medigraphic.com
ENGLISH

Cirujano General

ISSN 2594-1518 (Digital)
ISSN 1405-0099 (Impreso)
  • Mostrar índice
  • Números disponibles
  • Información
    • Información general        
    • Directorio
  • Publicar
    • Instrucciones para autores        
    • Envío de artículos
  • medigraphic.com
    • Inicio
    • Índice de revistas            
    • Registro / Acceso
  • Mi perfil

2023, Número 3

<< Anterior Siguiente >>

Cir Gen 2023; 45 (3)


Melanoma anal: la importancia en su diagnóstico

Sarabia-Pérez, Yoselin Julisa1; Díaz-Barrientos, Cheryl Zilahy2; Heredia-Montaño, Mónica3; García-Salazar, Jorge Miguel4; Sosa-Sánchez, Omar5
Texto completo Cómo citar este artículo 10.35366/112927

DOI

DOI: 10.35366/112927
URL: https://dx.doi.org/10.35366/112927
Artículos similares

Idioma: Español/Inglés [English version]
Referencias bibliográficas: 11
Paginas: 181-184
Archivo PDF: 285.10 Kb.


PALABRAS CLAVE

canal anal, melanoma, neoplasias del ano, recto, hemorragia, cirugía colorrectal.

RESUMEN

El melanoma anal constituye menos de 1% de tumores malignos colorrectales, en la gran mayoría con un diagnóstico tardío debido a su presentación sin síntomas clínicos específicos, lo que conlleva pobres resultados terapéuticos y consecuente disminución en la tasa de supervivencia. Se presenta el caso de un paciente femenino sin antecedentes de importancia, cuyo síntoma principal fue presencia de masa anal dolorosa y rectorragia, se realiza colonoscopia con reporte histopatológico de melanoma anal, por lo que es intervenida quirúrgicamente mediante resección abdominoperineal por vía laparoscópica. La importancia de esta neoplasia radica en que representa un gran reto diagnóstico y terapéutico para el cirujano, siendo fundamental una adecuada historia clínica y exhaustiva exploración física.



INTRODUCCIóN

Los tumores del ano son neoplasias poco comunes del tracto digestivo, el cáncer anal representa 4% de todas las neoplasias malignas del tracto gastrointestinal inferior.1 Aproximadamente 80% son de origen escamoso; 10% adenocarcinoma y el porcentaje restante se distribuye en otros tipos de tumores malignos como el sarcoma, el linfoma y el melanoma.2 Este último, que puede o no ser pigmentado, se encuentra en cualquier parte del cuerpo, pero su aparición más común es en la piel, seguida del ojo y el ano.

En cuanto a la localización de los melanomas rectales, la mayoría de las lesiones se observan a nivel de la línea dentada del canal anal y tienden a extenderse hasta la submucosa y sólo 20-30% se encuentran en el recto.3 Es habitual que se confunda con otra patología perianal benigna debido a que se manifiesta clínicamente con rectorragia, dolor o tumoración perianal, comúnmente atribuidos a enfermedad hemorroidal.4 Con menor frecuencia, este tumor debuta con adenopatías inguinales palpables o incluso metástasis a distancia, presentando un diagnóstico tardío.5 La exploración física mediante tacto rectal junto con anoscopia son la base para un adecuado diagnóstico. La colonoscopia es fundamental para el mismo, ya que nos permite la toma de biopsia de lesiones sospechosas y así normar conducta terapéutica.6

El tratamiento de elección es la resección quirúrgica, aunque siguen siendo temas controvertidos el tipo de cirugía y la extensión de la resección.7 De acuerdo a la estadificación, se ha clasificado en tres estadios: el estadio I es enfermedad localizada, estadio II involucra infiltración linfática regional y estadio III enfermedad con metástasis a distancia.8 Con respecto a la linfadenectomía inguinal no se ha demostrado que mejore el pronóstico y, además, conlleva elevada morbilidad. Por ello, técnicas como la biopsia selectiva de ganglio centinela parecen prometedoras, aunque la experiencia sigue siendo limitada.9 En cuanto a tratamiento no quirúrgico, se han comentado recientemente algunas mejorías parciales, sobre todo en tratamientos paliativos o de rescate posterior a cirugía.10 No existe un tratamiento estándar para estos pacientes, principalmente por la baja incidencia y su devastador pronóstico con una supervivencia global a los cinco años de 20%.11



