medigraphic.com
ENGLISH

Orthotips AMOT

ISSN 2007-8560 (Impreso)
Órgano Oficial de Difusión Científica de la Federación Mexicana de Colegios de Ortopedia y Traumatología, A.C. (FEMECOT)
  • Mostrar índice
  • Números disponibles
  • Información
    • Información general        
    • Directorio
  • Publicar
    • Instrucciones para autores        
  • medigraphic.com
    • Inicio
    • Índice de revistas            
    • Registro / Acceso
  • Mi perfil

2024, Número 1

<< Anterior Siguiente >>

Ortho-tips 2024; 20 (1)


Schwannoma intraóseo de tibia proximal: presentación de un caso

Técualt-Gómez, Romeo1; Atencio-Chan, Adriana2; Ayala, Mario1; Cario-Méndez, Alejandra1; Rivera-Saldívar, Gustavo1
Texto completo Cómo citar este artículo 10.35366/114216

DOI

DOI: 10.35366/114216
URL: https://dx.doi.org/10.35366/114216
Artículos similares

Idioma: Español
Referencias bibliográficas: 21
Paginas: 48-52
Archivo PDF: 300.07 Kb.


PALABRAS CLAVE

schwannoma intraóseo, tumor óseo, tumor de células gigantes, quiste óseo aneurismático, dolor.

RESUMEN

Introducción: el schwannoma intraóseo o neurilemoma es una neoplasia benigna que se origina de las células de Schwann, comúnmente localizado en los tejidos blandos. Objetivo: reportar un caso de localización atípica de schwannoma. Caso clínico: se reporta un schwannoma intraóseo que afecta la metáfisis proximal de la tibia derecha en una mujer de 35 años. Sus características radiológicas mostraron una lesión con patrón geográfico, expansiva, lítica con bordes bien delimitados. Se realizó un abordaje anterolateral y resección intracompartimental (curetaje) con aporte de polimetilmetacrilato. Histológicamente se confirmó el diagnóstico de schwannoma clásico intraóseo. Conclusión: los schwannomas intraóseos deben ser incluidos en el diagnóstico diferencial de lesiones como displasia fibrosa, tumor de células gigantes, quiste óseo aneurismático y condroblastoma.



INTRODUCCIóN

El schwannoma intraóseo o neurilemoma es un tumor benigno que se origina de las células de Schwann y representa menos de 0.2% de los tumores óseos primarios. Comprenden de 1-10% de todos los tumores de partes blandas y se originan de las raíces nerviosas sensoriales a lo largo de los nervios craneales, nervios espinales y nervios periféricos.1 Normalmente son lesiones de crecimiento lento que manifiestan síntomas no característicos, siendo el dolor el síntoma más común. La edad de presentación comprende la segunda a la cuarta décadas de la vida. Es un poco más frecuente en el sexo femenino.2

Los schwannomas pueden involucrar el hueso a través de tres posibles mecanismos; originándose dentro de la médula ósea, a través de los vasos nutricios o a través de la presencia de un tumor extraóseo que erosiona la cortical e invade al hueso adyacente.3

Lo poco frecuente de esta entidad conlleva a la omisión del diagnóstico inicial temprano.4 El sitio de presentación más común es en mandíbula, sacro, maxilar y vértebras;5-7 la presentación en huesos largos es particularmente rara, siendo tibia, peroné, húmero, fémur y metacarpianos los sitios más informados.2,3,8-14 Los reportes de la literatura por lo general se basan en casos aislados debido a su baja prevalencia. Existen menos de 200 reportes de estas tumoraciones y aproximadamente son 20 los casos reportados en los huesos largos.2 Se presenta el primer caso de schwannoma intraóseo clásico, en la metáfisis proximal de tibia derecha en una mujer de 35 años.



PRESENTACIóN DEL CASO

Antecedentes: femenino de 35 años, ama de casa, sin antecedentes heredofamiliares relacionados con su padecimiento, hábitos tabáquicos y alcohólicos negados. No cursaba con antecedentes patológicos o alérgicos relevantes al inicio de su cuadro clínico.

Cuadro clínico: inició con dolor punzante, progresivo, en pierna derecha, región proximal, con periodos de exacerbación, sin aumento de volumen. Al momento del inicio de su sintomatología, la paciente estaba embarazada y a medida que progresó el mismo, mostró incapacidad funcional creciente de la rodilla y aumento del dolor a la deambulación prolongada y al apoyo de la extremidad.

El embarazo se resolvió sin complicaciones, pero la paciente continuó con dolor de rodilla derecha de características mixtas (neuropático y somático), de intensidad moderada a severa (5 a 9, escala visual análoga), con dinámica de tipo urente y punzante, fluctuante y con mayor intensidad durante las tardes y las noches.

