medigraphic.com
ENGLISH

Cirujano General

ISSN 2594-1518 (Digital)
ISSN 1405-0099 (Impreso)
  • Mostrar índice
  • Números disponibles
  • Información
    • Información general        
    • Directorio
  • Publicar
    • Instrucciones para autores        
    • Envío de artículos
  • medigraphic.com
    • Inicio
    • Índice de revistas            
    • Registro / Acceso
  • Mi perfil

2022, Número 3

<< Anterior Siguiente >>

Cir Gen 2022; 44 (3)


Tuberculosis extrapulmonar que se presenta como un absceso inguinal

Deras-Ramos, Dante1; Cantú-Flores, Marco A2; Hernández-Avitia, Andrés2; Díaz-Rosales, Juan de Dios3
Texto completo Cómo citar este artículo 10.35366/109775

DOI

DOI: 10.35366/109775
URL: https://dx.doi.org/10.35366/109775
Artículos similares

Idioma: Español/Inglés [English version]
Referencias bibliográficas: 14
Paginas: 141-144
Archivo PDF: 243.78 Kb.


PALABRAS CLAVE

absceso, conducto inguinal, drenaje, ingle, supuración, tuberculosis.

RESUMEN

La tuberculosis extrapulmonar es una entidad patológica compleja que se manifiesta hasta en 25% de los casos con foco primario pulmonar. Se presenta el caso de paciente masculino de 53 años que acudió a consulta de cirugía por un absceso inguinal, cuyo drenaje reveló una colección retroperitoneal de origen micobacteriano. Reconocer estos casos y sospechar el diagnóstico es una tarea pendiente en la región de las Américas, donde continúa siendo un problema de salud pública. Esta problemática es aunada a la carencia de protocolos aplicables debido a la amplia variedad patogénica de la presentación extrapulmonar de la tuberculosis, por lo que es de vital importancia expandir la información acerca de esta entidad patológica.



INTRODUCCIóN

La tuberculosis (TB) es un problema de salud pública en México (relacionado con las condiciones propias del país) y una de las principales causas de muerte por un solo agente infeccioso.1 Los estados de Guerrero, Tabasco y Veracruz (sur del país) presentan más casos de tuberculosis, mientras que el estado de Chihuahua (norte) está en el lugar número 13 en casos de TB pulmonar registrados.2

Se ha documentado que hasta en 25% de los casos de TB existe afección extrapulmonar.3 La manifestación extrapulmonar es capaz de afectar virtualmente todos los órganos y tiene una extensa variedad de manifestaciones clínicas que pueden generar dificultad y demora en el diagnóstico.4

Se han planteado diversos mecanismos por los que la TB se disemina a otras regiones, se admite que un foco primario pulmonar puede producir diseminación por contigüidad por vía linfática y/o hematógena, esta última es la más probable causante de infección extrapulmonar.5

El objetivo de este artículo es exponer un caso de TB extrapulmonar con una presentación atípica en forma de absceso inguinal. Este caso representa un desafío importante para el personal de salud tanto para el diagnóstico como para el manejo de sus complicaciones.



PRESENTACIóN DEL CASO

Masculino de 53 años acude a la consulta de cirugía por presentar una masa en la región inguinal derecha con probable diagnóstico de hernia inguinal de dos semanas de evolución. El paciente tenía antecedente de diabetes tipo 2 (DM2) de larga evolución, en tratamiento con hipoglucemiantes orales (glibenclamida/metformina 2.5 mg y 500 mg, dos veces al día), una cirugía por enfermedad diverticular complicada donde se realizó una colostomía y una cirugía de reconexión intestinal, sin conocimiento de antecedentes de enfermedades infecciosas; niega fiebre, tos o mal estado general.

A la exploración, el paciente estaba afebril, con una peristalsis normal, una masa fluctuante eritematosa y con dolor en la región inguinal derecha. En los laboratorios se observó glucosa de 230 mg/dl, creatinina 0.9 mg/dl, hemoglobina 14.3 g/dl, hematocrito 36%, leucocitosis de 18,000/mm3 y plaquetas de 450,000/mm3. Con los hallazgos se sospecha de un absceso de la región inguinal y se realiza una tomografía abdominopélvica (TC), en la cual se corrobora que la masa correspondía a un absceso iliaco derecho con extensión hacia el ligamento inguinal ipsilateral, además se observa que el lado izquierdo tiene un absceso perirrenal, afección del psoas y periné ipsilateral (Figura 1).

