medigraphic.com
SPANISH

Cirujano General

ISSN 2594-1518 (Electronic)
ISSN 1405-0099 (Print)
  • Contents
  • View Archive
  • Information
    • General Information        
    • Directory
  • Publish
    • Instructions for authors        
    • Send manuscript
  • medigraphic.com
    • Home
    • Journals index            
    • Register / Login
  • Mi perfil

2022, Number 4

<< Back Next >>

Cir Gen 2022; 44 (4)

Recurrent spontaneous pneumothorax secondary to pulmonary bullae

Morales-Ortiz, Jorge Alberto1; Castillo-Villamil, Yarine Berenive2; Muñoz-Muñoz, Mauricio1; Hernández-Navarro, Luis Alberto1; Díaz-Mariscal, Miguel Ángel1
Full text How to cite this article 10.35366/109894

DOI

DOI: 10.35366/109894
URL: https://dx.doi.org/10.35366/109894

Language: English/Spanish [Versi?n en espa?ol]
References: 12
Page: 193-196
PDF size: 154.34 Kb.


Key words:

spontaneous pneumothorax, video-thoracoscopic surgery, bullous lung.

ABSTRACT

Introduction: pneumothorax is the presence of gas in the pleural space, with consequent lung collapse that compromises ventilatory mechanics; a spontaneous pneumothorax is one that appears without a history of chest trauma. The diagnosis is made with simple chest radiography, although tomography is the study of choice to detect subpleural bullae. Clinical case: an 18-year-old male, with a history of right lobectomy at 15 years of age, presented with dyspnea at rest and left pleuritic pain, in the exploration with hypoventilation of the left hemithorax, chest radiograph, pneumothorax was observed, management was given with an endopleural tube, with adequate evolution and discharge, after one month he returned with the same symptoms, observing a recurrent pneumothorax, for which a pulmonary CT scan was requested showing a left apical bulla. Conclusions: treatment consists of evacuating air from the pleural space; it must be individualized, taking into account the severity of the clinical situation and the risk of recurrences. Videothoracoscopy with bullectomy has been shown to improve dyspnea, gas exchange, and lung function.



INTRODUCTION

Pneumothorax is the presence of gas in the pleural space between the parietal and visceral pleura with consequent pulmonary collapse,1 causing a compromise in ventilatory mechanics. Spontaneous pneumothorax appears without a history of chest trauma. It can be classified as primary and secondary, depending on whether it occurs in an individual with or without underlying lung disease.2

In the case of primary spontaneous pneumothorax, in the absence of a triggering disease, this entity is related to predisposing risk factors such as smoking, family history, Marfan syndrome, anorexia, and intrathoracic endometriosis.3

Primary spontaneous pneumothorax occurs mainly in young people around the second and third decades.3 The rupture of a subpleural bulla or bleb usually causes it.4 Blisters and bullae are found in up to 80% of cases of primary pneumothorax on chest CT scan and in up to 90% of cases on thoracoscopy or thoracotomy.5

Primary spontaneous pneumothorax is characterized by a recurrence risk of 30-50% during the patient's lifetime.6,7

Of spontaneous pneumothoraxes, 90% appear at rest, and only 10% coincide with physical exertion. Patients with spontaneous pneumothorax present sudden pleuritic pain, dyspnea, and non-productive cough.

Physical examination reveals reduced chest wall movements, hyper resonance to percussion, and absent or decreased breath sounds on the affected side.8

The definitive diagnosis of spontaneous pneumothorax is confirmed with a plain chest X-ray, where a line of visceral pleura well differentiated from the air interface of the pleural space running parallel to the chest wall is identified.8,9

The computed tomography (CT) scan can be considered the "gold standard" in detecting small pneumothoraxes and size estimation.9

Bullous lesions contacting the chest wall have a concave appearance, unlike the pleural line of spontaneous pneumothorax; a CT scan is the study of choice to detect subpleural bullae and emphysematous changes causing primary spontaneous pneumothorax.10

This paper will describe diagnosing and treating primary spontaneous pneumothorax secondary to pulmonary bulla by presenting a clinical case.



