medigraphic.com
ENGLISH

Alergia, Asma e Inmunología Pediátricas

Órgano Oficial del Colegio Mexicano de Alergia, Asma e Inmunología Pediátrica y de la Asociación Latinoamericana de Pediatría
  • Mostrar índice
  • Números disponibles
  • Información
    • Información general        
    • Directorio
  • Publicar
    • Instrucciones para autores        
  • medigraphic.com
    • Inicio
    • Índice de revistas            
    • Registro / Acceso
  • Mi perfil

2022, Número 3

<< Anterior

Alerg Asma Inmunol Pediatr 2022; 31 (3)


Síndrome de activación de macrófagos fulminante relacionado con MIS-C que simula apendicitis aguda en un adolescente

García-Domínguez, Miguel1; Anaya-Enríquez, Nancy2; Peña, Eri3; Arce-Cabrera, Daniela4
Texto completo Cómo citar este artículo 10.35366/113856

DOI

DOI: 10.35366/113856
URL: https://dx.doi.org/10.35366/113856
Artículos similares

Idioma: Español
Referencias bibliográficas: 13
Paginas: 94-97
Archivo PDF: 183.17 Kb.


PALABRAS CLAVE

síndrome inflamatorio multisistémico pediátrico, abdomen agudo, apendicitis aguda, síndrome de activación de macrófagos.

RESUMEN

Introducción: el síndrome inflamatorio multisistémico pediátrico (MIS-C) asociado a SARS-CoV-2 es un trastorno hiperinflamatorio en pacientes pediátricos que afecta varios órganos, incluyendo el sistema gastrointestinal en 80 a 90% de los casos. Caso clínico: adolescente de 11 años de edad que consultó por fiebre, letargo, choque y dolor abdominal con sospecha de apendicitis aguda. La cirugía abdominal no demostró hallazgos de apendicitis aguda. Desarrolló síndrome de falla multiorgánica con elevación de marcadores inflamatorios. Se hizo diagnóstico de MIS-C complicado con síndrome de activación de macrófagos (SAM) sin respuesta al tratamiento establecido. Conclusión: el dolor abdominal o sospecha de apendicitis aguda con elevados marcadores inflamatorios puede ser la presentación de MIS-C, lo que puede confundir al médico de primer contacto y retrasar el diagnóstico y tratamiento, llegando a complicaciones como SAM que amenazan la vida. En este caso se estableció el diagnóstico de MIS-C; sin embargo, la evolución fue fatal a pesar del tratamiento instaurado.



ABREVIATURAS:

  • EK = enfermedad de Kawasaki.
  • IgIV = gammaglobulina intravenosa.
  • MIS-C = síndrome inflamatorio multisistémico pediátrico (del inglés: Multisystem Inflammatory Syndrome in Children).
  • NT-proBNP = péptido natriurético de tipo B pro-N-terminal.
  • PCR = proteína C reactiva.
  • RT-PCR = reacción en cadena de la polimerasa con reverso transcripción.
  • SAM = síndrome de activación de macrófagos.
  • VSG = velocidad de sedimentación globular.



INTRODUCCIóN

El síndrome inflamatorio multisistémico pediátrico (MIS-C) asociado a SARS-CoV-2 es una condición hiperinflamatoria grave de COVID-19 en niños que se informó a finales de abril de 2020.1

Diversos países han reportado pacientes con MIS-C con características clínicas parecidas con la enfermedad de Kawasaki (EK), síndrome de choque por EK, compromiso multiorgánico y choque; así como complicaciones potencialmente mortales como el síndrome de activación de macrófagos (SAM).2,3

Las manifestaciones gastrointestinales que se presentan con mayor frecuencia en niños con COVID-19 y MIS-C incluidos son: vómito, diarrea, dolor abdominal e incluso abdomen agudo que puede simular apendicitis aguda, estos últimos asociados a una enfermedad de curso más grave.4



