medigraphic.com
ENGLISH

Cirujano General

ISSN 2594-1518 (Digital)
ISSN 1405-0099 (Impreso)
  • Mostrar índice
  • Números disponibles
  • Información
    • Información general        
    • Directorio
  • Publicar
    • Instrucciones para autores        
    • Envío de artículos
  • medigraphic.com
    • Inicio
    • Índice de revistas            
    • Registro / Acceso
  • Mi perfil

2023, Número 3

<< Anterior Siguiente >>

Cir Gen 2023; 45 (3)


Manejo conservador de lesión hepática severa por proyectil de arma de fuego

Gutiérrez-Pérez, Jorge Octavio1; Grado-Limas, Cristina2; Cabello-Aguilar, Yazmín3; Cruz-Benítez, Luis4
Texto completo Cómo citar este artículo 10.35366/112926

DOI

DOI: 10.35366/112926
URL: https://dx.doi.org/10.35366/112926
Artículos similares

Idioma: Español/Inglés [English version]
Referencias bibliográficas: 13
Paginas: 176-180
Archivo PDF: 206.34 Kb.


PALABRAS CLAVE

lesión hepática, severa, tratamiento conservador.

RESUMEN

Introducción: el hígado es el órgano sólido intraabdominal más susceptible de lesión por traumatismo abdominal. La falta de evidencia en el tratamiento idóneo de las lesiones de órganos sólidos por proyectil de arma de fuego es problemática cuando el manejo no quirúrgico del trauma hepático es posible. Discutible por la falta de un consenso que resulta apremiante ante la incidencia creciente de lesión hepática severa por proyectil de arma de fuego. La manera cómo manejamos el trauma hepático evoluciona conforme mejora el acceso a recursos como servicios de urgencias equipados, terapia intensiva, laboratorio, disponibilidad continua del personal de salud, cirujanos altamente especializados, tomografía computarizada, quirófano y banco de sangre. Cuando todo está disponible, el manejo no quirúrgico del trauma hepático debe ser el tratamiento estándar en el paciente hemodinámicamente estable, sin irritación peritoneal y sin lesión de otros órganos. Objetivo: presentar el caso de una paciente con lesión hepática severa por proyectil de arma de fuego con manejo no quirúrgico exitoso del trauma hepático. Caso clínico: paciente con lesión hepática severa por proyectil de arma de fuego fue manejada conservadoramente con éxito. Conclusiones: el manejo no quirúrgico de una paciente con lesión hepática severa por proyectil de arma de fuego fue posible en nuestro hospital.



INTRODUCCIóN

Dada su posición anatómica y sus dimensiones, el hígado es el órgano sólido intraabdominal más susceptible de lesión por traumatismo abdominal. La falta de evidencia de alto nivel en el tratamiento idóneo de las lesiones de órganos sólidos debido a traumatismo penetrante por proyectil de arma de fuego (PAF) es un problema cuando el manejo no quirúrgico del trauma hepático (MNQTH) es factible, por lo que un consenso al respecto resulta apremiante ante la alza en la incidencia de la lesión hepática severa por proyectil de arma de fuego (LHSPPAF) en nuestro entorno.1

En 1902 Pringle informó sobre el manejo con taponamiento suprahepático de una lesión hepática de difícil acceso.2 La manera cómo manejamos el trauma hepático continúa evolucionando debido en parte al mejoramiento en la accesibilidad hospitalaria a recursos como: servicios de urgencias mejor equipados, unidad de cuidados intensivos, monitoreo en serie de la hemoglobina, cirujanos altamente especializados, tomografía computarizada (TC), angiografía, disponibilidad de quirófano y banco de sangre.3 El MNQTH con lesión severa por PAF (grado IV y V de la clasificación de la Asociación Americana de Cirugía de Trauma, AAST por sus siglas en inglés) ha sido parte de esta evolución y debe elegirse cuando se cuente con los recursos mencionados ante un paciente hemodinámicamente estable (HE), sin irritación peritoneal y sin lesión de ningún otro órgano demostrado por TC,1 ya que la evaluación con ultrasonido enfocada para trauma (FAST, por sus siglas en inglés) no es suficiente debido a su sensibilidad de 60 a 94%, con una utilidad limitada ante niveles de líquido libre intraperitoneal menores a 100 ml y en la detección de líquido retroperitoneal.4