Pasados cuatro años después del inicio de sus síntomas, recibió atención médica ortopédica y le fue detectada una lesión tumoral ósea de rodilla, motivo por el cual fue referida a nuestro centro hospitalario.

A la exploración física, la paciente caminaba con discreta claudicación por dolor en la rodilla derecha, presentaba arcos de movimientos restringidos únicamente por dolor y leve aumento de volumen.

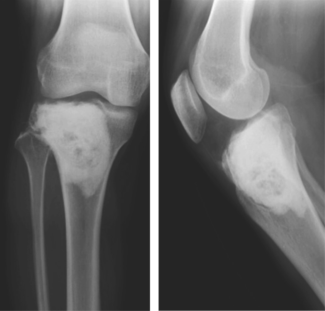
Estudios de laboratorio y gabinete: las imágenes radiológicas iniciales mostraron una lesión en región metafisaria proximal de la tibia, bien delimitada, lítica, de bordes escleróticos, lobulada y expansiva (Figura 1). Se realizó protocolo de estudio, encontrándose exámenes de laboratorio dentro de límites normales.

Intervención terapéutica: un mes posterior del inicio de su protocolo prequirúrgico se realizó manejo quirúrgico de la lesión mediante resección intracompartimental con abordaje anterolateral y ventana oval; se observó cortical adelgazada y una solución de continuidad de 0.5 cm. Al interior de la lesión se encontró tejido amarillo claro y blanquecino, se realizó curetaje completo con fresas de alta velocidad más aporte de polimetilmetacrilato (Figura 2).

Hallazgos histopatológicos:

Macroscópicos: fragmentos de tejido que en conjunto medían aproximadamente 8.5 × 6.5 × 2 cm, de color amarillo claro, lobulados y de consistencia blanda (Figura 3).

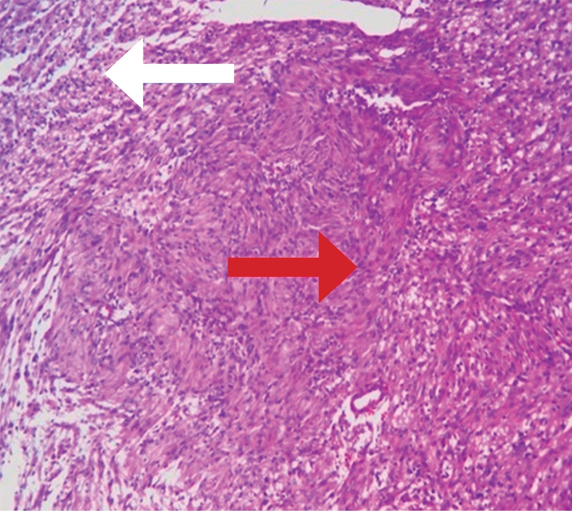
Microscópicos: lesión neoplásica benigna constituida por células fusiformes con dos patrones morfológicos Antoni A de mayor celularidad y Antoni B hipocelular (Figura 4), con áreas mixoides y presencia de cuerpos de Verocay.

Inmunohistoquímica: positividad para S-100 (Figura 5), ENE, CD56, vimentina, Ki 67 < 5%.

Diagnóstico final: schwannoma clásico intraóseo.

Seguimiento: a más de cinco años de su manejo, la paciente se encuentra libre de enfermedad y presenta función completa de la rodilla, camina sin dolor, realiza actividades de la vida diaria sin problema y se encuentra satisfecha con los resultados quirúrgicos.



DISCUSIóN

Se reporta el caso de una mujer adulta con un schwannoma intraóseo en la metáfisis proximal de tibia derecha, situación atípica que no tiene precedente en la literatura. El schwannoma es un tumor primario raro que afecta a personas de los 2.5 a los 65 años;15 en nuestro caso, la paciente tenía 35 años al momento de su desarrollo tumoral. Los schwannomas guardan una relación estrecha con la arteria nutricia del hueso afectado;16,17 en el caso de la tibia, la arteria nutricia se encuentra usualmente en la unión del tercio medio proximal con el tercio medio de la diáfisis y es colateral del tronco tibioperoneo. Esto contribuye a que la mayor parte de estos tumores se presenten en la diáfisis de los huesos largos, debido a que los schwannomas que se forman y se desarrollan dentro del canal nutricio corresponde a su forma de desarrollo más frecuente.16 Este tumor se puede desarrollar al involucrar al hueso a través de las células de Schwann en la cavidad medular, un crecimiento dentro de los vasos nutricios del hueso o mediante una invasión por contigüidad.18 En el caso presentado, la tumoración se presentó por un crecimiento que no afectó a la arteria nutricia (debido a su localización metafisaria) y tampoco había afectación ósea circundante, por lo que el caso está relacionado con un crecimiento exclusivamente intraóseo.