PRESENTACIóN DEL CASO

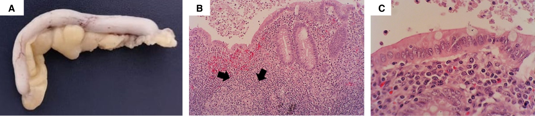
Adolescente femenino de 11 años de edad, sana en previa revisión, que presentó fiebre de 38.5 °C y dolor abdominal seis días previos, tratada con cefuroxima y antipirético sin mejoría. Un día previo a su llegada a urgencias presentó fiebre de 39.5 °C, aumento del dolor abdominal en fosa iliaca derecha, hiporexia, vómito e hipoactividad, motivo de referencia a urgencias pediátricas. A su ingreso se encontró con letargia, palidez generalizada, pulsos débiles y taquicardia. A nivel mucocutáneo inyección conjuntival leve y lengua en fresa. Se inició reanimación hídrica con solución cristaloide (20 a 40 mL/kg), antibióticos intravenosos (cefotaxima 100 mg/kg/día y metronidazol 30 mg/kg/día), inotrópicos (adrenalina y dobutamina), así como ventilación mecánica. Debido a los antecedentes de abdomen agudo y con la sospecha de peritonitis fue intervenida quirúrgicamente, donde se evidenció abundante líquido en cavidad abdominal, adenitis mesentérica sin hallazgos de inflamación o perforación apendicular (Figura 1).

Los estudios de laboratorio fueron los siguientes: hemoglobina 10.5 g/dL, leucocitos 25,050/mm3, neutrófilos 23,050/mm3 (90%), linfocitos 1,400/mm3, bandas 3%, plaquetas 9,000/mm3, proteína C reactiva (PCR) 18 mg/dL, velocidad de sedimentación globular (VSG) 12 mm/h, procalcitonina 32.75 ng/dL, fibrinógeno 143 mg/dL, dímero D 10,594 ng/mL, ferritina 7,540 ng/dL, NT-proBNP 69,530 pg, troponina I 1,420 ng/L, triglicéridos 746 mg/dL, bilirrubina total 3.21 mg/dL, bilirrubina directa 2.14 mg/dL, aspartato aminotransferasa (AST) 294 UI/L, alanino aminotransferasa (ALT) 69 UI/L, deshidrogenasa láctica (DHL) 921 UI/L, albúmina 2.2 g/dL, pH arterial 9.19, lactato 8, bicarbonato 13. Con el hallazgo quirúrgico negativo a apendicitis, marcadores de inflamación grave y el antecedente de COVID-19 reciente en la madre (mediante RT-PCR nasal) se hizo el diagnóstico de MIS-C. En la exploración física además de la inyección conjuntival y lengua en fresa, se encontró esplenomegalia. Se inició tratamiento con gammaglobulina intravenosa (IgIV) 2 g/kg y bolo intravenoso de metilprednisolona (30 mg/kg). A pesar del inicio de tratamiento, la evolución fue tórpida, con la sospecha de SAM por HScore de 294 puntos, se realizó aspirado de médula ósea que mostró células hemofagocíticas (Figura 2), no tuvo respuesta al manejo, presentó disfunción miocárdica y falleció a las 12 horas de su llegada al hospital.



DISCUSIóN

Se ha informado de manera importante el compromiso gastrointestinal en pacientes con COVID-19; se presume que está relacionado con el daño microscópico de la mucosa intestinal posterior a la entrada del SARS-CoV-2 a través del epitelio intestinal al unirse al receptor de la enzima convertidora de angiotensina 2 (ACE2), al activar el sistema inmune con la liberación de citocinas proinflamatorias como interleucina (IL) 1, IL-2, IL-6, IL-17 y factor de necrosis tumoral alfa (TNF-α), mediando un proceso inflamatorio local y sistémico.4,5 En MIS-C, el mecanismo por el que se desarrollan los síntomas gastrointestinales aún no se comprende con claridad; sin embargo, se ha relacionado a la respuesta inflamatoria tardía atribuida al sistema inmune adaptativo a través de complejos inmunes, así como la respuesta innata tras la infección por SARS-CoV-2, lo que resulta en una respuesta inmune descontrolada.6 Algunos autores han informado que el daño vascular puede ocurrir y juega un papel en casos complicados con lesiones isquémicas, íleo paralítico u obstrucción intestinal.7

Hoy en día, se han reportado pacientes con síntomas gastrointestinales graves como dolor agudo de abdomen o signos compatibles con apendicitis aguda, incluso requiriendo intervención quirúrgica antes del diagnóstico de MIS-C.