Presentamos el caso de una paciente con LHSPPAF grado 4 de la AAST, sin lesión de ningún otro órgano según la TC, HE y sin irritación peritoneal, tratada mediante MNQTH de forma exitosa.



PRESENTACIóN DEL CASO

Paciente de 17 años, a su ingreso a urgencias refirió haber sufrido un traumatismo por PAF penetrante de abdomen. Sólo aquejaba dolor torácico leve a nivel del orificio de entrada del PAF, por lo que se le indicó paracetamol 1 g cada 8 horas, así como ceftriaxona 1 g cada 12 horas, ambos por vía intravenosa.

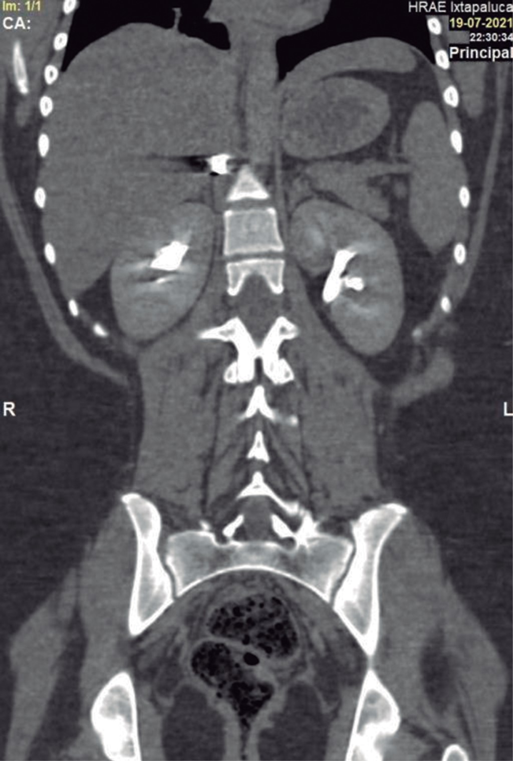
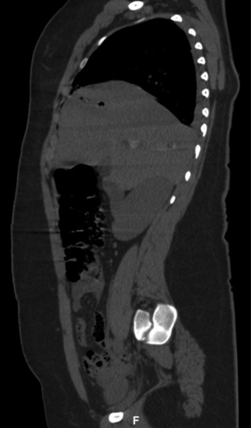
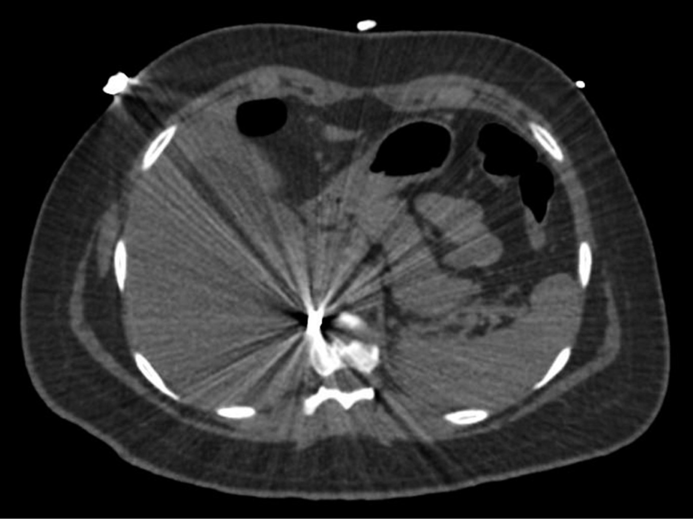
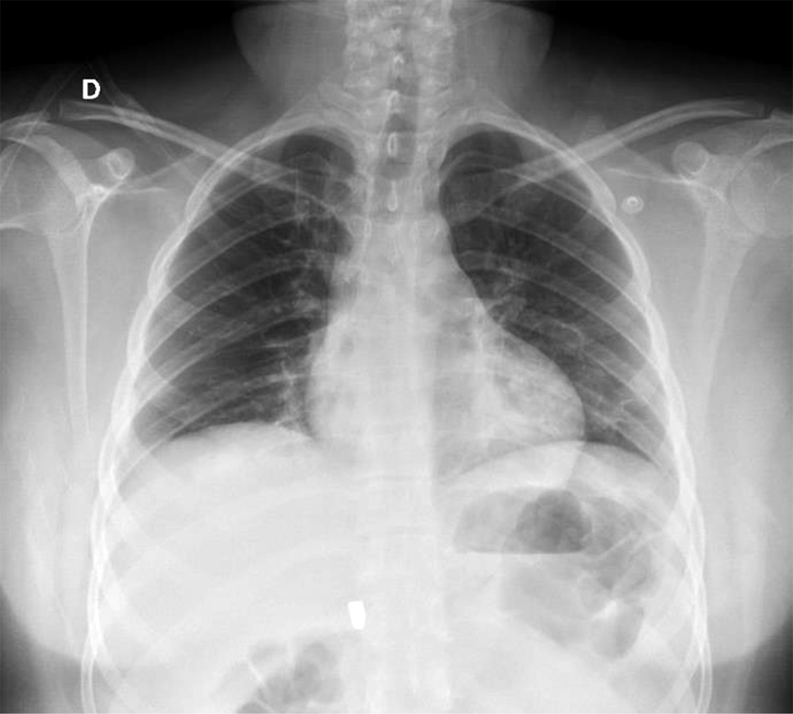
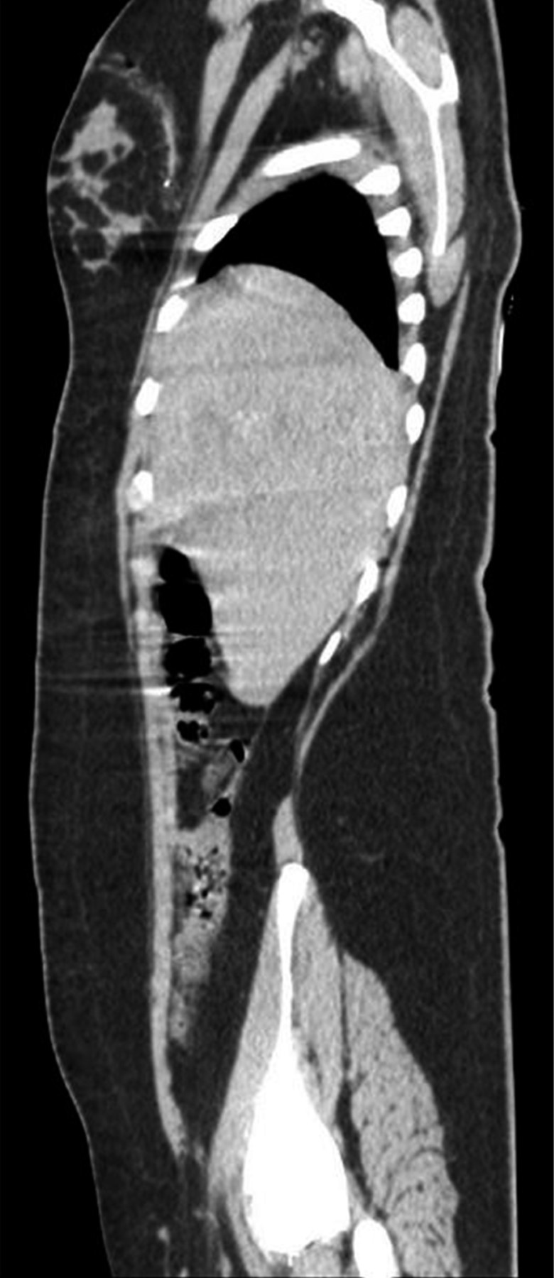
En la exploración física, sus signos vitales fueron los siguientes: frecuencia cardiaca: 74 latidos/minuto; tensión arterial: 98/67 mmHg; frecuencia respiratoria: 19/minuto, temperatura de 36 °C y saturación de oxígeno: 98%. En tórax presentaba un orificio de entrada de PAF en el cuadrante superior externo de la mama derecha (Figura 1), los campos pulmonares estaban bien ventilados. El abdomen era plano, con peristalsis, blando y sin dolor a la palpación. La biometría hemática reportó lo siguiente: hemoglobina: 12.8 g/dl, hematocrito 36.4% y leucocitos: 6,400/ml. La radiografía de tórax descartó neumotórax (Figura 2). Una TC de tórax y abdomen mostró un cuerpo extraño metálico alojado en la línea parasagital derecha a nivel de la doceava vértebra torácica (Figura 3), sin lesión pulmonar ni diafragmática (Figuras 4 y 5); en abdomen se observó un trayecto por PAF con lesión hepática grado IV de 12 cm por 2.3 cm en los segmentos IV, VII y VIII de Couinaud (Figura 5), líquido libre escaso, sin lesión de ningún otro órgano (Figuras 3, 5 y 6). Veinticuatro horas después se le realizó una TC de control, evidenciando la lesión hepática sin colección subcapsular ni extravasación activa a la aplicación del medio de contraste, sin aumento del líquido libre. Ante la correlación de estos hallazgos con la estabilidad clínica, se egresó a la paciente al cuarto día de su ingreso. Sin complicaciones un mes después de su alta.



