medigraphic.com
SPANISH

Cirujano General

ISSN 2594-1518 (Electronic)
ISSN 1405-0099 (Print)
  • Contents
  • View Archive
  • Information
    • General Information        
    • Directory
  • Publish
    • Instructions for authors        
    • Send manuscript
  • medigraphic.com
    • Home
    • Journals index            
    • Register / Login
  • Mi perfil

2023, Number 1

<< Back

Cir Gen 2023; 45 (1)

Internal small bowel hernia through a peritoneal defect after inguinal hernia repair with TAPP technique

Yeghiazaryan, Meri1; González-Urquijo, Mauricio2; González-Ruvalcaba, Román2; Moreno-García, María Luisa3; Ramírez-López, Cristian Santiago4
Full text How to cite this article 10.35366/110704

DOI

DOI: 10.35366/110704
URL: https://dx.doi.org/10.35366/110704

Language: English/Spanish [Versi?n en espa?ol]
References: 7
Page: 51-54
PDF size: 202.54 Kb.


Key words:

internal hernia, peritoneal defect, inguinal hernia, transabdominal preperitoneal technique.

ABSTRACT

Small bowel obstruction after inguinal hernia repair by preperitoneal transabdominal technique is rare. As procedures such as TAPP are performed more frequently, rare complications become more frequent and must be considered in perioperative and postoperative management. We present the case of a 26-year-old male patient who attended 10 hours after his discharge from laparoscopic inguinal hernioplasty with preperitoneal transabdominal technique, with a clinical picture suggestive of intestinal obstruction, finding an internal hernia of the small intestine through a peritoneal defect, this being a rare complication following this procedure. Diagnostic laparoscopy was performed, a herniated small bowel loop in the preperitoneal space was identified as the origin of the obstruction through a peritoneal defect with no evidence of loop suffering, for which the hernia is reduced and the defect is subsequently closed with polyglactin 910 3-0.



INTRODUCTION

Obstruction of the small bowel following inguinal hernia repair by transabdominal preperitoneal technique (TAPP) is rare, with an incidence of 0.2 to 0.5%. Common causes of this are inadequate closure, port site herniation, and adhesions. Several risk factors that may predispose to this complication's development must be considered to avoid it.1

The cause of a hernia in the preperitoneal space can be attributed to insufficient closure of the peritoneal flap with loosening of the suture and subsequent displacement of the small bowel, or it can also herniate through a poorly closed peritoneal defect. Complications arising from failure to close peritoneal tears include exposure of the mesh to the bowel with a risk of bowel erosion, adhesion formation, internal herniation through the tear, and bowel obstruction.2

A literature review was done, and a few reported cases of this complication were found. The study's objective is to present the case of a 26-year-old patient postoperative of TAPP, who suffered from intestinal obstruction secondary to small bowel loop incarceration in the peritoneal flap of said hernioplasty. Likewise, a literature review was carried out since this complication is infrequent; it is essential to know about it and to take it into account within the differential diagnoses to solve it promptly.



CLINICAL CASE

The case of a 26-year-old male patient with no medical history of importance is presented. He started suffering 10 hours after his discharge from inguinal hernioplasty by laparoscopy with the TAPP technique with nausea and vomiting of gastro alimentary content on three occasions, associated with abdominal pain in the lower quadrants, cramping, and absence of bowel movements.

On physical examination, his vital signs were within normal parameters; the mucous membranes were underhydrated, the abdomen had decreased peristalsis, and was soft, depressible, and with mild pain on mid and deep palpation in a generalized manner, with no evidence of peritoneal irritation.

Labs were requested and revealed hemoglobin 17.2 g/dl, hematocrit 50%, leukocytes 12,800 cells/mm3, platelets 337,000 cells/mm3, C-reactive protein 6.51 mg/dl, serum creatinine 1.40 mg/dl, and BUN 23 mg/dl.

