medigraphic.com
SPANISH

Cirujano General

ISSN 2594-1518 (Electronic)
ISSN 1405-0099 (Print)
  • Contents
  • View Archive
  • Information
    • General Information        
    • Directory
  • Publish
    • Instructions for authors        
    • Send manuscript
  • medigraphic.com
    • Home
    • Journals index            
    • Register / Login
  • Mi perfil

2023, Number 3

<< Back Next >>

Cir Gen 2023; 45 (3)

Anal melanoma: the importance in its diagnosis

Sarabia-Pérez, Yoselin Julisa1; Díaz-Barrientos, Cheryl Zilahy2; Heredia-Montaño, Mónica3; García-Salazar, Jorge Miguel4; Sosa-Sánchez, Omar5
Full text How to cite this article 10.35366/112927

DOI

DOI: 10.35366/112927
URL: https://dx.doi.org/10.35366/112927

Language: English/Spanish [Versi?n en espa?ol]
References: 11
Page: 181-184
PDF size: 295.42 Kb.


Key words:

anal canal, melanoma, anus neoplasms, rectum, hemorrhage, colorectal surgery.

ABSTRACT

Anal melanoma constitutes less than 1% of colorectal malignancies, in the majority with a late diagnosis due to its presentation without specific clinical symptoms, which leads to poor therapeutic results and a consequent decrease in the survival rate. A case of a female patient with no chronic disease is presented, whose main symptom was the presence of a painful anal mass and rectal bleeding. A colonoscopy was performed with histopathological report of anal melanoma, for which she underwent surgery by laparoscopic abdominoperineal resection. The importance of this neoplasm lies in the fact that it represents a diagnostic and therapeutic challenge for the surgeon, being essential an adequate clinical history and exhaustive physical examination.



INTRODUCTION

Anal tumors are rare neoplasms of the digestive tract; anal cancer accounts for 4% of all malignant neoplasms of the lower gastrointestinal tract.1 Approximately 80% are of squamous origin, 10% are adenocarcinoma, and the remaining percentage is distributed in other types of malignant tumors such as sarcoma, lymphoma, and melanoma.2 The latter, which may or may not be pigmented, is found in any part of the body, but its most common occurrence is in the skin, followed by the eye and the anus.

As for the location of rectal melanomas, most lesions are seen at the level of the dentate line of the anal canal and tend to extend into the submucosa, and only 20-30% are found in the rectum.3 It is commonly confused with other benign perianal pathology because it manifests clinically with rectal bleeding, pain, or perianal lumpiness, commonly attributed to hemorrhoidal disease.4 Less frequently, this tumor debuts with palpable inguinal adenopathy or even distant metastasis, presenting a late diagnosis.5 Physical examination by digital rectal examination together with anoscopy is the basis for an adequate diagnosis. Colonoscopy is fundamental for diagnosis since it allows us to biopsy suspicious lesions and thus regulate therapeutic conduct.6

The treatment of choice is surgical resection, although the type of surgery and the extent of resection remain controversial.7 According to staging, it has been classified into three stages: stage I is a localized disease, stage II involves regional lymphatic infiltration, and stage III is a disease with distant metastases.8 Inguinal lymphadenectomy has not been shown to improve prognosis, and, in addition, it involves high morbidity. Therefore, techniques such as selective sentinel lymph node biopsy seem promising, although experience is still limited.9 As for non-surgical treatment, some partial improvements have been reported recently, especially in palliative or salvage treatment after surgery.10 There is no standard treatment for these patients, mainly because of the low incidence and devastating prognosis, with an overall survival rate of five years of 20%.11



