medigraphic.com
ENGLISH

Cirujano General

ISSN 2594-1518 (Digital)
ISSN 1405-0099 (Impreso)
  • Mostrar índice
  • Números disponibles
  • Información
    • Información general        
    • Directorio
  • Publicar
    • Instrucciones para autores        
    • Envío de artículos
  • medigraphic.com
    • Inicio
    • Índice de revistas            
    • Registro / Acceso
  • Mi perfil

2023, Número 1

<< Anterior Siguiente >>

Cir Gen 2023; 45 (1)


Absceso hepático secundario a ruptura intrahepática de piocolecisto

Sevilla Santoyo, Mizael Orlando1; Bolaños Badillo, Luis Enrique2; Frías Almaraz, Julián Felipe3
Texto completo Cómo citar este artículo 10.35366/110702

DOI

DOI: 10.35366/110702
URL: https://dx.doi.org/10.35366/110702
Artículos similares

Idioma: Español/Inglés [English version]
Referencias bibliográficas: 8
Paginas: 43-46
Archivo PDF: 285.33 Kb.


PALABRAS CLAVE

piocolecisto, bilioma, perforación vesícula biliar, absceso hepático, laparoscopia.

RESUMEN

Introducción: la perforación espontánea de la vesícula biliar es una complicación poco frecuente de las patologías vesiculares, en la colecistitis aguda se presenta aproximadamente 2% de los casos, se asocia con una mortalidad entre 12 y 42%. Si se presenta con un absceso hepático concomitante es aún más rara. Material y métodos: paciente femenino de 55 años quien acudió al servicio de urgencias por dolor abdominal en epigastrio e hipocondrio derecho, irradiado a región interescapular de un mes de evolución. Se encontró leucocitosis, elevación de fosfatasa alcalina (FA) y gamma-glutamil transferasa (GGT); la tomografía axial computarizada (TAC) abdominal contrastada mostró vesícula biliar con litos impactados en su interior, ruptura intrahepática y absceso intrahepático. Resultados: realizamos colecistectomía más drenaje de absceso y colocación de drenajes por laparoscopia. Colocamos cuatro trocares, encontramos vesicular biliar Parkland 5 y absceso hepático en segmentos IV y V, se extrajo pieza con bolsa extractora y finalmente se colocaron drenajes de 19 Fr a hiato de Winslow y a cavidad del absceso. Conclusiones: la ruptura vesicular con formación de absceso hepático es una complicación poco frecuente. Representa un reto diagnóstico para el cirujano; sin embargo, gracias a las nuevas herramientas diagnósticas se puede realizar el diagnóstico de manera oportuna.



INTRODUCCIóN

La perforación espontánea de la vesícula biliar es una complicación poco frecuente y severa de las patologías vesiculares que puede poner en riesgo la vida del paciente.1-3 Su presentación con un absceso hepático concomitante es una complicación aún más rara. En el caso de los pacientes con colecistitis aguda se conoce que aproximadamente de 0.8 a 3.2% de los casos presentan perforación de la vesícula biliar hacia cavidad abdominal;2,4,5 sin embargo, se desconoce la incidencia de perforación con formación de un absceso intrahepático secundario y sólo existen reportes de caso en la literatura.2 Ésta se asocia con alta morbimortalidad, con una mortalidad reportada que oscila entre 12 y 42% de los casos,5 incluso con manejo médico agresivo y múltiples intervenciones.2

La perforación de la vesícula biliar se desarrolla a partir de una serie de eventos que son desencadenados por la obstrucción del conducto cístico, generalmente por un lito, lo cual es seguido de estasis biliar y distensión vesicular. Posteriormente provoca aumento de la presión intraluminal que lleva a compromiso vascular y linfático, resultando en necrosis vesicular y finalmente perforación de ésta. La localización más frecuente de las perforaciones vesiculares es el fondo debido a que es la zona más distal y contiene el aporte sanguíneo más precario.1,2,4

En el abordaje de esta patología el ultrasonido abdominal puede brindar información importante para el diagnóstico; sin embargo, la tomografía es una herramienta más sensible para llegar a un diagnóstico preciso y planear la resolución del cuadro.2



