medigraphic.com
ENGLISH

Latin American Journal of Oral and Maxillofacial Surgery

ISSN 2992-7757 (Digital)
Órgano de difusión de la Asociación Latinoamericana de Cirugía y Traumatología Bucomaxilofacial (ALACIBU)
  • Mostrar índice
  • Números disponibles
  • Información
    • Información general        
    • Directorio
  • Publicar
    • Instrucciones para autores        
  • medigraphic.com
    • Inicio
    • Índice de revistas            
    • Registro / Acceso
  • Mi perfil

2023, Número 2

<< Anterior

Lat Am J Oral Maxillofac Surg 2023; 3 (2)


Tercer molar desplazado a fosa pterigomaxilar: reporte de caso

Rivas, Jesús1; Rojas, José1; Sosa, Darío2; Rodríguez, Freddy2; García, Henry3; Daniela Viamonte, María3,4
Texto completo Cómo citar este artículo 10.35366/113478

DOI

DOI: 10.35366/113478
URL: https://dx.doi.org/10.35366/113478
Artículos similares

Idioma: Español
Referencias bibliográficas: 7
Paginas: 94-98
Archivo PDF: 334.49 Kb.


PALABRAS CLAVE

molar, fosa, complicaciones, desplazado.

RESUMEN

Una complicación frecuente dentro de la cirugía oral y maxilofacial es la fractura de instrumental o material dentro de la región bucal, objetos como agujas anestésicas, instrumental rotatorio, hojas de bisturí, agujas de material de sutura, elevadores, implantes. Este es un problema que pude ser exacerbado cuando las unidades dentales (UD) son accidentalmente desplazadas hacia espacios anatómicos contiguos durante el intento de extracción. Este tema ha sido tratado con poca frecuencia en la literatura reciente; sin embargo, es un problema dentro de nuestra práctica. La recuperación puede ser tórpida y dificultosa, dependiendo de numerosos factores, como el tamaño, la localización, la forma del diente desplazado y las estructuras anatómicas vecinas. Se presenta un caso de desplazamiento y extracción de un tercer molar superior desplazado accidentalmente a espacio pterigomaxilar.



INTRODUCCIóN

Uno de los procedimientos realizados con mayor frecuencia por el cirujano oral y maxilofacial es la extracción de los terceros molares, el cual predispone a complicaciones tanto mayores como menores durante el transoperatorio y postoperatorio del paciente. La frecuencia de complicaciones durante este procedimiento se estima en 1.1%. Entre las que se presentan con mayor frecuencia se incluyen alveolitis, hemorragias, parestesias, infecciones, fracturas óseas, fracturas dentales y desplazamiento de órganos dentarios a espacios anatómicos contiguos.1

El desplazamiento es un hecho que le puede ocurrir incluso al cirujano más experimentado; puede incluir la totalidad del órgano dental, las raíces o la corona, y tiene lugar durante el uso de instrumental rotatorio.2

Los factores de riesgo para esta complicación incluyen: el exceso de confianza, la premura, la falta de experiencia del operador, instrumental inadecuado, el uso desmedido de la fuerza durante el empleo de elevadores, la disposición del órgano dental hacia la cortical lingual, corticales delgadas asociado esto a la perforación de las mismas durante el uso del instrumental rotatorio o no, y un diagnóstico clínico radiográfico previo deficiente.2,3

El desplazamiento de terceros molares superiores hacia la fosa pterigomaxilar se considera una complicación transoperatoria rara, pero delicada, de la cirugía de terceros molares. Su incidencia se desconoce, ya que es reportada en un muy bajo porcentaje en comparación con las otras complicaciones.3

La sintomatología que suele acompañar a esta complicación incluye: presencia de inflamación, edema, trismo, dolor, infecciones recurrentes, etcétera; los cuales pueden ser indicativos para el retiro de la pieza, aunque dicha sintomatología puede estar ausente.

Se ha reportado el desplazamiento de diferentes instrumentos y materiales hacia espacios contiguos de la región bucal relacionados con los procedimientos de cirugía oral y de odontología; estos incluyen: hojas de bisturí, instrumentos rotatorios, agujas para infiltración de anestesia, agujas de material de sutura, implantes dentales, puntas activas de elevadores de exodoncia, limas de endodoncia, etcétera. Causan síntomas similares a los de órganos dentales desplazados, aunque sus dimensiones complican aún más su localización y extracción.1,4