Valitutti y su equipo realizaron una revisión sistemática de pacientes con MIS-C con compromiso gastrointestinal. Encontraron una alta tasa de síntomas abdominales graves que simulan emergencias quirúrgicas como apendicitis aguda en 5-30%, adenitis mesentérica en 9-20% y obstrucción intestinal, etcétera, algunos de los cuales fueron intervenidos quirúrgicamente con diferentes hallazgos, entre ellos apéndice sano y presencia de adenitis mesentérica. Consideran que se debe evaluar la función miocárdica en pacientes con abdomen agudo para descartar MIS-C desde el inicio y evitar cirugías innecesarias, que pueden empeorar el resultado de MIS-C, así como el retraso en el tratamiento con IgIV y esteroides.8,9

Yock-Corrales y colegas reportaron 69 pacientes con MIS-C en América Latina; registraron seis pacientes (8.6%) con sospecha de apendicitis aguda, dos de ellos fueron intervenidos quirúrgicamente con hallazgos de adenitis mesentérica y cuatro fueron diagnosticados con MIS-C y no fueron operados.10

Una de las complicaciones más graves de las enfermedades hiperinflamatorias es SAM, el cual se ha descrito en pacientes con MIS-C, caracterizado por un curso más grave y que puede contribuir a una mayor mortalidad.1,11

El caso que presentamos tuvo un desenlace fatal sin respuesta al tratamiento instaurado debido a los siguientes factores: tiempo de evolución > 5 días, síntomas gastrointestinales graves, retraso en el diagnóstico de MIS-C y presencia de SAM. El tratamiento coadyuvante al MIS-C ante la presencia de SAM puede ser con dexametasona, etopósido, incluso como alternativas ciclosporina, inhibidores de IL-1 (anakinra), IL-6 (tocilizumab) e inhibidores JAK (ruxolitinib).12,13



CONCLUSIONES

MIS-C debe considerarse en el diagnóstico diferencial para un paciente con síntomas similares a los de la apendicitis o abdomen agudo.

Los servicios pediátricos de urgencias médico-quirúrgicos deben contemplar un abordaje multidisciplinario en pacientes con fiebre y síntomas gastrointestinales en quienes se sospeche contacto epidemiológico o infección por SARS-CoV-2 que incluya una evaluación con marcadores de inflamación y compromiso miocárdico como: PCR, VSG, procalcitonina, ferritina, dímero D, troponina, NT-proBNP y ecocardiografía.


REFERENCIAS (EN ESTE ARTÍCULO)

  1. Verdoni L, Mazza A, Gervasoni A, Martelli L, Ruggeri M, Ciuffreda M et al. An outbreak of severe Kawasaki-like disease at the Italian epicentre of the SARS-CoV-2 epidemic: an observational cohort study. Lancet. 2020; 395 (10239): 1771-1778. doi: 10.1016/S0140-6736(20)31103-X.

  2. Feldstein LR, Tenforde MW, Friedman KG et al. Characteristics and outcomes of US children and adolescents with multisystem inflammatory syndrome in children (MIS-C) compared with severe acute COVID-19. JAMA. 2021; 325 (11): 1074-1087. doi: 10.1001/jama.2021.2091.

  3. McArdle AJ, Vito O, Patel H, Seaby EG, Shah P, Wilson C et al. Treatment of multisystem inflammatory syndrome in children. N Engl J Med. 2021; 385 (1): 11-22. doi: 10.1056/NEJMoa2102968.

  4. Assa A, Benninga MA, Borrelli O et al. Gastrointestinal perspective of coronavirus disease 2019 in children-an updated review. J Pediatr Gastroenterol Nutr. 2021; 73 (3): 299-305. doi: 10.1097/MPG.0000000000003204.