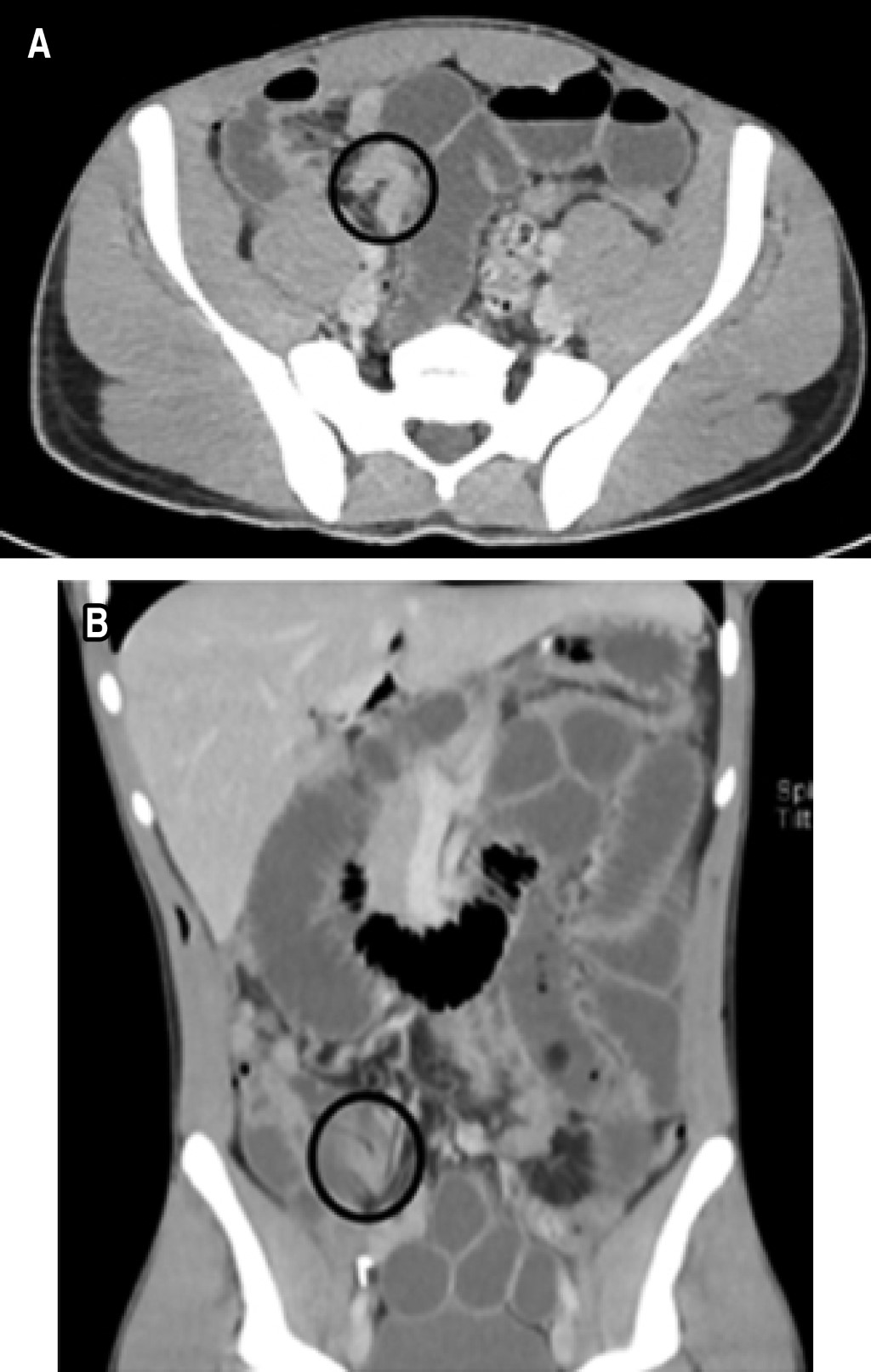
The patient was admitted for observation, intravenous hydration with lactated Ringer's solution was administered, and symptomatic medical management was instituted, persisting with symptomatology, for which the placement of a nasogastric tube (NGT) and a computed tomography (CT) scan of the abdomen with intravenous contrast was indicated. The abdominal CT scan demonstrated a small bowel obstruction with a suspected internal hernia (Figure 1). Based on clinical and radiological findings, it was decided to perform an emergency diagnostic laparoscopy. A small bowel loop herniated into the preperitoneal space through a peritoneal defect was identified as the origin of the obstruction (Figure 2). No evidence of loop distress was identified, so the hernia was reduced, and subsequent closure of the peritoneal defect with polyglactin 910 2-0 cross-stitches was done.

In the postoperative period, with good evolution, he presented gas channeling and two bowel movements; the nasogastric tube was removed; he tolerated the oral route and was discharged 48 hours after surgery. The patient was subsequently seen seven days after surgery. He had good evolution and tolerated the regular diet; he had no nausea, vomiting, or abdominal pain. Regular bowel movements were present without alarm data, for which he was discharged from the hospital.



DISCUSSION

This case represents a rare complication following inguinal hernia repair by TAPP. This technique is performed more frequently because it is a minimally invasive procedure, with less postoperative pain, better esthetics, and shorter hospital stay.3

Common causes of this complication are inadequate closure, port site herniation, and adhesions.1 The presence of comorbidities and the size of the hernia defect are factors correlated with postoperative complications that often require reoperation.4

Risk factors for early surgical management include closed-loop obstruction, CT evidence of intestinal ischemia, recurrent small bowel obstruction, evidence of peritoneal irritation, or systemic inflammatory response syndrome.1

Good closure of the peritoneum during the initial procedure with particular attention to detail is essential to avoid preperitoneal hernias following TAPP. The cause of a hernia in the preperitoneal space can be attributed to insufficient closure of the peritoneal flap with loosening of the suture and subsequent displacement of the small bowel, or it can also herniate through a poorly closed peritoneal defect. The resulting small bowel obstruction that follows this causes symptoms of postoperative ileus.5

