medigraphic.com
SPANISH

Cirujano General

ISSN 2594-1518 (Electronic)
ISSN 1405-0099 (Print)
  • Contents
  • View Archive
  • Information
    • General Information        
    • Directory
  • Publish
    • Instructions for authors        
    • Send manuscript
  • medigraphic.com
    • Home
    • Journals index            
    • Register / Login
  • Mi perfil

2022, Number 3

<< Back Next >>

Cir Gen 2022; 44 (3)

Inguinal abscess as a form of extrapulmonary tuberculosis

Deras-Ramos, Dante1; Cantú-Flores, Marco A2; Hernández-Avitia, Andrés2; Díaz-Rosales, Juan de Dios3
Full text How to cite this article 10.35366/109775

DOI

DOI: 10.35366/109775
URL: https://dx.doi.org/10.35366/109775

Language: English/Spanish [Versi?n en espa?ol]
References: 14
Page: 141-144
PDF size: 234.21 Kb.


Key words:

abscess, inguinal canal, drainage, groin, suppuration, tuberculosis.

ABSTRACT

Extrapulmonary tuberculosis is a complex pathological entity that occurs in up to 25% of cases with a primary pulmonary focus. We present the case of a 53-year-old male patient who came to the surgery department with an inguinal abscess, whose drainage revealed a retroperitoneal collection of mycobacterial origin. Recognizing these cases and suspecting the diagnosis is a pending task in the region of the Americas, where it continues to be a public health problem. This problem is coupled with the lack of applicable stablished auxiliary protocols due to the wide pathogenic variety of the extrapulmonary presentation of tuberculosis, so it is of vital importance to expand the information about this pathological entity.



INTRODUCTION

Tuberculosis (TB) is a public health problem in Mexico (related to conditions in the country) and one of the leading causes of death from a single infectious agent.1 The states of Guerrero, Tabasco, and Veracruz (south of the country) have more cases of tuberculosis, while the state of Chihuahua (north) is in 13th place in registered cases of pulmonary TB.2

Evidence shows that up to 25% of TB cases have extrapulmonary involvement.3 The extrapulmonary manifestation can affect virtually all organs and has various clinical manifestations that can generate difficulty and delay diagnosis.4

Several mechanisms have been proposed by which TB spreads to other regions; it is accepted that a primary pulmonary focus can produce contiguous spread by lymphatic or hematogenous routes, the latter being the most likely cause of extrapulmonary infection.5

This article aims to present a case of extrapulmonary TB with an atypical presentation in the form of an inguinal abscess. This case represents a fundamental challenge for healthcare personnel to diagnose and manage complications.



PRESENTATION OF THE CASE

A 53-year-old male patient came to the surgery department with a mass in the right inguinal region with a probable diagnosis of an inguinal hernia of two weeks of evolution. The patient had a history of type 2 diabetes (DM2) of a long evolution, in treatment with oral hypoglycemic agents (glibenclamide/metformin 2.5 mg and 500 mg, twice a day), surgery for a complicated diverticular disease where a colostomy was performed and a bowel reconnection surgery, without knowledge of a history of infectious diseases; he denied fever, cough, or was in poor general condition.

On examination, the patient was afebrile, with normal peristalsis, a fluctuant erythematous mass, and pain in the right inguinal region. Lab tests showed glucose 230 mg/dl, creatinine 0.9 mg/dl, hemoglobin 14.3 g/dl, hematocrit 36%, leukocytosis 18,000/mm3, and platelets 450,000/mm3. With these findings, an abscess of the inguinal region was suspected. An abdominopelvic tomography (CT) scan was performed, in which it was corroborated that the mass corresponded to a right iliac abscess with extension to the ipsilateral inguinal ligament. In addition, it was observed that the left side had a perirenal abscess, involvement of the psoas, and ipsilateral perineum (Figure 1).

