medigraphic.com
ENGLISH

Cirujano General

ISSN 2594-1518 (Digital)
ISSN 1405-0099 (Impreso)
  • Mostrar índice
  • Números disponibles
  • Información
    • Información general        
    • Directorio
  • Publicar
    • Instrucciones para autores        
    • Envío de artículos
  • medigraphic.com
    • Inicio
    • Índice de revistas            
    • Registro / Acceso
  • Mi perfil

2023, Número 1

<< Anterior Siguiente >>

Cir Gen 2023; 45 (1)


Fístula colecistogástrica: reporte de caso

Ayala-Hernández, Sandra G1; López-Loredo, José A1; Peña-Portillo, Guadalupe K1; Marín-Pardo, Erwin I1; Pérez-Torres, Guadalupe C1
Texto completo Cómo citar este artículo 10.35366/110703

DOI

DOI: 10.35366/110703
URL: https://dx.doi.org/10.35366/110703
Artículos similares

Idioma: Español/Inglés [English version]
Referencias bibliográficas: 8
Paginas: 47-50
Archivo PDF: 220.13 Kb.


PALABRAS CLAVE

fístula colecistogástrica, colecistectomía de intervalo, cirugía abierta.

RESUMEN

Introducción: las fístulas colecistoentéricas son poco frecuentes, la más común es la colecistoduodenal. Se deben a la erosión de la vesícula con ulterior formación del trayecto fistuloso. Caso clínico: paciente femenino de 59 años, con antecedente de cólico biliar de seis meses de evolución. Con tomografía de abdomen se observó pneumobilia, distensión gástrica y lito en píloro. Se realiza cirugía conservadora, con remoción del lito y colocación de sonda nasoyeyunal. Conclusión: la colecistectomía de intervalo es una opción quirúrgica.



INTRODUCCIóN

La fístula colecistogástrica es una complicación poco frecuente de la colecistitis y colelitiasis, la incidencia reportada es de 1-3%. La patogénesis de la formación de la fístula se debe a la erosión y necrosis de la pared de la vesícula, a su vez el lito entra en contacto con las vísceras huecas adyacentes.1 La inflamación local induce a la formación de adherencias y finalmente la formación de la fístula. El lito puede llegar al estómago a través de la fístula colecistogástrica o colecistopilórica, y de forma indirecta por una fístula colecistoduodenal o coledocoduodenal.2 Hasta en 90% de los casos se realiza el diagnóstico de fístula colecistogástrica de forma transquirúrgica, ya que la mayoría de los pacientes presentan síntomas poco específicos; sin embargo, hasta 7-10% desarrollarán íleo biliar.3



