medigraphic.com
ENGLISH

Cirujano General

ISSN 2594-1518 (Digital)
ISSN 1405-0099 (Impreso)
  • Mostrar índice
  • Números disponibles
  • Información
    • Información general        
    • Directorio
  • Publicar
    • Instrucciones para autores        
    • Envío de artículos
  • medigraphic.com
    • Inicio
    • Índice de revistas            
    • Registro / Acceso
  • Mi perfil

2022, Número 4

<< Anterior Siguiente >>

Cir Gen 2022; 44 (4)


Neumotórax espontáneo recidivante secundario a bulla pulmonar

Morales-Ortiz, Jorge Alberto1; Castillo-Villamil, Yarine Berenive2; Muñoz-Muñoz, Mauricio1; Hernández-Navarro, Luis Alberto1; Díaz-Mariscal, Miguel Ángel1
Texto completo Cómo citar este artículo 10.35366/109894

DOI

DOI: 10.35366/109894
URL: https://dx.doi.org/10.35366/109894
Artículos similares

Idioma: Español/Inglés [English version]
Referencias bibliográficas: 12
Paginas: 193-196
Archivo PDF: 177.68 Kb.


PALABRAS CLAVE

neumotórax espontáneo, videotoracoscopia, bulla pulmonar.

RESUMEN

Introducción: el neumotórax es la presencia de gas en el espacio pleural, con el colapso pulmonar consiguiente y compromiso en la mecánica ventilatoria, el neumotórax espontáneo es aquél que aparece sin un antecedente de traumatismo torácico, el diagnóstico se realiza con una radiografía simple de tórax, la tomografía es el estudio de elección para detectar bullas subpleurales. Caso clínico: masculino de 18 años de edad, con antecedente de lobectomía derecha a los 15 años, acude por presentar disnea en reposo y dolor pleurítico izquierdo, en la exploración con hipoventilación de hemitórax izquierdo, radiografía de tórax se observa neumotórax, recibió manejo con sello de agua con buena respuesta y fue egresado por mejoría. Un mes después acude por recivida de síntomas, se realizó tomografía axial computarizada de tórax donde se observa bulla apical izquierda. Conclusiones: el tratamiento consiste en la evacuación del aire del espacio pleural, se debe individualizar, teniendo en cuenta la gravedad de la situación clínica y el riesgo de recurrencias. La videotoracoscopia con bullectomía ha demostrado mejorar la disnea, el intercambio gaseoso y la función pulmonar.



INTRODUCCIóN

Neumotórax es la presencia de gas en el espacio pleural, entre las pleuras parietal y visceral con el colapso pulmonar consiguiente,1 causando compromiso en la mecánica ventilatoria. Un neumotórax espontáneo es el que aparece sin un antecedente de traumatismo torácico y se puede clasificar en primario y secundario, según se produzca en un individuo con o sin una enfermedad pulmonar subyacente, respectivamente.2

En el caso del neumotórax espontáneo de tipo primario, al no contar con una enfermedad desencadenante, esta entidad se relaciona con factores de riesgo predisponentes como el tabaquismo, antecedentes familiares, síndrome de Marfan, anorexia y endometriosis intratorácica.3

El neumotórax espontáneo primario ocurre mayoritariamente en personas jóvenes alrededor de la segunda y tercera década.3 Por lo regular, se produce por la rotura de una bulla o ampolla subpleural.4 Las ampollas y bullas se encuentran hasta en 80% de los casos de neumotórax primario en la tomografía de tórax y hasta en 90% de los casos en la toracoscopia o toracotomía.5

El neumotórax espontáneo primario se caracteriza por un riesgo de recurrencia de entre 30 y 50% durante la vida del paciente.6,7

De los neumotórax espontáneos, 90% aparecen en reposo y sólo 10% coinciden con un esfuerzo físico. Los pacientes con neumotórax espontáneo presentan dolor pleurítico súbito, disnea y tos no productiva.