DISCUSIóN

En el trauma abdominal el hígado es el órgano sólido afectado con mayor frecuencia debido a su localización y tamaño. Cinco por ciento de los pacientes ingresados a un centro hospitalario de trauma presenta lesión hepática severa, 10 a 30% de todas ellas con mortalidad de 40 a 80%.5 A pesar de esto, la evidencia sobre el manejo ideal del traumatismo hepático sigue siendo escasa. Hasta finales de la década de 1970 el tratamiento era exclusivamente quirúrgico. Posteriormente, se introdujo el MNQTH estableciéndose como el estándar de oro en los pacientes con lesión hepática por traumatismo contuso, no penetrante y hemodinámicamente estables en hospitales dotados con un servicio de radiología intervencionista, con una tasa de éxito hasta de 90%.1 No obstante, la LHSPPAF, es decir grado IV y V, sigue siendo uno de los mayores retos para el cirujano al momento de decidir la opción idónea de manejo.

El tratamiento de las lesiones penetrantes de abdomen con lesión hepática ha empezado a cambiar, optando por un enfoque selectivo conservador y dejando a un lado la idea de laparotomía de rutina u obligatoria ante un trauma penetrante de abdomen por PAF, al advertir que las tasas de laparotomía exploradora (LAPE) innecesaria, LAPE blanca o trauma no terapéutico varían de 23 a 53% y que las tasas de morbilidad van de 2.5 a 41% con un aumento de 5% en la tasa de mortalidad, por lo que se debe abandonar esta estrategia exclusivamente quirúrgica al no estar exenta de riesgos de complicaciones, entre los que se incluyen: oclusión intestinal, neumotórax, íleo, delirio, infección del sitio quirúrgico, infarto de miocardio, lesión visceral, hernia, dehiscencia de la herida e incluso muerte secundaria a una LAPE innecesaria.6 Sin embargo, el tratamiento quirúrgico que sigue siendo considerado por la mayoría de los cirujanos es el método estándar para el manejo del trauma penetrante de abdomen por PAF con lesión de órganos sólidos, dejando al manejo no quirúrgico selectivo en gran parte inexplorado, tomando en cuenta que la decisión de elegir el MNQTH conlleva una gran responsabilidad, respaldada por la experiencia del cirujano y los recursos con los que cuenta; debido a que el retraso en la identificación de las lesiones intraabdominales puede ocasionar la muerte temprana por hemorragia si consideramos que inicialmente 77% de los pacientes con trauma hepático se encuentran hemodinámicamente estables a su llegada al hospital, o tardíamente por lesión de una víscera hueca.5

