medigraphic.com
ENGLISH

Cirujano General

ISSN 2594-1518 (Digital)
ISSN 1405-0099 (Impreso)
  • Mostrar índice
  • Números disponibles
  • Información
    • Información general        
    • Directorio
  • Publicar
    • Instrucciones para autores        
    • Envío de artículos
  • medigraphic.com
    • Inicio
    • Índice de revistas            
    • Registro / Acceso
  • Mi perfil

2022, Número 4

<< Anterior Siguiente >>

Cir Gen 2022; 44 (4)


Carcinoma hepatocelular en una paciente joven sobre hígado no cirrótico

Martínez-Mier, Gustavo1,2; Escobar-Ríos, Alma Yrani1; Moreno-Ley, Pedro Iván2; Ramírez-Sánchez, Alonso Heriberto3
Texto completo Cómo citar este artículo 10.35366/109893

DOI

DOI: 10.35366/109893
URL: https://dx.doi.org/10.35366/109893
Artículos similares

Idioma: Español/Inglés [English version]
Referencias bibliográficas: 13
Paginas: 189-192
Archivo PDF: 176.52 Kb.


PALABRAS CLAVE

carcinoma hepatocelular, hígado no cirrótico, alfafetoproteina, resección hepática, supervivencia.

RESUMEN

Introducción: el carcinoma hepatocelular sin cirrosis tiene una incidencia de 15%, con presentación diferente a los cirróticos. Se presenta una paciente con carcinoma hepatocelular sin cirrosis. Caso clínico: paciente femenino de 29 años de edad, lesión de 9 cm en lóbulo hepático derecho, sin cirrosis (albumina 4.6 g/dl, bilirrubina total 0.5 mg/dl, tiempo protrombina 13.7 segundos, índice internacional normalizado (INR) 0.98, alfafetoproteína 1.38 ng/ml), tratada con resección, alta y readmisión por absceso hepático con egreso. Veintiún meses de supervivencia libre de enfermedad. Conclusión: el carcinoma hepatocelular sin cirrosis no es frecuente. Debe considerarse en jóvenes con dolor abdominal y lesión hepática. La resección es el tratamiento de elección.



INTRODUCCIóN

El carcinoma hepatocelular (CHC) es el tumor hepático primario más común en el mundo, es el quinto y el noveno tipo de cáncer más frecuente en hombres y mujeres, respectivamente.1 A nivel mundial, el principal factor de riesgo de CHC es el virus de la hepatitis B.2 La incidencia del CHC en hígado no cirrótico es de 15-20% de todos los CHC.3 Las características de los pacientes con CHC en hígado no cirrótico se han abordado en varios estudios, mostrando que estos pacientes son más jóvenes, el género femenino es más frecuente y el tumor es detectado en una etapa más avanzada y sintomática en comparación con pacientes cirróticos.4 En la forma asintomática, se diagnostica incidentalmente mediante estudios de imagen o debido a hallazgos de laboratorio anormales.5

Los tratamientos radicales del CHC incluyen trasplante de hígado, resección quirúrgica y métodos de ablación local.6 La resección hepática (RH) se considera el tratamiento de elección en el hígado sano debido al bajo riesgo de insuficiencia hepática después de la cirugía, menor recidiva y menor morbilidad y mortalidad que en hígado cirrótico.7

El objetivo de este trabajo es presentar el caso de una mujer joven con resección hepática secundaria a un CHC en hígado no cirrótico.



