medigraphic.com
SPANISH

Cirujano General

ISSN 2594-1518 (Electronic)
ISSN 1405-0099 (Print)
  • Contents
  • View Archive
  • Information
    • General Information        
    • Directory
  • Publish
    • Instructions for authors        
    • Send manuscript
  • medigraphic.com
    • Home
    • Journals index            
    • Register / Login
  • Mi perfil

2023, Number 3

<< Back Next >>

Cir Gen 2023; 45 (3)

Conservative management of severe liver injury by firearm

Gutiérrez-Pérez, Jorge Octavio1; Grado-Limas, Cristina2; Cabello-Aguilar, Yazmín3; Cruz-Benítez, Luis4
Full text How to cite this article 10.35366/112926

DOI

DOI: 10.35366/112926
URL: https://dx.doi.org/10.35366/112926

Language: English/Spanish [Versi?n en espa?ol]
References: 13
Page: 176-180
PDF size: 245.76 Kb.


Key words:

liver trauma, severe, non-operative management.

ABSTRACT

Introduction: the liver is the intra-abdominal solid organ most susceptible to injury from abdominal trauma. The lack of evidence on the ideal treatment of solid organ injuries by firearm continues to be a problem when the non-surgical management of hepatic trauma is possible, debatable due to the lack of a consensus that is pressing before the increasing incidence of severe liver injury due to firearm. The way in which we manage liver trauma evolves as accessibility to resources such as equipped emergency services, intensive care, laboratory, continuous availability of health personnel, highly specialized surgeons, computed tomography, operating room and blood bank improves. When this is available, non-surgical management of hepatic trauma should be the standard treatment in hemodynamically stable patients without peritoneal irritation and without injury to other organs. Objective: to present the case of a patient with severe liver injury due to gunshot with successful non-surgical management of hepatic trauma. Clinical case: a patient with severe liver injury from a gunshot was successfully managed conservatively. Conclusions: the non-surgical management of a patient with severe liver injury due to a gunshot was possible in our hospital.



INTRODUCTION

Due to its anatomical position and dimensions, the liver is the solid intra-abdominal organ most susceptible to injury by abdominal trauma. The lack of high-level evidence on the ideal treatment of solid organ injuries due to penetrating firearm projectile trauma (PAF) is a problem when non-surgical management of liver trauma (NSTLT) is feasible, so a consensus on this issue is urgent given the increasing incidence of severe liver injury due to firearm projectile trauma (LHSPPAF) in our environment.1

In 1902, Pringle reported on the management of difficult-to-access liver injury with suprahepatic tamponade.2 How we manage liver trauma continues to evolve due to improved hospital accessibility to resources such as better-equipped emergency departments, intensive care units, serial hemoglobin monitoring, highly specialized surgeons, computed tomography (CT), angiography, operating room availability, and blood bank.3 NSTLT with severe PAF injury (grade IV and V of the American Association for the Surgery of Trauma [AAST] classification) has been part of this evolution. NSTLT should be chosen when the above resources are available in a hemodynamically stable (HS) patient, without peritoneal irritation and injury to any other organ demonstrated by CT,1 since the evaluation with focused ultrasound for trauma (FAST) is not sufficient due to its sensitivity of 60 to 94%, with limited usefulness in the presence of intraperitoneal free fluid levels less than 100 ml and in the detection of retroperitoneal fluid.4

We present the case of a patient with AAST grade 4 LHSPPAF, without lesion of any other organ according to CT, HS, and without peritoneal irritation, successfully treated by NSTLT.



PRESENTATION OF THE CASE

A 17-year-old patient was admitted to the emergency department and reported having suffered a penetrating abdominal FAP trauma. She had only mild chest pain at the PAF entry site, so she was prescribed paracetamol 1 g every 8 hours, as well as ceftriaxone 1 g every 12 hours, both intravenously.

