medigraphic.com
ENGLISH

Revista ADM Órgano Oficial de la Asociación Dental Mexicana

ISSN 0001-0944 (Impreso)
Órgano Oficial de la Asociación Dental Mexicana
  • Mostrar índice
  • Números disponibles
  • Información
    • Información general        
    • Directorio
  • Publicar
    • Instrucciones para autores        
    • Envío de artículos
  • medigraphic.com
    • Inicio
    • Índice de revistas            
    • Registro / Acceso
  • Mi perfil

2024, Número 1

<< Anterior Siguiente >>

Rev ADM 2024; 81 (1)


Fibroma ameloblástico mandibular.

Hernández-Chávez, Pablo Iván1; Leyva-Rivera, Yoaris1; Samperio-Badillo, José1
Texto completo Cómo citar este artículo 10.35366/114747

DOI

DOI: 10.35366/114747
URL: https://dx.doi.org/10.35366/114747
Artículos similares

Idioma: Español
Referencias bibliográficas: 14
Paginas: 55-60
Archivo PDF: 365.28 Kb.


PALABRAS CLAVE

fibroma ameloblástico, tumor odontogénico, regeneración ósea guiada.

RESUMEN

El fibroma ameloblástico (FA) se describe como una neoplasia benigna de origen odontogénico mixto que suele presentarse entre la primera y segunda década de vida, frecuentemente en los molares permanentes inferiores. Por lo general es asintomático, pero las lesiones de gran tamaño suelen acompañarse con dolor e inflamación. Su tratamiento por lo regular es conservador. Se describe el caso de un fibroma ameloblástico en un paciente de 13 años de edad, que involucraba cuerpo y ángulo mandibular izquierdo, tratado de manera conservadora, se realiza extirpación del tumor, regeneración ósea guiada y rehabilitación con implante dental.



INTRODUCCIóN

El fibroma ameloblástico es una neoplasia odontogénica mixta (epitelial y mesenquimal) de rara aparición, que constituye 2% de todos los tumores odontogénicos.1 Descrita por la Organización Mundial de la Salud (OMS) como un tumor benigno mixto constituido por epitelio odontogénico proliferante incluido en un tejido mesodérmico similar a la papila dentaria, pero sin formación de odontoblastos.2



CLíNICA

Las características clínicas de este tumor son muy típicas, destacando la edad media de presentación entre los 12 y 15 años.1,2 Su localización más frecuente es la mandíbula (90%), principalmente en el área molar,1-6 aunque puede presentarse también en el maxilar.1,2,6 La mayoría (80%) ocurre en pacientes menores de 22 años (antes de que termine la odontogénesis), con una predilección por el sexo masculino de 1.4:1 sobre el femenino. Se asocia con retención dental, que ocasiona retraso en la erupción o alteración en la secuencia dental de erupción, 80% ocurre en el área del segundo molar temporal/primer molar permanente y 75% está asociado con un diente retenido.5 La expansión ósea y la movilidad dental son signos frecuentes.3 Las lesiones pequeñas son asintomáticas y los tumores grandes se asocian con inflamación.4



IMAGENOLOGíA

Radiográficamente, estas lesiones suelen ser bien definidas, transparentes, con un halo más esclerosado radiopaco, son un hallazgo incidental en 12% de los casos, pero la mayoría 56% se presentan como una radiolucidez unilocular, de tamaño pequeño y bien definida. Si dentro de la lesión se observa un área más opaca, el diagnóstico se orienta hacia fibroodontoma ameloblástico, lo que indica la existencia de un pequeño odontoma, ya que el fibroma ameloblástico es completamente lúcido en las radiografías.7-9 La asociación con dientes retenidos (usualmente molares) se ve en 80% de los casos.6,10 La resorción radicular o perforación cortical son poco frecuentes. Pueden imitar un quiste dentígero o no estar asociados con la corona de un diente retenido.11

Las lesiones pueden crecer considerablemente y alcanzar un tamaño que afecte el cuerpo y la rama de la mandíbula.4 Debido a la edad de aparición, la masa frecuentemente desplaza los dientes en desarrollo. Puede reabsorber también las raíces y desplazar el canal alveolar inferior.11

Éste muestra células columnares periféricas con masas de células epiteliales dispersas que semejan el retículo estrellado. La porción mesenquimal del fibroma ameloblástico consiste en células redondeadas y ovoides en una matriz dispersa, que semeja la papila dental.4

