medigraphic.com
ENGLISH

Revista Mexicana de Periodontología

ISSN 2007-4360 (Impreso)
Asociación Mexicana de Periodontología, Colegio de Periodoncistas A.C
  • Mostrar índice
  • Números disponibles
  • Información
    • Información general        
    • Directorio
  • Publicar
    • Instrucciones para autores        
  • medigraphic.com
    • Inicio
    • Índice de revistas            
    • Registro / Acceso
  • Mi perfil

2022, Número 1-3

<< Anterior Siguiente >>

Rev Mex Periodontol 2022; 13 (1-3)


Recesión gingival maxilar única asociada a factores protésicos

García Amador, Braulio Andrés1; González Quiriarte, Karen Estefanía1; Montaño Olvera, María Alejandra1; Herrera Herrera, Lissett1; Tremillo Maldonado, Omar2; Almeda Ojeda, Óscar2; Gamboa Guerrero, Leslie2
Texto completo Cómo citar este artículo 10.35366/113892

DOI

DOI: 10.35366/113892
URL: https://dx.doi.org/10.35366/113892
Artículos similares

Idioma: Español
Referencias bibliográficas: 14
Paginas: 32-36
Archivo PDF: 309.91 Kb.


PALABRAS CLAVE

recesión gingival, colgajo de avance coronal, injerto de tejido conectivo.

RESUMEN

Introducción: la recesión gingival se define como el desplazamiento apical del margen gingival más allá de la unión cemento-esmalte. Se ha descrito que los protocolos protésico-adhesivos pueden provocar recesión del tejido gingival. A continuación, se describe el tratamiento de una recesión gingival asociada con la introducción de ácido fosfórico al 37% mediante colgajo de avance coronal e injerto de tejido conectivo subepitelial. Caso clínico: paciente femenino de 53 años, se presenta a consulta dental para el tratamiento de una recesión gingival tipo 1 de Cairo. La etiología aparente se debe a un derrame de ácido fosfórico al 37% durante el cementado de carillas dentales. Se realizó la preparación del sitio receptor mediante colgajo de avance coronal. Se obtuvo un injerto de tejido conectivo, para posteriormente ser situado de forma subepitelial y ser suturado en el sitio receptor. Luego de seis meses, se observó una cobertura total de la recesión gingival y disminución de hipersensibilidad dental. Conclusión: el colgajo de avance coronal combinado con injerto de tejido conectivo subepitelial son una alternativa adecuada para el tratamiento de recesiones gingivales asociadas con lesiones químicas agudas.



INTRODUCCIóN

Definición. La recesión gingival es una condición común encontrada en periodoncia. En la clasificación de enfermedades periodontales, se ubica dentro de las condiciones y deformidades mucogingivales.1 La recesión gingival es definida como: "exposición de la superficie de la raíz causada por el desplazamiento apical del margen gingival más allá de la unión cemento-esmalte, la cual se puede presentar en forma localizada o generalizada".2

Prevalencia. Algunos de los datos registrados sobre la prevalencia de las recesiones gingivales se encuentran entre 30 y 100%, teniendo como factores asociados la localización demográfica y la edad; esta última afecta además la gravedad de la condición. La prevalencia de la recesión gingival ≥ 1 mm es de 58% en personas mayores de 30 años y se promedia 22.3% dientes por persona;2 afecta a 88% de los sujetos mayores de 65 años.3

Clasificación. En 2011, Cairo y colaboradores3 clasifican las recesiones gingivales con base en la pérdida de inserción interproximal, identificando tres tipos: recesión tipo 1 (RT1): sin pérdida de inserción interproximal. Recesión tipo 2 (RT2): la cantidad de pérdida de inserción interproximal es menor o igual a la pérdida de inserción bucal. Recesión tipo 3 (RT3): la cantidad de pérdida de inserción interproximal es mayor que la pérdida de inserción bucal.