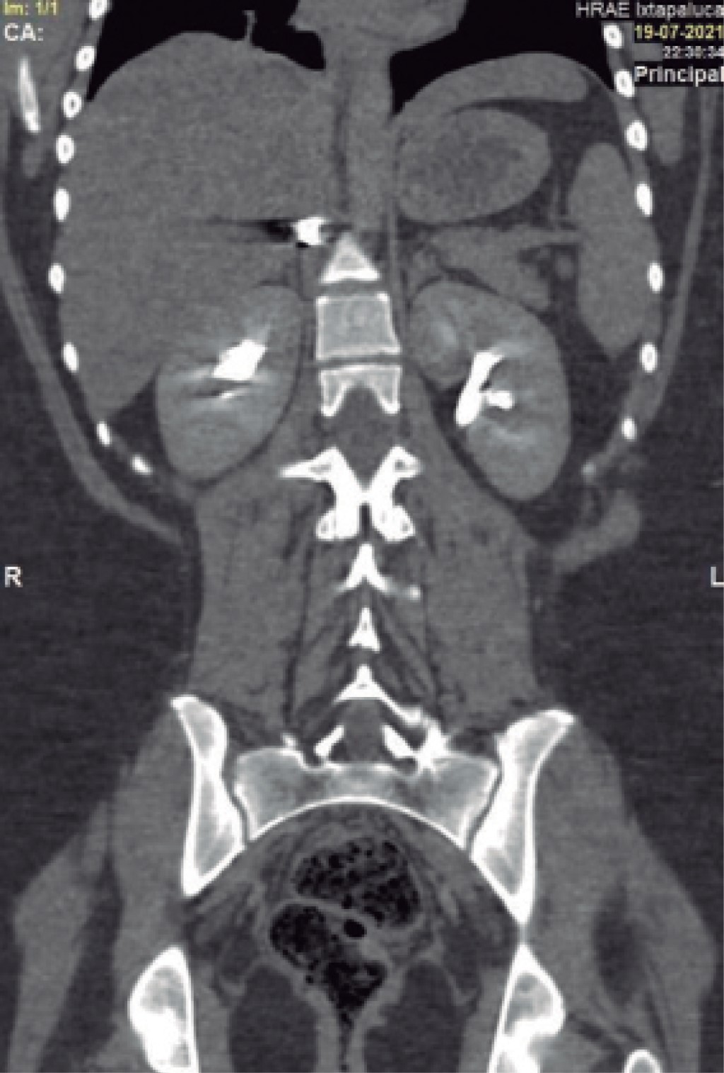
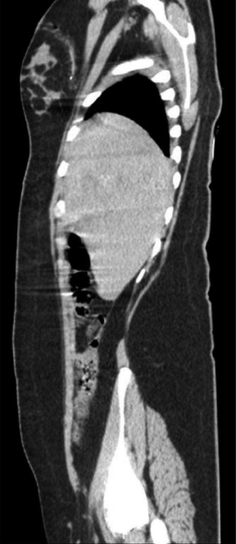
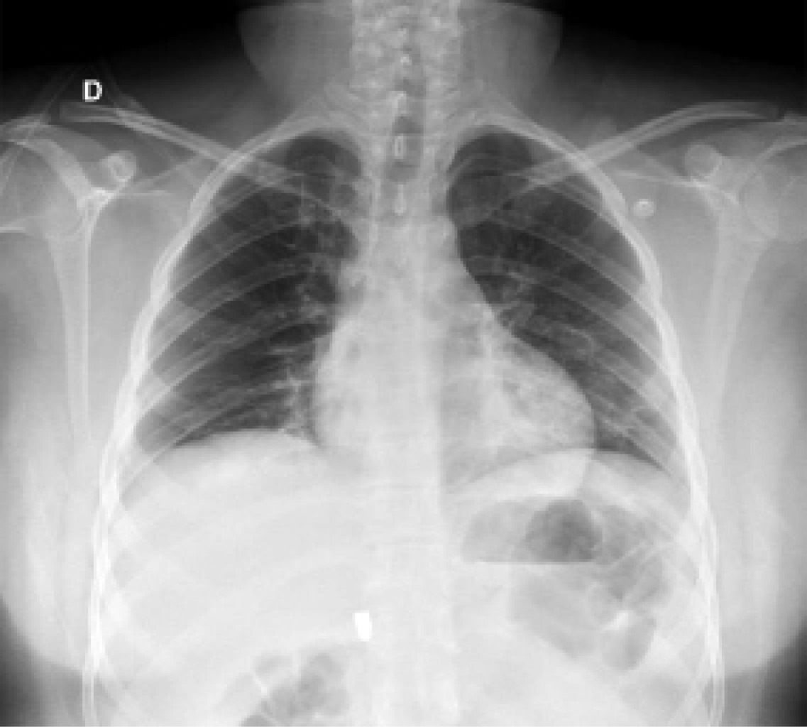
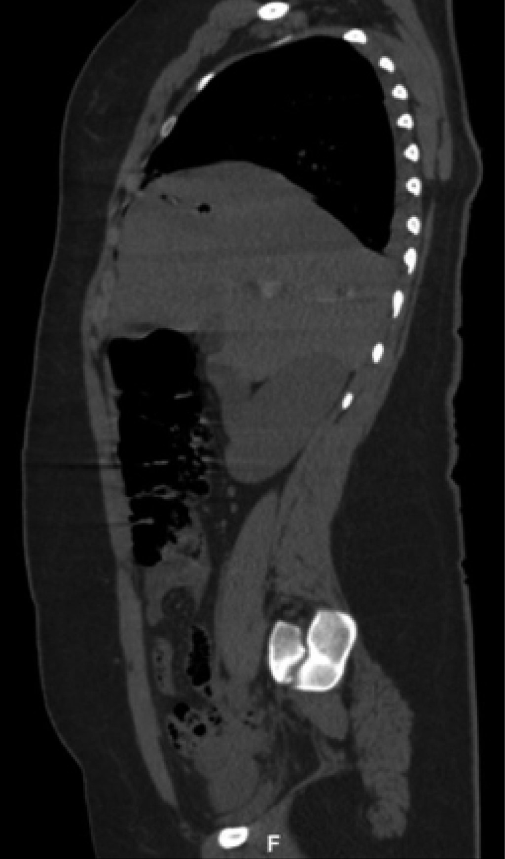
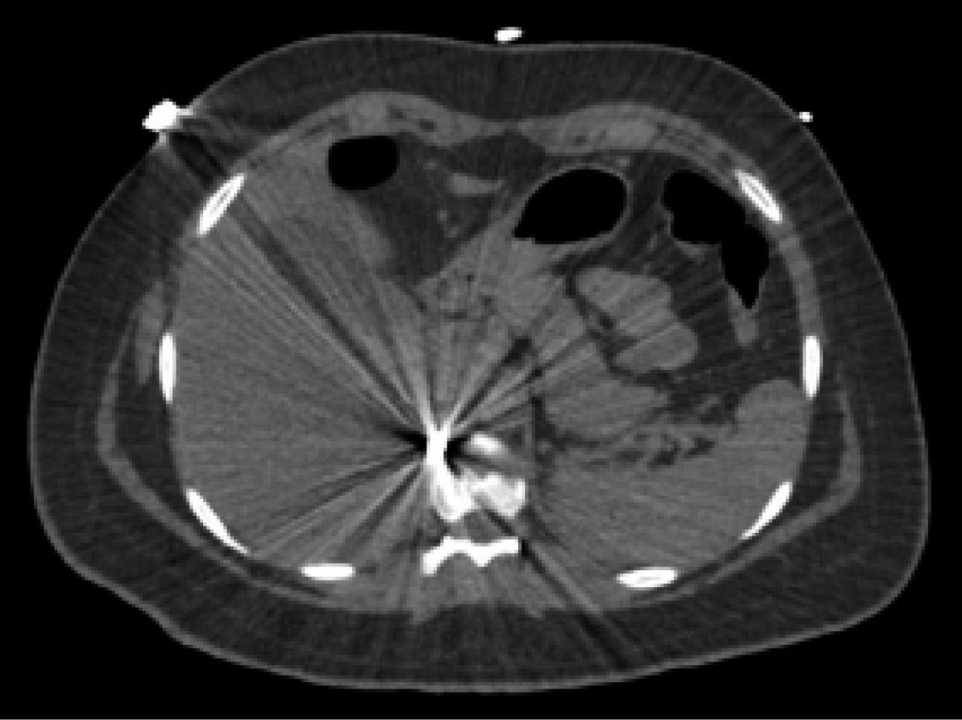
On physical examination, her vital signs were as follows: heart rate of 74 beats/minute; blood pressure of 98/67 mmHg; respiratory rate of 19/min; temperature of 36o C; and oxygen saturation of 98%. The chest showed a PAF entry orifice in the upper outer quadrant of the right breast (Figure 1), and the lung fields were well-ventilated. The abdomen was flat, with peristalsis, soft and painless to palpation. The blood cytology reported a hemoglobin of 12.8 g/dL, hematocrit of 36.4%, and white blood cells of 6,400/ml. The chest X-ray ruled out pneumothorax (Figure 2). A CT scan of the thorax and abdomen showed a metallic foreign body lodged in the right parasagittal line at the level of the 12th thoracic vertebra (Figure 3), without pulmonary or diaphragmatic lesion (Figures 4 and 5); in the abdomen, a PAF tract was observed with a 12 cm by 2.3 cm grade IV liver lesion in segments IV, VII and VIII of Couinaud (Figure 5), scarce free fluid, without lesion of any other organ (Figures 3, 5 and 6). Twenty-four hours later, a control CT scan was performed, showing the liver lesion without subcapsular collection or active extravasation on the application of contrast medium, without an increase of free fluid. Given the correlation of these findings with clinical stability, the patient was discharged on the fourth day of her admission. She did not have any complications one month after her discharge.



