medigraphic.com
SPANISH

Cirujano General

ISSN 2594-1518 (Electronic)
ISSN 1405-0099 (Print)
  • Contents
  • View Archive
  • Information
    • General Information        
    • Directory
  • Publish
    • Instructions for authors        
    • Send manuscript
  • medigraphic.com
    • Home
    • Journals index            
    • Register / Login
  • Mi perfil

2022, Number 3

<< Back

Cir Gen 2022; 44 (3)

Use of transversus abdominis plane block in drainage of intraabdominal abscess: a case report

Gutiérrez-Ramírez, Alan1; Bizueto-Monroy, José Luis2; Cuéllar Valencia, Said1
Full text How to cite this article 10.35366/109776

DOI

DOI: 10.35366/109776
URL: https://dx.doi.org/10.35366/109776

Language: English/Spanish [Versi?n en espa?ol]
References: 11
Page: 145-149
PDF size: 212.98 Kb.


Key words:

block, transverse abdominis plane, abdominal surgery.

ABSTRACT

The transverse abdominis plane block (TAPB) is a local anesthetic technique that involves the infiltration of the fascial plane between the transverse abdominal and the internal oblique muscles, it involves the segments T6 to L1. The first applications in the surgical context were described in the first decade of the century during caesarean sections and colorectal surgery looking for a better control of postoperative pain. Some cases have been described in which it was used as a sole analgesic therapy. We present the case of a 40 year old female with a history of aortic valve stenosis treated with valve prostheses and antithrombotics who had a complicated fourth pregnancy with preeclampsia, requiring surgical resolution. Her post-surgery period got complicated by an intra-abdominal abscess, requiring surgical treatment. Besides, the clinical condition of the patient contraindicated the use of neuraxial block as an anesthetic technique, so it was decided to perform a bilateral TAPB and sedation for surgical resolution. The patient coursed a good postoperative evolution without new complications. TAPB is a useful alternative in patients who require urgent surgical intervention in those who are considered risky to undergo epidural or spinal anesthesia due to the risk of associated complications.



INTRODUCTION

The transverse abdominal plane block (TAPB), first described in 2001 by Dr. Rafi,1 is a local anesthetic technique involving infiltration of the fascial plane superficial to the transverse abdominis muscle and deep to the internal oblique muscle, the basis of which is the peripheral blockade of the T6 to L1 segments running through it.2,3 Techniques based on anatomical landmarks and ultrasound-guided techniques have been described.

The technique by anatomical references consists of delimiting Petit's lumbar triangle in whose vertex and in parallel form, the needle is introduced without imaging support with the double pop technique or "loss of resistance" (pauses produced by the passage of the needle through the fasciae of the external and internal oblique).3,4

With the introduction of imaging technologies to support the application of local anesthetics, different ultrasound-guided approaches have been developed: the lateral approach, the oblique subcostal approach, and the posterior approach. The lateral approach is performed with the injection of the local anesthetic in the plane between the internal oblique and transverse abdominis in the mid-axillary line between the costal margin and the iliac crest; its disadvantage lies in a poorer cephalic block compared to the technique using anatomical references. The oblique subcostal approach was developed to improve the cephalic block, provides analgesia of the T6-T9 segments, and is performed by inserting the needle near the midline and xiphoid appendix, advancing inferolateral parallel to the costal ridge with the injection of the anesthetic between the transversus abdominis and the anterior rectus, or between the rectus muscle and the posterior leaflet of the rectus sheath. When this technique is performed in conjunction with the lateral approach, they are called dual TAPB.3,5 As for the posterior approaches, the transducer is placed in the same manner as the lateral approach and projected posteriorly to the quadratus lumborum area, injecting the anesthetic into the fascial plane between the transverse aponeurosis and the most anterolateral portion of the quadratus lumborum. Variations of this technique involve injecting the quadratus lumborum or the plane deeper.2-4

The literature reports different posology, drugs, and routes of administration; however, there is still no consensus as to which drug and dose is the most effective, although there is evidence that the posterior approach is the best technique in terms of reduced opioid consumption, lower scores on resting pain scales, as well as dynamic and longer duration of the anesthetic effect.5

Subsequently, a trans-surgical variant of this technique was proposed that provides good analgesia. Its primary use is in patients not candidates for the rachi-medullary blockade. The first applications in the surgical context date back to the first decade of the century and were described during cesarean sections6 and colorectal surgery.7 Its advantage lies in eliminating the risks of intraperitoneal or abdominal viscera puncture.