CASO CLíNICO

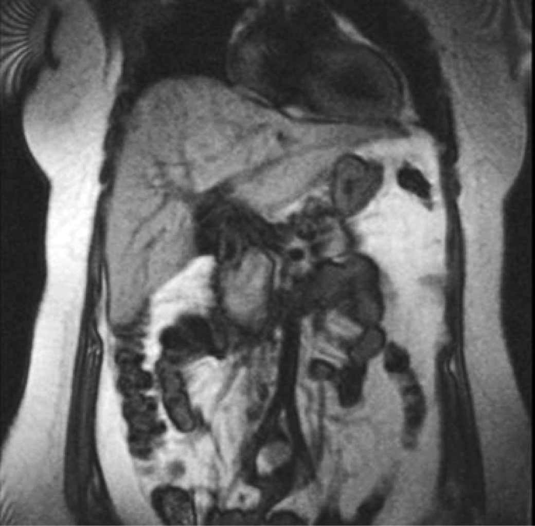
Paciente femenino de 29 años de edad, sin antecedentes de importancia, índice de masa corporal 28.5 kg/m2, inicia padecimiento con dolor súbito a nivel de hipocondrio derecho, irradiado a región escapular, por lo que acude a su hospital Instituto Mexicano del Seguro Social (IMSS) Unidad Médica de Alta Especialidad (UMAE) No. 14, donde mediante tomografía computarizada (TAC) y resonancia magnética (RM) es diagnosticada una lesión ocupante en lóbulo hepático derecho de 9 cm en su diámetro mayor (Figura 1), sin datos clínicos o bioquímicos de cirrosis hepática (bilirrubina total (BT) 1.20 mg/dl, bilirrubina directa (BD) 0.7 mg/dl, proteínas totales 5.4 g/dl, albúmina 3.4 g/dl tiempo de protrombina 14.4 segundos, índice internacional normalizado (INR) 1.08, plaquetas 217 × 103 cel/mm3) y alfafetoproteína sérica 4 ng/ml.

La serología contra hepatitis A, B y C fueron negativas. La biometría hemática demostró una hemoglobina de 11.4 g/dl, hematocrito 34% y leucocitos 5.5 × 103 cel/mm3. La química sanguínea tenía como resultados: glucosa 92 mg/dl, nitrógeno ureico 9 mg/dl y creatinina 0.7 mg/dl. El resto de sus pruebas hepáticas fueron las siguientes: aspartato transaminasa (AST) 25 UI/l, alanino transferasa (ALT) 95 UI/l y fosfatasa alcalina (ALP) 100 UI/l.

Se decide intervenir quirúrgicamente, se efectúa resección de la lesión en segmento V y VIII, utilizando sistema de energía Habib 4x device (AngioDynamics, N.Y, U.S)®, colecistectomía y biopsia de tejido hepático sano con sutura crómico del 0, con un tiempo quirúrgico de 160 minutos, mediante incisión subcostal bilateral sin maniobra de Pringle, el cierre se realizó con Vicryl? del 1 con surjete continuo en dos tiempos para la aponeurosis y Dermalon? 3-0 para la piel con puntos simples, se colocó drenaje tipo Penrose de ¼" dirigido al lecho hepático (Figuras 2 y 3).

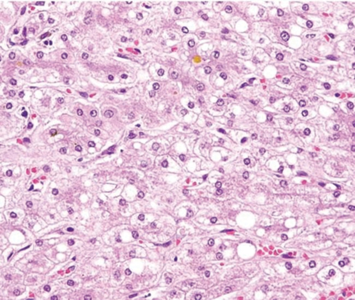
El sangrado transoperatorio fue de 800 ml. El manejo del dolor postoperatorio se realizó con ketorolaco a dosis de 30 mg IV c/8 horas, se utilizó cefotaxima 1 g IV c/8 horas durante la estancia hospitalaria y la paciente fue egresada al sexto día posquirúrgico. El reporte histológico de la lesión fue hepatocarcinoma bien diferenciado, grado 2 en la clasificación modificada de Edmondson-Steiner, encapsulado de 7 × 5 × 4 cm y nódulos de regeneración (Figura 4) con márgenes libres de tumor de 1 cm. El reporte histopatológico del hígado no tumoral fue hígado graso no alcohólico grado 1 de actividad (30% esteatosis, foco de inflamación lobular) y fibrosis grado 2 (fibrosis portal y fibras pericelulares sin puentes fibrosos).

La paciente fue readmitida 20 días después del postoperatorio por absceso hepático residual comprobado mediante TAC, manejada con imipenem a dosis de 1 g IV c/8 horas y metronidazol a dosis de 500 mg IV c/8 horas por 14 días y percutáneo pig-tail Expel? colocado mediante radiología intervencionista obteniendo 50 ml de material purulento, con evolución adecuada, sin fiebre, se realizó hemograma completo observando disminución de los leucocitos hasta 7,300 mm3 al día 14, se suspendió el esquema de antibióticos y fue egresada al día 15 de estancia intrahospitalaria.