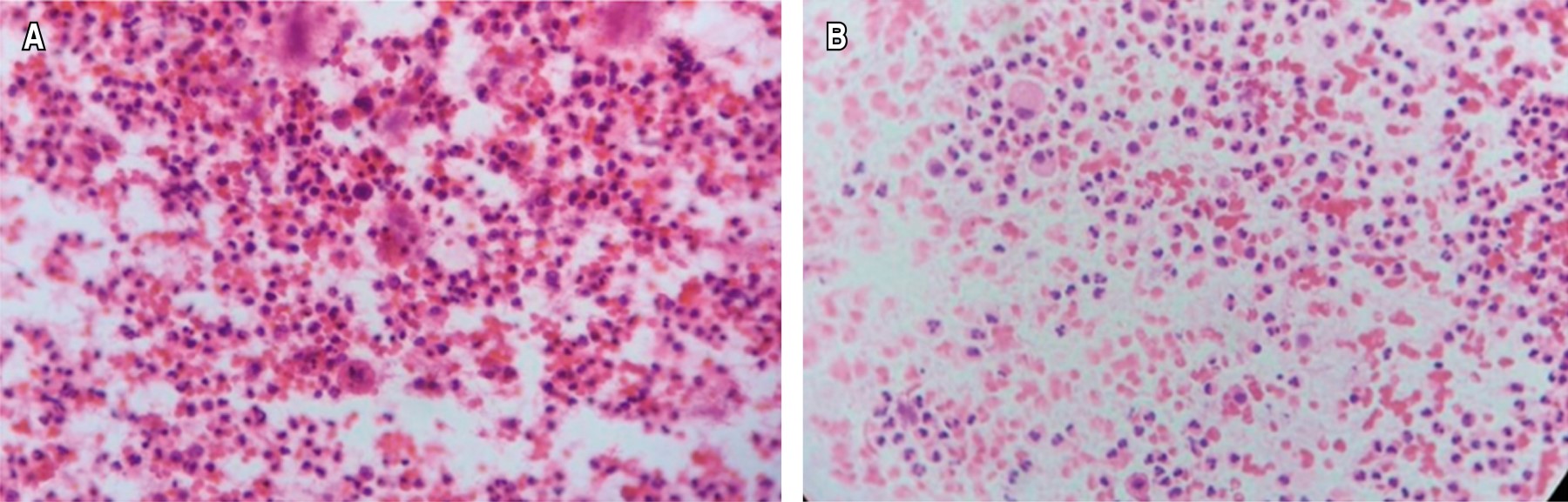
Con los diagnósticos establecidos, se realizó un drenaje de la región inguinal derecha ampliada (incisión tipo Gibson), del que se obtiene material purulento café-amarillento de primera instancia y material caseoso bien formado posteriormente (durante el mismo drenaje), se drena la totalidad de la colección que además se extendía hacia la región retroperitoneal en la zona 3. Se irriga la herida con solución salina, se cierra la herida con poliglecaprone 25 calibre 1-0 y se deja un drenaje tipo Jackson-Pratt. Se envía este material a citología (hematoxilina y eosina [HyE]) que reporta abundantes detritus y escasas colonias bacterianas inespecíficas (Figura 2), por lo que se realiza tinción de Ziehl-Neelsen (ZN) que muestra la presencia de bacilos ácido-alcohol resistentes (Figura 3), mientras que el cultivo definitivo confirmó el aislamiento de Mycobacterium tuberculosis.

Después del drenaje se le administró al paciente antibiótico, terapia empírica con ceftriaxona (1 g IV cada 12 horas) y metronidazol (500 mg IV cada ocho horas), fue egresado por mejoría al cuarto día postquirúrgico y enviado a infectología, donde se le administró tratamiento acortado estrictamente supervisado (TAES). El paciente muestra mejoría y periodos de distensión y dolor abdominal leve durante su evolución. Actualmente el paciente terminó el TAES (a un año de su drenaje) con mejoría clínica evidente, sin salida de material purulento por la herida y sin colecciones en el retroperitoneo.



