medigraphic.com
ENGLISH

Cirujano General

ISSN 2594-1518 (Digital)
ISSN 1405-0099 (Impreso)
  • Mostrar índice
  • Números disponibles
  • Información
    • Información general        
    • Directorio
  • Publicar
    • Instrucciones para autores        
    • Envío de artículos
  • medigraphic.com
    • Inicio
    • Índice de revistas            
    • Registro / Acceso
  • Mi perfil

2023, Número 1

<< Anterior Siguiente >>

Cir Gen 2023; 45 (1)


Hipoglicemia recurrente secundaria a insulinoma pancreático

Montes-Arcón, Pablo Salomón1; Herrera-Lomonaco, Sandra2; Blanco-Pertuz, Paola María3; Pérez-Mingan, Gloria Caterine3
Texto completo Cómo citar este artículo 10.35366/110701

DOI

DOI: 10.35366/110701
URL: https://dx.doi.org/10.35366/110701
Artículos similares

Idioma: Español/Inglés [English version]
Referencias bibliográficas: 13
Paginas: 38-42
Archivo PDF: 242.87 Kb.


PALABRAS CLAVE

páncreas, insulinoma, tumor pancreático neuroendocrino, diagnóstico, manejo.

RESUMEN

Los tumores neuroendocrinos pancreáticos son neoplasias poco frecuentes y de comportamiento variable, las cuales pueden ser funcionantes o no de acuerdo a su capacidad para producir hormonas y por ende, generar diversos síntomas en los pacientes afectados; un diagnóstico certero va a determinar un manejo integral, con el cual se busca mejorar la calidad de vida del paciente, con énfasis en una resección completa que evite la presencia de enfermedad residual. Se presenta el caso de una paciente con síndrome hipoglucémico recurrente y con estudios de imagen que evidenciaron una lesión tumoral en cuerpo de páncreas, la cual es intervenida quirúrgicamente con resección total de la lesión, obteniendo como resultado en el estudio de anatomía patológica el diagnóstico de tumor neuroendocrino pancreático (insulinoma).



INTRODUCCIóN

Las neoplasias neuroendocrinas (NEN) son un grupo de tumores que se originan de las células neuroendocrinas localizadas en todos los órganos, principalmente en el pulmón, el tubo digestivo y el páncreas; a nivel pancreático estas lesiones tienen un comportamiento biológico de acuerdo a su capacidad para producir hormonas y un manejo clínico relativamente distinto en comparación con los adenocarcinomas, su incidencia es menor o igual a un caso por 100,000 individuos por año y sólo comprenden de 1 a 2% de las neoplasias pancreáticas, su incidencia va en aumento.1

Por lo general, estas neoplasias tienen una presentación esporádica; sin embargo, también se asociación a distintas entidades hereditarias como la neoplasia endocrina múltiple (NEM) tipo 1, el síndrome de Von Hippel Lindau (VHL) y la neurofibromatosis tipo 1 (NF-1).2

El diagnóstico de estas patologías va a depender de la capacidad funcional de las mismas, clínicamente las que tienen producción hormonal tienden a tener un diagnóstico más temprano y un tamaño tumoral menor con respecto a las no funcionantes, en las cuales el diagnóstico se debe principalmente a hallazgos incidentales mediante estudios de imagen motivados por otras causas no relacionadas con la lesión.3

Dentro de las NEN pancreáticas, los insulinomas son la neoplasia endocrina funcionante más común del páncreas, su principal síntoma es la hipoglicemia, su etiología es desconocida, ocurren en una a cuatro personas por millón en la población general, pueden presentarse a cualquier edad, con una distribución equitativa de género, hasta 90% de los insulinomas son benignos, 90% son solitarios, > 90% ocurren en sitios intrapancreáticos y 90% tienen < 2 cm de diámetro, la distribución es uniforme por todo el páncreas, la localización extrapancreática es rara (incidencia < 2%) con mayor frecuencia en la pared duodenal.4



PRESENTACIóN DEL CASO

Paciente femenino de 47 años, sin antecedentes personales o familiares de relevancia, quien consulta remitida de hospital de menor complejidad por cuadro clínico de 15 meses de evolución por episodios recurrentes de astenia, adinamia, palidez y diaforesis, llegando inclusive a pérdida del estado de conciencia, con documentación de niveles glucémicos inferiores a 40 mg/dl; dichas manifestaciones clínicas resuelven completamente tras la administración de glucosa no cuantificada.