La paciente se encuentra asintomática a 21 meses de la cirugía sin datos de actividad tumoral mediante TAC, con una biometría hemática que tiene por resultados: hemoglobina 13.3 g/dl, hematocrito 39.2%, leucocitos 4.6 × 103 cel/mm3, plaquetas 244 × 103 cel/mm3, tiempo de protrombina 13.7 s INR 0.98. Su química sanguínea tuvo por resultados: glucosa 82 mg/dl, nitrógeno ureico 9 mg/dl, creatinina 0.7 mg/dl y las pruebas de funcionamiento hepático: BT 0.50 mg/dl, BD 0.20 mg/dl, BI 0.30 mg/dl, ALT 21 UI/l, AST 20 UI/l, ALP 118 UI/l.



DISCUSIóN

La cirrosis hepática es el principal factor de riesgo de CHC; sin embargo; cierto número de CHC se presenta en hígado no cirrótico, con una proporción de casos menor de 20%, convirtiéndolo así en una patología poco común. El CHC en hígado no cirrótico tiene características epidemiológicas, clínicas, manejo terapéutico y pronóstico diferente al tumor producido en hígado cirrótico. A nivel epidemiológico parece existir mayor preponderancia en el sexo femenino y una edad menos avanzada,4 aunque estas características no han sido confirmadas por otros estudios. Núñez Martínez y colaboradores8 evaluaron 29 pacientes con CHC en hígado no cirrótico reportando mayor incidencia en el sexo masculino y una edad media de 61 años.

El CHC en hígado sano generalmente es diagnosticado cuando el tumor ha alcanzado tamaños mayores, produciendo la aparición de síntomas (dolor abdominal o malestar en el cuadrante superior derecho, ictericia, náuseas).9 Es importante saber identificar y diferenciar el CHC del tipo fibrolamelar, que aunque es una variante rara, puede resultar problemática al momento del diagnóstico, ya que también ocurre en pacientes jóvenes (< 40 años) y en hígados con daños mínimos, caracterizado histológicamente por células hepáticas malignas bien diferenciadas con citoplasma eosinófilo y granular profundo debido a la presencia de numerosas mitocondrias, y por la presencia de fibrosis en todo el tumor.10

La RH es el mejor método de elección para pacientes con CHC en hígado no cirrótico. A pesar de que estos pacientes presentan lesiones tumorales más grandes, la función preservada del hígado no cirrótico permite realizar resecciones grandes con bastante seguridad.9 Faber y colaboradores11 estudiaron 148 pacientes con CHC en hígado no cirrótico sometidos a resección hepática, encontraron mediana de estancia intrahospitalaria de 15 días, con supervivencia de uno a cinco años de 75.4 y 38.9% respectivamente. Rayya y su equipo12 analizaron 55 pacientes con CHC en hígado no cirrótico sometidos a RH, reportando una estancia intrahospitalaria de 18 días, con supervivencia de uno a cinco años de 69 y 48% respectivamente y Lubrano y colaboradores13 estudiaron 20 pacientes con CHC en hígado no cirrótico sometidos a RH, con supervivencia a uno y cinco años de 85 y 64% respectivamente.

Nuestro caso representa un CHC en hígado no cirrótico, de gran tamaño (9 cm), tratado mediante resección hepática, con estancia intrahospitalaria similar a los estudios ya descritos con una morbilidad postoperatoria resuelta de forma adecuada. De hecho, la morbilidad en las RH en este tipo de pacientes puede ser de hasta 40%,11 lo cual se ejemplifica en nuestro caso. El hecho de que nuestro caso haya presentado un hígado con daño hepático mínimo contribuye a una RH satisfactoria. Los márgenes libres de tumor (1 cm) contribuyen al día de hoy en una supervivencia sin actividad tumoral.



CONCLUSIóN

La presencia de carcinoma hepatocelular (CHC) en hígado no cirrótico es una entidad poco frecuente que debe ser considerada en pacientes jóvenes con dolor abdominal y un tumor hepático. La resección hepática (RH) es el tratamiento de elección en estos casos para otorgar una buena supervivencia.


REFERENCIAS (EN ESTE ARTÍCULO)

  1. Wallace MC, Preen D, Jeffrey GP, Adams LA. The Evolving epidemiology of hepatocellular carcinoma: a global perspective. Expert Rev Gastroenterol Hepatol. 2015; 1: 1-15.

