medigraphic.com
ENGLISH

Cirujano General

ISSN 2594-1518 (Digital)
ISSN 1405-0099 (Impreso)
  • Mostrar índice
  • Números disponibles
  • Información
    • Información general        
    • Directorio
  • Publicar
    • Instrucciones para autores        
    • Envío de artículos
  • medigraphic.com
    • Inicio
    • Índice de revistas            
    • Registro / Acceso
  • Mi perfil

2022, Número 3

<< Anterior

Cir Gen 2022; 44 (3)


Uso del bloqueo del plano transverso del abdomen para drenaje de absceso intraabdominal: reporte de caso

Gutiérrez-Ramírez, Alan1; Bizueto-Monroy, José Luis2; Cuéllar Valencia, Said1
Texto completo Cómo citar este artículo 10.35366/109776

DOI

DOI: 10.35366/109776
URL: https://dx.doi.org/10.35366/109776
Artículos similares

Idioma: Español/Inglés [English version]
Referencias bibliográficas: 11
Paginas: 145-149
Archivo PDF: 220.60 Kb.


PALABRAS CLAVE

bloqueo, plano transverso abdominal, cirugía abdominal.

RESUMEN

El bloqueo del plano transverso del abdomen (TAPB, por sus siglas en inglés) es una técnica de anestesia local que implica la infiltración del plano fascial localizado entre los músculos transverso y oblicuo interno del abdomen e involucra los segmentos nerviosos de T6 a L1. Las primeras aplicaciones en el contexto quirúrgico se hicieron en la primera década del siglo, descritas durante cesáreas y cirugía colorrectal como adyuvante en el control del dolor postquirúrgico, aunque se han descrito casos en los que se usó como terapia analgésica única. Se presenta el caso de paciente femenino de 40 años con antecedente de estenosis valvular aórtica tratada con prótesis valvular y antitrombóticos, quien cursa cuarta gesta complicada con preeclampsia, requiriendo resolución quirúrgica del embarazo. Su periodo postquirúrgico se complica con absceso intraabdominal, ameritando tratamiento quirúrgico. No obstante, el estado clínico de la paciente contraindicó el uso del bloqueo neuroaxial como anestésico, por lo que se optó por realizar un TAPB bilateral y sedación para luego ser intervenida. Presentó buena evolución postquirúrgica sin nuevas complicaciones. El TAPB es una alternativa útil en pacientes que necesitan cirugía abdominal y en quienes se considera riesgoso ser sometidos a anestesia general, epidural o espinal por la posibilidad de agravar sus condiciones.



INTRODUCCIóN

El bloqueo del plano transverso del abdomen (TAPB, por sus siglas en inglés) descrito por primera vez en 2001 por el Dr. Rafi1 es una técnica de anestesia local que implica la infiltración del plano fascial superficial al músculo transverso del abdomen y profundo al músculo oblicuo interno, cuyo fundamento es el bloqueo periférico de los segmentos T6 a L1 que discurren a través de éste.2,3 Para dicha finalidad, se han descrito técnicas basadas en puntos de referencia anatómicos así como guiadas por ultrasonido.

La técnica por referencias anatómicas consiste en delimitar el triángulo lumbar de Petit en cuyo vértice y de forma paralela se introduce la aguja de forma sin apoyo imagenológico con técnica double pop o "pérdida de la resistencia" (pausas producidas por el paso de la aguja por las fascias del oblicuo externo e interno).3,4

