medigraphic.com
ENGLISH

Cirujano General

ISSN 2594-1518 (Digital)
ISSN 1405-0099 (Impreso)
  • Mostrar índice
  • Números disponibles
  • Información
    • Información general        
    • Directorio
  • Publicar
    • Instrucciones para autores        
    • Envío de artículos
  • medigraphic.com
    • Inicio
    • Índice de revistas            
    • Registro / Acceso
  • Mi perfil

2023, Número 1

<< Anterior

Cir Gen 2023; 45 (1)


Hernia interna del intestino delgado a través de defecto peritoneal posterior a reparación de hernia inguinal con técnica TAPP

Yeghiazaryan, Meri1; González-Urquijo, Mauricio2; González-Ruvalcaba, Román2; Moreno-García, María Luisa3; Ramírez-López, Cristian Santiago4
Texto completo Cómo citar este artículo 10.35366/110704

DOI

DOI: 10.35366/110704
URL: https://dx.doi.org/10.35366/110704
Artículos similares

Idioma: Español/Inglés [English version]
Referencias bibliográficas: 7
Paginas: 51-54
Archivo PDF: 193.35 Kb.


PALABRAS CLAVE

hernia interna, defecto peritoneal, hernia inguinal, técnica transabdominal preperitoneal.

RESUMEN

La obstrucción del intestino delgado posterior a reparación de hernia inguinal por técnica transabdominal preperitoneal es poco frecuente. A medida que se realizan con mayor frecuencia procedimientos como la técnica transabdominal preperitoneal (TAPP), las complicaciones poco comunes se vuelven más frecuentes y se deben tener en cuenta en el manejo perioperatorio y postoperatorio. Presentamos el caso de paciente masculino de 26 años que acude 10 horas posteriores a su egreso de hernioplastía inguinal por laparoscopia con técnica transabdominal preperitoneal, con cuadro clínico sugestivo de una obstrucción intestinal, se observó una hernia interna del intestino delgado a través de defecto peritoneal, siendo ésta una complicación poco común posterior a este procedimiento. Se realiza laparoscopia diagnóstica, se identificó como origen de la obstrucción un asa de intestino delgado herniada en el espacio preperitoneal a través de un defecto peritoneal sin evidencia de sufrimiento de asa, por lo cual se reduce la hernia y posteriormente se cierra el defecto con poliglactina 910 3-0.



INTRODUCCIóN

La obstrucción del intestino delgado posterior a la reparación de una hernia inguinal por técnica transabdominal preperitoneal (TAPP) es poco frecuente, con una incidencia de 0.2 a 0.5%. Las causas comunes de esto son cierre inadecuado, herniación en sitio del puerto y adherencias. Existen diversos factores de riesgo que pueden predisponer a desarrollar esta complicación y que hay que tener en cuenta para poder evitarlo.1

La causa de una hernia en el espacio preperitoneal se puede atribuir al cierre insuficiente del colgado peritoneal con aflojamiento de la sutura y posterior desplazamiento del intestino delgado, o también se puede herniar a través de un defecto peritoneal mal cerrado. Las complicaciones que pudieran presentarse al no cerrar los desgarros peritoneales incluyen la exposición de la malla al intestino con riesgo de erosión del mismo, adherencias, hernia interna a través del desgarro y obstrucción intestinal.2

Se hizo una revisión de la literatura donde hay pocos casos reportados con esta complicación. El objetivo del estudio es presentar el caso de un paciente de 26 años postoperado de TAPP, quien sufría de obstrucción intestinal secundaria a encarcelamiento de asa de intestino delgado en colgajo peritoneal de dicha hernioplastía. Asimismo, se realiza una revisión de la literatura al ser una complicación que es poco frecuente; cobra relevancia conocerla y tenerla en cuenta dentro de los diagnósticos diferenciales para poder resolverla de manera oportuna.



CASO CLíNICO

Paciente masculino de 26 años sin antecedentes médicos de importancia. Inició padecimiento 10 horas posteriores a su egreso de hernioplastía inguinal por laparoscopia con técnica TAPP con cuadro de náusea y vómito de contenido gastroalimentario en tres ocasiones, asociado a dolor abdominal en cuadrantes inferiores tipo cólico y ausencia de evacuaciones.