PRESENTATION OF THE CASE

An 18 years-old patient without any chronic degenerative history had a right apical lobectomy for refractory spontaneous pneumothorax secondary to a congenital cyst at age 15.

Physical examination revealed reduced thoracic movements, hyper resonance on percussion, and hypoventilation of the left hemithorax. Chest X-ray showed left pneumothorax, so it was decided to place an endo pleural tube; he was admitted for surveillance, showing clinical and radiographic improvement, and was discharged due to improvement.

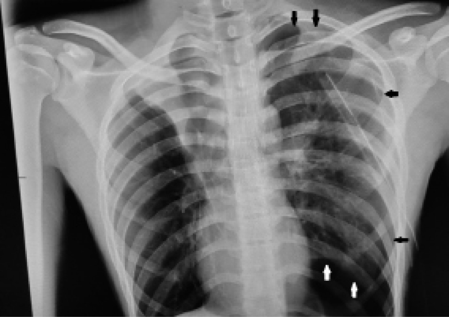
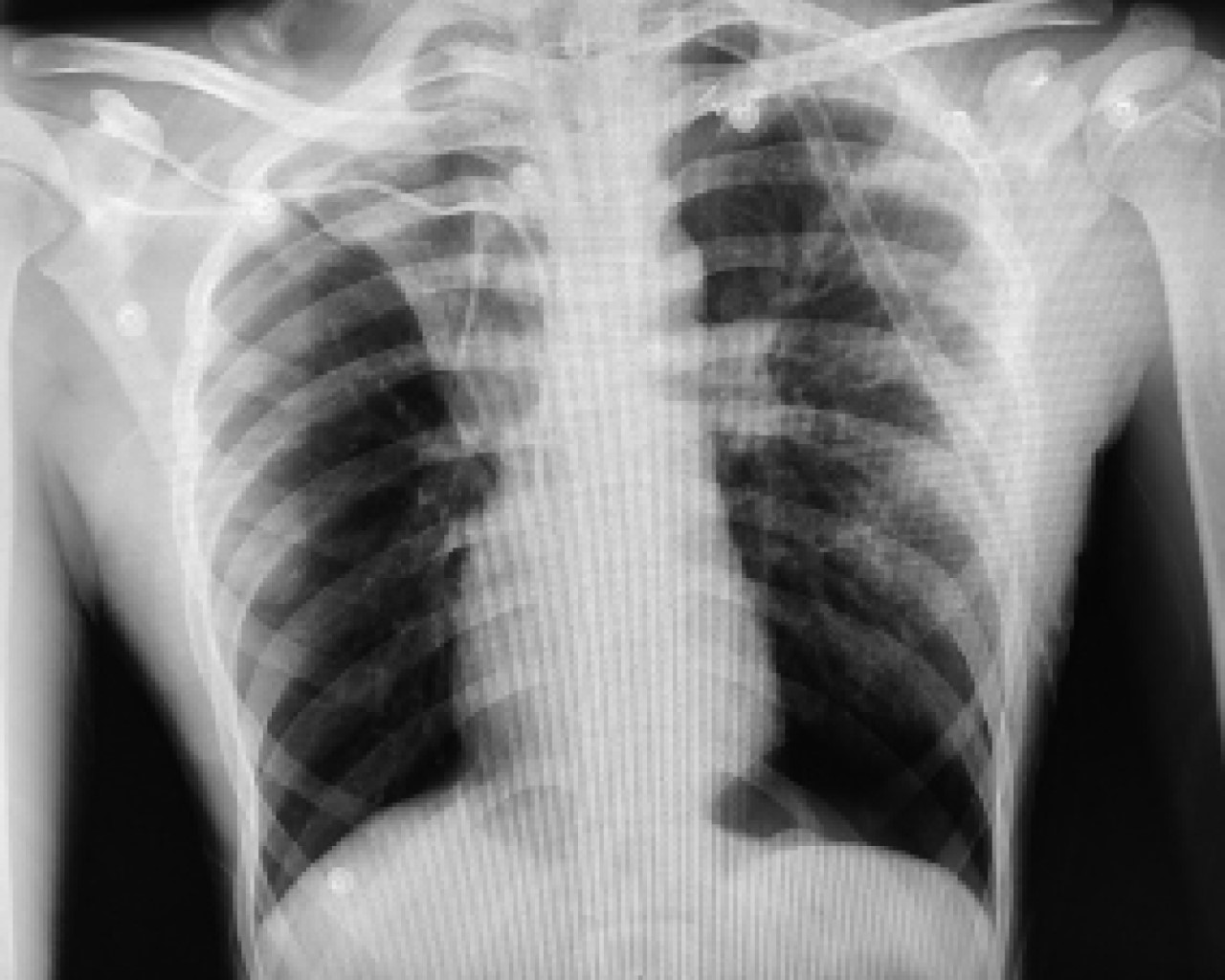
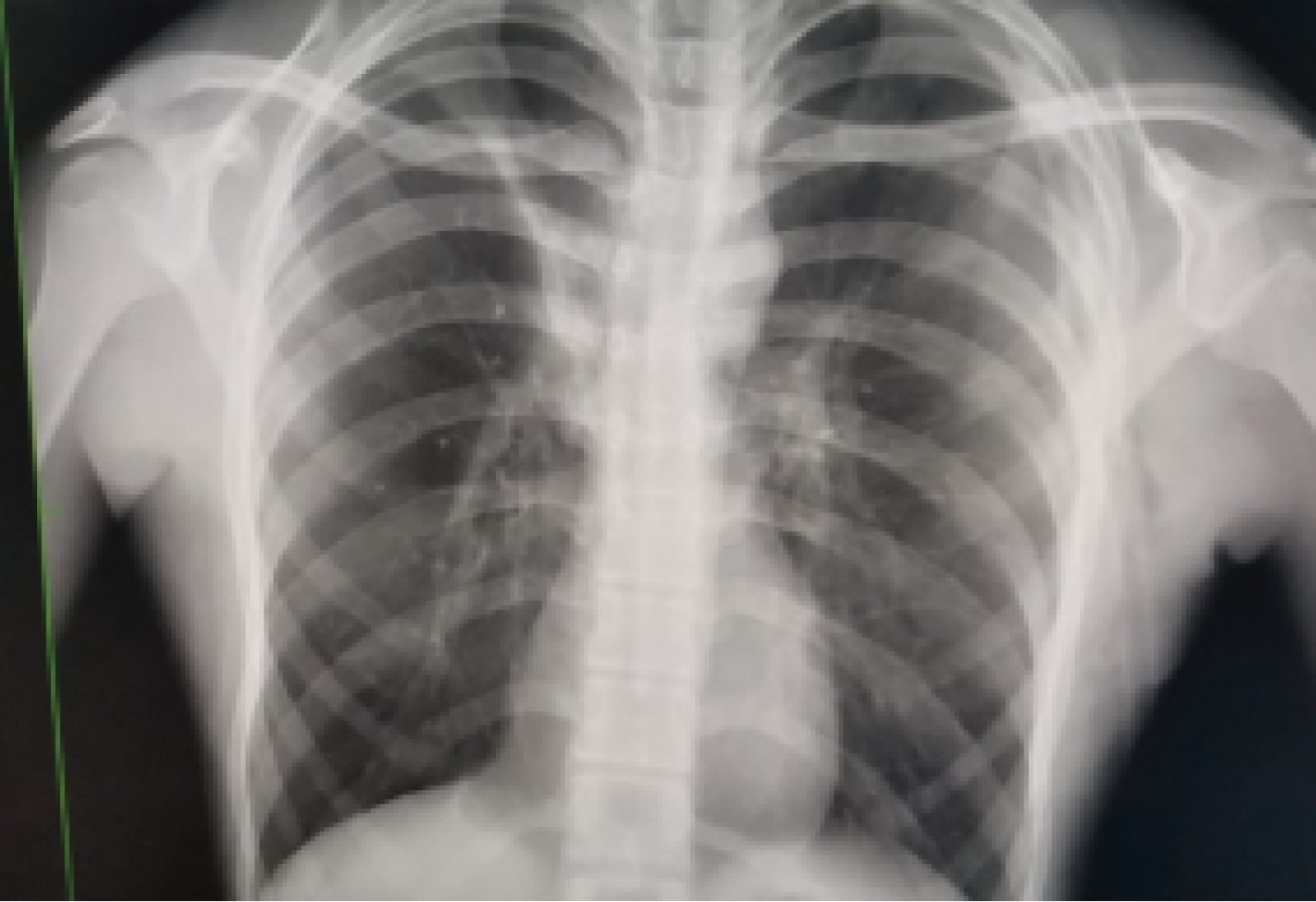
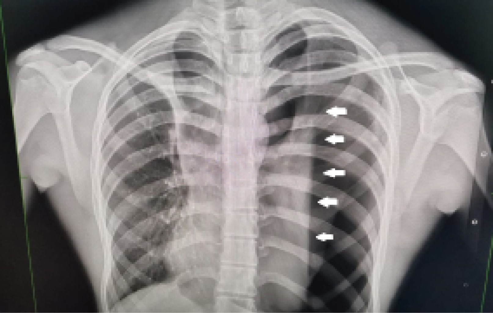
Three weeks later, he came to the emergency department referring a two-day evolution of pain in the left hemithorax, of sudden onset, transfixing, as well as dyspnea at rest; the physical examination revealed hypoventilation of the left hemithorax and hyper resonance to percussion. The X-ray showed recurrent pneumothorax (Figure 1) and an endo pleural probe was placed. Adequate pulmonary expansion was seen on X-ray (Figure 2). Seven days later the patient underwent a seal pleural probe test, presenting dyspnea and chest pain. A control X-ray showed recurrent left pneumothorax (Figure 3), so a CT scan was requested, showing persistent pneumothorax, and left apical bulla, so a surgical protocol for thoracoscopy was initiated.