PRESENTACIóN DEL CASO

Femenino de 79 años, sin antecedentes de importancia, que acude a la consulta externa de medicina general por presentar sangrado transrectal y evacuaciones diarreicas de aproximadamente una semana de evolución, que es manejada como enfermedad hemorroidal y brindan tratamiento tópico durante dos meses; sin embargo, persiste con dicha sintomatología además de sensación de masa anal y dolor al mismo nivel, por lo que acude al servicio de coloproctología donde a la exploración física se encuentra región perianal normal, sin evidencia de lesiones; al tacto rectal se palpa induración de aproximadamente 5 × 5 centímetros en canal anal a nivel lateral izquierdo, por lo que se realiza colonoscopia donde se evidencia tumoración elevada en ámpula rectal de aspecto polipoide de aproximadamente 20 mm con mucosa hiperémica, edematosa y friable. Se toma biopsia con asa de polipectomía (Figura 1), con reporte histopatológico de neoplasia maligna indiferenciada y ulcerada de región anorrectal, se lleva a cabo estudio de inmunohistoquímica con resultado positivo a Melan A y HMB 95, diagnosticándose melanoma maligno ulcerado. Se realizan estudios de extensión con tomografía computarizada toracoabdominopélvica simple y contraste intravenoso, sin evidencia de enfermedad metastásica ni de adenopatías inguinales; reportándose engrosamiento de las paredes del recto de hasta 50 mm con morfología de tipo anular. La resonancia magnética reporta lesión en recto inferior/canal anal, sin cambios en grasa perirrectal, sin alteraciones en mucosa adyacente.

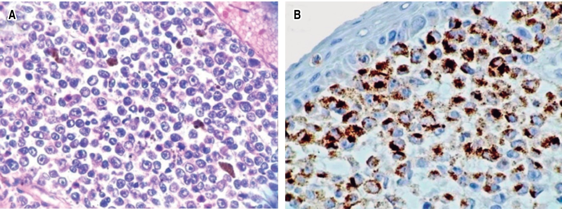
Se decide programar para resolución quirúrgica mediante resección abdominoperineal. Previo a procedimiento se realiza biopsia de ganglio inguinal derecho centinela transoperatorio con reporte negativo a neoplasia maligna y se procede a resección abdominoperineal. Se realiza abordaje por vía laparoscópica, realizando laparoscopia diagnóstica sin evidencia de actividad tumoral a distancia, se procede a disección de mesorrecto junto a disección de arteria y vena mesentérica inferior con energía avanzada y se realiza corte a nivel del pedículo vascular con engrapadora, se realiza colostomía en cabo proximal sin complicaciones. En fase perineal se seccionan músculos del esfínter, así como ligamentos y grasa perirrectal, completando disección de recto en porción perineal, sin colocación de drenajes, afrontando por planos. El estudio anatomopatológico de la pieza de resección rectosigmoidea (Figura 2) confirmó la presencia de melanoma nodular maligno, de mucosa ano-rectal, diámetro mayor de cinco centímetros, con infiltración hasta la submucosa y metástasis a dos de 10 ganglios linfáticos de mesorrecto; márgenes quirúrgicos libres de neoplasia. En la imagen de histopatología se aprecian células fusiformes con núcleos atípicos y con pigmento melánico en su interior (Figura 3). Se envía a oncología médica indicando que la paciente es candidata a inmunoterapia con pembrolizumab adyuvante; sin embargo, el tratamiento no es autorizado, por lo que únicamente se mantiene en vigilancia periódicamente. Actualmente, ocho meses posteriores a intervención quirúrgica, continúa seguimiento por coloproctología, con adecuada evolución sin demostrar alteraciones a nivel de colostomía y libre de enfermedad.



DISCUSIóN

El melanoma anorrectal es una neoplasia poco frecuente y de pronóstico infausto. Es necesaria una adecuada historia clínica y no evadir la exploración física de la región anal ante pacientes con sintomatología de enfermedad perianal debido a la importancia significativa para poder hacer un diagnóstico precoz que permita un tratamiento quirúrgico óptimo. Al tener un paciente con una masa anal de crecimiento rápido, pigmentada asociada a sangrado transrectal, debe considerarse una alta sospecha de la presencia de melanoma anal. La evaluación siempre debe incluir una biopsia de la lesión y la búsqueda de enfermedad avanzada mediante estudios de extensión con tomografía axial computarizada (TAC) de tórax, abdomen y pelvis, al ser el hígado, pulmón y hueso los sitios más frecuentes de diseminación.10 En este caso, hubo un retraso en el diagnóstico de aproximadamente tres meses desde el inicio de sintomatología, sin embargo, no se presentó como enfermedad avanzada y se logró intervenir quirúrgicamente. Dentro de las opciones quirúrgicas de tratamiento se encuentran la resección abdomino-perineal, escisión local amplia, o biopsia-fulguración o ambas, aunque no se ha encontrado diferencias estadísticamente significativas en la supervivencia.6 De acuerdo a un estudio realizado por Brady y colaboradores, la recurrencia local fue de 8% en el grupo con amputación abdominoperineal y de 20% en el tratado localmente; por tanto, recomendaron la amputación abdominoperineal como tratamiento de elección en estos casos.4 En el caso presentado, la paciente fue intervenida quirúrgicamente mediante resección abdominoperineal por laparoscopia, con posterior referencia al servicio de oncología médica donde se mantiene en vigilancia. De acuerdo a Wong y colegas, concluyen que la terapia adyuvante, ya sea mediante radioterapia, quimioterapia o inmunoterapia, no ha demostrado cambios en la tasa de supervivencia,10 por lo que el tratamiento de elección es el tratamiento quirúrgico, la resección abdominoperineal, la cual tiene un mejor papel en controlar la recurrencia locorregional de la enfermedad y permite una mejor calidad de vida.9