Las indicaciones y el tiempo para la extracción de los fragmentos desplazados han sido fuente de debate. Huang y colaboradores1,4 mencionan que el retraso en el retiro (> 24 horas) del órgano dental o fragmento resulta en una respuesta inflamatoria mayor. Por otro lado, algunos investigadores recomiendan posponer el retiro tres a cuatro semanas para promover una reacción a cuerpo extraño que promueva la encapsulación con tejido fibroso y que estabilice el segmento, sobre todo si éste ha sido desplazado a tejidos blandos.1,2 Sin embargo, el posponer el retiro del mismo promueve la migración del fragmento, así como la posibilidad de presentar un proceso infeccioso.2,5

El empleo de radiografías convencionales se limita a la localización en general del objeto, sin precisar el sitio exacto; recordemos que ésta es una imagen plana. La tomografía axial computarizada (TC) se mantiene como el estudio de excelencia para la ubicación del objeto, ya que permite una localización exacta del mismo en tres dimensiones, útil para planear su remoción.6,7

Se han descrito otros estudios, como el ultrasonido y los sistemas de navegación quirúrgica, que permiten al cirujano observar en tiempo real la posición del objeto en una imagen en tercera dimensión con reconstrucción, así como las estructuras circundantes.1,7

Este tipo de complicaciones no son muy frecuentes; sin embargo, no se está exento a la misma, por lo que es importante conocer y manejar los protocolos para ubicar el cuerpo extraño y extraerlo. Dentro de los artículos revisados se han reportado desplazamientos a espacios pterigomaxilar1 −donde se pudo evidenciar la baja frecuencia del desplazamiento a este espacio, siendo más frecuente el desplazamiento de instrumental rotatorio (broca quirúrgica)−, espacio laterofaringeo,2 fosa infratemporal,3 espacio sublingual y submandibular,4 y seno maxilar.7

El objetivo del presente reporte es describir el desplazamiento del tercer molar a el espacio pterigomaxilar y su tratamiento.



CASO CLíNICO

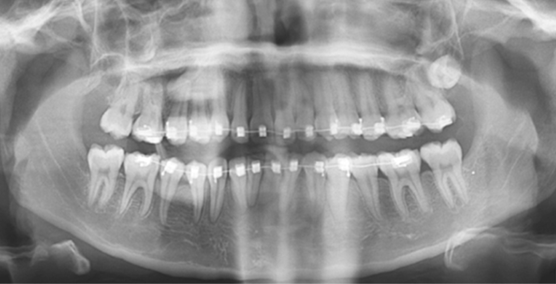
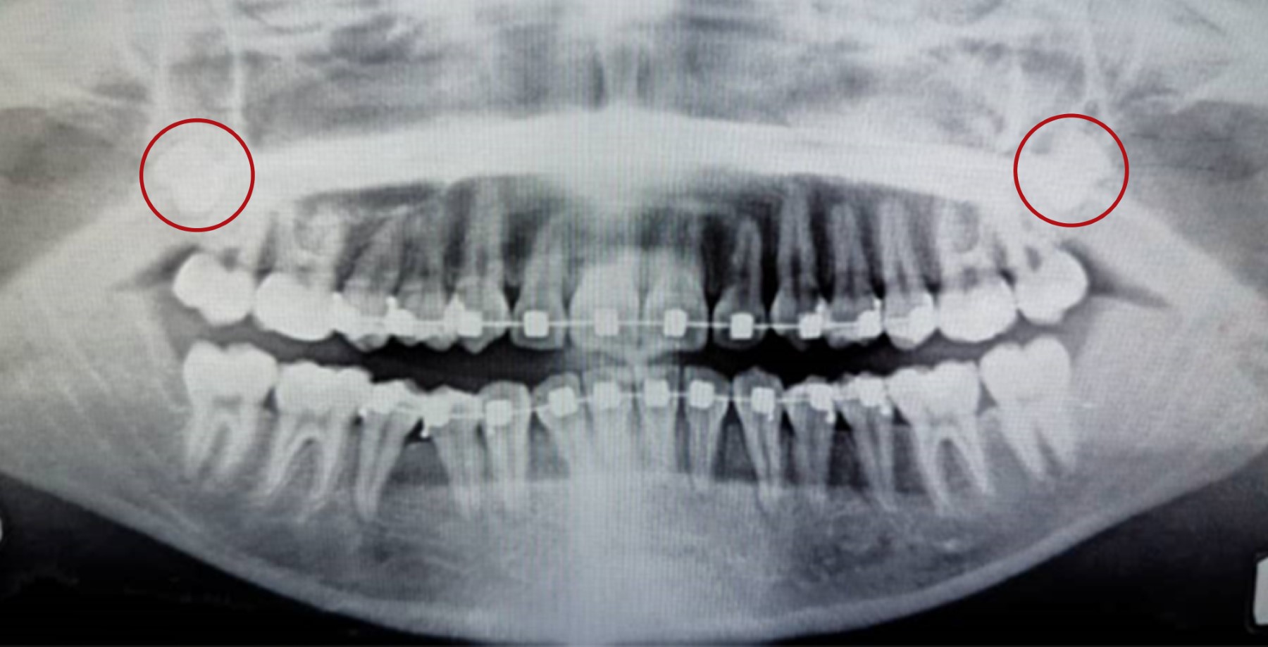
Se trata de un paciente femenino de 16 años de edad, natural y procedente de Caracas, Venezuela, sin antecedentes médicos conocidos, quien acude al Servicio de Cirugía Oral del Hospital Ortopédico Infantil para la valoración y extracción de terceros molares, los cuales clínicamente no se encontraban presentes en boca. Al examen radiográfico se observaron las unidades dentarias (UD) 18 y 28 retenidas en posición vertical según Winter a la altura de la porción apical de la raíz de la UD 17 y 27, respectivamente (Figura 1). Durante la extracción de la UD 28, dicha unidad es perdida de vista por parte del operador, por lo que solicita radiografía panorámica para su ubicación (Figura 2). Se indica antibiótico, analgésico y antiinflamatorio, así como medidas antiedema. Posteriormente, se solicita tomografía de haz helicoidal para su planificación quirúrgica.