PRESENTACIóN DEL CASO

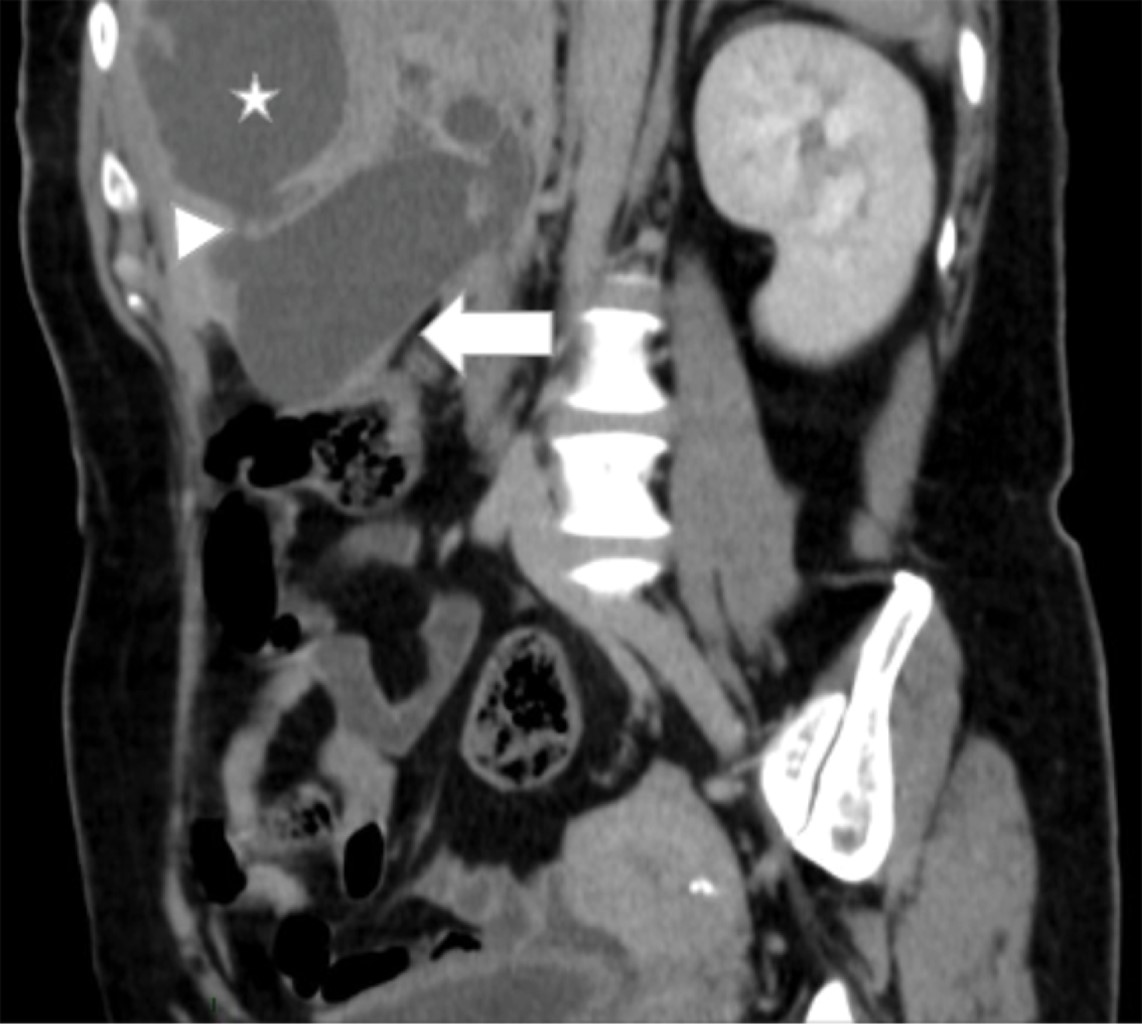
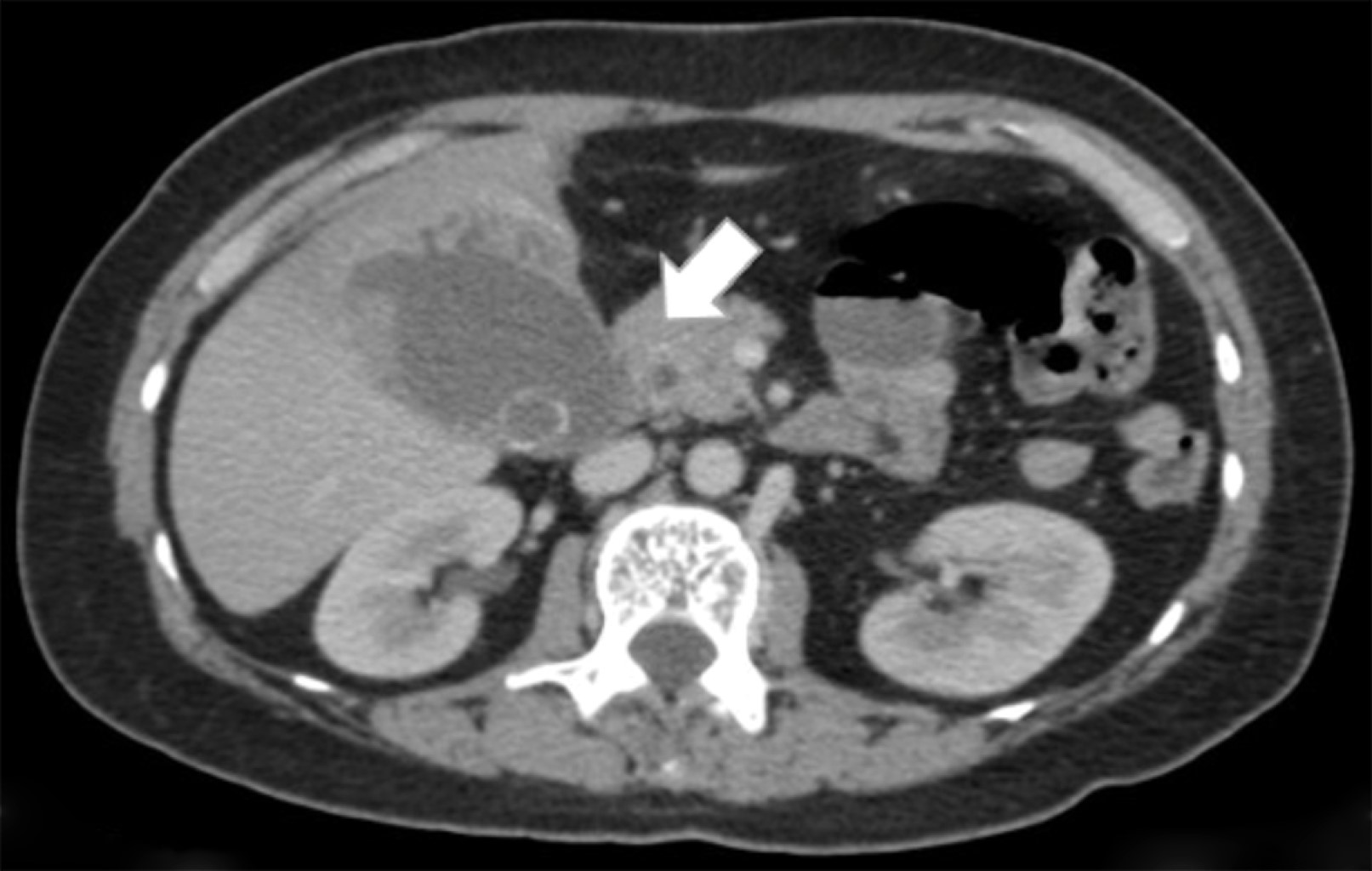
Se trata de paciente femenino de 55 años de edad quien acudió al servicio de urgencias con un cuadro de un mes de evolución caracterizado por dolor abdominal localizado en epigastrio e hipocondrio derecho, irradiado a región interescapular, mismo que fue aumentando, por lo que decidió acudir con facultativo quien inició manejo homeopático; sin embargo, no presentó mejoría, por lo que acudió al servicio de urgencias de nuestra unidad hospitalaria donde se registraron los siguientes signos vitales: TA (tensión arterial) 114/76 mmHg, Fc (frecuencia cardiaca) 124 lpm, Fr (frecuencia respiratoria) 16 rpm, temperatura 36 oC. Al interrogatorio la paciente negó la presencia de fiebre, náusea, vómito o presencia de evacuaciones disminuidas en consistencia. Para su abordaje se solicitaron laboratorios generales, de los cuales destacan la presencia de leucocitosis (12,300 mm3), elevación de fosfatasa alcalina y GGT (315 y 268 U/l respectivamente); se solicitó una tomografía computarizada de abdomen con contraste intravenoso (Figuras 1, 2 y 3) que evidenció la presencia de vesícula biliar con litos en su interior, impactados y ruptura intrahepática, además de un absceso intrahepático en segmentos IV y V (Figura 2).