Etiología. Diversos autores han descrito los factores etiológicos y predisponentes para la presencia de las recesiones gingivales. Dentro de los factores etiológicos se encuentran: dehiscencias óseas, higiene traumática, enfermedad periodontal y abrasiones cervicales.2,4 Mientras que en los factores predisponentes se describen: edad, hábitos traumáticos, frenillos aberrantes, protocolos protésico-adhesivos, prótesis mal adaptadas, excesos de cemento protésico, deficiencia o ausencia de tejido gingival queratinizado, fenotipo gingival fino, posición dentro del arco dental, aparatología de ortodoncia, piercing y como secuela del virus del herpes simple.4,5 La presencia de recesión gingival compromete la salud bucal, estética, sensibilidad dental, y predispone a la formación de caries cervical.4

Factores protésicos: agentes químicos usados en prótesis bucal. Dentro de la odontología protésica, los agentes utilizados para realizar procesos de adhesión deben ser cuidados al máximo con el fin de no tener contacto con la encía o la mucosa bucal y proteger los tejidos blandos, ya que se ha encontrado que tienen propiedades toxicológicas para los fibroblastos en un estudio in vitro.6

Dentro de los agentes químicos que pueden dañar la mucosa oral se destacan: ácido fosfórico, aspirina, perborato de sodio, peróxido de hidrógeno, peróxido de carbamida, formocresol, hipoclorito de sodio, formaldehído, ácido crómico, ácido tricloroacético y barnices dentales.7

Los ácidos fosfórico y cítrico, los cuales tienen un pH bajo (de 0-2), ejercen efectos necrosantes inmediatos (dentro de 20 segundos) tanto en los colgajos mucosos como en los tejidos periodontales.8

Existen pocos reportes científicos que relacionen el daño periodontal causado por materiales grabadores (ácido fosfórico). Dentro de las lesiones se encuentran la necrosis tisular y formación de recesiones gingivales.6,9 La manifestación clínica puede diferir de acuerdo con el compuesto químico, concentración, pH de la sustancia, cantidad aplicada y penetración sobre el tejido.9

Tratamiento. El diagnóstico preciso del factor etiológico precede a la elección del tratamiento, destacando enfoques periodontales quirúrgicos y protésicos (recreación de la unión cemento-esmalte) o un enfoque combinado.4,10

Quirúrgicamente se han descrito cuatro técnicas básicas para la cobertura radicular: injertos pediculados, injertos gingivales libres, injertos de tejido conectivo subepitelial y procedimientos de regeneración tisular guiada.11

Colgajo desplazado coronal e injerto libre de tejido conectivo. Debido a que la mucosa de revestimiento es elástica, un colgajo mucoso levantado más allá de la unión mucogingival puede estirarse en dirección coronal para cubrir la superficie radicular expuesta.12 El uso de injerto gingival subepitelial ofrece mejoras en los resultados de los parámetros clínicos.13,14

El colgajo de avance coronal se puede usar para el tratamiento de una o múltiples recesiones gingivales.4

En el presente reporte de caso se describe la formación de una recesión gingival aislada asociada con la introducción de ácido fosfórico en la mucosa masticatoria y su tratamiento mediante colgajo desplazado coronal e injerto de tejido conectivo subepitelial.



PRESENTACIóN DEL CASO

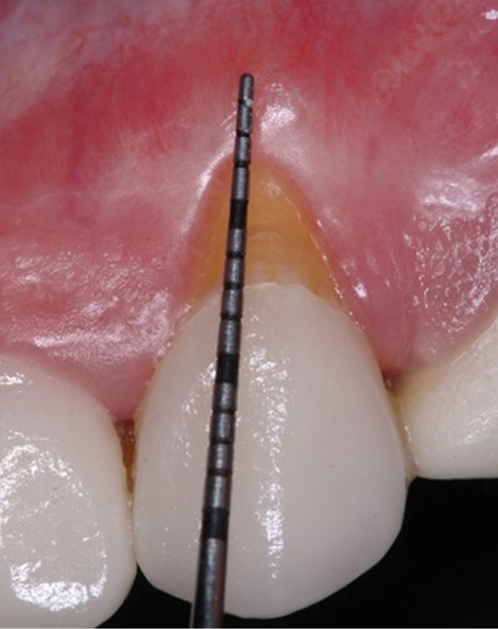
Paciente femenino de 53 años, sistémicamente sana, no fumadora, con alergia referida a penicilinas. Se presenta a consulta dental por inconformidad estética en diente 23 e hipersensibilidad dentinaria, con diagnóstico de recesión gingival (Figura 1).

Luego de la anamnesis, la etiología aparente de la recesión gingival se debe a un accidente protésico al momento de la cementación adhesiva de una carilla de porcelana feldespática (derrame accidental de ácido grabador fosfórico al 37%).