En la evaluación radiográfica postoperatoria, usando una radiografía panorámica se observa la UD 28 en el espacio correspondiente a la fosa pterigomaxilar en una posición transversal según Winter, motivo por el cual se decide realizar una tomografía de haz helicoidal.

A la exploración extraoral, la paciente presenta asimetría facial a expensas de edema en tercio medio izquierdo.

A la exploración intraoral 48 horas posterior al acto quirúrgico, la paciente presenta dentición permanente, ausencia clínica del tercer molar superior izquierdo, ligero dolor a la palpación en la región del espacio pterigomaxilar derecho, sin datos de eritema, sangrado activo o salida de algún tipo de secreciones.

Tres semanas posteriores al procedimiento inicial, se realizó evaluación tomográfica en una TC de haz helicoidal, evaluando cortes axiales, coronales, sagitales y reconstrucción volumétrica se pudo observar imagen hiperdensa en relación con la fosa pterigomaxilar compatible con la UD 28 (Figura 3).

Una vez realizada y evaluada la tomografía computarizada, planeado el abordaje a realizar se decide planificar acto quirúrgico una vez culminado los 21 para cumplir el protocolo planteado y realizar un abordaje y extraer el tercer molar.

Se procede a realizar remoción quirúrgica del diente desplazado bajo anestesia local infiltrativa a base de lidocaína 2% con epinefrina 1:100,000. Se procede a realizar incisión en "T", usando el arbotante cigomático-maxilar como referencia (Figura 4). Se comienza disección roma con pinzas mosco curvas y se retrae tejido con separadores de Minnesota. Se localiza diente, teniendo precaución con las estructuras vasculares de la región. Una vez que se localiza, se realiza la avulsión del mismo con el uso de un elevador angulado y luego se sujeta firmemente con pinzas de Crile curva para su retiro (Figuras 5 y 6). Se lava herida con solución fisiológica y se procede a realizar reparación de la herida con catgut simple 3-0 y puntos discontinuos. Se dan indicaciones postquirúrgicas de cuidados e higiene. Se indica antibioticoterapia a base de amoxicilina/ácido clavulánico 875/125 mg por vía oral (VO) cada 12 horas, durante siete días y analgesia con ketoprofeno 100 mg VO cada ocho horas para el manejo del dolor.



DISCUSIóN

La identificación oportuna por el clínico del desplazamiento accidental de órganos dentales, instrumentos o materiales dentro de la región oral y maxilofacial es fundamental para evitar complicaciones infecciosas y para poder proporcionar el tratamiento adecuado por el propio operador o por el especialista al cual se remita el paciente.4

Actualmente, el avance tecnológico hace posible el acceso a la tomografía computarizada, donde se podrá obtener una imagen tridimensional precisa del diente desplazado y sus estructuras adyacentes. Por lo tanto, si se encuentra dentro de las posibilidades, se recomienda indicar un cone beam como auxiliar de diagnóstico. Las radiografías panorámicas, frontales y laterales de cráneo también arrojan información referente al diente desplazado y deberán ser indicadas en caso de no tener una tomografía computarizada.3

Las indicaciones y el tiempo para la extracción de los fragmentos desplazados han sido fuente de debate. Huang y colaboradores4 mencionan que el retraso en el retiro (> 24 horas) del órgano dental o fragmento resulta en una respuesta inflamatoria mayor. Por otro lado, algunos investigadores recomiendan posponer el retiro tres a cuatro semanas para promover una reacción a cuerpo extraño que genere la encapsulación con tejido fibroso y que estabilice el segmento, sobre todo si éste ha sido desplazado a tejidos blandos.1,2 Sin embargo, el posponer el retiro del mismo promueve la migración del fragmento, así como la posibilidad de presentar un proceso infeccioso.