Hacia los bordes, hay engrosamientos ocasionales, con un área estrecha similar al retículo estrellado entre las células cuboidales periféricas.12 El componente epitelial también puede mostrar un patrón que se asemeja a la etapa folicular del órgano del esmalte. Con base en las características histopatológicas, no es posible distinguir entre los FA (neoplasias verdaderas) y los odontomas en un estadio precoz, antes de diferenciarse y madurar; sin embargo, existen FA que muestran la formación de tejidos dentales duros y alcanzan un tamaño excepcional. Estas lesiones se han referido como fibrodentinomas ameloblásticos o fibroodontomas ameloblásticos, pero son muy probablemente el desarrollo de odontomas.1,13,14 El FA aparece como una masa de tejido sólido, blando, con superficie externa grisácea. Una cápsula definida puede o no estar presente.



DIAGNóSTICO DIFERENCIAL

Dentro del diagnóstico diferencial se deben incluir numerosas entidades, principalmente ameloblastoma, mixoma odontogénico, quiste dentígero, queratoquiste odontogénico, granuloma central de células gigantes.1,2

Los FA son neoplasias originadas en el epitelio odontogénico y tejidos mesenquimales, y como tales son categorizadas como tumores odontogénicos mixtos. Otros tumores mixtos como el fibroodontoma ameloblástico y los odontomas comparten algunas similitudes clínicas, radiográficas e histológicas con el FA. Además, los fibroodontomas y los odontomas son mejor categorizados como hamartomas y como resultado, y a diferencia del FA, tienen pocas oportunidades de recurrencia o transformación maligna.11

El FA y el fibroodontoma ameloblástico se consideran el mismo proceso debido a que son variantes del mismo tumor, tan solo diferenciados por la presencia de un odontoma en el caso del fibroodontoma ameloblástico. En el FA, el componente mayoritario es el tejido mesenquimal primitivo, compuesto por haces de tejido conectivo laxo y células indiferenciadas, con capacidad para convertirse en cualquier línea celular, que en la evolución de este tumor se transforman en células epiteliales odontogénicas, lo que lo convierte en un tumor odontogénico mixto benigno.

El fibroodontoma ameloblástico tiene muchas similitudes con el FA, pero tiene esmalte y dentina en su interior. Algunos autores consideran esta lesión como una etapa intermedia en el desarrollo de un odontoma, que en la etapa primaria de formación es un FA. Si todos los casos ocurrieran siguiendo el desarrollo particular propuesto, el FA afectaría a pacientes jóvenes, el odontoma ocurriría en pacientes adultos y el fibroodontoma ameloblástico aparecería en etapas intermedias, sin embargo, no sucede así. En el pasado, el FA se consideró una variante del ameloblastoma, pero recientemente se ha propuesto su origen odontogénico epitelial.3



TRATAMIENTO Y PRONóSTICO

En cuanto al tratamiento, en el FA especialmente en niños y lesiones pequeñas se acepta que la decisión más indicada es la conservadora, con la extirpación de la lesión y del diente incluido, si lo hay, con curetaje del hueso circundante a la lesión. Neoplasias extensas y destructivas deben ser tratadas radicalmente. La evolución y pronóstico son muy favorables en ambos casos, si bien es conveniente conocer que el FA puede terminar en un sarcoma ameloblástico, y que en el quiste folicular se han descrito malignizaciones en forma de fibrosarcoma ameloblástico y más raramente carcinoma mucoepidermoide.7 Sin embargo, independientemente del tratamiento, los pacientes con FA deben tener seguimiento para detección temprana de posibles recidivas de desarrollo de fibrosarcoma ameloblástico, mismo que es la contraparte maligna del FA,3 y 45% de estas lesiones malignas se originan a partir del fibroma ameloblástico recurrente.4



PRESENTACIóN DEL CASO

Paciente adolescente de 13 años de edad sin antecedentes médicos de relevancia, quien presentaba asimetría facial y aumento de volumen en la región del cuerpo y ángulo mandibular izquierdos, de aproximadamente dos años de evolución, asintomático, con procesos infecciosos recurrentes que ocasionaban dolor.

A la exploración se identificó aumento de volumen en cuerpo, ángulo y rama mandibular. En la cavidad oral se encontró expansión en las corticales óseas y en cambio se identificó la ausencia del segundo molar inferior izquierdo.