A la exploración física signos vitales dentro de parámetros normales, mucosas subhidratadas, abdomen con peristalsis disminuida, blando, depresible, dolor leve a la palpación media y profunda de forma generalizada, sin datos de irritación peritoneal.

Se solicitaron laboratorios que revelaron hemoglobina 17.2 g/dl; hematocrito 50%; leucocitos 12,800 cel/mm3; plaquetas 337,000 cel/mm3; proteína C reactiva 6.51 mg/dl; creatinina sérica 1.40 mg/dl; BUN 23 mg/dl.

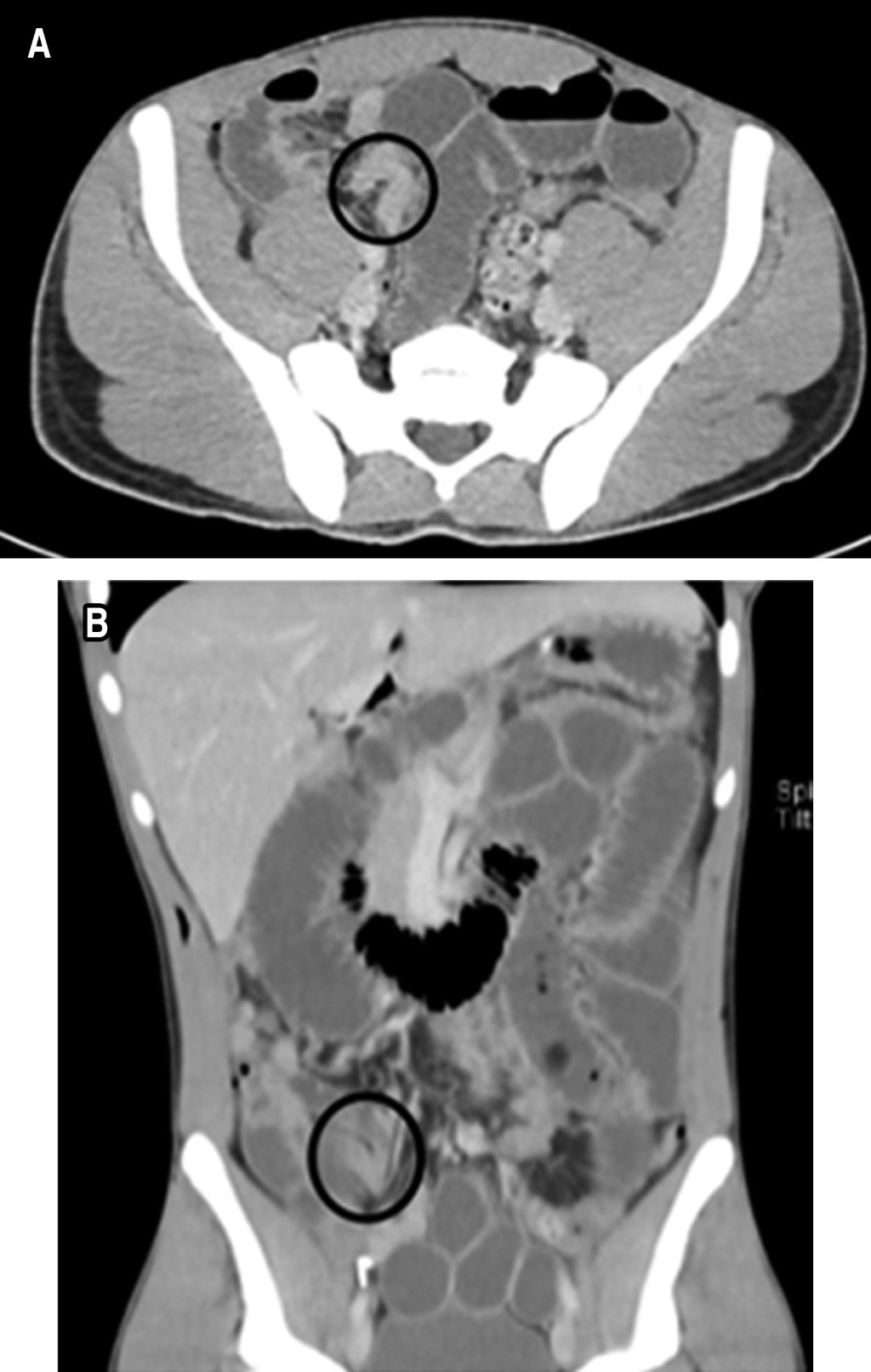
Se ingresó paciente para observación, hidratación por vía intravenosa con solución Ringer lactato y manejo médico sintomático persistiendo con sintomatología, por lo cual se indicó colocación de una sonda nasogástrica (SNG) y una tomografía computarizada (TC) de abdomen con contraste intravenoso. La TC de abdomen demostró obstrucción de intestino delgado con sospecha de hernia interna (Figura 1). Basado en hallazgos clínicos y radiológicos, se decidió realizar una laparoscopia diagnóstica de emergencia. Se identificó como origen de la obstrucción un asa de intestino delgado herniada en el espacio preperitoneal a través de un defecto peritoneal (Figura 2). No se identificaron datos de sufrimiento de asa, por lo cual se redujo la hernia y posterior cierre del defecto del peritoneo con poliglactina 910 2-0 puntos cruzados.