La sintomatología de estos tumores es escasa; pueden cursar como lesiones asintomáticas de largo tiempo de evolución, por lo que no se incluyen en el diagnóstico diferencial inicial. Se ha descrito una variante maligna de esta neoplasia.1 El síntoma inicial generalmente es el dolor y en huesos largos la presentación usual es en pacientes de la segunda década de la vida.2,8,11,12 En adultos jóvenes (cuarta década de la vida) se han reportado casos en la diáfisis tibial o en la parte distal del peroné.9,10 Nuestra paciente se encuentra en la cuarta década de la vida con un sitio de presentación inusual y con una tumoración originada dentro del compartimento óseo. El sitio de lesión no ha sido reportado previamente y las tumoraciones originadas dentro del hueso son muy raras,16,19,20 probablemente por la escasa cantidad de células de Schwann que pueden encontrarse en estos sitios. Se comparte la característica con los reportes de la literatura en el tiempo de evolución de la lesión, donde se describen periodos desde uno hasta cuatro años para realizar el diagnóstico.2,8-12 El diagnóstico diferencial radiológico incluye el quiste óseo aneurismático o el tumor de células gigantes. El diagnóstico diferencial histopatológico debe incluir fibroma desmoplásico, fibrosarcoma bien diferenciado, displasia fibrosa o el fibroma no osificante, aunque estas condiciones pueden evaluarse con un adecuado contexto clínico y radiológico.14

El tratamiento habitual está basado en la resección intracompartimental con aporte de polimetilmetacrilato o injerto óseo, o bien, mediante resección ampliada, dependiendo del tamaño de la lesión y la afectación y grosor de los bordes corticales subyacentes. La recidiva es rara y se asocia a una escisión incompleta.21

En este caso clínico no se llevaron a cabo pruebas funcionales con alguna escala validada para la evaluación de la rodilla, lo cual corresponde a una limitación del estudio; no obstante, los resultados clínico-quirúrgicos fueron muy satisfactorios y la paciente se encuentra libre de enfermedad y con una autopercepción del resultado quirúrgico como muy bueno.



CONCLUSIONES

El schwannoma es un tumor muy raro que usualmente requiere de biopsia confirmatoria para llegar a su diagnóstico. Es necesario realizar diagnóstico diferencial con displasia fibrosa, tumor de célula gigante, quiste óseo aneurismático y condroblastomas. Tiene un comportamiento benigno que puede ser manejado de forma íntegra con resecciones intracompartimentales o resecciones marginales más aporte de injerto óseo o polimetilmetacrilato, prácticamente sin recidiva.


REFERENCIAS (EN ESTE ARTÍCULO)

  1. Ida CM, Scheithauer BW, Yapicier O, Carney JA, Wenger DE, Inwards CY, Bertoni F, Spinner RJ, Unni KK. Primary schwannoma of the bone: a clinicopathologic and radiologic study of 17 cases. Am J Surg Pathol. 2011; 35 (7): 989-997. doi: 10.1097/PAS.0b013e31821fcc0c.

  2. Ali SM, Aftab K, Habib Ul Hassan S, Anwar Jilani SA. Intraosseous schwannoma of fibula: a case report. J Pak Med Assoc. 2022; 72 (7): 1432-1434. doi: 10.47391/JPMA.1672.

  3. Afshar A, Afaghi F. Intraosseous schwannoma of the second metacarpal: case report. J Hand Surg Am. 2010; 35 (5): 776-779. doi: 10.1016/j.jhsa.2010.02.006.

  4. Kojima M, Seichi A, Yamamuro K. Hirokazu Inoue. Intraosseous schwannoma originating from the posterior column of the thoracic spine. Eur Spine J. 2011; 20 Suppl 2: S153-S156.

  5. Vera-Sempere F, Vera-Sirera B. Intraosseus plexiform schwannoma of the mandible: immunohistochemical differential diagnosis. J Craniofac Surg. 2010; 21 (6): 1820-1824. doi: 10.1097/SCS.0b013e3181f43f5b.

  6. Fuentes NR, Pérez de la O P, Rodríguez NJ, Prince JA, Salas H. Schwannoma gigante del sacro. Rev Cub Med Mil. 2007; 36 (3). Disponible en: http://scielo.sld.cu/scielo.php?script=sci_arttext&pid=S0138-65572007000300010&lng=es

  7. Zamar F, Garola F, Funes N, Fiol A, Arienza F. Schwannoma intraóseo mandibular. Reporte de un caso clínico. Rev Asoc Odontol Argent. 2022; 110 (3): 1-8. doi: 10.52979/raoa1101232.1202.