En el examen físico se puede apreciar una reducción de los movimientos de la pared torácica, hiperresonancia a la percusión y ausencia o disminución de los ruidos respiratorios en el lado afectado.8

El diagnóstico definitivo de neumotórax espontáneo se confirma con una radiografía simple de tórax, donde se identifica una línea de pleura visceral bien diferenciada de la interfase aérea del espacio pleural que corre paralela a la pared torácica.8,9

La tomografía computarizada puede considerarse como el "estándar de oro" en la detección de neumotórax pequeños y en la estimación del tamaño.9

Las lesiones bullosas que contactan con la pared torácica tienen una apariencia cóncava, a diferencia de la línea pleural del neumotórax espontáneo, la tomografía es el estudio de elección para detectar bullas subpleurales y cambios enfisematosos causantes del neumotórax espontáneo primario.10

El objetivo de este trabajo es la descripción del diagnóstico y tratamiento del neumotórax espontáneo primario secundario a bulla pulmonar mediante la presentación de un caso clínico.



PRESENTACIóN DEL CASO

Masculino de 18 años de edad, antecedentes crónico degenerativos negados, quirúrgicos: lobectomía apical derecha por neumotórax espontáneo refractario secundario a quiste congénito a los 15 años.

Inicia padecimiento con disnea en reposo, dolor torácico tipo pleurítico, por lo que acude a urgencias, a la exploración física se encontraba con reducción de los movimientos torácicos, hiperresonancia a la percusión e hipoventilación del hemitórax izquierdo, se realiza radiografía de tórax observándose neumotórax izquierdo, por lo que se decide colocación de sonda endopleural, se ingresa para vigilancia, muestra mejoría clínica y radiográfica y es egresado por mejoría.

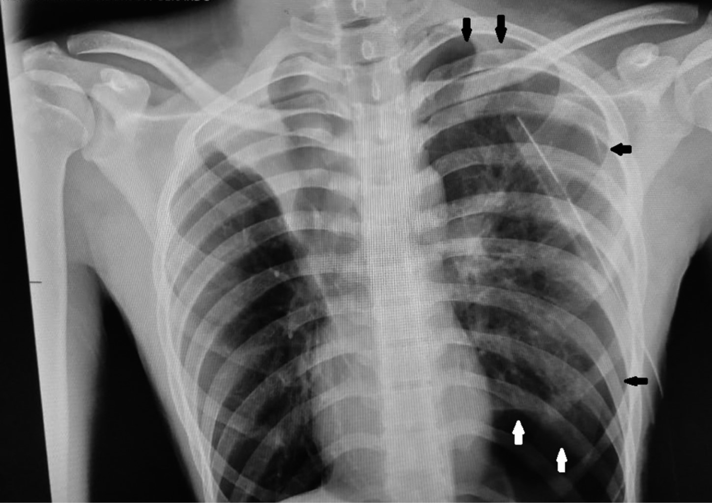
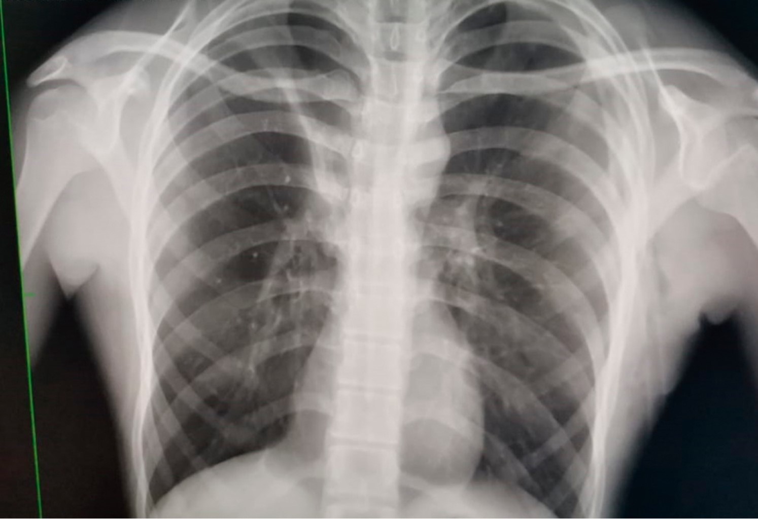
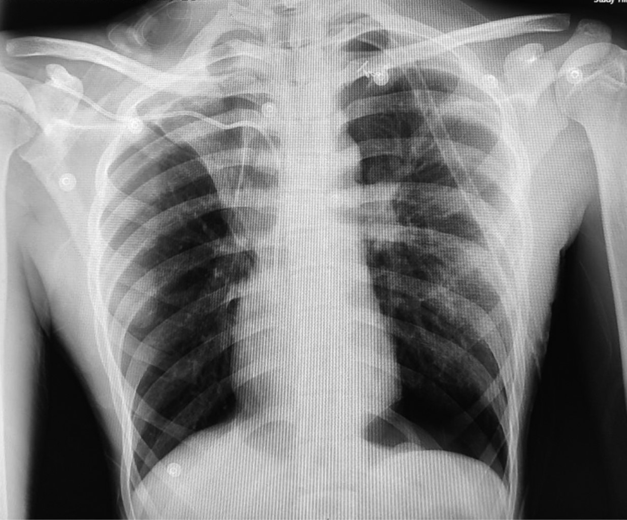
El tres semanas después acude al servicio de urgencias refiriendo dolor en hemitórax izquierdo de dos días de evolución, de inicio súbito, transflictivo, así como disnea en reposo, a la exploración física con hipoventilación de hemitórax izquierdo e hiperresonancia a la percusión, en la radiografía se observa neumotórax recidivante (Figura 1) y se coloca sonda endopleural, con adecuada expansión pulmonar (Figura 2) y buena evolución clínica, siete días después se realiza prueba con sonda pleural a sello, presentando disnea y dolor torácico, en radiografía de control se aprecia neumotórax izquierdo recidivante (Figura 3), por lo que se solicita tomografía computarizada observándose persistencia de neumotórax y bulla apical izquierda, por lo que se inicia protocolo quirúrgico para toracoscopia.