Complications of TAPB are infrequent and are mainly related to the increase in plasma levels of the anesthetic used that generates symptoms of toxicity; however, there are also visceral lesions reported in the literature, mainly liver lacerations during techniques by anatomical reference.5



PRESENTATION OF THE CASE

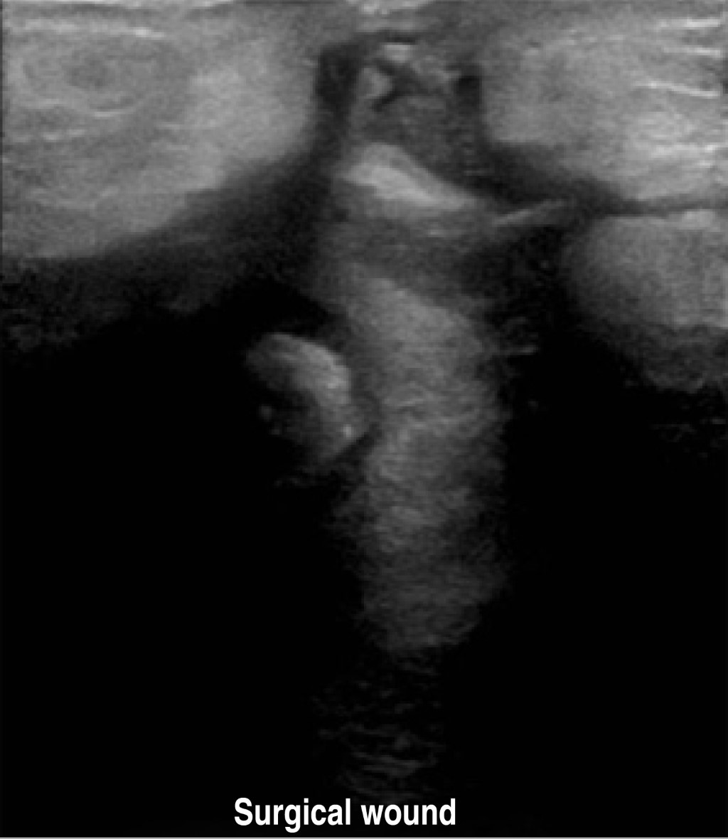
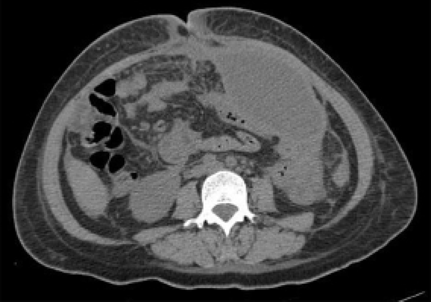
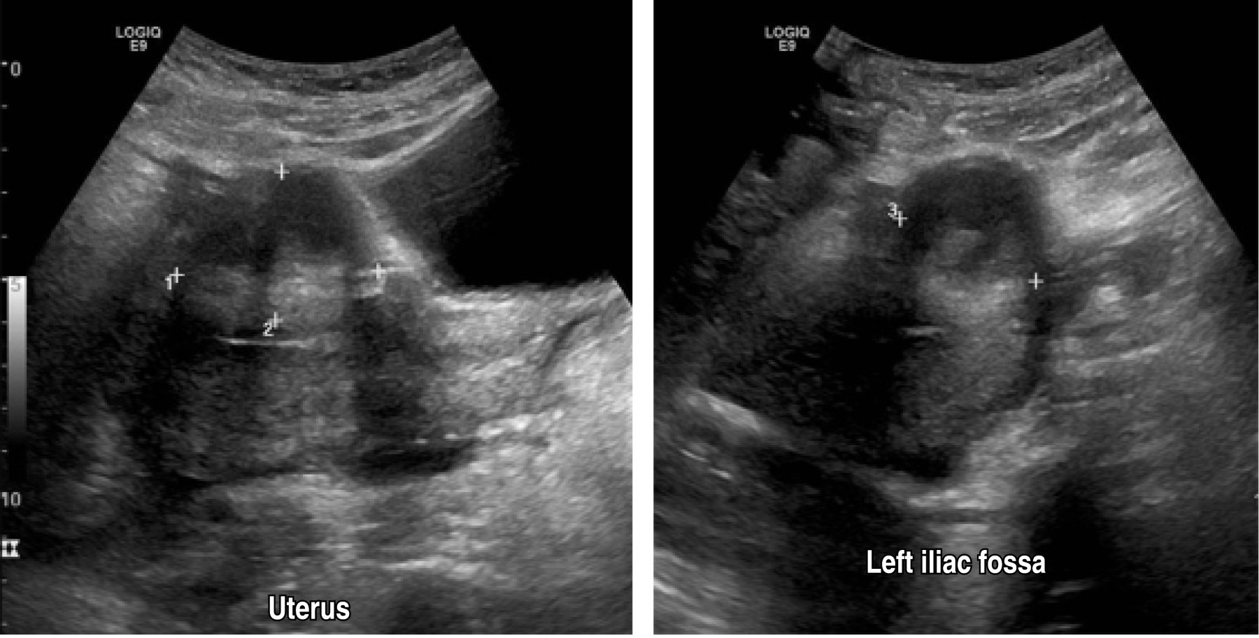
A 40-year-old female patient had four gestations, three deliveries, and a history of aortic valve stenosis since 2017 with surgical management based on valve prosthesis placement and use of acenocoumarin until the diagnosis of her last pregnancy, during which oral the anticoagulant drug was suspended, and enoxaparin was started. She started her current condition when she was admitted to the obstetrics service with a gestational age report of 28.5 weeks of gestation (SDG) by the last menstrual period and 29.4 by fetometry. Preeclampsia was diagnosed with severe data, so it was decided to perform a Kerr cesarean section and bilateral tubal occlusion with Kroener technique, reporting 350 cm3 of bleeding, obtaining a single live male product of 31.5 weeks by Capurro, with an Apgar score of 7/8, and with cleft lip and palate. She was discharged on the fifth day, requiring a transfusion of blood products in her immediate postoperative period. Twenty-one days later, she was readmitted due to abundant and fetid bleeding through the surgical approach; wound healing was performed, and an abdominal wall defect was evidenced, so it was decided to perform an ultrasound, with findings of a defect in the anterior abdominal wall in the cephalic portion of the wound through which intestinal loops protrude (Figures 1 and 2). In an abdominal computerized tomography scan, a heterogeneous non-measurable collection was identified in the middle and caudal third of the wound at the level of the subcutaneous plane, as well as a thick-walled collection in the pelvic cavity and left iliac fossa (Figure 3).