Con la introducción de las tecnologías de imagen como apoyo para la aplicación de anestésicos locales se han desarrollado distintos abordajes ultrasonoguiados: el abordaje lateral, el subcostal oblicuo y los posteriores. El abordaje lateral se realiza con la inyección del anestésico local en el plano entre el oblicuo interno y el transverso del abdomen en la línea medio axilar entre el margen costal y la cresta iliaca; su desventaja, radica en un bloqueo cefálico más deficiente respecto a la técnica por medio de referencias anatómicas. El abordaje subcostal oblicuo se desarrolló en busca de mejorar el bloqueo cefálico, otorga analgesia de los segmentos T6-T9 y se realiza insertando la aguja cerca de la línea media y apéndice xifoides, avanzando hacia inferolateral en sentido paralelo al reborde costal con la inyección del anestésico entre el transverso del abdomen y el recto anterior, o de forma alternativa entre el músculo recto y la hoja posterior de la vaina del recto. Cuando se realiza esta técnica en conjunto con el abordaje lateral, se les denomina TAPB dual.3,5 En cuanto a los abordajes posteriores, se coloca el transductor de la misma manera que el abordaje lateral y se proyecta posteriormente hasta la zona del cuadrado lumbar, inyectando anestésico en el plano fascial entre la aponeurosis del transverso y la porción más anterolateral del cuadrado lumbar. Las variantes de esta técnica implican la inyección del cuadrado lumbar o del plano más profundo a éste.2-4

La literatura reporta diferente posología, medicamentos y vías de administración; sin embargo, aún no existe consenso en relación a cuál medicamento y dosis es el más efectivo, aunque hay evidencia de que el abordaje posterior es la mejor técnica en cuanto a la reducción del consumo de opioides, menores puntajes en escalas de dolor en reposo, así como dinámica y mayor duración del efecto anestésico.5

Posteriormente, se propuso una variante transquirúrgica de esta técnica que otorga una buena analgesia, su principal uso es en pacientes que no son candidatos al bloqueo raquimedular. Las primeras aplicaciones en el contexto quirúrgico datan de la primera década del siglo y fueron descritas durante cesáreas6 y cirugía colorrectal.7 Su ventaja radica en eliminar los riesgos de punción intraperitoneal o de vísceras abdominales.

Las complicaciones de los TAPB son poco frecuentes, y se relacionan sobre todo con el aumento de los niveles plasmáticos del anestésico utilizado que genera síntomas de toxicidad; no obstante, también existen lesiones viscerales reportadas en la literatura, principalmente laceraciones hepáticas durante técnicas por referencia anatómica.5