Laboratorios: leucocitos 14.9 × 109/l, neutrófilos 82 × 103/ml, hemoglobina 14.1 g/dl, hematocrito 42.8%, plaquetas 449 × 109/l, tiempo de protrombina 14.8 segundos, tiempo de tromboplastina 34 segundos, INR 1.26, glucosa 122 mg/dl, urea 49 mg/dl, creatinina 0.7 mg/dl, sodio 144 mEq/l, potasio 3.9 mEq/l y cloro 101 mEq/l.

Tomografía: se observa neumotórax izquierdo, con presencia de sonda endopleural y bulla apical izquierda (Figura 4).

Se realiza toracoscopia el 11/03/21 encontrándose adherencias laxas en ápice pulmonar a pared torácica, dos bullas en lóbulo apical izquierdo de aproximadamente 0.5-1 cm (Figura 5), se realiza bullectomía, sin complicaciones, se deja sonda endopleural a succión (Figura 6).

Paciente con adecuada evolución clínica, sin datos de dificultad respiratoria, campos pulmonares bien ventilados, radiografía con adecuada expansión pulmonar, se decide retiro de sonda endopleural el 14/03/21, sin complicaciones y alta domiciliaria.



DISCUSIóN

El tratamiento del neumotórax espontáneo consiste en la evacuación del aire del espacio pleural y la prevención de las recurrencias.11

Las opciones terapéuticas disponibles incluyen la simple observación en espera de la resolución espontánea, la aspiración con un catéter hasta que se haya evacuado el aire del espacio pleural, la colocación de un tubo de toracostomía con o sin pleurodesis posterior, la toracoscopia y la toracotomía.

La selección del tratamiento se debe basar más en el estado clínico del paciente y el riesgo de recurrencias que en la extensión del neumotórax espontáneo observada en la radiografía simple.

El tratamiento mediante cirugía ha demostrado mejorar la disnea, el intercambio gaseoso, la función pulmonar y la capacidad de ejercicio.



CONCLUSIONES

El neumotórax espontáneo es una patología poco frecuente que debe tenerse en cuenta en los servicios de emergencias, ya que su omisión diagnóstica puede llevar a un neumotórax a tensión.

El objetivo en el tratamiento de un neumotórax es aliviar la presión en el pulmón para permitirle que se expanda nuevamente. Dependiendo de la causa del neumotórax, un segundo objetivo puede ser evitar las recidivas.