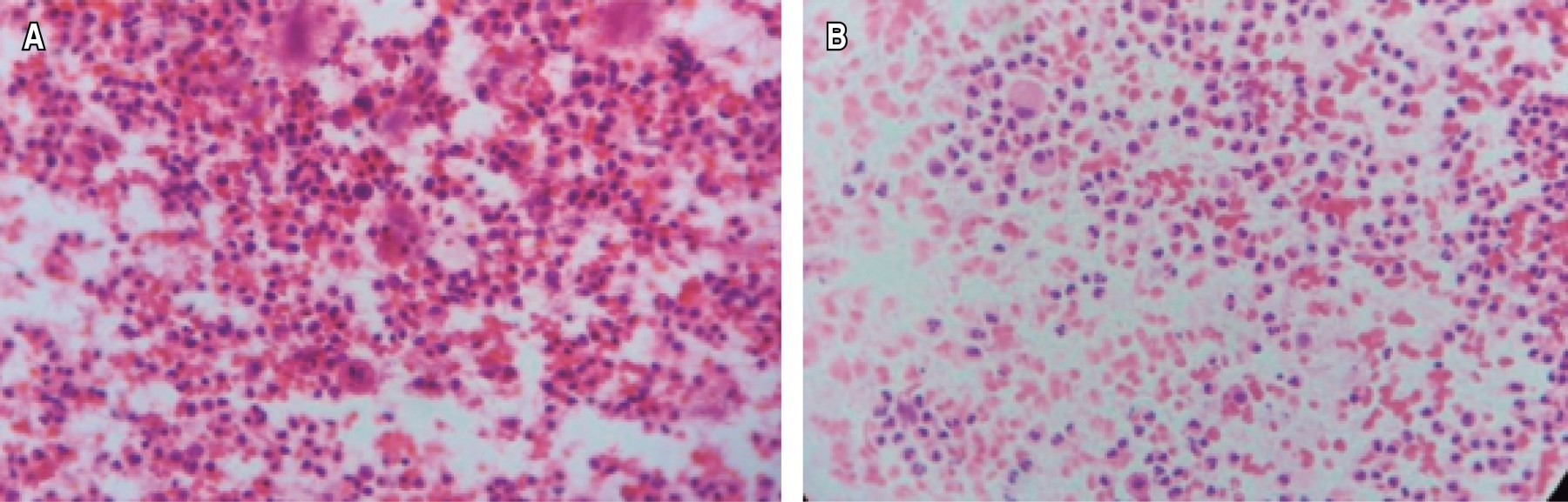
With the diagnoses established, drainage of the enlarged right inguinal region was performed (Gibson type incision), from which purulent yellowish-brown material was obtained in the first instance and well-formed caseous material later (during the same drainage). The entire collection was drained; it extended towards the retroperitoneal region in zone 3. The wound was irrigated with saline solution, closed with 1-0 caliber polyglecaprone 25, and a Jackson-Pratt drain was left. This material was sent for cytology (hematoxylin and eosin [H&E]), which reported abundant detritus and few non-specific bacterial colonies (Figure 2), so Ziehl-Neelsen (ZN) staining was performed, showing the presence of acid-fast bacilli (Figure 3). At the same time, the culture confirmed the isolation of Mycobacterium tuberculosis.

After drainage, the patient was administered antibiotics empirically with ceftriaxone (1 g IV every 12 hours) and metronidazole (500 mg IV every eight hours). He was discharged due to improvement on the fourth postoperative day and sent to the infectious disease service, where he was administered strictly supervised shortened treatment (SSST). The patient showed improvement and periods of distension and mild abdominal pain during evolution. Currently, the patient completed the SSST (one year after his drainage) with evident clinical improvement, no purulent material coming out of the wound, and no collections in the retroperitoneum.



DISCUSSION

Pulmonary and extrapulmonary TB has an essential dependence on its development with some conditions such as low socioeconomic status, immunosuppression (HIV-AIDS, T2D), alcoholism, and drug addiction.6 We present the case of a patient with a history of immunosuppression secondary to T2D. This situation is an independent risk factor for the development of resistant TB.7

Extrapulmonary TB is an underestimated and often complex diagnostic entity because there are no fast and effective confirmatory tests. When extrapulmonary TB is suspected, it is because the clinical picture is florid and sometimes with complications that could have mortality. When faced with TB in the peritoneal or retroperitoneal region, obtaining a specimen (puncture, open surgery, or laparoscopy) for pathology analysis and clarifying the diagnosis by Ziehl-Neelsen staining, culture, or polymerase chain reaction (PCR) will lead to the diagnosis.6-8 In the case presented, H&E examination of tissue sections showed extensive granulomatous inflammation with focal necrosis, while ZN staining revealed organisms compatible with mycobacteria.

Tuberculosis abscesses have been described as "cold" abscesses because they do not have a "classic" inflammatory process since they have a lower glycogenic metabolism.9,10 They can occur anywhere there are lymph nodes; however, cervical, mediastinal, and inguinal locations are the most reported.11 Cases of inguinal abscesses due to TB have been described as isolated abscesses originating from lymph node involvement; however, in the present case, the inguinal abscess was a means for the outflow of a retroperitoneal collection that drained to the right inguinal region.9,12

Abscesses coming from the lumbar region follow the psoas sheath through the retroperitoneum to the iliac fossa, which can fill with fluid and purulent material collecting in Scarpa's triangle and the inguinal ligament,13 as shown in this patient. A psoas abscess can originate due to its proximity to retroperitoneal organs that may be affected by TB and can cause multiple complications due to the ease of generalized dissemination originated by its vasculature; this psoas abscess can have a bony origin.12,14 In the case presented, the origin of the abscess could not be corroborated.

A computerized tomography scan is the gold standard for diagnosing retroperitoneal abscesses. However, microbiological isolation and visualization of the microorganism are required to diagnose certainty in the case of TB. PET-Scan is a tool that differentiates active masses (neoplasms) from TB abscesses, at least in a couple of published cases, and could work in places where the technological resource is available.10

Without an initial pulmonary picture, extrapulmonary forms are of complex diagnosis (lymph nodes, genitourinary, and osteoarticular system).5 The non-specific clinical presentation and the atypical evolution of this patient, who developed an inguinal abscess secondary to extrapulmonary TB, leads us to think that when faced with a diagnostic challenge such as this one, this condition should be suspected as a diagnostic possibility and the SSST cycle should be started as soon as possible to avoid the risk of complications that could generate an unfavorable evolution for the patient.