PRESENTACIóN DEL CASO

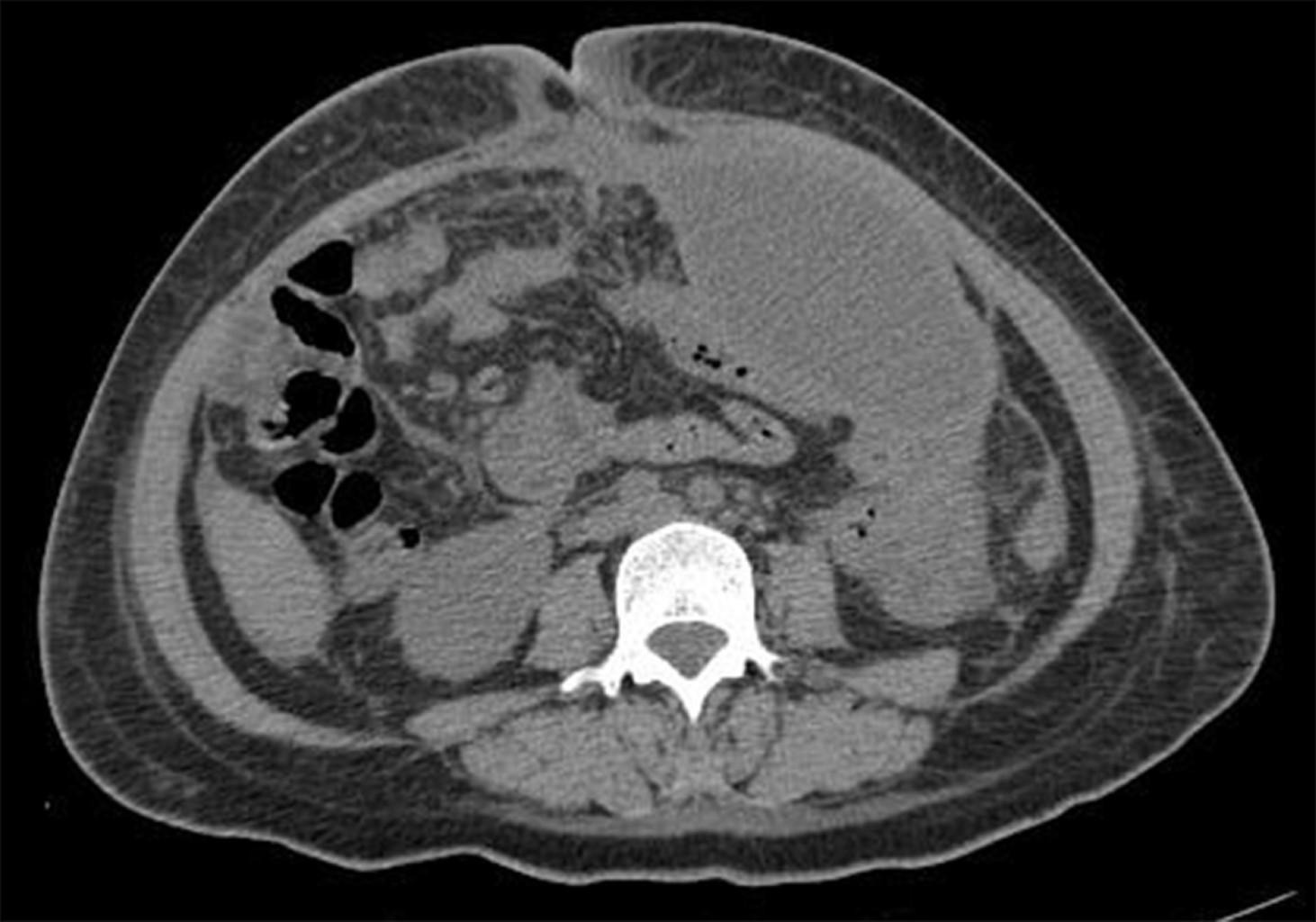
Paciente femenino de 40 años de edad, gesta cuatro, partos tres, con antecedente de estenosis valvular aórtica desde 2017 con manejo quirúrgico a base de colocación de prótesis valvular y acenocumarina hasta el diagnóstico de su último embarazo, durante el cual se suspende anticoagulante oral e inicia enoxaparina. Inicia padecimiento actual al ingresar al servicio de obstetricia con reporte de edad gestacional de 28.5 semanas de gestación (SDG) por última menstruación y de 29.4 por fetometría. Se diagnostica preeclampsia con datos de severidad, por lo que se decide realizar cesárea tipo Kerr y oclusión tubaria bilateral con técnica de Kroener, reportando 350 cm3 de sangrado, obteniendo producto único vivo, masculino, 31.5 semanas por Capurro, Apgar 7/8, con labio y paladar hendido. Egresa al quinto día requiriendo transfusión de hemoderivados en su postquirúrgico inmediato. Veintiún días después reingresa por sangrado abundante y fétido a través del abordaje quirúrgico, se hace curación y se evidencia defecto de pared abdominal, por lo cual se decide realizar ultrasonido, con hallazgos de defecto de pared anterior del abdomen en porción cefálica de la herida a través del cual protruyen asas intestinales (Figuras 1 y 2), en tomografía de abdomen se identifica colección heterogénea no medible en tercio medio y caudal de herida a nivel del plano subcutáneo, así como colección de pared gruesa en cavidad pélvica y fosa iliaca izquierda (Figura 3).

Además, se realiza ecocardiograma transesofágico, en el que se demuestra adecuada función de prótesis valvular aórtica, insuficiencia mitral y tricuspídea moderadas, con fracción de eyección del ventrículo izquierdo conservada.

