinal loops (Figures 3 and 4). In the lower pole of the right hepatic lobe adjacent to segment IV, a homogeneous cystic lesion with peripheral enhancement was identified after intravenous contrast administration, measuring 25 × 27 × 13 cm in its major axes. A Foley tube and nasogastric tube were placed as initial management draining a liquid of gastric characteristics (30 ml). A central catheter was placed and verified by radiography. Imaging studies were requested. Fasting was ordered and fluid therapy, antibiotic therapy with ceftriaxone and metronidazole, pain management, glycemic control, and gastric protection were started. When visualizing the image of the left pleural effusion, it was decided to perform a thoracentesis, obtaining a thick exudate with a chocolate appearance. When the tomography was available, urgent surgical treatment was performed.

Through a left endo-pleural probe one liter of serous fluid with serous characteristics was obtained. During the surgery, a ruptured hepatic abscess was found in the peritoneal cavity, obtaining about three liters of purulent hematic liquid with the appearance of "anchovy paste" (Figure 5). The abscess capsule located in the left hepatic lobe segments 2, 3, and 4, approximately 10 cm in diameter, was visualized as extending towards the diaphragm without invading it (Figure 6). Exhaustive lavage of the peritoneal cavity was performed without finding any involvement of neighboring organs. A Saratoga drainage directed to the abscess capsule and Penrose drainage directed to the pelvic cavity (Figures 5, 7 and 8) was placed.



CONCLUSIONS

Although intestinal amebiasis continues to be an endemic disease, its prevalence has not been well clarified in our country3 because of the low reporting of cases and a large number of asymptomatic carriers.5 The complication rate of this disease with extraintestinal manifestations is very low.1 The evolution of this patient is interesting because he presented a large abscess in an uncommon location,4 which represents a surgical challenge due to many anatomical structures involved.

A satisfactory result was achieved after one month of medical treatment, follow-up in consultation, and subsequent rehabilitation with the patient's full recovery.



ACKNOWLEDGMENTS

Special thanks to the General Surgery Service of the Hospital Universitario Torreón "Dr. Joaquín del Valle Sánchez"; to its residents for involving undergraduate interns in research and continuing education, showing the virtues of teamwork; to the outpatient, operating room, and auxiliary staff; as well as to the chief of the General Surgery Service of this hospital for his dedication to the academic training of his residents and interns.


REFERENCES

  1. Villalobos PJJ. Abscesos hepáticos. En: Valdovinos DMA, Olivera MMA, Torres VG, eds. Villalobos gastroenterología, Mendez Editores. 7a ed. 2020, pp. 555-563.

  2. Brooks GF. Parasitología médica. En: Carroll KC, Butel JS, Morse SA, Mietzner TA, eds. Jawetz, Melnick y Adelberg. Microbiología Médica, McGraw-Hill. 27a Ed, 2016, 665-702.

  3. Escandón RC, García MNT, Escobedo PJ, Hernández RJM, Olvera AJ, Cabral SJ. La amibiasis y el absceso hepático amibiano en México, un problema de salud pública de actualidad [Amebiasis and amebic liver abscess in Mexico: a present-day public health problem]. Rev Gastroenterol Mex. 1996; 61: 378-386.

  4. Leder K, Weller FP, Ryan E, Bogorodskaya M. Extraintestinal Entamoeba histolytica amebiasis. UpToDate, Retrieved. 2020. Available in: https://www.uptodate.com/contents/extraintestinal-entamoeba-histolytica-amebiasis/contributors

  5. Puebla CJG, Alday NMC, Peña RDH. Particularidades del absceso hepático amebiano en México: revisión de una cohorte de pacientes del Hospital General del Estado de Sonora. Med Int Mex. 2012; 28: 440-445.

  6. James M. Some observations of intestinal amebiasis due to infection with Entamoeba histolytica. Annals of Internal Medicine. 1928; 2: 171. Available in: https://doi.org/10.7326/0003-4819-2-2-171

  7. Sands BE. Infectious enteritis and colitis; bacterial food poisoning; intestinal protozoa and helminthic infestations. In: Mount sinai expert guides: gastroenterology. Wiley Blackwell. 2015, 250-260.

  8. Becerril MA. Amebiasis. En: Parasitología médica. McGraw Hill. 4a ed., 2014, 23-37.

  9. Aguilera P, Barry T, Tovar J. Entamoeba histolytica mitosomes: organelles in search of a function. Exp Parasitol. 2008; 118: 10-16. Available in: https://doi.org/10.1016/j.exppara.2007.08.004

  10. Rivera RJA, Soler ML, Valanci AS, Carrillo MA. Absceso hepático amebiano complicado abierto a la cavidad pleural. An Med Asoc Med Hosp ABC. 2017; 62: 293-297.



AFFILIATIONS

1 Fourth-year resident, general surgery. University Hospital "Dr. Joaquín del Valle Sánchez", Torreón, Coahuila.

2 Chief undergraduate medical intern. University Hospital "Dr. Joaquín del Valle Sánchez", Torreón, Coahuila.



Ethical considerations and responsibility: the authors declare that they followed the protocols of their work center on the publication of patient data, safeguarding their right to privacy through the confidentiality of their data.

Funding: no financial support was received for this work.

Disclosure: the authors declare no conflict of interest in carrying out the work.



CORRESPONDENCE

Roberto Antonio Alvarado-Hernández, MD. E-mail: ra_ah17@hotmail.com




Received: 03/30/2021. Accepted: 12/23/2022

Figure 1
Figure 2
Figure 3
Figure 4
Figure 5
Figure 6
Figure 7
Figure 8

2020     |     www.medigraphic.com

Mi perfil

C?MO CITAR (Vancouver)

Cir Gen. 2022;44