Laboratory results showed a leukocyte count of 14.9 × 109/l, with a neutrophil count of 82 × 103/ml, hemoglobin 14.1 g/dl, hematocrit 42.8%, platelets 449 × 109/l, prothrombin time 14.8 seconds, thromboplastin time 34 seconds, INR 1.26, glucose 122 mg/dl, urea 49 mg/dl, creatinine 0.7 mg/dl, sodium 144 mEq/l, potassium 3.9 mEq/l, and chlorine 101 mEq/l.

A left pneumothorax was observed in the CT scan, with an endo pleural probe and left apical bulla (Figure 4).

Thoracoscopy was performed on 11/03/21, finding lax adhesions in the pulmonary apex to the thoracic wall and two bullae in the left apical lobe of approximately 0.5-1 cm (Figure 5). A bullectomy was performed without complications and an endo pleural suction tube was left in place (Figure 6).

The patient had good clinical evolution, no respiratory distress data, and well-ventilated lung fields. His X-ray showed an adequate lung expansion; the endo pleural tube removal was decided on 3/14/21 without complications, and he was discharged home.



DISCUSSION

Treatment of spontaneous pneumothorax consists of evacuation of air from the pleural space and prevention of recurrences.11

Available therapeutic options include simple observation pending spontaneous resolution, aspiration with a catheter until the air has been evacuated from the pleural space, placement of a thoracostomy tube with or without subsequent pleurodesis, thoracoscopy, and thoracotomy.

Treatment selection should be based more on the patient's clinical status and the risk of recurrences than on the extent of spontaneous pneumothorax seen on plain radiography.

Treatment by surgery has been shown to improve dyspnea, gas exchange, lung function, and exercise capacity.



CONCLUSIONS

Spontaneous pneumothorax is a rare pathology that should be considered in emergency departments, as its diagnostic omission may lead to a tension pneumothorax.

