medigraphic.com
ENGLISH

Revista Mexicana de Periodontología

ISSN 2007-4360 (Impreso)
Asociación Mexicana de Periodontología, Colegio de Periodoncistas A.C
  • Mostrar índice
  • Números disponibles
  • Información
    • Información general        
    • Directorio
  • Publicar
    • Instrucciones para autores        
  • medigraphic.com
    • Inicio
    • Índice de revistas            
    • Registro / Acceso
  • Mi perfil

2022, Número 1-3

<< Anterior Siguiente >>

Rev Mex Periodontol 2022; 13 (1-3)


Una neoplasia gingival rara y benigna: fibroma periférico odontogénico (reporte de caso)

González Martínez, Rocío1; Gómez Thomas, David2; Montemayor Martínez, Raúl3
Texto completo Cómo citar este artículo 10.35366/113891

DOI

DOI: 10.35366/113891
URL: https://dx.doi.org/10.35366/113891
Artículos similares

Idioma: Español
Referencias bibliográficas: 12
Paginas: 29-31
Archivo PDF: 310.45 Kb.


PALABRAS CLAVE

fibroma periférico odontogénico, neoplasia benigna, tumor periférico.

RESUMEN

El fibroma periférico odontogénico es una neoplasia benigna rara ectomesenquimatosa que por lo general se presenta como una masa gingival con superficie lisa, firme y sin dolor. Se le considera la lesión más común dentro del grupo de tumores periféricos odontogénicos raros. Este fibroma clínicamente se asemeja a una variedad de lesiones proliferativas focales que ocurren en la encía, incluyendo a un granuloma periférico de células gigantes, fibroma osificante periférico, fibroma periférico, hiperplasia fibrosa, ameloblastoma periférico y granuloma piógeno. El tratamiento consiste en una escisión quirúrgica y generalmente tiene un buen pronóstico. Este reporte de caso tiene como objetivo dar a conocer las características clínicas e histopatológicas, así como el tratamiento de esta lesión.



INTRODUCCIóN

La mucosa oral está constantemente expuesta a diversos estímulos. Éstos pueden resultar en manifestaciones orales que se presentan en un espectro de enfermedades catalogadas como: del desarrollo, reactivas, inflamatorias o neoplásicas.1

El crecimiento gingival se puede originar debido a una enfermedad sistémica, un estímulo farmacológico o a factores iatrogénicos locales.1 Por ejemplo, el cálculo subgingival produce un trauma crónico a los tejidos periodontales, por consiguiente, inflamación y formación de tejido de granulación, el cual puede llegar a proliferar y manifestarse como una lesión tumoral reactiva llamada hiperplasia.1

El fibroma periférico odontogénico es una neoplasia benigna rara ectomesenquimatosa que típicamente se presenta como una masa gingival con superficie lisa, firme y sin dolor.2 Se le considera la tercera lesión neoplásica odontogénica más común y la primera lesión tumoral odontogénica periférica.3 Se ha reportado que el fibroma odontogénico puede ocurrir a cualquier edad, desde la población de la tercera edad hasta en un recién nacido, con predilección hacia el sexo femenino.3,4 Un fibroma odontogénico puede clasificarse en central (intraóseo) o periférico (extraóseo) y suele manifestarse tanto en el maxilar como en la mandíbula.3,4