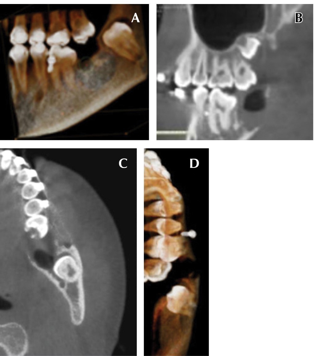
La radiografía panorámica permitió observar un área radiolúcida unilocular que se extendía a partir del cuerpo mandibular (Figura 1), desde la zona distal del primer molar inferior izquierdo hasta la parte mesial del segundo molar incluido, involucrando el canal del nervio inferior. El segundo molar inferior estaba incluido en la lesión y desplazado posterosuperiormente, así como desplazamiento basal del conducto dentario inferior. En la tomografía axial computarizada con reconstrucción se apreció una masa isodensa en el cuerpo y rama mandibular izquierda, con expansión de corticales vestibular y lingual (Figura 2).

Bajo anestesia general y con intubación orotraqueal, se realizó la resección quirúrgica conservadora de la lesión, con curetaje en todo el lecho quirúrgico y odontectomía del segundo molar inferior izquierdo. No se observó comunicación al conducto dentario inferior ni perforación de las corticales óseas en el transoperatorio (Figura 3).

Se colocaron suturas en la periferia de la herida, simulando una marsupialización y se introdujo en el lecho quirúrgico injerto óseo y membrana para la correcta regeneración de tejidos y así obtener una mayor facilidad en la parte de rehabilitación con implante.

Se obtuvo pieza quirúrgica consistente en tejido tumoral multifragmentado (Figura 4), del cual se realizó estudio histopatológico y del que se identificaron abundantes fibroblastos y epitelio odontogénico dispuesto en forma tubular, con células cuboideas y cilíndricas (Figura 5).

Posteriormente, se tuvo el seguimiento del paciente, identificando si la regeneración de tejidos era la adecuada para la colocación del implante dental. Finalmente, se observó la zona mandibular posterior en condiciones para su colocación, bajo anestesia local, adaptando un implante de titanio, permitiendo la osteointegración del mismo. Se llevó a cabo un control radiográfico tres y seis meses después para ver la evolución del implante, no se presentaron signos de recurrencia del tumor (Figura 6, 7, 8).

El paciente deberá ser remitido al área de prótesis para la colocación de coronas y así recuperar la función y estética necesarias.



DISCUSIóN

De acuerdo con la nueva clasificación de la OMS el FA se encuentra en el grupo de neoplasias mixtas benignas; histopatológicamente caracterizada por un componente mesenquimal mixoide, rico en células que semejan la papila de la yema dental y que recuerdan a la lámina dental. Clínicamente es un aumento de volumen de crecimiento lento, asintomático, que puede causar expansión de corticales. Se presenta en las primeras dos décadas de vida. En cuanto a la localización, afecta con mayor frecuencia el hueso mandibular 3.3:1 con respecto al maxilar, 1:7 con predilección por la región posterior.

Se ha descrito que la patogénesis del FA con o sin presencia de tejidos duros tiene una relación con la formación de odontomas en distintas etapas.

En pacientes jóvenes cuya resección resultará en mutilación y en pequeñas lesiones que responden bien a tratamientos conservadores, se recomienda la enucleación y curetaje, sin embargo, en lesiones extensas que involucran tejidos adyacentes se aconseja la resección en bloque.4 El caso que se presenta fue tratado de manera conservadora con curetaje, debido a la edad del paciente, en quien una cirugía radical implicaría secuelas funcionales y estéticas importantes. El seguimiento del paciente será de vital importancia, ya que si bien no se esperan recidivas, la aparición de las mismas implicará un tratamiento más agresivo.



CONCLUSIONES

Este caso demuestra que el FA se puede manejar con la enucleación y la reconstrucción inmediata con injerto óseo y rehabilitación con implante dental. Los pacientes con FA, sin embargo, deben ser seguidos durante un largo periodo debido a la capacidad de transformarse en su contraparte maligna. Hasta ahora, no ha habido ninguna evidencia clínica o radiológica de recidiva nueve meses después de la operación, y el paciente ha recuperado sus funciones, mejorando la calidad de vida del mismo.