En estudios de laboratorio se reporta hemoglobina de 9.1 g/dl, hematocrito de 32.6%, trombocitosis de 492,000, leucocitosis de 18,340 con neutrofilia de 92%, tiempo de protrombina de 30 s e INR de 2.53. Se determina necesidad de intervención quirúrgica urgente; sin embargo, al no lograr Índice Internacional Normalizado (INR) meta y ante el potencial deterioro clínico cardiovascular de la paciente, se decide intervención inmediata con apoyo del servicio de anestesiología la aplicación de TAPB ultrasonoguiado por abordaje lateral de forma bilateral infiltrando 75 mg de ropivacaína + 50 mg de bupivacaina aforados a 20 cm3 con solución salina al 0.9% en cada hemiabdomen, además de administrar sedación con midazolam y fentanilo, posterior a lo cual, se retira el material de sutura de cirugía previa con hallazgo de 200 cm3 aproximadamente de material hematopurulento proveniente de tejido subcutáneo con extensión hacia lado izquierdo del mesogastrio, dehiscencia aponeurótica en porción cefálica de la herida con retracción leve de los bordes. Se realiza disección por planos hasta cavidad y se evidencia absceso de hueco pélvico bien delimitado de 50 cm3 aproximadamente; se efectúa aseo de cavidad con 1,000 cm3 de soluciones estériles y finalmente cierre de pared aponeurótica, así como piel. Por último, se coloca sistema de succión asistido por vacío.



RESULTADOS

Cursa postquirúrgico con tendencia a la mejoría, con adecuado control del dolor referenciado por escala análoga del dolor de 2/10 en reposo. Se retira sistema de succión después del cuarto día al no evidenciarse clínicamente presencia de colecciones. Permanece hospitalizada y en vigilancia hasta realizar traslape de antitrombóticos parenterales por orales con egreso sin complicaciones. Acude a cita de control y retiro de puntos una semana posterior al egreso, encontrándola sin evidencia de dehiscencia a ningún nivel de la pared, sin hematomas y con cicatrización de heridas acorde a lo esperado.



DISCUSIóN

Desde su primera descripción a inicios del siglo XXI, el bloqueo del plano transverso del abdomen ha mostrado su efectividad en el manejo del dolor postoperatorio como parte de una terapia multimodal. A la luz de que una adecuada analgesia tiene los beneficios de reducir la respuesta metabólica al trauma, la morbilidad postoperatoria y de acelerar la recuperación postquirúrgica. Debe ser uno de los temas de importancia para el cirujano. Pese a que su descripción inicial y uso fuese casi exclusivamente brindado por el servicio de anestesiología, los bloqueos del plano transverso pueden ser utilizados también por facultativos quirúrgicos.3,5-8 Si bien los usos transquirúrgicos reportados y principalmente estudiados han sido durante cirugía electiva, el uso del TAPB cobra especial importancia en los pacientes admitidos a unidad de cuidados intensivos después de una cirugía abdominal de urgencia, ya que normalmente tienen mal control del dolor, en gran parte por no ser candidatos para analgesia epidural debido a coagulopatía asociada a sepsis. Existen en la literatura reportes de casos de pacientes postquirúrgicos con peritonitis hospitalizados en unidad de cuidados intensivos, en quienes el uso de TAPB disminuyó su necesidad de opiáceos, mejoró su dolor en reposo y en movimiento (maniobra tusígena) y permitió realizar fisioterapia pulmonar, lo que conllevó a un egreso pronto de dicho servicio.9 Incluso se ha reportado el uso del TAPB como técnica anestésica única en pacientes con abdomen agudo, choque séptico de foco abdominal y necesidad de laparotomía de emergencia calificado con ASA IV, con neumopatía crónica obstructiva y coagulopatía por sepsis, en quienes se prefirió evitar la anestesia general, epidural o espinal. En dicho reporte de caso se administró un TAPB dual bilateral con la inyección de 20 ml de bupivacaina al 0.25%, 20 ml de lidocaína al 1% y 0.2 mg de adrenalina a cada lado de la pared abdominal, lo que permitió la realización sin incidentes ni accidentes de una laparotomía con cierre primario de perforación de íleon y colocación de parche de omento. Además, la paciente se recuperó en el postquirúrgico sin eventualidades y fue egresada dos semanas después.10 Lo anterior evidencia que, como en nuestro caso, los pacientes en un estado clínico inestable con comorbilidades de consideración en quienes se requiere manejo quirúrgico-anestésico emergente en cavidad abdominal, pero que son proclives al deterioro o complicación con maniobras convencionales, el TAPB es una alternativa útil, con menos riesgos en comparación con los abordajes habituales y que, adecuadamente administrado, otorga niveles de analgesia comparables con la anestesia epidural.11



CONCLUSIóN

A pesar de que no existe consenso en cuanto al medicamento ni dosis ponderal ideal para realizarse el TAPB y de que hay carencias en la literatura de estudios con mayor validez científica que apoyen su uso, el TAPB es una alternativa útil en pacientes que ameritan intervención quirúrgica abdominal urgente, en quienes se considera riesgoso ser sometidos a anestesia general, epidural o espinal por la posibilidad de complicaciones que conllevan las mismas.