Many methods of closing the peritoneal flap include sutures, tacks, and staples. Fewer cases of a hernia in the preperitoneal space have been reported when using sutures for closure.6 A bowel obstruction complication of laparoscopic inguinal hernia repair can be divided into adhesive or herniated disease. The one caused by herniation can be subdivided into early, due to peritoneal defects, or late, because of herniation at the port site.2 In the case presented here, we can see that the cause was an early herniation caused by a peritoneal defect. Complications that could arise from failure to close peritoneal tears include exposure of the mesh to the bowel with a risk of bowel erosion, adhesions, internal hernia through the tear, and bowel obstruction.2

In addition, other surgical details related to reducing peritoneal tension become essential. The pneumoperitoneal pressure can be reduced to 8-10 mmHg by closing the peritoneal flap. Also, more peritoneum can be dissected from the cord structures inferiorly to the peritoneal reflection. Finally, carbon dioxide should be released slowly to avoid a sudden pressure difference between the abdominal cavity and the preperitoneal space.7

In the literature, it was found that closing the peritoneal flap with sutures reduces the risk of a hernia appearing in the preperitoneal space, which in our case was how the peritoneal flap was initially closed; even so, had this complication but was also the reason why we closed the peritoneal defect again with sutures and no other material to prevent it from tearing again was used, and with which we were able to have a favorable evolution of the patient and not present this complication again.



CONCLUSIONS

In conclusion, this case shows an infrequent complication, corresponding to a bowel obstruction caused by a preperitoneal hernia during the early postoperative period related to a failure to close the peritoneal defect during the TAPP procedure.

As procedures such as TAPP are developed more frequently worldwide, uncommon complications become more frequent and must be considered in perioperative and postoperative management. This differential diagnosis was considered in our case, so we intervened quickly and had adequate management.


REFERENCES

  1. Silva ANS, Kouroumpas E, Fearnhead N, Morton JR. Adhesional small bowel obstruction related to stapling device from previous laparoscopic inguinal hernia repair. BMJ Case Rep. 2019; 12: e229377.

  2. McKay R. Preperitoneal herniation and bowel obstruction post laparoscopic inguinal hernia repair: case report and review of the literature. Hernia. 2008; 12: 535-537.

  3. Tagliaferri EM, Wong Tavara SL, Abad de Jesus JL, Bergmann H, Hammans S, Seidlmayer CM. Small bowel obstruction SBO after TAPP repair caused by a self-anchoring barbed suture device for peritoneal closure: case report. J Surg Case Rep. 2018; 2018: rjy165.

  4. Sartori A, De Luca M, Noaro G, Piatto G, Pignata G, Di Leo A, et al. Rare intraoperative and postoperative complications after transabdominal laparoscopic hernia repair: results from the multicenter wall hernia group registry. J Laparoendosc Adv Surg Tech A. 2021; 31: 290-295.

  5. Thalheimer A, Vonlanthen R, Ivanova S, Stoupis C, Bueter M. Mind the gap - Small bowel obstruction due to preperitoneal herniation following laparoscopic inguinal hernia repair - A case report. Int J Surg Case Rep. 2021; 88: 106532.

  6. Hannan E, Baird O, Feeney M, Condon E. Peritoneal defect herniation causing small bowel obstruction: a rare complication of transabdominal preperitoneal repair. J Surg Case Rep. 2021; 2021: rjab263.

  7. Zou Z, Zhu Y, Wang F, Cao J, Liu Y, Yang H, et al. Preperitoneal herniation as a complication of tansabdominal preperitoneal patch plasty: a report of two cases. BMC Surg. 2021; 21: 227.



AFFILIATIONS

1 Physician and midwife. Second-year General Surgery Resident. School of Medicine and Health Sciences of the Tecnológico de Monterrey. Mexico.

2 General Surgeon. School of Medicine and Health Sciences of the Tecnológico de Monterrey. Mexico.

3 Fourth-year General Surgery Resident. School of Medicine and Health Sciences of the Tecnológico de Monterrey. Mexico.

4 Physician and midwife. Fifth-year General Surgery Resident. School of Medicine and Health Sciences of the Tecnológico de Monterrey. Mexico.



Ethical considerations and responsibility: the authors declare that they followed the protocols of their work center on the publication of patient data, safeguarding their right to privacy through the confidentiality of their data.

Funding: no financial support was received for this work.

Disclosure: the authors declare no conflict of interest in carrying out the work.



CORRESPONDENCE

Mauricio González-Urquijo. E-mail: mauriciogzzu@gmail.com




Received: 04/17/2022. Accepted: 02/22/2023

Figure 1
Figure 2

2020     |     www.medigraphic.com

Mi perfil

C?MO CITAR (Vancouver)

Cir Gen. 2023;45