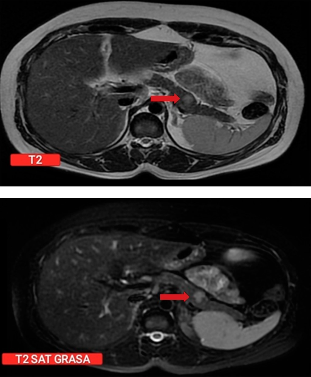
Por cuadro de hipoglucemia severa y recurrente no asociado a la ingesta de antidiabéticos o hipoglucemiantes exógenos se realiza prueba de ayuno de 72 horas con medición de niveles de glucosa e insulina, constatando hipoglucemia con niveles normales de insulina; se realiza tomografía de cráneo y de silla turca sin encontrar lesiones; sin embargo, en la tomografía de abdomen resalta la presencia de un aumento focal en el tamaño de glándula suprarrenal, por lo que se decide caracterizar con resonancia magnética de abdomen en la que se identifica lesión focal única de 13 × 10 mm en la unión del cuerpo y cola pancreático (Figura 1), descrita como hipointensa en secuencias T1 técnicas de saturación grasa (FAT SAT), ligeramente hiperintensa en secuencias T2 con discreto realce periférico tras la administración de contraste y restricción en secuencia Diffusion-weighted Magnetic Resonance Imaging (DWI) y mapa coeficiente de difusión aparente (ADC).

Es valorada en conjunto por el grupo de endocrinología, considerando tumor neuroendocrino en páncreas, se solicitan paraclínicos y marcadores tumorales con positividad marcada para cromogranina A: 412 ng/ml (Tabla 1); por la recurrencia y persistencia de hipoglucemia pese a altos flujos metabólicos se decide llevar a pancreatectomía distal por laparoscopia a través de la cual se extrae lesión tumoral única de 1.5 cm localizada en el cuerpo del páncreas, se remite posteriormente la pieza al servicio de anatomía patológica.

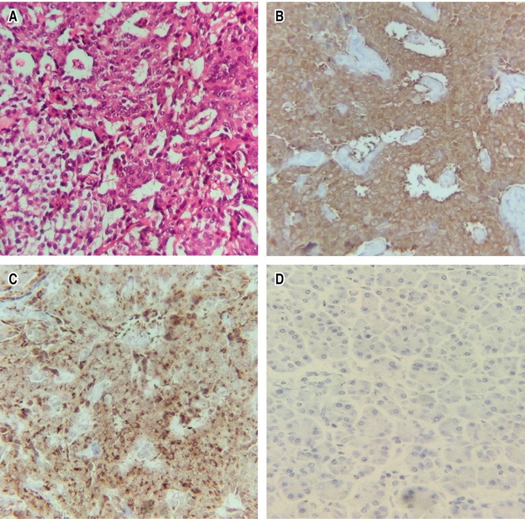
El análisis de patología reveló la presencia de un tumor neuroendocrino pancreático compatible con insulinoma por la historia clínica remitida; el diagnóstico se confirmó después de la realización de los estudios de inmunohistoquímica pertinentes (Figura 2).

Luego del procedimiento la paciente evoluciona asintomática, sin nuevos episodios de hipoglucemia tras varios días de observación, razón por la que se da egreso con indicación de seguimiento ambulatorio, fue valorada por consulta externa un mes posterior a su egreso, sin evidencia de nuevos episodios de hipoglicemia, asintomática, con tomografía de abdomen contrastada que no evidencia lesiones residuales, con cambios secundarios a su intervención quirúrgica, se le indicó continuar seguimiento médico cada tres meses.



DISCUSIóN

El abordaje diagnóstico y terapéutico de esta entidad debe ser multidisciplinario, el enfoque inicial debe ser realizado por un especialista en endocrinología que conozca las pautas de manejo, lo cual se suma a un buen servicio de radiología que establezca la presencia de la lesión y la delimitación de la misma para que en caso de que exista la posibilidad de resección, se realice el procedimiento mediante un grupo quirúrgico altamente calificado que garantice buenos resultados oncológicos.5

En pacientes con insulinoma, los episodios de hipoglucemia hiperinsulinemia causan diversos síntomas autonómicos y neuroglucopénicos, que suelen aparecer en ayunas. La documentación de la llamada tríada de Whipple, es decir, síntomas compatibles con hipoglucemia, glucosa plasmática baja medida en el momento de los síntomas y alivio inmediato de los síntomas después de la administración de glucosa, es la piedra angular del diagnóstico de insulinoma.6