REFERENCIAS (EN ESTE ARTÍCULO)

  1. Rafi AN. Abdominal field block: a new approach via the lumbar triangle. Anaesthesia. 2001; 56: 1024-1026.

  2. Lissauer J, Mancuso K, Merritt C, Prabhakar A, Kaye AD, Urman RD. Evolution of the transversus abdominis plane block and its role in postoperative analgesia. Best Pract Res Clin Anaesthesiol. 2014; 28: 117-126.

  3. Chin KJ, McDonnell JG, Carvalho B, Sharkey A, Pawa A, Gadsden J. Essentials of our current understanding: abdominal wall blocks. Reg Anesth Pain Med. 2017; 42: 133-183.

  4. Finnerty O, McDonnell JG. Transversus abdominis plane block. Curr Opin Anaesthesiol. 2012; 25: 610-614.

  5. Young MJ, Gorlin AW, Modest VE, Quraishi SA. Clinical implications of the transversus abdominis plane block in adults. Anesthesiol Res Pract. 2012; 2012: 731645.

  6. Owen DJ, Harrod I, Ford J, Luckas M, Gudimetla V. The surgical transversus abdominis plane block--a novel approach for performing an established technique. BJOG. 2011; 118: 24-27.

  7. Bharti N, Kumar P, Bala I, Gupta V. The efficacy of a novel approach to transversus abdominis plane block for postoperative analgesia after colorectal surgery. Anesth Analg. 2011; 112: 1504-1508.

  8. Abdallah FW, Laffey JG, Halpern SH, Brull R. Duration of analgesic effectiveness after the posterior and lateral transversus abdominis plane block techniques for transverse lower abdominal incisions: a meta-analysis. Br J Anaesth. 2013; 111: 721-735.

  9. Niraj G, Kelkar A, Fox AJ. Application of the transversus abdominis plane block in the intensive care unit. Anaesth Intensive Care. 2009; 37: 650-652.

  10. Mishra L, Pani N, Mishra D, Patel N. Bilateral transversus abdominis plane block as a sole anesthetic technique in emergency surgery for perforative peritonitis in a high risk patient. J Anaesthesiol Clin Pharmacol. 2013; 29: 540-542.

  11. Niraj G, Kelkar A, Jeyapalan I, Graff-Baker P, Williams O, Darbar A, et al. Comparison of analgesic efficacy of subcostal transversus abdominis plane blocks with epidural analgesia following upper abdominal surgery. Anaesthesia. 2011; 66: 465-471.



AFILIACIONES

1 Residente de tercer año en cirugía general. Hospital General de Zona No. 3 del Instituto Mexicano del Seguro Social. México.

2 Coordinador de residencia en cirugía general. Hospital General de Zona No. 3 del Instituto Mexicano del Seguro Social. México.



Consideraciones y responsabilidad ética: los autores declaran que siguieron los protocolos de su centro de trabajo sobre la publicación de datos de pacientes, resguardando su derecho a la privacidad mediante la confidencialidad de sus datos.

Financiamiento: no se recibió apoyo financiero para la realización de este trabajo.

Conflicto de intereses: los autores declaran que no existe ningún conflicto de intereses en la realización del trabajo.



CORRESPONDENCIA

Alan Gutiérrez-Ramírez. E-mail: alan.evan.17@gmail.com




Recibido: 27/06/2021. Aceptado: 23/12/2022.

Figura 1
Figura 2
Figura 3

2020     |     www.medigraphic.com

Mi perfil

C?MO CITAR (Vancouver)

Cir Gen. 2022;44

ARTíCULOS SIMILARES

CARGANDO ...