Clínicamente, se presenta una recesión gingival de 4 mm de longitud en el canino superior izquierdo (diente 23), la cual se formó después de 14 días posteriores a la cementación adhesiva de una carilla de porcelana feldespática; se observa un fenotipo gingival fino, 2 mm de tejido gingival queratinizado, y profundidad al sondeo periodontal no mayor a 2 mm, sin pérdida de inserción interproximal (Figura 2).

La recesión gingival fue clasificada como tipo I de Cairo. Se optó por realizar la cobertura radicular mediante la técnica de colgajo de avance coronal e injerto de tejido conectivo subepitelial.

Procedimiento clínico. El procedimiento inició realizando la antisepsia extraoral peribucal con solución acuosa al 0.12% de digluconato de clorhexidina.

Después, se infiltró anestesia de lidocaína al 2% con epinefrina 1:100,000. Se realizó alisado radicular para remover los depósitos de biofilm bacteriano y el cemento expuesto y contaminado, utilizando cureta de Gracey Bader® ½; para finalizar el tratamiento radicular, se pulió con copa de hule.

Se realizó la preparación del sitio receptor mediante incisiones oblicuas con bisturí Bard Parker® #3 y hoja de bisturí #15c a nivel de la unión cemento-esmalte en la base de cada papila adyacente, seguido de dos liberatrices oblicuas y una incisión intrasulcular, la cual unía las dos liberatrices. Posteriormente, se realizó la elevación del colgajo de espesor parcial a nivel lateral de las recesiones, elevación de colgajo a espesor total apical a la recesión gingival, continuado hasta la unión mucogingival, donde se realizó una incisión horizontal sobre el periostio para lograr la desinserción y liberación mucosa del colgajo (Figura 3).

Las papilas anatómicas fueron desepitelizadas con tijeras LaGrange S14® (Figura 4). Luego de la preparación del sitio receptor, se tomaron las medidas del sitio para la obtención del injerto de tejido conectivo, obtenido de la región palatina (sitio donador) mediante cuatro incisiones, al menos 2 mm apicales de distancia del margen gingival de los premolares. De esta forma se obtuvo un injerto libre de tejido conectivo epitelizado, de 10 mm de largo por 4 mm de ancho y 2 mm de grosor (Figura 5). Se eliminó el epitelio de manera extraoral, mediante hojas de bisturí #15.

El injerto fue adaptado en el sitio receptor a nivel de la unión cemento-esmalte, el cual fue suturado mediante puntos simples, con sutura de ácido poliglicólico (PGA) (Vicryl®) 5-0 (Figura 6).

El colgajo preparado previamente se reposicionó y suturó a 2 mm en dirección coronal a la unión cemento-esmalte, mediante sutura suspensoria. Se realizaron suturas simples complementarias en las liberatrices oblicuas (Figura 7). El sitio donador se suturó con una sutura suspensoria en "8" de ácido poliglicólico PGA (Vicryl®) 5-0.

En el postoperatorio se dieron las siguientes indicaciones: enjuagues de digluconato de clorhexidina al 0.12% por un minuto, cada 12 horas, durante 14 días, e ibuprofeno 600 mg, cada ocho horas por tres días.