Es importante dar solución a este tipo de problemas por el alto riesgo de infección por el material alojado, el cual no se considera limpio. Debe tomarse en consideración que otro factor importante es el desplazamiento de dicho material, instrumental u órgano dental con el tiempo, pues puede alojarse cerca de nervios, grandes vasos sanguíneos, etcétera, incrementándose el riesgo de complicaciones.1

En la literatura revisada, no se encontró un abordaje específico para este tipo de complicaciones, sino que se basan más en la experiencia y criterios del operador de cómo abordar las mismas.



CONCLUSIóN

El desplazamiento accidental de órganos dentales, así como de instrumentos y materiales dentro de la región oral y maxilofacial es una complicación que, aunque es poco reportada en la literatura, es delicada.

La resolución de estos casos atípicos es muy variada y dependerá también de la tecnología que tenga a disposición el cirujano maxilofacial para el retiro del cuerpo extraño.

El desplazamiento del tercer molar a la fosa pterigomaxilar es una complicación rara, pero posible. La complejidad de enfrentar estos accidentes se debe a la vulnerabilidad de las estructuras anatómicas adyacentes. Seguir las pautas propuestas para realizar un procedimiento quirúrgico reducirá los riesgos de presentar una complicación transoperatoria. Si se llega a presentar una complicación transoperatoria, se aconseja no arriesgarse a intentar realizar trabajos quirúrgicos, tales como la remoción de un tercer molar desplazado, si no está francamente visible o si no se está calificado. Se recomienda que dicha complicación sea derivada y resuelta por un cirujano bucomaxilofacial con experiencia, quien deberá seguir un plan específico basado en el correcto diagnóstico.


REFERENCIAS (EN ESTE ARTÍCULO)

  1. Liceaga ECJ, Castañeda SO, González OVM. Extracción de tercer molar superior desplazado a espacio pterigomaxilar apoyada por fluoroscopio. Revista ADM. 2013; 70 (6): 324-328

  2. Medeiros N, Gaffrée G. Accidental displacement of inferior third molar into the lateral pharyngeal space: case report. J Oral Maxillofac Surg. 2008; 66: 578-580.

  3. Barrera PPM, Guerra LDA, Martínez TJA. Desplazamiento de tercer molar superior a fosa infratemporal: reporte de casos y revisión de literatura. [Maxillary third molar displacement into the infratemporal fossa: case report and literature review]. Int J Odontostomat. 2021; 15 (4): 827-834.

  4. Huang IY, Wu CW, Worthington P. The displaced lower third molar: a literature review and suggestions for management. J Oral Maxillofac Surg. 2007; 65: 1186-1190.

  5. Xavier CB, Goncalvez FR, Batista SH, Veras Filho Rde O, Vogt BF. Spontaneous migration of third molar following displacement to pterygomandibular fossa. J Oral Maxillofac Surg. 2011; 69: 1004-1007.

  6. Holmes PJ, Miller JR, Gutta R, Louis PJ. Intraoperative imaging techniques: a guide to retrieval of foreign bodies. Oral Surg Oral Med Oral Pathol Oral Radiol Endod. 2005; 100: 614-618.

  7. Eggers G, Welzel T, Mukhamadiev D, Wortche R, Hassfeld S, Mühling J. X-ray-based volumetric imaging of foreign bodies: a comparison of computed tomography and digital volume tomography. J Oral Maxillofac Surg. 2007; 65: 1880-1885.



AFILIACIONES

1 Residente del postgrado de Cirugía y Traumatología Bucal y Maxilofacial. Hospital Universitario de Caracas.

2 Residente del postgrado de Cirugía Bucal de la Universidad Central de Venezuela.

3 Cirujano Bucal y Maxilofacial Adjunto. Hospital Ortopédico Infantil e Instituto Médico La Floresta.

4 Especialista en Cirugía Bucal y Maxilofacial y Adjunto del postgrado de Cirugía y Traumatología Bucal y Maxilofacial. Hospital Universitario de Caracas.



CORRESPONDENCIA

Jesús Rivas. E-mail: odjesusrivas@gmail.com




Recibido: 01/10/2023. Aceptado: 12/10/2023.

Figura 1
Figura 2
Figura 3
Figura 4
Figura 5
Figura 6

2020     |     www.medigraphic.com

Mi perfil

C?MO CITAR (Vancouver)

Lat Am J Oral Maxillofac Surg. 2023;3

ARTíCULOS SIMILARES

CARGANDO ...