In addition, a transesophageal echocardiogram was performed, which showed adequate aortic valve prosthesis function, moderate mitral and tricuspid regurgitation, with preserved left ventricular ejection fraction.

Laboratory studies reported hemoglobin of 9.1 g/dl, hematocrit of 32.6%, thrombocytosis of 492,000, leukocytosis of 18,340 with neutrophilia of 92%, prothrombin time of 30 s, and INR of 2.53. The need for urgent surgical intervention was determined; however, since the patient did not achieve the target International Normalized Ratio (INR) and given the potential cardiovascular clinical deterioration of the patient, an immediate intervention was decided with the support of the anesthesiology service and the application of ultrasound-guided TAPB by lateral approach bilaterally, infiltrating 75 mg of ropivacaine + 50 mg of bupivacaine gauged at 20 cm3 with 0.9% saline solution in each hemiabdomen, in addition to administering sedation with midazolam and fentanyl, after which the suture material from the previous surgery was removed with the finding of approximately 200 cm3 of hemato purulent material from subcutaneous tissue with extension to the left side of the mesogastrium; aponeurotic dehiscence in the cephalic portion of the wound with slight retraction of the edges was seen. Dissection was performed by planes up to the cavity, with evidence of a well-defined pelvic hollow abscess of approximately 50 cm3; the cavity was cleaned with 1,000 cm3 of sterile solutions, and finally, the aponeurotic wall and skin were closed. Finally, a vacuum-assisted suction system is placed.



RESULTS

The postoperative course improved, with adequate pain control referenced by an analog pain scale of 2/10 at rest. The suction system was removed after the fourth day as there was no clinical evidence of collections. She remained hospitalized and under surveillance until overlapping parenteral with oral antithrombotic drugs, with uncomplicated discharge. She attended a control appointment to remove stitches one week after discharge. She found no evidence of dehiscence at any wall level, without hematomas, and with wound healing according to expectations.



