medigraphic.com
SPANISH

Cirujano General

ISSN 2594-1518 (Electronic)
ISSN 1405-0099 (Print)
  • Contents
  • View Archive
  • Information
    • General Information        
    • Directory
  • Publish
    • Instructions for authors        
    • Send manuscript
  • medigraphic.com
    • Home
    • Journals index            
    • Register / Login
  • Mi perfil

2023, Number 1

<< Back Next >>

Cir Gen 2023; 45 (1)

Recurrent hypoglycemia secondary to pancreatic insulinoma

Montes-Arcón, Pablo Salomón1; Herrera-Lomonaco, Sandra2; Blanco-Pertuz, Paola María3; Pérez-Mingan, Gloria Caterine3
Full text How to cite this article 10.35366/110701

DOI

DOI: 10.35366/110701
URL: https://dx.doi.org/10.35366/110701

Language: English/Spanish [Versi?n en espa?ol]
References: 13
Page: 38-42
PDF size: 229.66 Kb.


Key words:

pancreas, insulinoma, neuroendocrine pancreatic tumor, diagnosis, management.

ABSTRACT

Pancreatic neuroendocrine tumors are rare neoplasms with variable behavior, which may or may not function according to their ability to produce hormones and therefore generate various symptoms in affected patients; an accurate diagnosis will determine a comprehensive management, which seeks to improve the quality of life of the patient, with emphasis on a complete resection to avoid the presence of residual disease. We present the case of a patient with recurrent hypoglycemic syndrome and imaging studies that showed a tumor lesion in the body of the pancreas; which is surgically intervened with total resection of the lesion, obtaining as a result in the pathological study the diagnosis of pancreatic neuroendocrine tumor (insulinoma).



INTRODUCTION

Neuroendocrine neoplasms (NEN) are a group of tumors that originate from neuroendocrine cells located in all organs, mainly in the lung, gastrointestinal tract, and pancreas; at the pancreatic level, these lesions have a biological behavior according to their capacity to produce hormones and relatively different clinical management compared to adenocarcinomas; their incidence is less than or equal to one case per 100,000 individuals per year, and they only comprise 1 to 2% of pancreatic neoplasms, their incidence is increasing.1

In general, these neoplasms have a sporadic presentation; however, they are also associated with various hereditary entities such as multiple endocrine neoplasias (MEN) type 1, Von Hippel Lindau syndrome (VHL), and neurofibromatosis type 1 (NF-1).2

The diagnosis of these pathologies will depend on their functional capacity. Clinically, those with hormone production tend to have an earlier diagnosis and a smaller tumor size compared to non-functioning ones, in which the diagnosis is mainly due to incidental findings through imaging studies motivated by other causes unrelated to the lesion.3

Within the pancreatic NEN, insulinomas are the pancreas' most common functioning endocrine neoplasm. Their main symptom is hypoglycemia, and their etiology is unknown, they occur in one to four persons per million in the general population, can be seen at any age, with an equal gender distribution; up to 90% of insulinomas are benign, 90% are solitary, > 90% occur in intrapancreatic sites, and 90% are < 2 cm in diameter, their distribution is uniform throughout the pancreas. Extrapancreatic localization is rare (incidence < 2%) with a higher frequency of wall duodenum; 90% occur in intrapancreatic sites, and 90% are < 2 cm in diameter; their distribution is uniform throughout the pancreas, and extrapancreatic location is rare (incidence < 2%) with greater frequency in the duodenal wall.4



PRESENTATION OF THE CASE

A 47-year-old female patient with no relevant personal or family history was referred from a less complex hospital for a clinical picture of 15 months of evolution due to recurrent episodes of asthenia, adynamia, pallor, and diaphoresis, including loss of consciousness, with documentation of glycemic levels below 40 mg/dl; these clinical manifestations entirely resolved after administration of unquantified glucose.