DISCUSSION

In abdominal trauma, the liver is the most frequently affected solid organ due to its location and size. Five percent of patients admitted to a hospital trauma center present severe liver injury, 10 to 30% of all of them with a mortality of 40 to 80%.5 Despite this, evidence on the ideal management of liver trauma remains scarce. Until the late 1970s, treatment was exclusively surgical. Subsequently, NSTLT was introduced and established as the gold standard in patients with blunt, non-penetrating, hemodynamically stable liver injury in hospitals with an interventional radiology service, with a success rate of up to 90%.1 Nevertheless, LHSPPAF, i.e., grades IV and V, remains one of the most significant challenges for the surgeon when deciding on the ideal management option.

The treatment of penetrating abdominal injuries with liver injury has begun to change, opting for a conservative selective approach and leaving aside the idea of routine or obligatory laparotomy in the face of penetrating abdominal trauma due to PAF, as it has been noted that the rates of unnecessary exploratory laparotomy (EL), white EL, or non-therapeutic trauma vary from 23 to 53% and that morbidity rates range from 2.5 to 41% with a 5% increase in the mortality rate, so this exclusively surgical strategy should be abandoned as it is not free of risks of complications, including intestinal occlusion, pneumothorax, ileus, delirium, surgical site infection, myocardial infarction, visceral injury, hernia, wound dehiscence and even death secondary to unnecessary EL.6 However, the surgical treatment that most surgeons still consider is the standard method for the management of penetrating abdominal trauma by PAF with solid organ injury, leaving selective non-surgical management largely unexplored, taking into account that the decision to choose NSTLT carries great responsibility, backed by the surgeon's experience and the resources at his/her disposal; because the delay in identifying intra-abdominal injuries can cause early death due to bleeding if we consider that initially 77% of patients with liver trauma are hemodynamically stable on arrival at the hospital, or late due to injury to a hollow viscera.5

CT is a tool that provides the option of NSTLT due to its sensitivity of more than 98% and specificity greater than 96% to identify significant intra-abdominal lesions, including hollow viscera lesions, when examining the entire abdomen from the thorax to the symphysis pubis. When performed with triple contrast, CT has a sensitivity of 100%, a specificity of 96%, a negative predictive value of 100%, and 97% accuracy in predicting the need for ELE. Lenin Enriquez-Dominguez and colleagues reported that 18% of patients with penetrating abdominal trauma by PAF who underwent EL due to lack of CT had isolated liver injury, i.e., without damage to other organs.7 Thus, it is advisable to take into account the NSTLT in hospital centers where access to diagnostic aids has been optimized, including a radiology service equipped with CT and with sufficient resources for interventional therapeutic procedures;8 an adequate coordination between emergency, surgery, radiology, laboratory, and operating room services, and the immediate availability of a blood bank. Also, it should be considered that mortality in patients with hemorrhage is 46%, as reported by Harvin and colleagues.9

In hospitals where these resources are not available, EL should be performed on patients with penetrating PAF injury.10 Suen and colleagues described the shift to NSTLT over 15 years through the gradual implementation of protocols, including angiographic embolization, improved resuscitation strategies, and damage control principles, achieving an increase in the NSTLT rate from 51% to 67% and a decrease in mortality from 18.8% at protocol initiation to 3.6% at the end of the study period.11

The selective NSTLT approach to LHSPPAF has several proven advantages, including avoiding non-therapeutic laparotomies, reducing intra-abdominal complications, reducing transfusion requirements,12 shorter hospital stays, and reducing hospital care costs.13



CONCLUSIONS

With the present clinical case, we demonstrated that the NSTLT of patients with hemodynamically stable LHSPPAF, without peritoneal irritation and injury to any other organ, is possible in hospitals such as ours. Our algorithms concerning this conservative therapeutic alternative are on par with those established in first-world countries. We always have the material and human resources necessary for close monitoring of the patient and the change from traditional to surgical management if required.