La TC es una herramienta que nos brinda la opción del MNQTH debido a su sensibilidad mayor del 98% y especificidad superior al 96% para identificar lesiones intraabdominales significativas, incluso lesiones de víscera hueca al examinar el abdomen completo desde el tórax hasta la sínfisis del pubis. Cuando se realiza con triple contraste, la TC tiene una sensibilidad del 100%, una especificidad del 96%, un valor predictivo negativo del 100 y 97% de precisión en la predicción de requerir una LAPE. Lenin Enríquez-Domínguez y colegas reportaron que 18% de los pacientes con trauma penetrante de abdomen por PAF a los que se les realizó LAPE por falta de TC, tuvieron lesión aislada de hígado, es decir, sin lesión de otros órganos.7 De esta manera, es recomendable tomar en cuenta el MNQTH en centros hospitalarios donde se ha optimizado el acceso a auxiliares diagnósticos, incluyendo un servicio de radiología equipado con TC y con los recursos suficientes para procedimientos terapéuticos intervensionistas;8 una adecuada coordinación entre los servicios de urgencias, cirugía, radiología, laboratorio y quirófano, y la disponibilidad inmediata de un banco de sangre, asimismo, se debe considerar que la mortalidad en pacientes con hemorragia es de 46%, según lo reporta Harvin y colaboradores.9

En los hospitales en donde no se cuente con estos recursos se debe realizar LAPE a los pacientes con lesión penetrante por PAF.10 Suen y colegas describieron el cambio hacia el MNQTH durante un periodo de 15 años por medio de la implementación gradual de protocolos que incluyen embolización angiográfica, estrategias de reanimación mejoradas y principios de control de daños, logrando un aumento de la tasa de MNQTH de 51 a 67% y una disminución de la mortalidad de 18.8% al inicio del protocolo a 3.6% al final del periodo de estudio.11

Podemos decir que el enfoque selectivo del MNQTH de la LHSPPAF tiene varias ventajas demostradas, entre las que se encuentran evitar laparotomías no terapéuticas, reducción de las complicaciones intraabdominales, disminución de las necesidades de transfusión,12 menor estancia hospitalaria y aminoración de los costos hospitalarios de atención.13



CONCLUSIONES

Con el presente caso clínico demostramos que el MNQTH de los pacientes con LHSPPAF hemodinámicamente estables, sin irritación peritoneal y sin lesión de ningún otro órgano es posible en hospitales como el nuestro que están a la par de los algoritmos establecidos en los países de primer mundo en lo que atañe a esta alternativa terapéutica conservadora al contar en todo momento con los recursos materiales y humanos necesarios para la vigilancia estrecha del paciente y para el cambio de manejo conservador a quirúrgico si así fuera necesario.


REFERENCIAS (EN ESTE ARTÍCULO)

  1. Gaarder C, Gaski IA , Naess PA. Spleen and liver injuries: when to operate? Curr Opin Crit Care Volume. 2017; 23: 520-526.

  2. Roberts DJ, Ball CG, Feliciano DV, Moore EE, Ivatury RR, Lucas CE, et al. History of the innovation of damage control for management of trauma patients: 1902-2016. Ann Surg. 2017; 265: 1034-1044.

  3. Coccolini F, Coimbra R, Ordonez C, Kluger Y, Vega F, Moore EE, et al. Liver trauma: WSES 2020 guidelines. World J Emerg Surg. 2020; 15: 24.