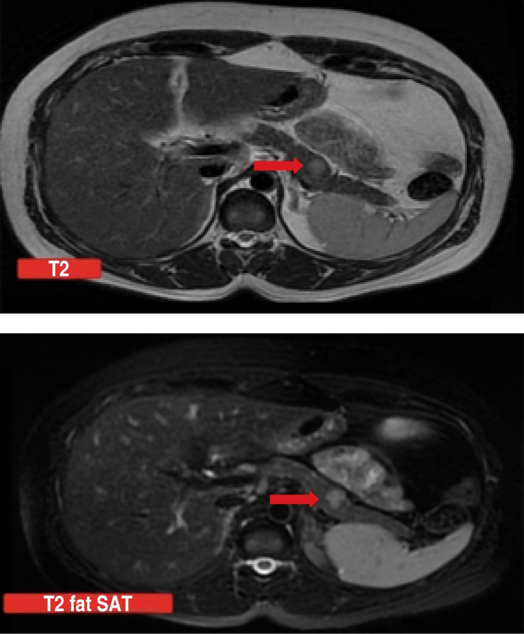
Due to severe and recurrent hypoglycemia not associated with the intake of antidiabetic or exogenous hypoglycemic agents, a 72-hour fasting test was performed with measurement of glucose and insulin levels, confirming hypoglycemia with normal insulin levels; a tomography of the skull and sella turcica was performed without finding lesions; However, an abdominal CT scan showed the presence of a focal increase in the size of the adrenal gland, so it was decided to characterize with MRI of the abdomen in which a single focal lesion of 13 × 10 mm was identified at the junction of the pancreatic body and tail (Figure 1), described as hypointense in T1 sequences fat saturation techniques (FAT SAT), slightly hyperintense in T2 sequences with discrete peripheral enhancement after contrast administration and restriction in diffusion-weighted magnetic resonance imaging (DWI) sequence and an apparent diffusion coefficient (ADC) map.

She was evaluated by the endocrinology group, considering a neuroendocrine tumor in the pancreas; paraclinical and tumor markers were requested that showed positivity for chromogranin A of 412 ng/ml (Table 1); due to recurrence and persistence of hypoglycemia despite high metabolic flows, it was decided to perform a distal pancreatectomy by laparoscopy through which a single 1.5 cm tumor located in the body of the pancreas was found and removed. The specimen was subsequently sent to the pathology department.

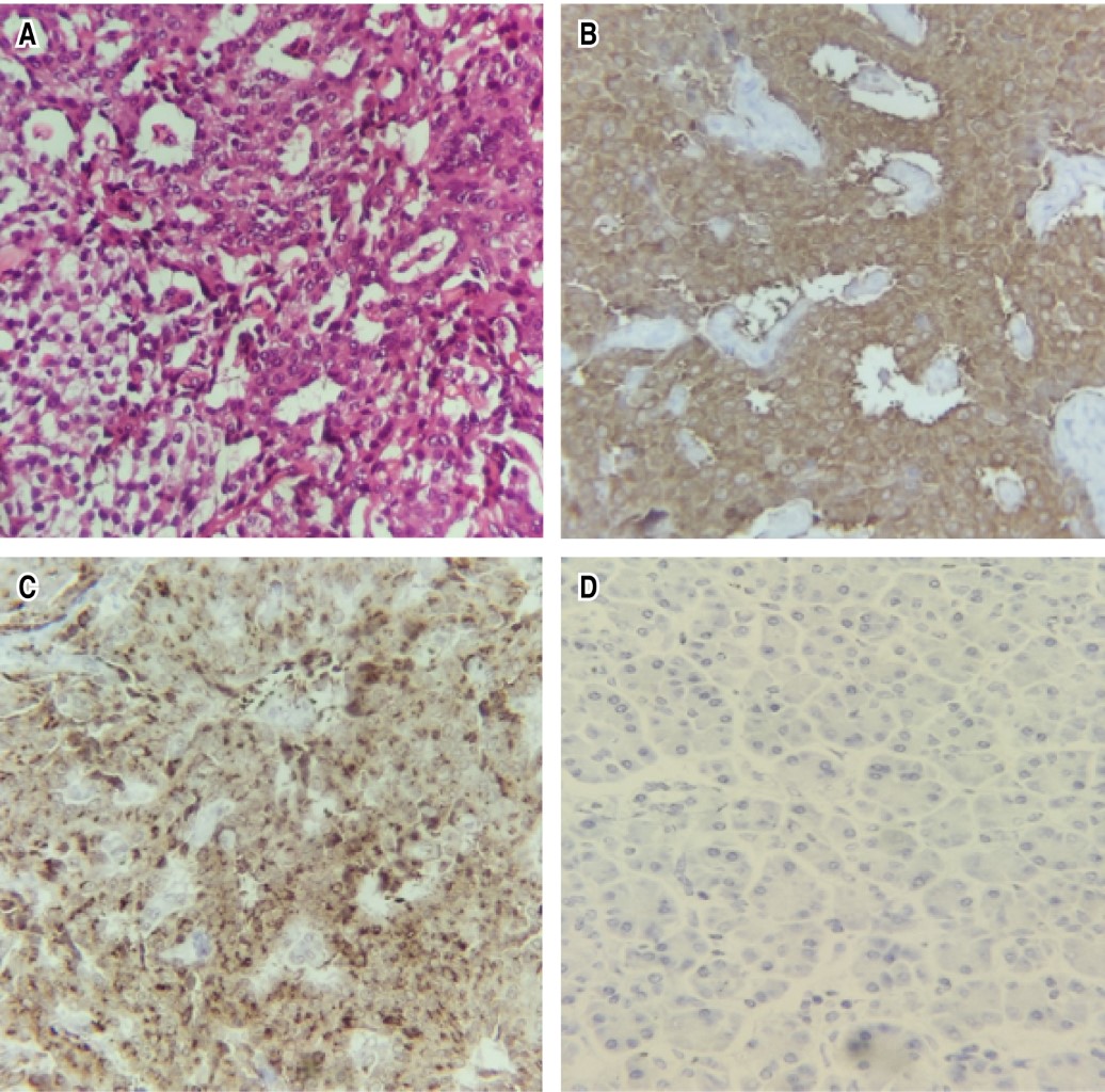
Pathology analysis revealed the presence of a pancreatic neuroendocrine tumor compatible with insulinoma from the submitted clinical history; the diagnosis was confirmed after performing the relevant immunohistochemistry studies (Figure 2).