REFERENCES

  1. Gaarder C, Gaski IA , Naess PA. Spleen and liver injuries: when to operate? Curr Opin Crit Care Volume. 2017; 23: 520-526.

  2. Roberts DJ, Ball CG, Feliciano DV, Moore EE, Ivatury RR, Lucas CE, et al. History of the innovation of damage control for management of trauma patients: 1902-2016. Ann Surg. 2017; 265: 1034-1044.

  3. Coccolini F, Coimbra R, Ordonez C, Kluger Y, Vega F, Moore EE, et al. Liver trauma: WSES 2020 guidelines. World J Emerg Surg. 2020; 15: 24.

  4. Dubina ED, Emigh B, Grigorian A, Inaba K. Critical decision points in the management of acute trauma: a practical review. Int Anesthesiol Clin. 2021; 59:1-9.

  5. Vargas AAL, Campos BJA, Pérez SA, Castillejos MYS, Vargas FJ, Ávila RJL. Manejo de la lesión hepática perforante con balón de Bakri. Presentación de un caso. Cir Gen. 2019; 41: 47-53.

  6. Akkoca M, Balas S, Yilmaz KB, Tatar IG, Akinci M, Tokgoz S, et al. CT-guided tractography is a safe and complementary diagnostic tool in the management of penetrating abdominal trauma. Asian J Surg. 2019; 42: 148-154.

  7. Enríquez DL, Castillo MJR, Herrera RF, Díaz RJD. Trauma hepático por heridas punzocortantes y por arma de fuego. Nuestra experiencia en Ciudad Juárez. Cirujano General. 2011; 33: 21-25.

  8. Olthof DC, Joosse P, van der Vlies CH, Haan RJ, Goslings JC. Prognostic factors for failure of nonoperative management in adults with blunt splenic injury: a systematic review. J Trauma Acute Care Surg. 2013; 74: 546-557.

  9. Harvin JA, Maxim T, Inaba K, Martínez AMA, King DR, Choudhry AJ, et al. Mortality following emergent trauma laparotomy: a multicenter, retrospective study: mortality after emergent trauma laparotomy. J Trauma Acute Care Surg. 2017; 83: 464-468.

  10. Díaz RJD, Arriaga CJM, Enríquez DL, Castillo MJR, Dr. Montes CJG. Trauma penetrante abdominal: comparativa de morbimortalidad en heridas por arma de fuego y arma punzocortante. Cir Gen. 2010; 32: 24-28.

  11. Suen K, Skandarajah AR, Knowles B, Judson R, Thomson BN. Changes in the management of liver trauma leading to reduced mortality:15-yearexperience in a major trauma centre. ANZ J Surg. 2016; 86: 894-899.

  12. Reed BL, Patel NJ, McDonald AA, Baughman WC, Claridge JA, Como JJ. Selective nonoperative management of abdominal gunshot wounds with isolated solid organ injury. Am J Surg. 2017; 213: 583-585.

  13. Noyola VHF, Loera TMA, Jiménez CE, Núñez CO, García NLM, Arcaute VFF. Tratamiento no operatorio de las lesiones hepáticas por trauma no penetrante: artículo de revisión. Cir Cir. 2016; 84: 263-266.



AFFILIATIONS

1 Attending Physician, Colon and Rectal Surgery. Hospital Regional de Alta Especialidad de Ixtapaluca, Secretaría de Salud. México.

2 Attending Physician, General Surgery. Hospital Regional de Alta Especialidad de Ixtapaluca, Secretaría de Salud. México.

3 Attending Physician, Radiology, and Imaging Services. Hospital Regional de Alta Especialidad de Ixtapaluca, Secretaría de Salud. México.

4 Chief of Service, General Surgery. Hospital Regional de Alta Especialidad de Ixtapaluca, Secretaría de Salud. México.



Ethical considerations and responsibility: not required for clinical cases.

Financing: this work did not require external funding.

Disclosure: the authors declare no conflicts of interest.



CORRESPONDENCE

Jorge Octavio Gutiérrez-Pérez. E-mail: cirujano-octavio@hotmail.com




Received: 10/28/2022. Accepted: 06/13/2023.

Figure 1
Figure 2
Figure 3
Figure 4
Figure 5
Figure 6

2020     |     www.medigraphic.com

Mi perfil

C?MO CITAR (Vancouver)

Cir Gen. 2023;45