DISCUSIóN

La TB pulmonar y extrapulmonar tiene una dependencia importante para su desarrollo con algunas condiciones como estado socioeconómico bajo, inmunosupresión (VIH-SIDA, DM2), alcoholismo y drogadicción.6 Se presenta el caso de un paciente con historia de inmunosupresión secundaria a DM2. Lo anterior ha demostrado ser un factor de riesgo independiente del desarrollo de TB resistente.7

La TB extrapulmonar es una entidad subvalorada y a menudo de diagnóstico complejo, debido a que no existen auxiliares confirmatorios rápidos y efectivos para esta entidad. Cuando la TB extrapulmonar se sospecha, es porque el cuadro clínico es florido y en ocasiones con complicaciones que podrían tener mortalidad. Cuando se enfrenta una TB en la región peritoneal y/o retroperitoneal, la obtención de una muestra (punción, cirugía abierta o por laparoscopia) para el análisis por patología y el esclarecimiento del diagnóstico mediante la tinción de Ziehl-Neelsen, cultivo o reacción en cadena de polimerasa (RCP) conducirán al diagnóstico.6-8 En el caso que se presenta, el examen con HyE de las secciones de tejido mostró una inflamación granulomatosa extensa con necrosis focal, mientras que la tinción ZN reveló organismos compatibles con micobacterias.

Los abscesos por tuberculosis han sido descritos como abscesos "fríos" debido a que no cuentan con un proceso inflamatorio "clásico", ya que tienen un metabolismo glucogénico menor.9,10 Se pueden presentar en cualquier lugar donde existan ganglios linfáticos; sin embargo, las localizaciones cervical, mediastínica e inguinal son las más reportadas.11 Los casos de abscesos inguinales por TB se han descrito como abscesos aislados originados por afecciones ganglionares; sin embargo, en el presente caso, el absceso inguinal realmente era un medio para la salida de una colección retroperitoneal que drenó hasta la región inguinal derecha.9,12

Los abscesos provenientes de la región lumbar siguen la vaina del psoas por el retroperitoneo hasta la fosa iliaca que pueden rellenar con líquido y material purulento coleccionándose en el triángulo de Scarpa y el ligamento inguinal,13 como lo mostró este paciente. Un absceso del psoas puede originarse por la cercanía con los órganos retroperitoneales que pueden estar afectados por la TB, y puede causar múltiples complicaciones debido a la facilidad para diseminación generalizada originada por su vasculatura, este absceso del psoas puede tener un origen óseo.12,14 En el caso presentado no se pudo corroborar el origen del absceso.

La tomografía es el estándar de oro para el diagnóstico de los abscesos retroperitoneales, a pesar de que se requiere aislamiento microbiológico y la visualización del microorganismo para hacer el diagnóstico de certeza en el caso de TB. El PET-Scan es una herramienta que diferencia las masas activas (neoplasias) de los abscesos por TB, al menos en un par de casos publicados y podría funcionar en lugares donde se cuente con el recurso tecnológico.10

Si no se tiene un cuadro pulmonar inicial, las formas extrapulmonares son de diagnóstico complejo (ganglios linfáticos, sistema genitourinario y osteoarticular).5 La presentación clínica inespecífica y la evolución atípica de este paciente que desarrolló un absceso inguinal secundario a TB extrapulmonar, lleva a pensar que ante un desafío diagnóstico como éste hay que sospechar de este padecimiento como una posibilidad diagnóstica e iniciar el ciclo de TAES lo antes posible para evitar el menor riesgo de complicaciones que generen una evolución desfavorable para el paciente.



CONCLUSIóN

Es importante conocer todos los auxiliares diagnósticos al alcance que ayuden a afinar el abordaje de un padecimiento complejo e inusual, el cual debe siempre considerarse en poblaciones donde la incidencia de esta enfermedad es alta. Este caso representa la dificultad diagnóstica de este padecimiento y expone la problemática de los pacientes sin diagnóstico, quienes tienen que pasar por un trayecto largo y tortuoso hasta llegar al tratamiento adecuado.


REFERENCIAS (EN ESTE ARTÍCULO)

  1. Paz-Ayar N, Mejía-Rodríguez I, García-Velasco L, Alcalá-Martínez E, Martínez-Vivar JC, Niebla-Fuentes M. Determinantes económicos de la incidencia de tuberculosis en México. Rev Sanid Mil. 2018; 72: 295-299.

  2. Bello-López JM, León-García G, Rojas-Bernabé A, Fernández-Sánchez V, García-Hernández O, Mancilla Rámirez J, et al. Morbidity trends and risk of tuberculosis: Mexico 2007-2017. Can Respir J. 2019; 2019: 8295261.