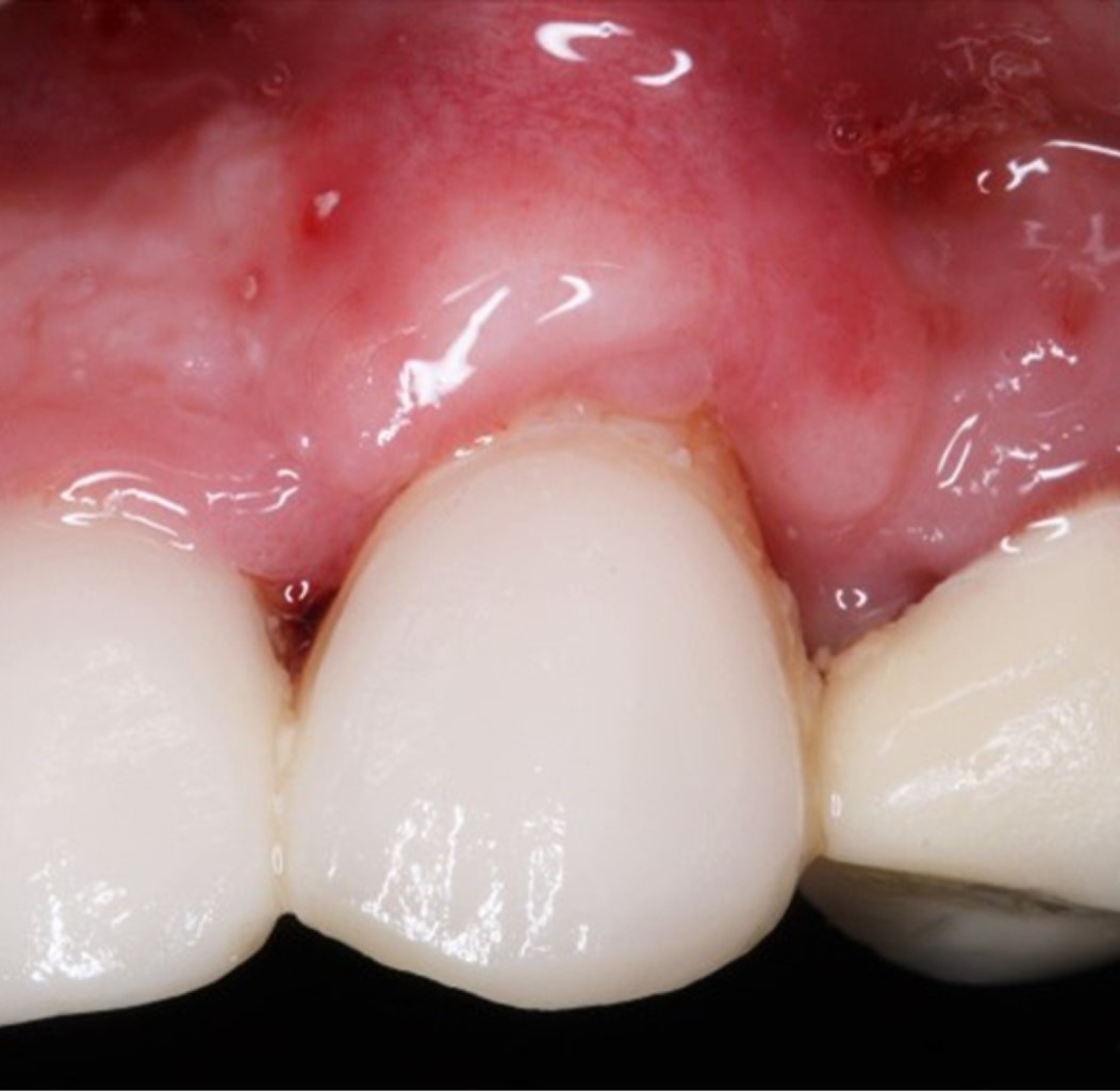
Las suturas palatinas fueron retiradas a los siete días. En el sitio de la cobertura radicular, las suturas fueron removidas a los 14 días (Figura 8). Se dio seguimiento al paciente a los siete, 14 y 30 días, hasta los seis meses para valoración final, donde se observa cobertura radicular completa (100%), cambio de fenotipo gingival mediante el aumento de tejido queratinizado, mejora en la estética y reducción total de la sensibilidad dental (Figura 9).



DISCUSIóN

El daño en la mucosa oral debido a los productos químicos es a menudo el resultado de un error terapéutico involuntario durante los procedimientos dentales. Se ha descrito que los grabados ácidos y adhesivos dentales son tóxicos para los tejidos periodontales.7

Son pocos los casos que describen la formación de recesión gingival asociada a ácido fosfórico, así como su evolución luego de la corrección mediante colgajo de desplazado coronal e injerto de tejido conectivo subepitelial con evolución de seis meses. En el caso anteriormente descrito, luego de la revisión detallada de la historia clínica, se revela una evidente evolución rápida en la progresión de la recesión gingival (14 días), la cual pudo relacionarse directamente por la extrusión accidental del ácido grabador durante la cementación adhesiva. J Blomof y colaboradores (1995) han encontrado que el contacto de ácido fosfórico con los tejidos por más de 20 segundos provoca necrosis gingival y ósea, dado que son agentes tóxicos para el tejido gingival y fibroblastos gingivales.8

El resultado del tratamiento fue satisfactorio tanto en parámetros clínicos como en la reducción de la sensibilidad dental, lo que concuerda con los resultados obtenidos por Abdullah C Akman y asociados, y V Kofina y colegas. Ellos obtuvieron resultados similares en términos de reducción de inflamación, reducción de sensibilidad dental, aumento de tejido gingival queratinizado y cobertura radicular. Estos autores concluyen que el colgajo de avance coronal combinado con injerto de tejido conectivo subepitelial son una alternativa adecuada para el tratamiento de recesiones gingivales asociadas a lesiones químicas agudas.