DISCUSSION

Since its first description in the early 21st century, the transverse abdominal plane blockade has been effective in postoperative pain management as part of multimodal therapy because adequate analgesia reduces the metabolic response to trauma and postoperative morbidity and accelerates postoperative recovery. It should be one of the issues of importance to the surgeon. Although the anesthesiology service almost exclusively provided its initial description and use, surgical practitioners can also use transverse plane blocks.3,5-8 Although the trans surgical uses reported and mainly studied have been during elective surgery, the use of TAPB is essential in patients admitted to the intensive care unit after emergency abdominal surgery since they usually have poor pain control, mainly because they are not candidates for epidural analgesia due to coagulopathy associated with sepsis. There are reports in the literature of cases of post-surgical patients with peritonitis hospitalized in the intensive care unit, in whom the use of TAPB reduced their need for opiates, improved their pain at rest and during movement (cough maneuver) and allowed them to undergo pulmonary physiotherapy, which led to early discharge from that service.9 The use of TAPB has even been reported as the only anesthetic technique in patients with acute abdomen, a septic shock of abdominal focus, and need for emergency laparotomy qualified with ASA IV, with chronic obstructive pulmonary disease and coagulopathy due to sepsis, in whom it was preferred to avoid general, epidural or spinal anesthesia. In that case report, a bilateral dual TAPB was administered with the injection of 20 ml of 0.25% bupivacaine, 20 ml of 1% lidocaine, and 0.2 mg of adrenaline on each side of the abdominal wall, which allowed the slow and accident-free performance of a laparotomy with primary closure of ileum perforation and placement of omental patch. Furthermore, the patient recovered postoperatively without incident and was discharged two weeks later.10 The above shows that, as in our case, in patients in an unstable clinical condition with significant comorbidities in whom emergent surgical-anesthetic management in the abdominal cavity is required but who are prone to deterioration or complication with conventional maneuvers, TAPB is a useful alternative, with fewer risks compared to the usual approaches and that, properly administered, provides levels of analgesia comparable to epidural anesthesia.11



CONCLUSION

Although there is no consensus as to the ideal drug or weight dose for TAPB, and there is a lack of scientifically valid studies in the literature to support its use, TAPB is a valuable alternative in patients requiring urgent abdominal surgery, in whom it is considered risky to undergo general, epidural, or spinal anesthesia due to the possibility of complications.


REFERENCES

  1. Rafi AN. Abdominal field block: a new approach via the lumbar triangle. Anaesthesia. 2001; 56: 1024-1026.

  2. Lissauer J, Mancuso K, Merritt C, Prabhakar A, Kaye AD, Urman RD. Evolution of the transversus abdominis plane block and its role in postoperative analgesia. Best Pract Res Clin Anaesthesiol. 2014; 28: 117-126.

  3. Chin KJ, McDonnell JG, Carvalho B, Sharkey A, Pawa A, Gadsden J. Essentials of our current understanding: abdominal wall blocks. Reg Anesth Pain Med. 2017; 42: 133-183.

  4. Finnerty O, McDonnell JG. Transversus abdominis plane block. Curr Opin Anaesthesiol. 2012; 25: 610-614.

  5. Young MJ, Gorlin AW, Modest VE, Quraishi SA. Clinical implications of the transversus abdominis plane block in adults. Anesthesiol Res Pract. 2012; 2012: 731645.

  6. Owen DJ, Harrod I, Ford J, Luckas M, Gudimetla V. The surgical transversus abdominis plane block--a novel approach for performing an established technique. BJOG. 2011; 118: 24-27.

  7. Bharti N, Kumar P, Bala I, Gupta V. The efficacy of a novel approach to transversus abdominis plane block for postoperative analgesia after colorectal surgery. Anesth Analg. 2011; 112: 1504-1508.

  8. Abdallah FW, Laffey JG, Halpern SH, Brull R. Duration of analgesic effectiveness after the posterior and lateral transversus abdominis plane block techniques for transverse lower abdominal incisions: a meta-analysis. Br J Anaesth. 2013; 111: 721-735.

  9. Niraj G, Kelkar A, Fox AJ. Application of the transversus abdominis plane block in the intensive care unit. Anaesth Intensive Care. 2009; 37: 650-652.

  10. Mishra L, Pani N, Mishra D, Patel N. Bilateral transversus abdominis plane block as a sole anesthetic technique in emergency surgery for perforative peritonitis in a high risk patient. J Anaesthesiol Clin Pharmacol. 2013; 29: 540-542.

  11. Niraj G, Kelkar A, Jeyapalan I, Graff-Baker P, Williams O, Darbar A, et al. Comparison of analgesic efficacy of subcostal transversus abdominis plane blocks with epidural analgesia following upper abdominal surgery. Anaesthesia. 2011; 66: 465-471.



AFFILIATIONS

1 Third-year resident in general surgery. General Hospital of Zone No. 3 of the Mexican Institute of Social Security. Mexico.

2 General surgery residency coordinator. General Hospital of Zone No. 3 of the Mexican Institute of Social Security. Mexico.



Ethical considerations and responsibility: the authors declare that they followed the protocols of their work center on the publication of patient data, safeguarding their right to privacy through the confidentiality of their data.

Funding: no financial support was received for this work.

Disclosure: the authors declare no conflict of interest in carrying out the work.



CORRESPONDENCE

Alan Gutiérrez-Ramírez. E-mail: alan.evan.17@gmail.com




Received: 06/27/2021. Accepted: 12/23/2022

Figure 1
Figure 2
Figure 3

2020     |     www.medigraphic.com

Mi perfil

C?MO CITAR (Vancouver)

Cir Gen. 2022;44