The goal of treating a pneumothorax is to relieve the pressure in the lung, allowing it to expand again. Depending on the cause of the pneumothorax, a second goal may be to prevent recurrences.

Treatment of patients with spontaneous pneumothorax should be individualized, considering the severity of the clinical situation, the risk of recurrences, and the preferences of a well-informed patient.

Video thoracoscopy, which allows resection of bullae and subsequent pleurodesis, is the treatment of choice, offering significant advantages over open thoracotomy, including a shorter postoperative hospital stay, significantly less postoperative pain, improved pulmonary gas exchange, and decreased postoperative recovery time.12



ACKNOWLEDGMENTS

The authors would like to thank the emergency and operating room staff of the Hospital General "Norberto Treviño Zapata" in Cd. Victoria, Tamaulipas, Mexico.


REFERENCES

  1. Porcel JM. Neumotórax espontáneo. Elsevier, 2001; 38: 3-7.

  2. Palla A, Desideri M, Rossi G, Bardi G, Mazzantini D, Mussi A, et al. Elective surgery for giant bullous emphysema: a 5-year clinical and functional follow-up. Chest. 2005; 128: 2043-2050.

  3. Valle JC. Neumotórax espontáneo. Revista Médica de Costa Rica y Centroamérica. 2015; 617: 723-727.

  4. Tulay CM, Ozsoy IE. Spontaneous pneumothorax recurrence and surgery. Indian J Surg. 2015; 77: 463-465.

  5. Henry M, Arnold T, Harvey J; Pleural Diseases Group, Standards of Care Committee, British Thoracic Society. BTS guidelines for the management of spontaneous pneumothorax. Thorax. 2003; 58: ii39-52.

  6. Garófalo EAC, Grisman LJL, Quiroga AJE, Arcos VPS. Neumotórax espontáneo, diagnóstico y tratamiento. RECIMUNDO. 2020; 4: 300-309.

  7. Frydman M. The Marfan syndrome. Isr Med Assoc J. 2008; 10: 175-178.

  8. MacDuff A, Arnold A, Harvey J. Management of spontaneous pneumothorax: British Thoracic Society pleural disease guideline 2010. Thorax 2010; 65: ii18-ii31.

  9. Kelly AM, Weldon D, Tsang AY, Graham CA. Comparison between two methods for estimating pneumothorax size from chest X-rays. Respir Med. 2006; 100: 1356-1359.

  10. Phillips GD, Trotman-Dickenson B, Hodson ME, Geddes DM. Role of CT in the management of pneumothorax in patients with complex cystic lung disease. Chest. 1997; 112: 275-278.

  11. Baumann MH. Management of spontaneous pneumothorax. Clin Chest Med. 2006; 27: 369-381.

  12. Tschopp JM, Bintcliffe O, Astoul P, et al. ERS task force statement: diagnosis and treatment of primary spontaneous pneumothorax. Eur Respir J. 2015; 46: 321.



AFFILIATIONS

1 Department of General Surgery, Hospital General "Norberto Treviño Zapata", Cd. Victoria, Tamaulipas, Mexico.

2 Department of Pediatrics, Hospital General de Tampico "Dr. Carlos Canseco". Tampico, Tamaulipas, Mexico.



Ethical considerations and responsibility: the authors declare that they followed the protocols of their work center on the publication of patient data, safeguarding their right to privacy through the confidentiality of their data.

Financing: the authors declare they received no financing for preparing this work.

Disclosure: the authors declare that there is no conflict of interest in the performance of this work.



CORRESPONDENCE

Jorge Alberto Morales-Ortiz. E-mail: jm.91@live.com.mx




Received: 03/30/2021. Accepted: 12/23/2022.

Figure 1
Figure 2
Figure 3
Figure 4
Figure 5
Figure 6

2020     |     www.medigraphic.com

Mi perfil

C?MO CITAR (Vancouver)

Cir Gen. 2022;44