PRESENTACIóN DEL CASO

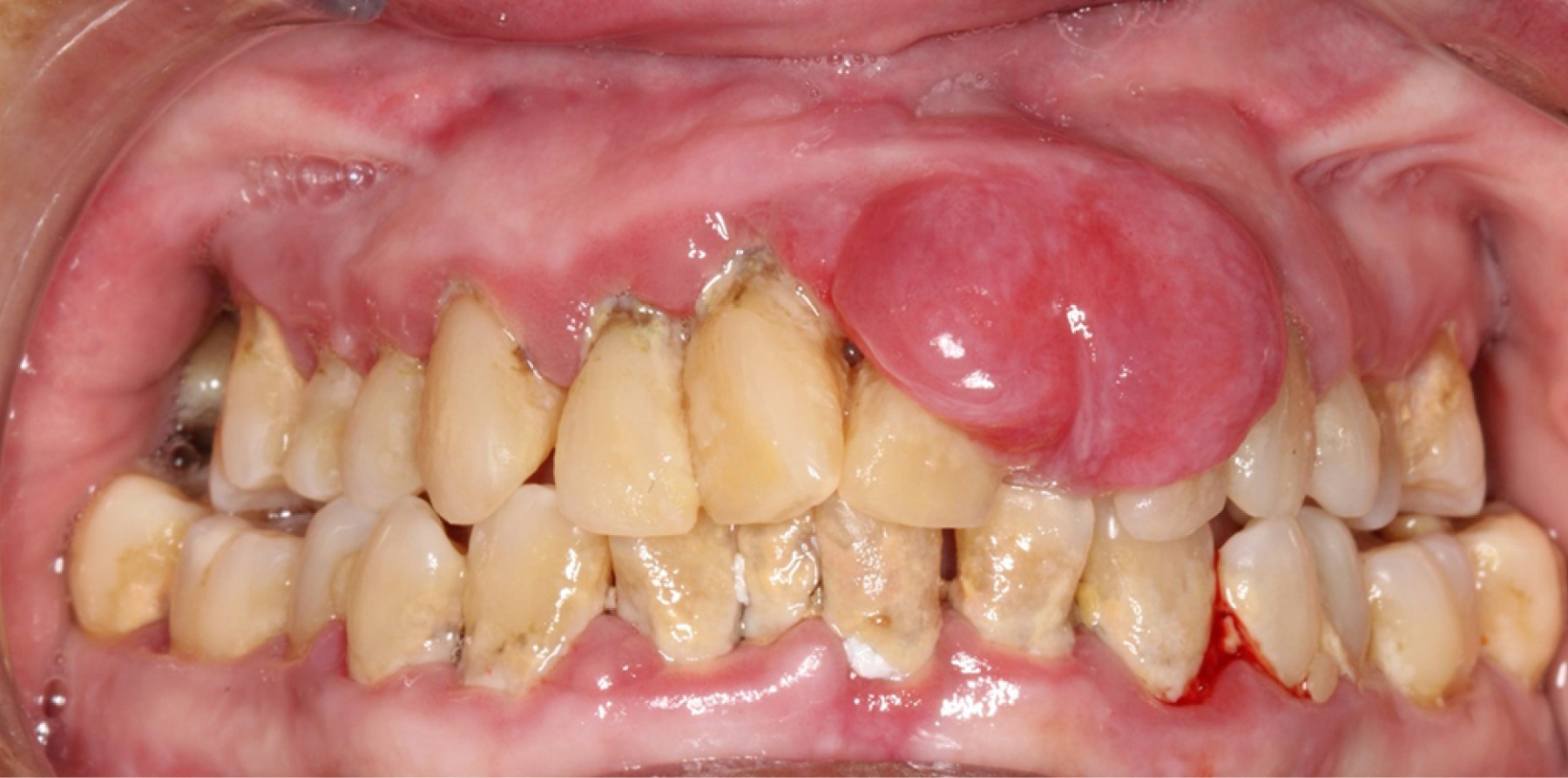
Paciente femenino de 44 años de edad, ASA 1. Se presentó al Departamento de Periodoncia e Implantología de la Universidad Ayuda Mutua Esencial (AME), el motivo de consulta fue: "tengo una bola en la encía". A la exploración intraoral se observa una masa gingival lisa y firme en la encía vestibular con longitud de 20 milímetros (Figura 1). La paciente afirma ausencia de dolor y que el aumento de volumen evolucionó gradualmente en un periodo de cinco años. No se observó supuración ni fluctuación en la masa gingival.

En la anamnesis de la paciente no se encontró información relevante en su historia médica. Se obtuvo un consentimiento informado por parte de la paciente para proceder con el procedimiento quirúrgico. La cirugía consistió en una biopsia por escisión quirúrgica con el protocolo de asepsia y antisepsia estándar (Figuras 2 y 3).

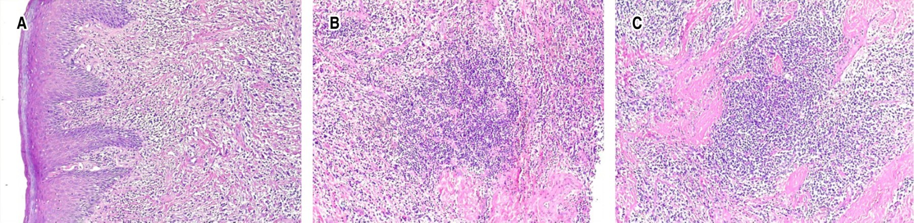
El estudio histopatológico con tinción de hematoxilina y eosina reveló un tejido epitelial de tipo escamoso estratificado paraqueratinizado e hiperqueratinizado con zonas de atrofia. Subyacente tejido conectivo fibroso, vasos sanguíneos, haces de colágena, los cuales se entrelazan entre un abundante proceso inflamatorio de tipo crónico formado por linfocitos y plasmocitos, que en algunas zonas es difuso y en otras áreas redondeadas (Figura 4).

La paciente fue reevaluada a las tres semanas postoperatorias. Se observa una buena cicatrización de la herida con tejidos gingivales hidratados y de coloración similar a la encía circundante (Figura 5).