PRESENTATION OF THE CASE

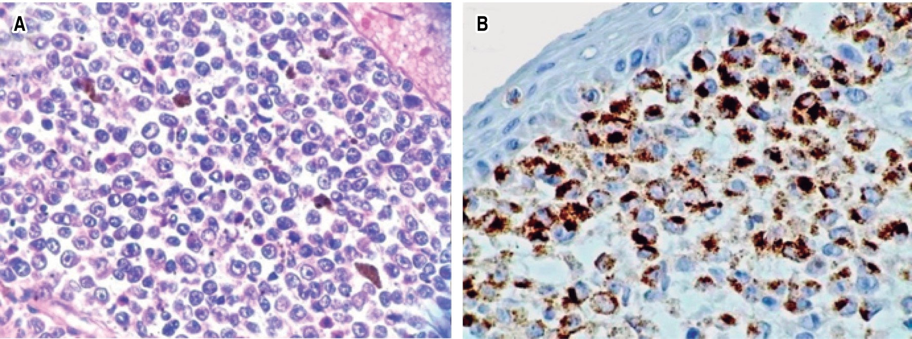
A 79-year-old female patient with no previous history of importance went to the general medicine outpatient clinic for presenting transrectal bleeding and diarrheal bowel movements of approximately one week of evolution, which was managed as hemorrhoidal disease, and topical treatment was provided for two months. However, she persisted with the same symptomatology in addition to the sensation of an anal mass and pain at the same level, so she went to the coloproctology service, where a physical examination found a typical perianal region without evidence of lesions; rectal examination revealed an induration of approximately 5 × 5 centimeters in the anal canal at left lateral level, so a colonoscopy was performed that showed evidence of an elevated tumor in the rectal ampulla of polypoid appearance of approximately 20 mm with hyperemic, edematous and friable mucosa. A biopsy was taken with a polypectomy loop (Figure 1), with a histopathological report of undifferentiated and ulcerated malignant neoplasm of the anorectal region; an immunohistochemistry study was performed with positive results for Melan A and HMB 95, and a diagnosis of an ulcerated malignant melanoma was made. Extension studies were performed with simple thoracoabdominal-pelvic computed tomography scan and intravenous contrast, without evidence of metastatic disease or inguinal adenopathies, reporting thickening of the walls of the rectum up to 50 mm with annular morphology. An MRI showed a lesion in the lower rectum/anal canal, without changes in perirectal fat, without alterations in adjacent mucosa.

It was decided to schedule for surgical resolution by abdominoperineal resection. Before the procedure, a biopsy of the right sentinel inguinal node was performed with a negative report of malignant neoplasm, and abdominoperineal resection was performed. A laparoscopic approach was chosen, performing a diagnostic laparoscopy without evidence of distant tumor activity, proceeding to dissection of the mesorectum together with dissection of the inferior mesenteric artery and vein with advanced energy and cutting at the level of the vascular pedicle with stapler, performing colostomy at the proximal end without complications. In the perineal phase, sphincter muscles, ligaments, and perirectal fat were sectioned, completing the rectum dissection in the perineal portion without placing drains facing in planes. The anatomopathological study of the rectosigmoid resection specimen (Figure 2) confirmed the presence of a malignant nodular melanoma of anorectal mucosa, with a diameter greater than five centimeters, infiltrating up to the submucosa and with metastatic lesions in two of ten lymph nodes of the mesorectum; surgical margins were free of neoplasia. The histopathology image showed spindle-shaped cells with atypical nuclei and melanic pigment inside (Figure 3). The patient was sent to medical oncology, indicating that she was a candidate for immunotherapy with adjuvant pembrolizumab; however, the treatment was not authorized, so she was only kept under periodic surveillance. Currently, eight months after surgery, she continues to be followed up by the Coloproctology service, with adequate evolution without showing alterations at the colostomy level and free of disease.



DISCUSSION

Anorectal melanoma is a rare neoplasm with a poor prognosis. An adequate clinical history is necessary and physical examination of the anal region should not be avoided in patients with symptoms of perianal disease due to its significant importance in making an early diagnosis and allowing an optimal surgical treatment. When a patient has a rapidly growing, pigmented anal mass associated with transrectal bleeding, a high suspicion of anal melanoma should be considered. The evaluation should always include a biopsy of the lesion and a search for advanced disease by computed tomography (CT) extension studies of the chest, abdomen, and pelvis, as the liver, lung, and bone are the most frequent dissemination sites.10 In this case, there was a delay in diagnosis approximately three months from the onset of symptoms; however, it did not present as an advanced disease, and surgical intervention was achieved. Surgical treatment options include abdominoperineal resection, wide local excision, biopsy-fulguration, or both, although no statistically significant survival differences have been found.6 According to a study by Brady and collaborators, local recurrence was 8% in the group with abdominoperineal amputation and 20% in the group treated locally; therefore, they recommended abdominoperineal amputation as the treatment of choice in these cases.4 In the case presented, the patient underwent surgery by laparoscopic abdominoperineal resection, with subsequent referral to the medical oncology department, where she remains under surveillance. According to Wong and colleagues, they conclude that adjuvant therapy, either by radiotherapy, chemotherapy, or immunotherapy, has not shown changes in the survival rate,10 so the treatment of choice is surgical treatment, with abdominoperineal resection as the best choice in controlling locoregional recurrence of the disease and allowing a better quality of life.9