After the procedure, the patient evolved asymptomatic, without new episodes of hypoglycemia after several days of observation, the reason for which she was discharged with the indication for outpatient follow-up. She was evaluated at an outpatient clinic one month after her discharge without evidence of new episodes of hypoglycemia. She was asymptomatic, and the contrasted abdominal tomography follow-up scan showed no residual lesions, with changes secondary to her surgical intervention; she was indicated to continue medical follow-up every three months.



DISCUSSION

The diagnostic and therapeutic approach to this entity should be multidisciplinary. The initial approach should be performed by a specialist in endocrinology who knows the management guidelines, added to a good radiology service that establishes the presence of the lesion and its delimitation so that in case there is the possibility of resection, the procedure is performed by a highly qualified surgical group that guarantees good oncological results.5

In patients with insulinoma, episodes of hyperinsulinemic hypoglycemia cause various autonomic and neuroglycopenic symptoms, usually appearing on an empty stomach. Documentation of the so-called Whipple's triad, i.e., symptoms consistent with hypoglycemia, low plasma glucose measured at the time of symptoms, and immediate relief of symptoms after glucose administration, is the cornerstone of the diagnosis of insulinoma.6

Demonstration of concomitant low plasma glucose with inappropriately high serum insulin and C-peptide levels in a symptomatic patient forms the basis for biochemical diagnosis, with the exclusion of other causes of hyperinsulinemic hypoglycemia; B-hydroxybutyrate levels of 2.7 mmol/l or less, an increase in plasma glucose of at least 1.4 mmol/l after intravenous glucagon administration, and a negative detection of oral hypoglycemic agents distinguish endogenous hyperinsulinemic hypoglycemia from that caused by other mechanisms.7

A 72-hour fasting test with plasma glucose, insulin, and C-peptide measurements is considered the gold standard for the biochemical diagnosis of insulinoma.6

Dynamic gadolinium-enhanced magnetic resonance imaging (MRI), three-phase computed tomography (CT) scan, and endoscopic ultrasonography (EUS) have been considered the most useful imaging modalities for the evaluation of insulinomas; in experienced hands, the sensitivity of EUS is 70-95% and in combination with three-phase CT, sensitivities of up to 100% have been reported.8

The cornerstone for complete resection of the lesion is surgical treatment. Laparoscopic surgery with intraoperative ultrasound confirmation of the location of the lesion is preferred, considering the inherent advantages of minimally invasive surgery (less postoperative pain, shorter hospital stay, better cosmetic results, reduced morbidity), but open surgery can also be used without being contraindicated.9

Despite the characteristic clinical behavior of insulinomas, diagnostic confirmation should always be made by anatomic pathology; these lesions are characterized at the macroscopic level as solitary, well-demarcated lesions with a homogeneous, tan-yellow cut surface with or without hemorrhage.5 Microscopically, monotonous cells showing round nuclei with salt/pepper chromatin and abundant cytoplasm arranged in a trabecular, nested, cribiform, or solid architecture are characteristic.10

Immunohistochemical labeling is extremely useful. Stains to be used include neuroendocrine markers such as synaptophysin, chromogranin A, insulin gene enhancer protein ISL-1, proinsulin, amylin, and islet amyloid polypeptide to confirm the suspicion, in addition to the Ki-67 cell proliferation index and epithelial markers to rule out lesions such as cytokeratin cocktails.11

In addition to the conventional study, genetic analysis should be performed in patients with early onset of these lesions, mainly recommended in patients under 30 years of age, to rule out the involvement of hereditary clinical syndromes such as multiple endocrine neoplasias (MEN) type 1, Von Hippel Lindau syndrome (VHL) and neurofibromatosis type 1 (NF-1) and to help screen the patient for synchronous lesions of another nature.12

The prognosis of these patients in the postoperative period is generally good; however, some factors have been described that are related to a less favorable evolution, among which tumor size greater than 2 cm, high Ki-67 labeling index, and high mitotic count stand out. Despite these, malignant insulinomas are frequently grade 2 according to the World Health Organization classification.13



CONCLUSION

Despite its low incidence, insulinoma is the most frequent neuroendocrine neoplasm of the pancreas susceptible to curative surgical treatment, so its recognition and timely management is of vital importance; for the patient's approach, the multidisciplinary approach will allow better management decisions and, therefore, more favorable oncologic results with improvement in the patient's quality of life.