Se inició antibioticoterapia a base de carbapenémico e imidazol con posterior manejo quirúrgico. Se realizó colecistectomía más drenaje de absceso y colocación de drenajes por laparoscopia. Se colocaron cuatro trocares, en región umbilical y subxifoidea de 12 mm, en hipocondrio y flanco derecho de 5 mm, encontramos una vesicular biliar cubierta en su totalidad por epiplón correspondiente a Parkland 5 (Figura 4) con paredes adematosas y un absceso hepático en segmentos IV y V adherido a pared abdominal. Se drenaron aproximadamente 200 cm3 de material purulento (piocolecisto y absceso) (Figura 5), mismos que se mandaron a cultivar con reporte de crecimiento de Streptococcus anginosus y Enterobacter cloacae, se extrajo pieza con bolsa extractora y finalmente se colocaron drenajes cerrados de tipo Blake de 19 Fr a hiato de Winslow y a la cavidad del absceso, la paciente fue egresada a domicilio al cuarto día postoperatorio, se ajustó esquema antimicrobiano al egreso con ampicilina/sulbactam y metronidazol hasta completar 14 días totales de antibioticoterapia; en la consulta de seguimiento, al séptimo día postquirúrgico, la paciente se encontraba sin dolor en sitio quirúrgico, afebril, con buena tolerancia a la vía oral, con excretas al corriente. Se decide retirar ambos drenajes.



DISCUSIóN

La ruptura vesicular es una complicación poco frecuente1 de las patologías biliares. Existe mayor prevalencia en el sexo femenino en el contexto de una colecistitis aguda; empero, la perforación vesicular es más común en hombres.1 Se presenta aproximadamente en 2-10% de los pacientes con colecistitis aguda4,5 con una mortalidad de 12 a 42%.6

La perforación vesicular secundaria a litiasis se presenta en pacientes que postergan el tratamiento quirúrgico o que no mejoran con manejo conservador;4 por otra parte, en contexto de una colecistitis alitiásica, los pacientes son más susceptibles a una perforación vesicular.7

La presentación clínica suele ser insidiosa, con dolor abdominal de predominio en cuadrante superior derecho, puede o no asociar fiebre e ictericia. Se espera encontrar elevación de las enzimas hepáticas, en especial la fosfatasa alcalina (FA).2,7

La perforación vesicular inicia debido a la obstrucción del conducto cístico, impidiendo la salida de bilis a la vía biliar principal, la cual es secundaria a un lito en su gran mayoría, mismo que provoca estasis al interior de la vesícula y posterior distensión, esto genera aumento de la presión intravesicular, comprometiendo el drenaje venoso y linfático, dando como resultado isquemia y finalmente ocurre la perforación vesicular.7,8 El principal sitio de perforación es el fondo, ya que al ser la porción más distal del órgano, tiene el menor aporte sanguíneo y por ende, es más susceptible a sufrir isquemia y necrosis.6 En esta localización es más común el desarrollo de peritonitis biliar; sin embargo, las perforaciones en otras porciones de la vesícula suelen sellarse por el epiplón o asas intestinales, lo cual limita el daño al hipocondrio derecho y la cavidad abdominal.6

Niemeier propuso en 1934 una clasificación para la perforación vesicular (Tabla 1):6 las perforaciones tipo 1 representan 16%, se consideran crónicas por tratarse de un trayecto fistuloso; las perforaciones tipo 2 son las más comunes en 60%; y las tipo 3 representan 16% y se asocian a mayor mortalidad;4,7 sin embargo, dicha clasificación no incluye complicaciones como la ruptura intrahepática con formación de un absceso hepático secundario.1 No obstante, toda perforación vesicular se considera una urgencia quirúrgica.1 Las perforaciones de Niemeier tipo 1 y 3 usualmente requieren manejo quirúrgico urgente, mientras que las perforaciones tipo 2 pueden ser manejadas de manera inicial con drenaje o colecistostomía y posteriormente colecistectomía.4,6