  3. Ramírez-Lapausa M, Menéndez-Saldaña A, Noguerado-Asensio A. Tuberculosis extrapulmonar, una revisión. Rev Esp Sanid Penit. 2015; 17: 3-11.

  4. Solovic I, Jonsson J, Korzeniewska-Kosela M, Chiotan DI, Pace-Asciak A, Slump E, et al. Challenges in diagnosing extrapulmonary tuberculosis in the European Union, 2011. Euro Surveill. 2013; 18: 20432.

  5. Fanlo P, Tiberio G. Tuberculosis extrapulmonar. Anales Sis San Navarra. 2007; 30: 143-162.

  6. Suárez-Grau J, Chaves-Rubio C, García Moreno, J, et al. Presentación atípica de tuberculosis peritoneal. Caso clínico diagnosticado por laparoscopia. Rev Esp Enf Digest. 2007; 99: 725-728.

  7. Flores-Treviño S, Rodríguez-Noriega E, Garza-González E, et al. Clinical predictors of drug-resistant tuberculosis in Mexico. PLoS One. 2019; 14: e0220946.

  8. Gómez-Piña JJ. Tuberculosis peritoneal. Med Int Méx. 2018; 34: 490-496.

  9. Alvite Canosa M, González López R, Montejo Ares I, Arija Val F. Absceso tuberculoso frío simulando una hernia inguinal incarcerada. Rev Esp Geriatr Gerontol. 2011; 46: 281-285.

  10. Yago Y, Yukihiro M, Kuroki H, Katsuragawa Y, Kubota K. Cold tuberculous abscess identified by FDG-PET. Ann Nucl Med. 2005; 19: 515-518.

  11. Sumathi S. Diagnostic dilemma of an isolated inguinal clinical cold abscess? Suppurative? EPTB? NTM infection- a rare and interesting case. Indian J Tuberc. 2020; 67: 349-352.

  12. Ballester Cantón G, Guerrero Laleona C, Padilla Ruiz S, Colás Oros C, Zapater Montserrat M. Tumoración abscesificada en región inguinal izquierda. An Pediatr (Barc). 2007; 67: 181-182.

  13. Bustamante-Sarabia J, Nuñez-Camacho JC, Juárez-Rabadán S, Castro-Campos AA, Zúñiga-Andrade R, Arellano CL. El absceso frío tuberculoso. ¿Entidad olvidada? Consideraciones a propósito de un caso de autopsia. Rev Gastroenterol Mex. 2007; 72: 47-51.

  14. Hurtado Caballero E, Marcader Cidoncha E, Ruiz de la Hermosa A, Amunategui Prats I, Maldonado Valdiviezo P, Peregrín A. Absceso retroperitoneal secundario a espondilodiscitis tuberculosa simulando una hernia inguinal incarcerada. Acta Gastro Latinoam. 2015; 45: 316-319.



AFILIACIONES

1 Estudiante de séptimo semestre del programa de licenciatura en Médico Cirujano. Universidad Autónoma de Ciudad Juárez. México.

2 Programa de postgrado. Residente de Cirugía General y del Aparato Digestivo, Hospital General de Zona No. 35, Instituto Mexicano del Seguro Social. Universidad Autónoma de Ciudad Juárez. México.

3 Programa de postgrado. Cirujano General y Endoscopia Gastrointestinal, Hospital General de Zona No. 35, Instituto Mexicano del Seguro Social. Universidad Autónoma de Ciudad Juárez. México.



Protección de personas y animales: los autores declaran que no se han realizado experimentos en seres humanos ni en animales.

Confidencialidad de los datos: los autores declaran que han seguido los protocolos de su centro de trabajo sobre la publicación de datos de paciente.

Financiamiento: no se obtuvo financiamiento de ninguna institución para la realización de este trabajo.

Conflicto de intereses: los autores declaran que no tienen conflicto de intereses.



CORRESPONDENCIA

Juan de Dios Díaz-Rosales. E-mail: jdedios.diaz@uacj.mx




Recibido: 05/02/2022. Aceptado: 23/12/2022.

Figura 1
Figura 2
Figura 3

2020     |     www.medigraphic.com

Mi perfil

C?MO CITAR (Vancouver)

Cir Gen. 2022;44

ARTíCULOS SIMILARES

CARGANDO ...