REFERENCIAS (EN ESTE ARTÍCULO)

  1. Martín-Granizo-López R, Ortega L, González-Corchón MA, Berguer-SánchezA. Fibroma ameloblástico mandibular. Presentación de dos casos. Med Oral. 2003; 8: 150-153. Disponible en: http://medicinaoral.com/medoralfree/v8i2/medoralv8i2p150.pdf

  2. El-Naggar AK, Chan JKC, Grandis JR, Takata T, Slootweg PJ. Classification of head and neck tumours. WHO/IARC Classification of Tumours. Vol. 9. 4th ed., 2017.

  3. Vasconcelos BC, Adrade ES, Rocha NS, Morals HH, Carvalho RW. Treatment of large ameloblastic fibroma: a case report. J Oral Sci. 2009; 51 (2): 293-296. Available in: https://pubmed.ncbi.nlm.nih.gov/19550100/

  4. Neville BW. Oral and maxillofacial pathology. 2nd ed. Philadelphia: WB Saunders; 2006, 627-628.

  5. Abughazaleh K, Andrus KM, Katsnelson A, White DK. Peripheral ameloblastic fibroma of the maxilla: report of a case and review of the literature. Oral Surg Oral Med Oral Pathol Oral Radiol Endod. 2008; 105 (5): e46-e48.

  6. Bilodeau EA, Collins BM. Odontogenic cysts and neoplasms. Surg Pathol Clin. 2017; 10: 177-222. Available in: http://dx.doi.org/10.1016/j.path.2016.10.006

  7. Azúa-Romeo J, Saura-Fillat E, Usón-Bouthelier T, Tovar Lázaro M, Azúa-Blanco J. Fibroma ameloblástico vs. quiste folicular hiperplásico. Rev Esp Cirug Oral y Maxilofac. 2004; 26 (3): 187-191. Disponible en: http://scielo.isciii.es/pdf/maxi/v26n3/caso2.pdf

  8. Sapp JP, Eversole LR, Wysocki GP. Patología oral y maxilofacial contemporánea. 2a ed. Madrid: Elsevier Mosby; 2005, 146-147.

  9. Bozic M, Ihan Hren N. Ameloblastic fibroma. Radiol Oncol. 2006; 40 (1): 35-38.

  10. Bilodeau EA. Collins BM. Odontogenic cysts and neoplasms. Surg Pathol Clin. 2017; 10: 177-222. Available in: http://dx.doi.org/10.1016/j.path.2016.10.006

  11. Marx RE. Oral and maxillofacial pathology: a rationale for diagnosis and treatment. Chicago: Quintessence; 2003. p. 675678.

  12. Brierley DJ, Speight PM, Jordan RCK. Current concepts of odontogenic tumours-an update. Diagnostic Histopathology. 2017; 23 (6): 266-274. Available in: http://dx.doi.org/10.1016/j.mpdhp.2017.04.007

  13. Tozoglu S, Hatipoglu M, Aytekin Z, Gurer EI. Extensive ameloblastic fibroma of the mandibula in a female adult patient: a case report with a follow-up of 3 years. Eur J Dent. 2016; 10: 139-143.

  14. Wright JM, Vared M. Update from the 4th edition of the world healt organization classification of head and neck tumours: odontogenic and maxillofacial bone tumors. Head Neck Pathol. 2017; 11: 68-77 doi: 10.1007/s12105-017-0794-1.



AFILIACIONES

1 Cirujano maxilofacial. Unidad de Medicina Familiar (UMF) No. 79, Hospital General de Zona No. 57. Instituto Mexicano del Seguro Social, Cuautitlán. Estado de México.



Conflicto de intereses: los autores declaran no tener ningún conflicto de intereses.

Aspectos éticos: se adaptó el formato del documento de consentimiento informado a la realidad del paciente.

Financiamiento: no se ha recibido ninguna fuente de financiación externa.



CORRESPONDENCIA

Pablo Iván Hernández-Chávez. E-mail: dr.ivanhernandez@hotmail.com




Recibido: 08 de abril de 2022. Aceptado: 09 de enero de 2024.

Figura 1
Figura 2
Figura 3
Figura 4
Figura 5
Figura 6
Figura 7
Figura 8

2020     |     www.medigraphic.com

Mi perfil

C?MO CITAR (Vancouver)

Rev ADM. 2024;81

ARTíCULOS SIMILARES

CARGANDO ...