DISCUSIóN

El fibroma odontogénico es un tumor benigno que puede desarrollarse en una ubicación central de los maxilares o en la periferia de la encía. Es definido por la Organización Mundial de la Salud como una neoplasia odontogénica de origen fibrótico caracterizada por presentar tejido maduro de fibras de colágeno con epitelio odontogénico.

Esta lesión se puede originar del periostio o del ligamento periodontal.1 El fibroma periférico odontogénico clínicamente se asemeja a una variedad de lesiones proliferativas focales que ocurren en la encía, incluyendo: granuloma periférico de células gigantes, fibroma osificante periférico, fibroma periférico, hiperplasia fibrosa, ameloblastoma periférico y granuloma piógeno.1,5

La variante periférica es considerada una lesión gingival rara, usualmente presenta inflamación focal y se puede encontrar en ambos maxilares; sin embargo, se ha demostrado que existe mayor predilección por los tejidos blandos de la región anteromandibular.4,6-9 Se ha reportado que el fibroma odontogénico periférico puede manifestare desde la población de la tercera edad hasta en recién nacidos, con mayor incidencia en el sexo femenino.1,3,4 Estos hallazgos concuerdan con el presente reporte de caso.

En algunos estudios se ha documentado recidiva de esta lesión, por lo que las citas de seguimiento deben ser consideradas en el plan de tratamiento.8,10-12



CONCLUSIONES

El fibroma periférico odontogénico es una lesión neoplásica odontogénica que usualmente se manifiesta en la encía vestibular. El pronóstico para el paciente con un fibroma periférico odontogénico es bueno y el tratamiento consiste en remover la lesión con una cirugía de escisión conservadora.


REFERENCIAS (EN ESTE ARTÍCULO)

  1. Khot K, Deshmane S, Bagri-Manjrekar K, Khot P. Peripheral odontogenic fibroma: a rare tumor mimicking a gingival reactive lesion. Int J Clin Pediatr Dent. 2017; 10 (1): 103-106.

  2. Rinaggio J, Cleveland D, Koshy R, Gallante A, Mirani N. Peripheral granular cell odontogenic fibroma. Oral Surg Oral Med Oral Pathol Oral Radiol Endod. 2007; 104 (5): 676-679.

  3. Heithersay G, Musu D, Cotti E. External tooth resorption associated with a peripheral odontogenic fibroma: review and case report. Aust Dent J. 2017; 62 (4): 516-522.

  4. Silva CA, Passador-Santos F, Moraes PC, Soares AB, de Araújo VC. Peripheral odontogenic fibroma: an uncommonly overviewed lesion. J Craniofac Surg. 2013; 24 (3): e216-e219.

  5. Reddy SV, Medikonda SK, Konda A, Natta S. A rare benign odontogenic neoplasm: peripheral odontogenic fibroma. BMJ Case Rep. 2014; 2014: bcr2013201065.

  6. Ritwik P, Brannon RB. Peripheral odontogenic fibroma: a clinicopathologic study of 151 cases and review of the literature with special emphasis on recurrence. Oral Surg Oral Med Oral Pathol Oral Radiol Endod. 2010; 110 (3): 357-363.

  7. de Villiers Slabbert H, Altini M. Peripheral odontogenic fibroma: a clinicopathologic study. Oral Surg Oral Med Oral Pathol. 1991; 72 (1): 86-90.

  8. Daley TD, Wysocki GP. Peripheral odontogenic fibroma. Oral Surg Oral Med Oral Pathol. 1994; 78 (3): 329-336.

  9. Eversole LR. Odontogenic fibroma, including amyloid and ossifying variants. Head Neck Pathol. 2011; 5 (4): 335-343.

  10. Farman AG. The peripheral odontogenic fibroma. Oral Surg Oral Med Oral Pathol. 1975; 40 (1): 82-92.

  11. Baiju CS, Rohatgi S. Peripheral odontogenic fibroma: a case report and review. J Indian Soc Periodontol. 2011; 15 (3): 273-275.

  12. Armas JM, Hunter KD, Jenkins W. Odontogenic fibroma: an unusual presentation. J Oral Maxillofac Pathol. 2008; 12: 68-71.



AFILIACIONES

1 Universidad Ayuda Mutua Esencial.

2 Universidad de Guadalajara.

3 Universidad Autónoma de Nuevo León.



CORRESPONDENCIA

Rocío González Martínez. E-mail: rocio.gzz19@gmail.com




Recibido: 17 de marzo de 2023. Aceptado: 04 de octubre de 2023.

Figura 1
Figura 2
Figura 3
Figura 4
Figura 5

2020     |     www.medigraphic.com

Mi perfil

C?MO CITAR (Vancouver)

Rev Mex Periodontol. 2022;13

ARTíCULOS SIMILARES

CARGANDO ...