  5. Jothimani D, Venugopal R, Abedin MF, Kaliamoorthy I, Rela M. COVID-19 and the liver. J Hepatol. 2020; 73 (5): 1231-1240. doi: 10.1016/j.jhep.2020.06.006.

  6. Zou H, Lu J, Liu J, Wong JH, Cheng S, Li Q et al. Characteristics of pediatric multi-system inflammatory syndrome (PMIS) associated with COVID-19: a meta-analysis and insights into pathogenesis. Int J Infect Dis. 2021; 102: 319-326. doi: 10.1016/j.ijid.2020.11.145.

  7. Khesrani LS, Chana K, Sadar FZ, Dahdouh A, Ladjadj Y, Bouguermouh D. Intestinal ischemia secondary to Covid-19. J Pediatr Surg Case Rep. 2020; 61: 101604. doi: 10.1016/j.epsc.2020.101604.

  8. Lishman J, Kohler C, de Vos C, van der Zalm MM, Itana J, Redfern A et al. Acute appendicitis in multisystem inflammatory syndrome in children with COVID-19. Pediatr Infect Dis J. 2020; 39 (12): e472-e473. doi: 10.1097/INF.0000000000002900.

  9. Valitutti F, Verde A, Pepe A, Sorrentino E, Veneruso D, Ranucci G et al. Multisystem inflammatory syndrome in children. An emerging clinical challenge for pediatric surgeons in the COVID 19 era. J Pediatr Surg Case Rep. 2021; 69: 101838. doi: 10.1016/j.epsc.2021.101838.

  10. Yock-Corrales A, Lenzi J, Ulloa-Gutiérrez R, Gómez-Vargas J, Antúnez-Montes OY, Rios Aida JA et al. Acute abdomen and appendicitis in 1010 pediatric patients with COVID-19 or MIS-C: a multinational experience from Latin America. Pediatr Infect Dis J. 2021; 40 (10): e364-e369. doi: 10.1097/INF.0000000000003240.

  11. García-Domínguez M, Torres CG, Carreón-Guerrero JM, Quibrera J, Arce-Cabrera D, Yamazaki-Nakashimada M. Macrophage activation syndrome in two infants with multisystem inflammatory syndrome in children. Pediatr Blood Cancer. 2021; 68 (10): e29199. doi: 10.1002/pbc.29199.

  12. Capochiani E, Frediani B, Iervasi G, Paolicchi A, Sani S, Roncucci P et al. Ruxolitinib rapidly reduces acute respiratory distress syndrome in COVID-19 disease. Analysis of data collection from RESPIRE protocol. Front Med (Lausanne). 2020; 7: 466. doi: 10.3389/fmed.2020.00466.

  13. Cao Y, Wei J, Zou L, Jiang T, Wang G, Chen L. Ruxolitinib in treatment of severe coronavirus disease 2019 (COVID-19): A multicenter, single-blind, randomized controlled trial. J Allergy Clin Immunol. 2020; 146 (1): 137-146.e3. doi: 10.1016/j.jaci.2020.05.019.



AFILIACIONES

1 Departamento de Inmunología Clínica. Hospital Pediátrico de Sinaloa. Culiacán, México.

2 Departamento de Pediatría. Hospital Pediátrico de Sinaloa. Culiacán, México.

3 Departamento de Patología. Hospital Pediátrico de Sinaloa. Culiacán, México.

4 Departamento de Oncología. Hospital Pediátrico de Sinaloa. Culiacán, México.



CORRESPONDENCIA

Miguel García-Domínguez. E-mail: miguelgarcia.alergia@gmail.com




Recibido: 02/02/2023. Aceptado: 28/02/2023.

Figura 1
Figura 2

2020     |     www.medigraphic.com

Mi perfil

C?MO CITAR (Vancouver)

Alerg Asma Inmunol Pediatr. 2022;31

ARTíCULOS SIMILARES

CARGANDO ...