CONCLUSIONES

El melanoma es una neoplasia agresiva, siendo su localización anorrectal la más infrecuente, supone < 4% de las neoplasias malignas colorrectales, sin embargo, esto no exime en la importancia de una adecuada historia clínica y exhaustiva exploración física. En la consulta de primer contacto puede ser fácilmente infradiagnosticada debido a que se presenta con sintomatología similar a la de patología anal benigna, con sangrado transrectal, dolor anal y presencia de masa palpable en misma región, convirtiéndola en una presentación clínica compatible con enfermedad hemorroidal o, en general, con patología benigna perianal. El objetivo de este reporte fue destacar la importancia de la exploración física anorrectal; de no obviarse, los pacientes pueden ser referidos con el especialista en tiempo y forma para una adecuada protocolización mediante colonoscopia y toma de biopsia, pudiéndose ofertar el mejor tratamiento quirúrgico para cada paciente.


REFERENCIAS (EN ESTE ARTÍCULO)

  1. Sosa H, Fernández H, Hernández L. Melanoma del canal anal: a propósito de un caso. Rev Med Electron. 2019; 2: 757-762.

  2. Dabán P, Gallart C, Pérez C, Dabán E, Mirón B. Melanoma anal, diagnóstico infrecuente en la patología anorrectal. Cirugía Andaluza. 2018; 29: 537-540.

  3. Young A, Jacob E, Willauer P, Smucker L, Monzon R, Oceguera L. Anal cancer. Surg Clin North Am. 2020; 100: 629-634.

  4. Martínez D. Melanoma anal, importancia del diagnóstico diferencial con la enfermedad anal benigna. Revista Colombiana de Cirugía. 2017; 4: 330-334.

  5. Arriola M, Pazos X, Rodriguez M, Figuerido O. Melanoma anal, patología infrecuente. Reporte de un caso. An Facultad Med. 2019; 6: 51-57.

  6. Ford M, Kauffmann R, Geiger T, Hopkins M, Muldoon R, Hawkins A. Resection for anal melanoma: is there an optimal approach? Surgery. 2018; 164: 466-472.

  7. Temperley HC, O'Sullivan NJ, Keyes A, Kavanagh DO, Larkin JO, Mehigan BJ, et al. Optimal surgical management strategy for treatment of primary anorectal malignant melanoma-a systematic review and meta-analysis. Langenbecks Arch Surg. 2022; 407: 3193-3200.

  8. Mireira R, Santacruz C, Sierra E, Tarragona J, Olsina J. Melanoma anal, una patología radicalmente distinta al melanoma cutáneo, con un pronóstico infausto. Elsevier. 2020; 98: 488-495.

  9. Díaz M, Lagos A, López A, Mirón B. Melanoma rectal: estirpe histológica infrecuente en localización inusual. RAPD. 2019; 42: 447-449.

  10. Wong DL, Glazer ES, Tsao M, Deneve JL, Fleming MD, Shibata D. Impact of adjuvant therapies following surgery for anal melanoma. Am J Surg. 2022; 223: 1132-1143.

  11. Mireia MR, Carlos CS. Anal melanoma: a rare perianal tumor with a poor prognosis. Dis Colon Rectum. 2020; 63: 573-576.



AFILIACIONES

1 Residente de segundo año de Cirugía General.

2 Médico adscrito de Coloproctología.

3 Médico adscrito de Cirugía General.

4 Médico adscrito de Anatomía Patológica.

5 Médico residente de segundo año de Cirugía General.



Consideraciones y responsabilidad ética: privacidad de los datos. De acuerdo a los protocolos establecidos en nuestro centro de trabajo, se declara que se han seguido los protocolos sobre la privacidad de datos de pacientes y preservado su anonimato.

Financiamiento: no se recibió apoyo financiero para la elaboración de este trabajo.

Conflicto de intereses: ninguno de los autores tiene conflicto de intereses en la realización de este estudio.



CORRESPONDENCIA

Yoselin Julisa Sarabia-Pérez. E-mail: yoselinsarabia@gmail.com




Recibido: 05/05/2023. Aceptado: 18/07/2023

Figura 1
Figura 2
Figura 3

2020     |     www.medigraphic.com

Mi perfil

C?MO CITAR (Vancouver)

Cir Gen. 2023;45

ARTíCULOS SIMILARES

CARGANDO ...