PRESENTACIóN DEL CASO

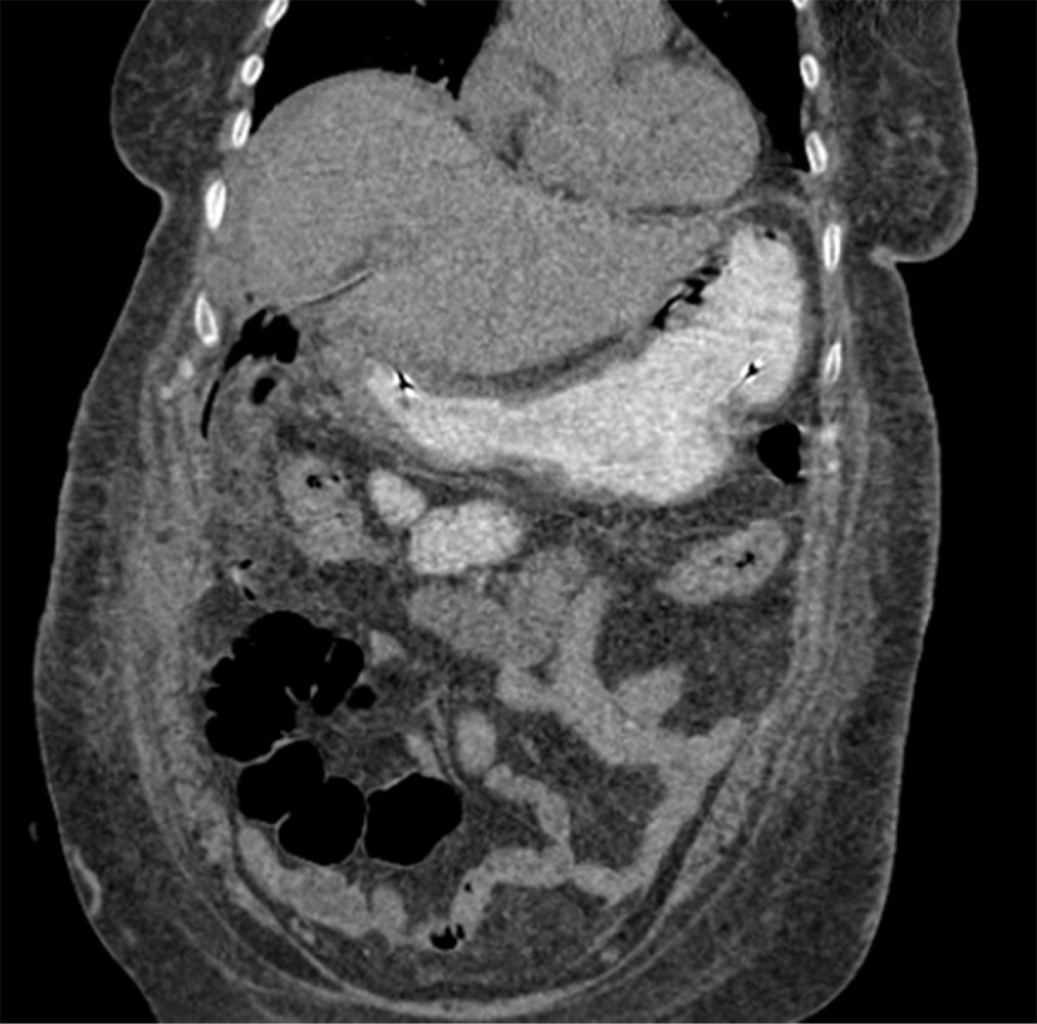
Se trata de paciente femenino de 59 años, que cuenta con antecedente de diabetes mellitus tipo 2 de larga evolución. Acude al servicio de urgencias por presentar dolor de tipo cólico en hipocondrio derecho de seis meses de evolución, de intensidad 6/10 en la escala análoga visual, sin irradiaciones, asociado a la ingesta de alimentos colecistoquinéticos, sin atenuantes, niega fiebre, ictericia, coluria o acolia. A la exploración física, con dolor a la palpación profunda en hipocondrio derecho, Murphy ausente, sin datos de irritación peritoneal. Cuenta con los siguientes laboratorios: hemoglobina 12.9 g/dl, hematocrito 37%, leucocitos 9.4 × 103/μl, plaquetas 360 × 103/μl, glucosa 178 mg/dl, creatinina 0.7 mg/dl, sodio 145 mEq/l, potasio 3.7 mEq/l, cloro 105 mEq/l, bilirrubina total 0.7 mg/dl, fosfatasa alcalina 55 U/l. Se realiza ultrasonido de hígado y vías biliares, el cual revela vesícula biliar con aumento de su ecogenicidad en toda su extensión, provocando fenómeno Wall-Echo-Shadow (WES) con dimensiones de 52.7 × 29.4 × 18.7 mm. Con pared no valorable, colédoco de 5.8 mm, sin evidencia de litos en su interior (Figura 1). Se realiza rastreo tomográfico donde se observa vesícula con volumen de 13.2 cm3, heterogénea, con presencia de densidad aire, pared engrosada de manera regular con presencia de calcificaciones, estómago distendido, con presencia de imagen hiperdensa en su interior (probable lito) (Figura 2).

Por hallazgos a través de imagen se sospecha de fístula colecistogástrica, se programa para colecistectomía abierta. Observando como hallazgos, proceso adherencial importante, vesícula biliar escleroatrófica, se evidencia fístula colecistogástrica. Se procede a realizar gastrorrafia y extracción de lito de 2 × 3 cm, y cierre primario de la misma. Para mantener derivado el píloro, se optó por colocar una sonda nasoyeyunal. Se coloca sonda de colecistostomía (Figura 3).

En el postquirúrgico se inicia nutrición parenteral, posteriormente al quinto día postquirúrgico se realiza tomografía axial computarizada (TC) con contraste oral sin evidencia de fuga de medio de contraste (Figura 4), se decide iniciar vía oral, se egresa una semana después de la cirugía.



DISCUSIóN

La fístula colecistogástrica es una complicación poco frecuente de la colecistitis, es más prevalente en el sexo femenino entre la séptima y octava década de la vida. La migración de los litos hacia el estómago puede condicionar estenosis pilórica y hemorragia de la mucosa gástrica. Cuando la migración del lito provoca oclusión del píloro, se denomina síndrome de Bouveret.4 Si la migración se produce de forma caudal provoca íleo biliar.

Los signos y síntomas de pacientes con fístulas colecistogástricas son difusos y poco específicos, por ello la dificultad de realizar un diagnóstico preoperatorio. Es de utilidad realizar estudios de imagen, entre ellos, el ultrasonido se realiza de forma inicial; sin embargo, es poco específico y operador dependiente, se pueden observar como hallazgos pneumobilia, pared vesicular engrosada y lito enclavado. La tomografía es el estudio de elección, la cual revela pneumobilia (presente en 30-70% de los casos), colecistitis y distensión gástrica. Cuando se sospecha de íleo biliar, se puede encontrar la tríada de Rigler (pneumobilia, distensión intestinal, lito ectópico).5

El tratamiento quirúrgico ha sido el de elección en pacientes con fístulas, la cirugía abierta es la modalidad preferida de los cirujanos debido al intenso proceso inflamatorio que caracteriza a estos cuadros clínicos que dificultan la disección de los tejidos. El manejo de las fístulas se ha descrito de forma laparoscópica, y en centros especializados el índice de conversión a cirugía abierta se reporta de 6%.6 La decisión de elegir la cirugía laparoscópica dependerá de las comorbilidades del paciente y de la experiencia del cirujano.