El tratamiento de los pacientes con neumotórax espontáneo se debe individualizar, teniendo en cuenta la gravedad de la situación clínica, el riesgo de recurrencias y las preferencias de un paciente bien informado.

La videotoracoscopia, que permite la resección de bullas y la pleurodesis posterior, es el tratamiento de elección, ofrece ventajas significativas sobre la toracotomía abierta, incluida una estancia hospitalaria postoperatoria más corta, dolor postoperatorio significativamente menor, mejor intercambio de gases pulmonares y una disminución en el tiempo de recuperación postoperatoria.12



AGRADECIMIENTOS

Los autores agradecen al personal de urgencias y quirófano del Hospital General "Norberto Treviño Zapata" de Cd. Victoria, Tamaulipas, México.


REFERENCIAS (EN ESTE ARTÍCULO)

  1. Porcel JM. Neumotórax espontáneo. Elsevier, 2001; 38: 3-7.

  2. Palla A, Desideri M, Rossi G, Bardi G, Mazzantini D, Mussi A, et al. Elective surgery for giant bullous emphysema: a 5-year clinical and functional follow-up. Chest. 2005; 128: 2043-2050.

  3. Valle JC. Neumotórax espontáneo. Revista Médica de Costa Rica y Centroamérica. 2015; 617: 723-727.

  4. Tulay CM, Ozsoy IE. Spontaneous pneumothorax recurrence and surgery. Indian J Surg. 2015; 77: 463-465.

  5. Henry M, Arnold T, Harvey J; Pleural Diseases Group, Standards of Care Committee, British Thoracic Society. BTS guidelines for the management of spontaneous pneumothorax. Thorax. 2003; 58: ii39-52.

  6. Garófalo EAC, Grisman LJL, Quiroga AJE, Arcos VPS. Neumotórax espontáneo, diagnóstico y tratamiento. RECIMUNDO. 2020; 4: 300-309.

  7. Frydman M. The Marfan syndrome. Isr Med Assoc J. 2008; 10: 175-178.

  8. MacDuff A, Arnold A, Harvey J. Management of spontaneous pneumothorax: British Thoracic Society pleural disease guideline 2010. Thorax 2010; 65: ii18-ii31.

  9. Kelly AM, Weldon D, Tsang AY, Graham CA. Comparison between two methods for estimating pneumothorax size from chest X-rays. Respir Med. 2006; 100: 1356-1359.

  10. Phillips GD, Trotman-Dickenson B, Hodson ME, Geddes DM. Role of CT in the management of pneumothorax in patients with complex cystic lung disease. Chest. 1997; 112: 275-278.

  11. Baumann MH. Management of spontaneous pneumothorax. Clin Chest Med. 2006; 27: 369-381.

  12. Tschopp JM, Bintcliffe O, Astoul P, et al. ERS task force statement: diagnosis and treatment of primary spontaneous pneumothorax. Eur Respir J. 2015; 46: 321.



AFILIACIONES

1 Departamento de Cirugía General, Hospital General "Norberto Treviño Zapata", Cd. Victoria, Tamaulipas, México.

2 Departamento de Pediatría, Hospital General de Tampico "Dr. Carlos Canseco". Tampico, Tamaulipas, México.



Consideraciones y responsabilidad ética: los autores declaran que siguieron los protocolos de su centro de trabajo sobre la publicación de datos de pacientes, resguardando su derecho a la privacidad mediante la confidencialidad de sus datos.

Financiamiento: los autores declaran que no recibieron financiamiento alguno para la elaboración del trabajo.

Conflicto de intereses: los autores declaran que no existe ningún conflicto de intereses en la realización de este trabajo.



CORRESPONDENCIA

Jorge Alberto Morales-Ortiz. E-mail: jm.91@live.com.mx




Recibido: 30/03/2021. Aceptado: 23/12/2022.

Figura 1
Figura 2
Figura 3
Figura 4
Figura 5
Figura 6

2020     |     www.medigraphic.com

Mi perfil

C?MO CITAR (Vancouver)

Cir Gen. 2022;44

ARTíCULOS SIMILARES

CARGANDO ...