En un artículo publicado por Hussain en 20161 se reporta que la mayoría de los casos de absceso hepático secundario a ruptura vesicular se resuelven con colecistectomía abierta, en nuestro caso optamos por un abordaje laparoscópico de inicio obteniendo buenos resultados postoperatorios, similares a los publicados por Quiroga,6 donde la estancia intrahospitalaria fue de cinco días en promedio. En dicho estudio se reporta que casi la mitad (42%) de los pacientes sometidos a colecistectomía laparoscópica requirieron de una segunda intervención; en nuestro caso no fue necesario ningún procedimiento adicional.



CONCLUSIONES

La ruptura vesicular con posterior formación de absceso hepático es una complicación poco frecuente. Representa un reto diagnóstico para el cirujano; sin embargo, gracias a las nuevas herramientas diagnósticas se puede realizar el diagnóstico de manera temprana.



AGRADECIMIENTOS

Dra. María Jose Raphael Garza, por su traducción del resumen a inglés.


REFERENCIAS (EN ESTE ARTÍCULO)

  1. Hussain T, Adams M, Ahmed M, Arshad N, Solkar M. Intrahepatic perforation of the gallbladder causing liver abscesses: case studies and literature review of a rare complication. Ann R Coll Surg Engl. 2016; 98: e88-e91.

  2. Singh K, Singh A, Vidyarthi SH, Jindal S, Thounaojam CK. Spontaneous Intrahepatic Type II Gallbladder Perforation: A Rare Cause of Liver Abscess - Case Report. J Clin Diagn Res. 2013; 7: 2012-2014.

  3. Gobel T, Kubitz R, Blondin D, Haussinger D. Intrahepatic type II gall bladder perforation by a gall stone in a CAPD patient. Eur J Med Res. 2011; 16: 213-216.

  4. Taneja S, Sharma A, Duseja AK, Kalra N, Chawla Y. Spontaneous perforation of gallbladder with intrahepatic bilioma. J Clin Exp Hepatol. 2011; 1: 210-211.

  5. Date RS, Thrumurthy SG, Whiteside S, Umer MA, Pursnani KG, Ward JB, et al. Gallbladder perforation: case series and systematic review. Int J Surg. 2012; 10: 63-68.

  6. Quiroga-Garza A, Alvarez-Villalobos NA, Angeles-Mar HJ, Garcia-Campa M, Muñoz-Leija MA, Salinas-Alvarez Y, et al. Localized gallbladder perforation: a systematic review of treatment and prognosis. HPB (Oxford). 2021; 23: 1639-1646.

  7. Niemeier OW. Acute free perforation of the gall-bladder. Ann Surg. 1934; 99: 922-924.

  8. Bolívar RMA, Cázarez AMA, Guadrón LCO, Fierro LR, Basil DGA, Valdespino GB. Ruptura intrahepática de vesícula biliar por piocolecisto presentándose como absceso hepático: reporte de un caso. Rev Mex Cir Endoscop. 2016; 17: 43-46.



AFILIACIONES

1 Residente de tercer año de cirugía general. Hospital Ángeles Pedregal. Ciudad de México.

2 Cirugía general. Coloproctólogo, Hospital General de México. Hospital Ángeles Pedregal. Ciudad de México.

3 Residente de cuarto año de imagenología. Hospital Ángeles Pedregal. Ciudad de México.



Consideraciones y responsabilidad ética: los autores declaran que siguieron los protocolos de su centro de trabajo sobre la publicación de datos de pacientes, resguardando su derecho a la privacidad mediante la confidencialidad de sus datos.

Financiamiento: no se recibió apoyo financiero para la realización de este trabajo.

Conflicto de intereses: los autores declaran que no existe ningún conflicto de intereses en la realización de este trabajo.



CORRESPONDENCIA

Mizael Orlando Sevilla Santoyo. E-mail: m_ss1191@hotmail.com




Recibido: 19/07/2022. Aceptado: 22/02/2023

Figura 1
Figura 2
Figura 3
Figura 4
Figura 5
Tabla 1

2020     |     www.medigraphic.com

Mi perfil

C?MO CITAR (Vancouver)

Cir Gen. 2023;45

ARTíCULOS SIMILARES

CARGANDO ...