CONCLUSION

It is essential to know all the diagnostic aids available to help refine the approach to a complex and unusual condition, which should always be considered in populations with a high incidence of this disease. This case represents the diagnostic difficulty of this condition. It exposes the problem of undiagnosed patients, who must go through a long and tortuous path until they reach the appropriate treatment.


REFERENCES

  1. Paz-Ayar N, Mejía-Rodríguez I, García-Velasco L, Alcalá-Martínez E, Martínez-Vivar JC, Niebla-Fuentes M. Determinantes económicos de la incidencia de tuberculosis en México. Rev Sanid Mil. 2018; 72: 295-299.

  2. Bello-López JM, León-García G, Rojas-Bernabé A, Fernández-Sánchez V, García-Hernández O, Mancilla Rámirez J, et al. Morbidity trends and risk of tuberculosis: Mexico 2007-2017. Can Respir J. 2019; 2019: 8295261.

  3. Ramírez-Lapausa M, Menéndez-Saldaña A, Noguerado-Asensio A. Tuberculosis extrapulmonar, una revisión. Rev Esp Sanid Penit. 2015; 17: 3-11.

  4. Solovic I, Jonsson J, Korzeniewska-Kosela M, Chiotan DI, Pace-Asciak A, Slump E, et al. Challenges in diagnosing extrapulmonary tuberculosis in the European Union, 2011. Euro Surveill. 2013; 18: 20432.

  5. Fanlo P, Tiberio G. Tuberculosis extrapulmonar. Anales Sis San Navarra. 2007; 30: 143-162.

  6. Suárez-Grau J, Chaves-Rubio C, García Moreno, J, et al. Presentación atípica de tuberculosis peritoneal. Caso clínico diagnosticado por laparoscopia. Rev Esp Enf Digest. 2007; 99: 725-728.

  7. Flores-Treviño S, Rodríguez-Noriega E, Garza-González E, et al. Clinical predictors of drug-resistant tuberculosis in Mexico. PLoS One. 2019; 14: e0220946.

  8. Gómez-Piña JJ. Tuberculosis peritoneal. Med Int Méx. 2018; 34: 490-496.

  9. Alvite Canosa M, González López R, Montejo Ares I, Arija Val F. Absceso tuberculoso frío simulando una hernia inguinal incarcerada. Rev Esp Geriatr Gerontol. 2011; 46: 281-285.

  10. Yago Y, Yukihiro M, Kuroki H, Katsuragawa Y, Kubota K. Cold tuberculous abscess identified by FDG-PET. Ann Nucl Med. 2005; 19: 515-518.

  11. Sumathi S. Diagnostic dilemma of an isolated inguinal clinical cold abscess? Suppurative? EPTB? NTM infection- a rare and interesting case. Indian J Tuberc. 2020; 67: 349-352.

  12. Ballester Cantón G, Guerrero Laleona C, Padilla Ruiz S, Colás Oros C, Zapater Montserrat M. Tumoración abscesificada en región inguinal izquierda. An Pediatr (Barc). 2007; 67: 181-182.

  13. Bustamante-Sarabia J, Nuñez-Camacho JC, Juárez-Rabadán S, Castro-Campos AA, Zúñiga-Andrade R, Arellano CL. El absceso frío tuberculoso. ¿Entidad olvidada? Consideraciones a propósito de un caso de autopsia. Rev Gastroenterol Mex. 2007; 72: 47-51.

  14. Hurtado Caballero E, Marcader Cidoncha E, Ruiz de la Hermosa A, Amunategui Prats I, Maldonado Valdiviezo P, Peregrín A. Absceso retroperitoneal secundario a espondilodiscitis tuberculosa simulando una hernia inguinal incarcerada. Acta Gastro Latinoam. 2015; 45: 316-319.



AFFILIATIONS

1 Seventh-semester student of the undergraduate program in Medical Surgeon. Autonomous University of Ciudad Juarez. Mexico.

2 Postgraduate Program. Resident of General and Digestive System Surgery, Hospital General de Zona No. 35, Instituto Mexicano del Seguro Social. Autonomous University of Ciudad Juarez. Mexico.

3 Postgraduate Program. General Surgeon and Gastrointestinal Endoscopy, Hospital General de Zona No. 35, Instituto Mexicano del Seguro Social. Autonomous University of Ciudad Juarez. Mexico.



Protection of humans and animals: the authors declare that no experiments have been performed on humans or animals.

Data confidentiality: the authors declare that they have followed their center\'s protocols for the publication of patient data.

Funding: no funding was obtained from any institution for this work.

Disclosure: the authors declare no conflict of interest.



CORRESPONDENCE

Juan de Dios Díaz-Rosales. E-mail: jdedios.diaz@uacj.mx




Received: 02/05/2022. Accepted: 12/23/2022

Figure 1
Figure 2
Figure 3

2020     |     www.medigraphic.com

Mi perfil

C?MO CITAR (Vancouver)

Cir Gen. 2022;44