REFERENCES

  1. Ma ZY, Gong YF, Zhuang HK, et al. Pancreatic neuroendocrine tumors: a review of serum biomarkers, staging, and management. World J Gastroenterol. 2020; 26: 2305-2322. doi: 10.3748/wjg.v26.i19.2305.

  2. Sun J. Pancreatic neuroendocrine tumors. Intractable Rare Dis Res. 2017; 6: 21-28. doi: 10.5582/irdr.2017.01007.

  3. Okabayashi T, Shima Y, Sumiyoshi T, et al. Diagnosis and management of insulinoma. World J Gastroenterol. 2013; 19: 829-837. doi: 10.3748/wjg.v19.i6.829.

  4. Tarchouli M, Ali AA, Ratbi MB, et al. Long-standing insulinoma: two case reports and review of the literature. BMC Res Notes. 2015; 8: 444. doi: 10.1186/s13104-015-1424-1.

  5. Salaria SN, Shi C. Pancreatic neuroendocrine tumors. Surg Pathol Clin. 2016; 9: 595-617. doi: 10.1016/j.path.2016.05.006.

  6. Giannis D, Moris D, Karachaliou GS, Tsilimigras DI, Karaolanis G, Papalampros A, Felekouras E. Insulinomas: from diagnosis to treatment. A review of the literature. J BUON. 2020; 25: 1302-1314.

  7. Escartín R, Brun N, García Monforte MN, Ferreres JC, Corripio R. Insulinoma: a rare cause of hypoglycemia in childhood. Am J Case Rep. 2018; 19: 1121-1125. doi: 10.12659/AJCR.910426.

  8. Chen LJ, Han YD, Zhang M. Diagnosis value preoperative localization of insulinoma by diffusion-weighted imaging: a pilot study. Medicine (Baltimore). 2020; 99: e23048. doi: 10.1097/MD.0000000000023048.

  9. De Carbonnières A, Challine A, Cottereau AS, et al. Surgical management of insulinoma over three decades. HPB (Oxford). 2021; 23: 1799-1806. doi: 10.1016/j.hpb.2021.04.013.

  10. Cheng Y, Zhan H, Wang L, Xu J, Zhang G, Zhang Z, Hu S. Analysis of 100 consecutive cases of resectable pancreatic neuroendocrine neoplasms: clinicopathological characteristics and long-term outcomes. Front Med. 2016; 10: 444-450. doi: 10.1007/s11684-016-0471-x.

  11. Graham RP, Shrestha B, Caron BL, Smyrk TC, Grogg KL, Lloyd RV, Zhang L. Islet-1 is a sensitive but not entirely specific marker for pancreatic neuroendocrine neoplasms and their metastases. Am J Surg Pathol. 2013; 37: 399-405. doi: 10.1097/PAS.0b013e31826f042c.

  12. Choe J, Kim KW, Kim HJ, et al. What Is New in the 2017 World Health Organization Classification and 8th American Joint Committee on Cancer Staging System for Pancreatic Neuroendocrine Neoplasms? Korean J Radiol. 2019; 20: 5-17. doi: 10.3348/kjr.2018.0040.

  13. Gao Y, Gao H, Wang G, Yin L, Xu W, Peng Y, Wu J, Jiang K, Miao Y. A meta-analysis of prognostic factor of pancreatic neuroendocrine neoplasms. Sci Rep. 2018; 8: 7271. doi: 10.1038/s41598-018-24072-0.



AFFILIATIONS

1 Second-year resident, postgraduate in Pathology. ORCID: 0000-0003-3021-0319. University of Cartagena. Cartagena, Colombia.

2 Lecturer, Department of Pathology. University of Cartagena. Cartagena, Colombia.

3 Second-year resident, postgraduate in Internal Medicine. University of Cartagena. Cartagena, Colombia.



Ethical considerations and responsibility: data privacy. According to the protocols established in our work center, we declare that we have followed the protocols on patient data privacy and preserved their anonymity.

Funding: no financial support was received for the preparation of this work.

Disclosure: none of the authors have a conflict of interest in the conduct of this study.



CORRESPONDENCE

Pablo Salomón Montes-Arcón. E-mail: pmontesarcon@gmail.com




Received: 04/04/2022. Accepted: 02/22/2023.

Figure 1
Figure 2
Table 1

2020     |     www.medigraphic.com

Mi perfil

C?MO CITAR (Vancouver)

Cir Gen. 2023;45