En el postoperatorio, con adecuada evolución, presentó canalización de gases y dos evacuaciones, se retiró sonda nasogástrica, toleró vía oral, se egresó 48 horas posteriores a la cirugía. Se cita posteriormente a la consulta después de siete días postoperado, cursando con una adecuada evolución, con tolerancia a dieta normal, sin náusea o vómito, sin dolor abdominal, con presencia de evacuaciones de características normales sin datos de alarma, por lo cual es egresado de la misma.



DISCUSIóN

Este caso representa una complicación poco frecuente posterior a una reparación de hernia inguinal por TAPP. En la actualidad, esta técnica se realiza con mayor frecuencia por ser un procedimiento mínimamente invasivo, menos dolor postoperatorio, mejor estética y menor estancia hospitalaria.3

Las causas comunes de esto son cierre inadecuado, herniación en sitio del puerto y adherencias.1 La presencia de comorbilidades y tamaño del defecto herniario son factores correlacionados con las complicaciones postoperatorias que con frecuencia precisan reintervención.4

Los factores de riesgo de requerir un manejo quirúrgico de forma temprana incluyen obstrucción en asa cerrada, evidencia de isquemia intestinal por tomografía computarizada, obstrucción de intestino delgado recurrente, datos de irritación peritoneal o síndrome de respuesta inflamatoria sistémica.1

El cierre adecuado del peritoneo durante el procedimiento inicial con atención especial a los detalles es indispensable para evitar hernias preperitoneales posterior a TAPP. La causa de una hernia en el espacio preperitoneal se puede atribuir al cierre insuficiente del colgajo peritoneal con aflojamiento de la sutura y posterior desplazamiento del intestino delgado, o también se puede herniar a través de un defecto peritoneal mal cerrado. La obstrucción del intestino delgado que resulta posterior a esto provoca síntomas de un íleo postoperatorio.5

Existen muchos métodos para cerrar el colgajo peritoneal que incluyen suturas, tachuelas y grapas. Se han reportado menos casos de una hernia en el espacio preperitoneal al utilizar sutura para su cierre.6 Una obstrucción intestinal como complicación de la reparación laparoscópica de una hernia inguinal se puede dividir en enfermedad por adherencias o por herniación. La causada por herniación a su vez se puede subdividir en temprana, por defectos peritoneales o tardía, a consecuencia de herniación en sitio del puerto.2 En el caso que presentamos podemos observar que la causa fue una herniación temprana provocada por un defecto peritoneal. Las complicaciones que pudieran surgir al no cerrar los desgarros peritoneales incluyen la exposición de la malla al intestino con riesgo de erosión del mismo, adherencias, hernia interna a través del desgarro y obstrucción intestinal.2

Además, cobran importancia otros detalles quirúrgicos relacionados con la reducción de la tensión peritoneal. Se puede reducir la presión del neumoperitoneo a 8-10 mmHg al cerrar el colgado peritoneal. También, se puede disecar más peritoneo desde las estructuras del cordón inferiormente hasta la reflexión peritoneal. Por último, el dióxido de carbono se debe liberar de manera lenta para evitar una diferencia de presión súbita entre la cavidad abdominal y espacio preperitoneal.7

En la literatura se encontró que al cerrar el colgajo peritoneal con sutura se tiene menos riesgo de que aparezca una hernia en el espacio preperitoneal, lo cual en nuestro caso fue así como se cerró inicialmente el colgajo peritoneal, aun así presentamos esta complicación, pero también fue el motivo por el que cerramos nuevamente el defecto peritoneal con sutura y ningún otro material para evitar que volviera a desgarrarse, y con lo cual pudimos tener una evolución favorable del paciente y no presentar de nuevo esta complicación.