La demostración de una glucosa plasmática baja concomitante con niveles inapropiadamente altos de insulina sérica y péptido C en un paciente sintomático constituye la base para el diagnóstico bioquímico, con la exclusión de otras causas de hipoglucemia hiperinsulinémica; los niveles de B-hidroxibutirato de 2.7 mmol/litro o menos, un aumento de la glucosa plasmática de al menos 1.4 mmol/litro después de la administración de glucagón intravenoso y una detección negativa de agentes hipoglucemiantes orales distinguen la hipoglucemia hiperinsulinémica endógena de la causada por otros mecanismos.7

Una prueba de ayuno de 72 horas con mediciones de glucosa plasmática, insulina y péptido C se considera el estándar de oro para el diagnóstico bioquímico del insulinoma.6

La resonancia magnética (RM) dinámica mejorada con gadolinio, la tomografía computarizada (TC) trifásica y la ultrasonografía endoscópica (USE) se han considerado como las modalidades de imagen más útiles para la evaluación de insulinomas; en manos experimentadas, la sensibilidad de la USE es de 70 a 95% y en combinación con la TC trifásica, se han informado sensibilidades de hasta 100%.8

La piedra angular para la resección completa de la lesión es el tratamiento quirúrgico, se prefiere la realización por vía laparoscópica con confirmación mediante ultrasonografía intraoperatoria de la localización de la lesión, todo esto si se consideran las ventajas inherentes a la cirugía mínimamente invasiva (menor dolor postoperatorio, estancia hospitalaria más corta, mejores resultados estéticos, reducción de la morbilidad), pero la vía abierta también puede utilizarse sin estar contraindicada.9

A pesar de lo característico en cuanto al comportamiento clínico de los insulinomas, siempre debe realizarse la confirmación diagnóstica mediante el estudio de anatomía patológica; estas lesiones se caracterizan a nivel macroscópico por ser lesiones solitarias, bien delimitadas, con superficie de corte homogéneo de color amarillo tostado con o sin hemorragia.5 A nivel microscópico, es característica la presencia de células monótonas que muestran núcleos redondos con cromatina tipo sal/pimienta y abundante citoplasma, que se disponen en una arquitectura trabecular, anidada, giriforme o sólida.10

La marcación de inmunohistoquímica resulta sumamente útil, las tinciones a usarse incluyen marcadores neuroendocrinos como sinaptofisina, cromogranina A, insulin gene enhancer protein ISL-1, proinsulina, amilina y polipéptido amiloide de los islotes que confirmen la sospecha; sumado al índice de proliferación celular Ki-67 y marcadores epiteliales que descarten lesiones de este tipo tales como los cocteles de citoqueratinas.11

Sumado al estudio convencional, se deben practicar análisis genéticos en pacientes con aparición temprana de estas lesiones, se recomienda principalmente en menores de 30 años, que permitan descartar la afectación por síndromes clínicos hereditarios (neoplasia endocrina múltiple (NEM) tipo 1, el síndrome de Von Hippel Lindau (VHL) y la neurofibromatosis tipo 1 (NF-1) y que ayuden a un cribado de lesiones sincrónicas de otra naturaleza en el paciente.12

El pronóstico de los afectados en el postoperatorio por lo general es bueno; sin embargo, se describen algunos factores que se relacionan con una evolución menos favorable, dentro de los que destacan tamaño tumoral mayor de 2 cm, alto índice de marcaje de Ki-67 y recuento mitótico alto. A pesar de ellos, los insulinomas malignos con frecuencia son grado 2 según la clasificación de la Organización Mundial de la Salud.13



CONCLUSIóN

Pese a su baja incidencia, el insulinoma es la neoplasia neuroendocrina más frecuente del páncreas susceptible a tratamiento quirúrgico curativo, por lo que su reconocimiento y manejo oportuno es de vital importancia; para el enfoque del paciente el abordaje multidisciplinario va a permitir mejores decisiones de manejo y por ende, resultados oncológicos más favorables con mejoría en la calidad de vida del paciente.


REFERENCIAS (EN ESTE ARTÍCULO)

  1. Ma ZY, Gong YF, Zhuang HK, et al. Pancreatic neuroendocrine tumors: a review of serum biomarkers, staging, and management. World J Gastroenterol. 2020; 26: 2305-2322. doi: 10.3748/wjg.v26.i19.2305.