  2. Forner A, Reig M, Varela M, Burrel M, Feliu J, Briceño J, et al. [Diagnosis and treatment of hepatocellular carcinoma]. Update consensus document from the AEEH, SEOM, SERAM, SERVEI and SETH. Med Clin (Barc). 2016; 146: 511.e1-511.e22.

  3. Alkofer B, Lepennec V, Chiche L. Hepatocellular cancer in the non-cirrhotic liver. J Visc Surg. 2011; 148: 3-11.

  4. Giannini E, Marenco S, Bruzzone L, Savarino V, Farinati F, Del Poggio P, et al. Hepatocellular carcinoma in patients without cirrhosis in Italy. Dig Liver Dis. 2013; 45: 164-169.

  5. Dupont-Bierre E, Compagnon P, Raoul JL, Fayet G, de Lajarte-Thirouard AS, Boudjema K. Resection of hepatocellular carcinoma in noncirrhotic liver: analysis of risk factors for survival. J Am Coll Surg. 2005; 201: 663-670.

  6. Verslype C, Rosmorduc O, Rougier P. Hepatocellular carcinoma: ESMO-ESDO Clinical Practice Guidelines for diagnosis, treatment and follow-up. Ann Oncol. 2012; 23: vii43-vii45.

  7. Chang CH, Chau GY, Lui WY, Tsay SH, King KL, Wu CW. Long-term results of hepatic resection for hepatocellular carcinoma originating from the noncirrhotic liver. Arch Surg. 2004; 139: 320-325.

  8. Núñez Martínez O, Matilla Peña A, Merino Rodríguez B, Díaz Sánchez A, Colón Rodríguez A, Ramón Botella E, et al. Descriptive study of hepatocellular carcinoma in noncirrhotic liver. Gastroenterol Hepatol. 2011; 34: 322-328.

  9. Trevisani F, Frigerio M, Santi V, Grignaschi A, Bernardi M. Hepatocellular carcinoma in non-cirrhotic liver: a reappraisal. Dig Liver Dis. 2010; 42: 341-347.

  10. El-Serag HB, Davila JA. Is fibrolamellar carcinoma different from hepatocellular carcinoma? A US population-based study. Hepatology. 2004; 39: 798-803.

  11. Faber W, Sharafi S, Stockmann M, Denecke T, Sinn B, Puhl G, et al. Long-term results of liver resection for hepatocellular carcinoma in noncirrhotic liver. Surgery. 2013; 153: 510-517.

  12. Rayya F, Harms J, Bartels M, Uhlmann D, Hauss J, Fangmann J. Results of resection and transplantation for hepatocellular carcinoma in cirrhosis and noncirrhosis. Transplant Proc. 2008; 40: 933-935.

  13. Lubrano J, Huet E, Tsilividis B, François A, Goria O, Riachi G, et al. Long-term outcome of liver resection for hepatocellular carcinoma in noncirrhotic nonfibrotic liver with no viral hepatitis or alcohol abuse. World J Surg. 2007; 32: 104-109.



AFILIACIONES

1 Departamento de Investigación. Unidad Médica de Alta Especialidad (UMAE) No. 189 "Lic. Adolfo Ruíz Cortines", Instituto Mexicano del Seguro Social, Veracruz, México.

2 Departamento de Trasplante. Unidad Médica de Alta Especialidad (UMAE) No. 189 "Lic. Adolfo Ruíz Cortines", Instituto Mexicano del Seguro Social, Veracruz, México.

3 Departamento de Cirugía General. Unidad Médica de Alta Especialidad (UMAE) No. 189 "Lic. Adolfo Ruíz Cortines", Instituto Mexicano del Seguro Social, Veracruz, México.



Responsabilidades éticas: protección de personas y animales. Se declara que para esta investigación no se han realizado experimentos en seres humanos ni en animales.

Confidencialidad de los datos: se han seguido los protocolos de nuestro de centro de trabajo sobre la publicación de datos de pacientes.

Derecho a la privacidad y consentimiento informado: se declara que en este artículo no aparecen datos de pacientes.



CORRESPONDENCIA

Gustavo Martínez-Mier. E-mail: gmtzmier@gmail.com




Recibido: 07/01/2020. Aceptado: 09/01/2022.

Figura 1
Figura 2
Figura 3
Figura 4

2020     |     www.medigraphic.com

Mi perfil

C?MO CITAR (Vancouver)

Cir Gen. 2022;44

ARTíCULOS SIMILARES

CARGANDO ...