CONCLUSIONES

En conclusión, éste es un caso que muestra una complicación muy rara, corresponde a una obstrucción intestinal causada por una hernia preperitoneal durante el periodo postoperatorio temprano relacionado a una falla en el cierre del defecto peritoneal durante el procedimiento TAPP.

A medida que se desarrollan de manera más frecuente procedimientos como TAPP alrededor del mundo, las complicaciones poco comunes se vuelven más frecuentes y se deben tener en cuenta en el manejo perioperatorio y postoperatorio. En nuestro caso se tuvo en cuenta este diagnóstico diferencial, por lo cual se intervino rápidamente teniendo un adecuado manejo.


REFERENCIAS (EN ESTE ARTÍCULO)

  1. Silva ANS, Kouroumpas E, Fearnhead N, Morton JR. Adhesional small bowel obstruction related to stapling device from previous laparoscopic inguinal hernia repair. BMJ Case Rep. 2019; 12: e229377.

  2. McKay R. Preperitoneal herniation and bowel obstruction post laparoscopic inguinal hernia repair: case report and review of the literature. Hernia. 2008; 12: 535-537.

  3. Tagliaferri EM, Wong Tavara SL, Abad de Jesus JL, Bergmann H, Hammans S, Seidlmayer CM. Small bowel obstruction SBO after TAPP repair caused by a self-anchoring barbed suture device for peritoneal closure: case report. J Surg Case Rep. 2018; 2018: rjy165.

  4. Sartori A, De Luca M, Noaro G, Piatto G, Pignata G, Di Leo A, et al. Rare intraoperative and postoperative complications after transabdominal laparoscopic hernia repair: results from the multicenter wall hernia group registry. J Laparoendosc Adv Surg Tech A. 2021; 31: 290-295.

  5. Thalheimer A, Vonlanthen R, Ivanova S, Stoupis C, Bueter M. Mind the gap - Small bowel obstruction due to preperitoneal herniation following laparoscopic inguinal hernia repair - A case report. Int J Surg Case Rep. 2021; 88: 106532.

  6. Hannan E, Baird O, Feeney M, Condon E. Peritoneal defect herniation causing small bowel obstruction: a rare complication of transabdominal preperitoneal repair. J Surg Case Rep. 2021; 2021: rjab263.

  7. Zou Z, Zhu Y, Wang F, Cao J, Liu Y, Yang H, et al. Preperitoneal herniation as a complication of tansabdominal preperitoneal patch plasty: a report of two cases. BMC Surg. 2021; 21: 227.



AFILIACIONES

1 Médico cirujano y partero. Residente de Cirugía General de segundo año. Escuela de Medicina y Ciencias de la Salud del Tecnológico de Monterrey. México.

2 Médico cirujano. Cirujano General. Escuela de Medicina y Ciencias de la Salud del Tecnológico de Monterrey. México.

3 Médico cirujano. Residente de Cirugía General de cuarto año. Escuela de Medicina y Ciencias de la Salud del Tecnológico de Monterrey. México.

4 Médico cirujano y partero. Residente de Cirugía General de quinto año. Escuela de Medicina y Ciencias de la Salud del Tecnológico de Monterrey. México.



Consideraciones y responsabilidad ética: los autores declaran que siguieron los protocolos de su centro de trabajo sobre la publicación de datos de pacientes, resguardando su derecho a la privacidad mediante la confidencialidad de sus datos.

Financiamiento: no se recibió apoyo financiero para la realización de este trabajo.

Conflicto de intereses: los autores declaran que no existe ningún conflicto de intereses en la realización del trabajo.



CORRESPONDENCIA

Mauricio González-Urquijo. E-mail: mauriciogzzu@gmail.com




Recibido: 17/04/2022. Aceptado: 22/02/2023

Figura 1
Figura 2

2020     |     www.medigraphic.com

Mi perfil

C?MO CITAR (Vancouver)

Cir Gen. 2023;45

ARTíCULOS SIMILARES

CARGANDO ...