  2. Sun J. Pancreatic neuroendocrine tumors. Intractable Rare Dis Res. 2017; 6: 21-28. doi: 10.5582/irdr.2017.01007.

  3. Okabayashi T, Shima Y, Sumiyoshi T, et al. Diagnosis and management of insulinoma. World J Gastroenterol. 2013; 19: 829-837. doi: 10.3748/wjg.v19.i6.829.

  4. Tarchouli M, Ali AA, Ratbi MB, et al. Long-standing insulinoma: two case reports and review of the literature. BMC Res Notes. 2015; 8: 444. doi: 10.1186/s13104-015-1424-1.

  5. Salaria SN, Shi C. Pancreatic neuroendocrine tumors. Surg Pathol Clin. 2016; 9: 595-617. doi: 10.1016/j.path.2016.05.006.

  6. Giannis D, Moris D, Karachaliou GS, Tsilimigras DI, Karaolanis G, Papalampros A, Felekouras E. Insulinomas: from diagnosis to treatment. A review of the literature. J BUON. 2020; 25: 1302-1314.

  7. Escartín R, Brun N, García Monforte MN, Ferreres JC, Corripio R. Insulinoma: a rare cause of hypoglycemia in childhood. Am J Case Rep. 2018; 19: 1121-1125. doi: 10.12659/AJCR.910426.

  8. Chen LJ, Han YD, Zhang M. Diagnosis value preoperative localization of insulinoma by diffusion-weighted imaging: a pilot study. Medicine (Baltimore). 2020; 99: e23048. doi: 10.1097/MD.0000000000023048.

  9. De Carbonnières A, Challine A, Cottereau AS, et al. Surgical management of insulinoma over three decades. HPB (Oxford). 2021; 23: 1799-1806. doi: 10.1016/j.hpb.2021.04.013.

  10. Cheng Y, Zhan H, Wang L, Xu J, Zhang G, Zhang Z, Hu S. Analysis of 100 consecutive cases of resectable pancreatic neuroendocrine neoplasms: clinicopathological characteristics and long-term outcomes. Front Med. 2016; 10: 444-450. doi: 10.1007/s11684-016-0471-x.

  11. Graham RP, Shrestha B, Caron BL, Smyrk TC, Grogg KL, Lloyd RV, Zhang L. Islet-1 is a sensitive but not entirely specific marker for pancreatic neuroendocrine neoplasms and their metastases. Am J Surg Pathol. 2013; 37: 399-405. doi: 10.1097/PAS.0b013e31826f042c.

  12. Choe J, Kim KW, Kim HJ, et al. What Is New in the 2017 World Health Organization Classification and 8th American Joint Committee on Cancer Staging System for Pancreatic Neuroendocrine Neoplasms? Korean J Radiol. 2019; 20: 5-17. doi: 10.3348/kjr.2018.0040.

  13. Gao Y, Gao H, Wang G, Yin L, Xu W, Peng Y, Wu J, Jiang K, Miao Y. A meta-analysis of prognostic factor of pancreatic neuroendocrine neoplasms. Sci Rep. 2018; 8: 7271. doi: 10.1038/s41598-018-24072-0.



AFILIACIONES

1 Residente de segundo año, postgrado de Patología. ORCID: 0000-0003-3021-0319 Universidad de Cartagena. Cartagena, Colombia.

2 Docente de cátedra, Departamento de Patología. Universidad de Cartagena. Cartagena, Colombia.

3 Residente de segundo año, postgrado de Medicina Interna. Universidad de Cartagena. Cartagena, Colombia.



Consideraciones y responsabilidad ética: privacidad de los datos. De acuerdo a los protocolos establecidos en nuestro centro de trabajo, se declara que se han seguido los protocolos sobre la privacidad de datos de pacientes y preservado su anonimato.

Financiamiento: no se recibió apoyo financiero para la elaboración de este trabajo.

Conflicto de intereses: ninguno de los autores tiene conflicto de intereses en la realización de este estudio.



CORRESPONDENCIA

Pablo Salomón Montes-Arcón. E-mail: pmontesarcon@gmail.com




Recibido: 04/04/2022. Aceptado: 22/02/2023

Figura 1
Figura 2
Tabla 1

2020     |     www.medigraphic.com

Mi perfil

C?MO CITAR (Vancouver)

Cir Gen. 2023;45

ARTíCULOS SIMILARES

CARGANDO ...