CONCLUSIONES

Se tienen pocos casos registrados de recesiones gingivales asociadas a infiltración accidental de ácido grabador en la mucosa masticatoria. El éxito obtenido en este caso clínico puede ser atribuido a la eliminación de factores de riesgo asociados y a la correcta selección y ejecución de la técnica quirúrgica de colgajo de avance coronal conjunta a injerto de tejido conectivo subepitelial. Se ha establecido una alta predictibilidad de cobertura radicular en recesiones gingivales tipo 1 de Cairo.


REFERENCIAS (EN ESTE ARTÍCULO)

  1. Caton JG, Armitage G, Berglundh T, Chapple ILC, Jepsen S, Kornman KS et al. A new classification scheme for periodontal and peri-implant diseases and conditions - Introduction and key changes from the 1999 classification. J Clin Periodontol. 2018; 45 Suppl 20: S1-S8.

  2. Merijohn GK. Management and prevention of gingival recession. Periodontol 2000. 2016; 71 (1): 228-242.

  3. Cairo F, Nieri M, Cincinelli S, Mervelt J, Pagliaro U. The interproximal clinical attachment level to classify gingival recessions and predict root coverage outcomes: an explorative and reliability study. J Clin Periodontol. 2011; 38 (7): 661-666.

  4. Zucchelli G, Mounssif I. Periodontal plastic surgery. Periodontol 2000. 2015; 68 (1): 333-368.

  5. Heasman PA, Holliday R, Bryant A, Preshaw PM. Evidence for the occurrence of gingival recession and non-carious cervical lesions as a consequence of traumatic toothbrushing. J Clin Periodontol. 2015; 42 Suppl 16: S237-S255.

  6. Neville BW, Damm DD, Allen CM, Chi AC. Physical and chemical injuries. Oral and maxillofacial pathology. 4th ed. St. Louis, MO: Elsevier; 2016. pp. 253-281.

  7. Kofina V, An H, Rawal SY. Iatrogenic acid-induced gingival recession during crown cementation: a case report. Aust Dent J. 2021; 66 (3): 332-336.

  8. García Rubio A, Bujaldón Daza AL, Rodríguez Archilla A. Parámetros clínicos y periodontales predictores de la severidad de la recesión gingival. Gac Med Mex. 2016; 152: 51-58.

  9. Blomlof J, Lindskog S. Periodontal tissue-vitality after different etching modalities. J Clin Periodontol. 1995; 22 (6): 464-468.

  10. Bueno Rossy L, Ferrari R, Shibli J. Treatment of recession and mucogingival defects using connective tissue grafts on teeth and implants. Odontoestomatol. 2015; 17 (26): 35-46.

  11. Goldstein M, Brayer L, Schwartz Z. A critical evaluation of methods for root coverage. Crit Rev Oral Biol Med. 1996; 7 (1): 87-98.

  12. Langer B, Langer L. Subepithelial connective tissue graft technique for root coverage. J Periodontol. 1985; 56 (12): 715-720.

  13. Zucchelli G, Amore C, Sforza NM, Montebugnoli L, De Sanctis M. Bilaminar techniques for the treatment of recession-type defects. A comparative clinical study. J Clin Periodontol. 2003; 30 (10): 862-870.

  14. Akman AC, Demiralp B, Güncü GN, Kiremitci A, Sengün D. Necrosis of gingiva and alveolar bone caused by acid etching and its treatment with subepithelial connective tissue graft. J Can Dent Assoc. 2005; 71 (7): 477-479.



AFILIACIONES

1 Especialidad en Periodoncia e Implantología. Universidad Juárez del Estado de Durango. México.

2 División de Estudios de Postgrado e Investigación de la Facultad de Odontología. Universidad Juárez del Estado de Durango. México.



CORRESPONDENCIA

Braulio Andrés García Amador. E-mail: braulioodonto@gmail.com




Recibido: 02 de agosto de 2023. Aceptado: 04 de octubre de 2023.

Figura 1
Figura 2
Figura 3
Figura 4
Figura 5
Figura 6
Figura 7
Figura 8
Figura 9

2020     |     www.medigraphic.com

Mi perfil

C?MO CITAR (Vancouver)

Rev Mex Periodontol. 2022;13

ARTíCULOS SIMILARES

CARGANDO ...