Otro aspecto importante a considerar es el manejo en un solo tiempo quirúrgico, que incluye la extracción del lito, cierre de la fístula y colecistectomía. La remoción del lito se realiza a través de una enterotomía, para permitir la cicatrización del píloro se puede efectuar una gastroduodenostomía o una Billroth II. Sin embargo, este procedimiento aumenta el riesgo de lesión de la vía biliar. Debido a las complicaciones del abordaje en un solo tiempo se ha propuesto el procedimiento quirúrgico en dos tiempos, con colecistectomía de intervalo y reparación de la fístula.7 En algunos casos cuando el conducto cístico permanece intacto, se reporta cierre espontáneo de la fístula, sin necesidad de realizar colecistectomía.

Por otro lado, cuando se identifica el lito que no está impactado en el píloro, se puede considerar el abordaje laparoscópico, evitando así la gastrostomía. El tratamiento endoscópico es viable, siempre y cuando se identifique la vesícula biliar sin litos en su interior y una vía biliar íntegra.8



CONCLUSIóN

La fístula colecistogástrica es una complicación rara de la colecistitis. El diagnóstico suele realizarse de forma transoperatoria. El abordaje quirúrgico es el tratamiento de elección con cierre de la fístula, colecistectomía y derivación del píloro, optar por un procedimiento en un solo tiempo quirúrgico se asocia a mayores complicaciones. En el caso de nuestro paciente, optamos por un abordaje menos invasivo con remoción del lito, colecistectomía de intervalo, colocación de una sonda nasoyeyunal e inicio de nutrición parenteral, lo que presenta una adecuada evolución postquirúrgica.


REFERENCIAS (EN ESTE ARTÍCULO)

  1. Aldekhayel M, Almohaimeed K, AlShahrani MS, Almweisheer S. Rare case of Mirizzi syndrome associated with cholecystogastric fistula. BMJ Case Rep. 2016; 2016: bcr2015212374. Available in: http://dx.doi.org/10.1136/bcr-2015-212374

  2. Nessler E, Stoss F, Walser J, Wohlgenannt G, Riedler L. The cholecystogastric fistula. Surg Endosc. 1991; 5: 46-47. Available in: http://dx.doi.org/10.1007/bf00591387

  3. Boland MR, Bass GA, Robertson I, Walsh TN. Cholecystogastric fistula: a brief report and review of the literature. J Surg Case Rep. 2013; 2013: rjt028. Available in: http://dx.doi.org/10.1093/jscr/rjt028

  4. Sharma N, Adamic B, Anderson J, Holfinger S, Lo DY. A case of asymptomatic cholecystogastric fistula: 1188. Am J Gastroenterol. 2016; 111: S519-520. Available in: http://dx.doi.org/10.14309/00000434-201610001-01188

  5. Aamery A, Pujji O, Mirza M. Operative management of cholecystogastric fistula: case report and literature review. J Surg Case Rep. 2019; 2019: rjz345. Available in: http://dx.doi.org/10.1093/jscr/rjz345

  6. Rodriguez JER, Grossi AE de LMT, Siqueira VR, de Siqueira Filho JT, Pereira MAS, da Cunha DGC. Gallstone ileus associated with cholecystogastric fistula: case report, diagnosis and surgical treatment. Int J Surg Case Rep. 2021; 86: 106328. Available in: http://dx.doi.org/10.1016/j.ijscr.2021.106328

  7. Chowbey PK, Bandyopadhyay SK, Sharma A, Khullar R, Soni V, Baijal M. Laparoscopic management of cholecystoenteric fistulas. J Laparoendosc Adv Surg Tech A. 2006; 16: 467-472. Available in: http://dx.doi.org/10.1089/lap.2006.16.467

  8. Chatzoulis G, Kaltsas A, Danilidis L, Dimitriou J, Pachiadakis I. Mirizzi syndrome type IV associated with cholecystocolic fistula: a very rare condition--report of a case. BMC Surg. 2007; 7: 6. Available in: http://dx.doi.org/10.1186/1471-2482-7-6



AFILIACIONES

1 Servicio de Cirugía General, Hospital Universitario de Puebla. Puebla, México.



Consideraciones y responsabilidad ética: privacidad de los datos. De acuerdo a los protocolos establecidos en nuestro centro de trabajo, se declara que se han seguido los protocolos sobre la privacidad de datos de pacientes y preservado su anonimato.

Financiamiento: no se recibió apoyo financiero para la elaboración de este trabajo.

Conflicto de intereses: ninguno de los autores tiene conflicto de intereses en la realización de este estudio.



CORRESPONDENCIA

Dra. Sandra Gabriela Ayala Hernández. E-mail: sgahz94@gmail.com




Recibido: 24/03/2022. Aceptado: 22/02/2023

Figura 1
Figura 2
Figura 3
Figura 4

2020     |     www.medigraphic.com

Mi perfil

C?MO CITAR (Vancouver)

Cir Gen. 2023;45

ARTíCULOS SIMILARES

CARGANDO ...