CONCLUSIONS

Melanoma is an aggressive neoplasm. Its anorectal location is the most infrequent, accounting for < 4% of colorectal malignant neoplasms; however, this does not exempt the importance of an adequate clinical history and exhaustive physical examination. In the first contact consultation, it can be easily underdiagnosed because it presents with symptoms like those of benign anal pathology, with transrectal bleeding, anal pain, and the presence of a palpable mass in the same region, making it a clinical presentation compatible with hemorrhoidal disease or, in general, with benign perianal pathology. The objective of this report was to highlight the importance of the anorectal physical examination; if it is not ignored, patients can be referred to the specialist in time and form for an adequate protocolization through colonoscopy and biopsy, being able to offer the best surgical treatment for each patient.


REFERENCES

  1. Sosa H, Fernández H, Hernández L. Melanoma del canal anal: a propósito de un caso. Rev Med Electron. 2019; 2: 757-762.

  2. Dabán P, Gallart C, Pérez C, Dabán E, Mirón B. Melanoma anal, diagnóstico infrecuente en la patología anorrectal. Cirugía Andaluza. 2018; 29: 537-540.

  3. Young A, Jacob E, Willauer P, Smucker L, Monzon R, Oceguera L. Anal cancer. Surg Clin North Am. 2020; 100: 629-634.

  4. Martínez D. Melanoma anal, importancia del diagnóstico diferencial con la enfermedad anal benigna. Revista Colombiana de Cirugía. 2017; 4: 330-334.

  5. Arriola M, Pazos X, Rodriguez M, Figuerido O. Melanoma anal, patología infrecuente. Reporte de un caso. An Facultad Med. 2019; 6: 51-57.

  6. Ford M, Kauffmann R, Geiger T, Hopkins M, Muldoon R, Hawkins A. Resection for anal melanoma: is there an optimal approach? Surgery. 2018; 164: 466-472.

  7. Temperley HC, O'Sullivan NJ, Keyes A, Kavanagh DO, Larkin JO, Mehigan BJ, et al. Optimal surgical management strategy for treatment of primary anorectal malignant melanoma-a systematic review and meta-analysis. Langenbecks Arch Surg. 2022; 407: 3193-3200.

  8. Mireira R, Santacruz C, Sierra E, Tarragona J, Olsina J. Melanoma anal, una patología radicalmente distinta al melanoma cutáneo, con un pronóstico infausto. Elsevier. 2020; 98: 488-495.

  9. Díaz M, Lagos A, López A, Mirón B. Melanoma rectal: estirpe histológica infrecuente en localización inusual. RAPD. 2019; 42: 447-449.

  10. Wong DL, Glazer ES, Tsao M, Deneve JL, Fleming MD, Shibata D. Impact of adjuvant therapies following surgery for anal melanoma. Am J Surg. 2022; 223: 1132-1143.

  11. Mireia MR, Carlos CS. Anal melanoma: a rare perianal tumor with a poor prognosis. Dis Colon Rectum. 2020; 63: 573-576.



AFFILIATIONS

1 Second-year resident of General Surgery.

2 Attending physician to Coloproctology.

3 Attending physicians to General Surgery.

4 Physician assigned to Anatomic Pathology.

5 Second-year resident Physician of General Surgery.



Ethical considerations and responsibility: data privacy. According to the protocols established in our work center, we declare that we have followed the protocols on patient data privacy and preserved their anonymity.

Funding: no financial support was received for the preparation of this work.

Disclosure: none of the authors have a conflict of interest in the conduct of this study.



CORRESPONDENCE

Yoselin Julisa Sarabia-Pérez. E-mail: yoselinsarabia@gmail.com




Received: 05/05/2023. Accepted: 07/18/2023.

Figure 1
Figure 2
Figure 3

2020     |     www.medigraphic.com

Mi perfil

C?MO CITAR (Vancouver)

Cir Gen. 2023;45