  8. Meyer A, Sailhan F, Coulomb A, Thevenin-Lemoine C, Mary P, Ducou-Lepointe H, Damsin JP. Proximal tibial epiphyseal intraosseous schwannoma: a rare entity. J Pediatr Orthop. 2008; 28 (7): 786-790. doi: 10.1097/BPO.0b013e3181858358.

  9. Ilgenfritz RM, Jones KB, Lueck N, Buckwalter JA. Intraosseous neurilemmoma involving the distal tibia and fibula: a case report. Iowa Orthop J. 2006; 26: 138-143.

  10. Ang WM, Yates P, Robbins P, Wood D. Recurrent benign solitary intraosseous schwannoma of the tibia. Orthopedics. 2008; 31 (2): 176. doi: 10.3928/01477447-20080201-03.

  11. Palocaren T, Walter NM, Madhuri V, Gibikote S. Schwannoma of the fibula. J Bone Joint Surg Br. 2008; 90 (6): 803-805. doi: 10.1302/0301-620X.90B6.19901.

  12. Wahyudi M, Clevfirstarachma RP, Djailani M. Intraosseous schwannoma of distal femur: a case report. Int J Surg Case Rep. 2022; 99: 107643. doi: 10.1016/j.ijscr.2022.107643.

  13. McAleese T, Clesham K, Moloney D, Hughes A, Faheem N, Merghani K. Intraosseous schwannoma of the femur in a patient with monoclonal gammopathy of undetermined significance. Int J Surg Case Rep. 2020; 72: 494-498. doi: 10.1016/j.ijscr.2020.06.054.

  14. Ansari MT, Rastogi S, Khan SA, Yadav C, Rijal L. Giant schwannoma of the first metatarsal: a rare entity. J Foot Ankle Surg. 2014; 53 (3): 335-339. doi: 10.1053/j.jfas.2014.01.014.

  15. Mutema GK, Sorger J. Intraosseous schwannoma of the humerus. Skeletal Radiol. 2002; 31: 419-421.

  16. De la Monte SM, Dorfman HD, Chandra R, Malawer M. Intraosseous schwannoma: histologic features, ultrastructure, and review of the literature. Hum Pathol. 1984; 15 (6): 551-558. doi: 10.1016/s0046-8177(84)80009-x.

  17. Drumond GC, Nakagawa SA, Costa FD, de Souza MYT, Comunello J, Chung WT. Intraosseous schwannoma: case report and review of the literature. Rev Bras Ortop (Sao Paulo). 2020; 55 (2): 258-262. doi: 10.1016/j.rbo.2018.02.003.

  18. Suzuki K, Yasuda T, Watanabe K, Kanamori M, Kimura T. Association between intraosseous schwannoma occurrence and the position of the intraosseous nutrient vessel: a case report. Oncol Lett. 2016; 11 (5): 3185-3188. doi: 10.3892/ol.2016.4363.

  19. Tian YW, Zhang LY, Liu ZQ. Giant intraosseous schwannoma of scapula: a rare case report and review of the literature. Diagn Pathol. 2014; 9: 31. doi: 10.1186/1746-1596-9-31.

  20. Chang CJ, Huang JS, Wang YC, Huang SH. Intraosseous schwannoma of the fourth lumbar vertebra: case report. Neurosurgery. 1998; 43 (5): 1219-1222. doi: 10.1097/00006123-199811000-00120.

  21. Lim KX, Wu K. First-ever intraosseous ancient schwannoma of the proximal ulna successfully treated using the cement technique. J Int Med Res. 2021; 49 (2): 300060520987732. doi: 10.1177/0300060520987732.



AFILIACIONES

1Servicio de Tumores Óseos, Unidad Médica de Alta Especialidad (UMAE), Hospital de Ortopedia "Dr. Victorio de la Fuente Narváez".

2Servicio de Anatomía Patológica., Unidad Médica de Alta Especialidad (UMAE), Hospital de Ortopedia "Dr. Victorio de la Fuente Narváez".



Conflicto de intereses: Los autores manifiestan que no existe conflicto de intereses para el presente manuscrito y que la investigación se realizó con recursos propios de los investigadores y la unidad hospitalaria de adscripción.



CORRESPONDENCIA

Gustavo Rivera-Saldívar. E-mail: gustavozaldivar@hotmail.com




Recibido: 17-03-2023. Aceptado: 01-06-2023.

Figura 1
Figura 2
Figura 3
Figura 4
Figura 5

2020     |     www.medigraphic.com

Mi perfil

C?MO CITAR (Vancouver)

Ortho-tips. 2024;20

ARTíCULOS SIMILARES

CARGANDO ...