  4. Dubina ED, Emigh B, Grigorian A, Inaba K. Critical decision points in the management of acute trauma: a practical review. Int Anesthesiol Clin. 2021; 59:1-9.

  5. Vargas AAL, Campos BJA, Pérez SA, Castillejos MYS, Vargas FJ, Ávila RJL. Manejo de la lesión hepática perforante con balón de Bakri. Presentación de un caso. Cir Gen. 2019; 41: 47-53.

  6. Akkoca M, Balas S, Yilmaz KB, Tatar IG, Akinci M, Tokgoz S, et al. CT-guided tractography is a safe and complementary diagnostic tool in the management of penetrating abdominal trauma. Asian J Surg. 2019; 42: 148-154.

  7. Enríquez DL, Castillo MJR, Herrera RF, Díaz RJD. Trauma hepático por heridas punzocortantes y por arma de fuego. Nuestra experiencia en Ciudad Juárez. Cirujano General. 2011; 33: 21-25.

  8. Olthof DC, Joosse P, van der Vlies CH, Haan RJ, Goslings JC. Prognostic factors for failure of nonoperative management in adults with blunt splenic injury: a systematic review. J Trauma Acute Care Surg. 2013; 74: 546-557.

  9. Harvin JA, Maxim T, Inaba K, Martínez AMA, King DR, Choudhry AJ, et al. Mortality following emergent trauma laparotomy: a multicenter, retrospective study: mortality after emergent trauma laparotomy. J Trauma Acute Care Surg. 2017; 83: 464-468.

  10. Díaz RJD, Arriaga CJM, Enríquez DL, Castillo MJR, Dr. Montes CJG. Trauma penetrante abdominal: comparativa de morbimortalidad en heridas por arma de fuego y arma punzocortante. Cir Gen. 2010; 32: 24-28.

  11. Suen K, Skandarajah AR, Knowles B, Judson R, Thomson BN. Changes in the management of liver trauma leading to reduced mortality:15-yearexperience in a major trauma centre. ANZ J Surg. 2016; 86: 894-899.

  12. Reed BL, Patel NJ, McDonald AA, Baughman WC, Claridge JA, Como JJ. Selective nonoperative management of abdominal gunshot wounds with isolated solid organ injury. Am J Surg. 2017; 213: 583-585.

  13. Noyola VHF, Loera TMA, Jiménez CE, Núñez CO, García NLM, Arcaute VFF. Tratamiento no operatorio de las lesiones hepáticas por trauma no penetrante: artículo de revisión. Cir Cir. 2016; 84: 263-266.



AFILIACIONES

1 Médico adscrito, Cirugía de Colon y Recto. Hospital Regional de Alta Especialidad de Ixtapaluca, Secretaría de Salud. México.

2 Médico adscrito, Cirugía General. Hospital Regional de Alta Especialidad de Ixtapaluca, Secretaría de Salud. México.

3 Médico adscrito, Servicio de Radiología e Imagen. Hospital Regional de Alta Especialidad de Ixtapaluca, Secretaría de Salud. México.

4 Jefe de Servicio, Cirugía General. Hospital Regional de Alta Especialidad de Ixtapaluca, Secretaría de Salud. México.



Consideraciones y responsabilidad ética: no requeridos para casos clínicos.

Financiamiento: este trabajo no requirió financiamiento.

Conflicto de intereses: los autores declaran no tener ningún conflicto de intereses.



CORRESPONDENCIA

Jorge Octavio Gutiérrez-Pérez. E-mail: cirujano-octavio@hotmail.com




Recibido: 28/10/2022. Aceptado: 13/06/2023.

Figura 1
Figura 2
Figura 3
Figura 4
Figura 5
Figura 6

2020     |     www.medigraphic.com

Mi perfil

C?MO CITAR (Vancouver)

Cir Gen. 2023;45

ARTíCULOS SIMILARES

CARGANDO ...